CSNK2A1 Recombinant Rabbit Monoclonal Antibody [PSH04-54]
cat.: HA750961
Product Type: Recombinant Rabbit monoclonal IgG, primary antibodies
Species reactivity: Human, Mouse, Rat
Applications: WB, IF-Cell, IHC-P, FC
Clonality: Monoclonal
Clone number: PSH04-54
Form: Liquid
Storage condition: Store at +4℃ after thawing. Aliquot store at -20℃. Avoid repeated freeze / thaw cycles.
Storage buffer: 1*PBS (pH7.4).
Concentration: 1ug/ul
Purification: Protein A affinity purified.
Molecular weight: Predicted band size: 45 kDa
Isotype: IgG
Immunogen: Synthetic peptide within human CSNK2A1 aa 342-391 / 391.
Positive control: HeLa cell lysate, HCT 116 cell lysate, NIH/3T3 cell lysate, C2C12 cell lysate, PC-12 cell lysate, mouse testis tissue lysate, rat testis tissue lysate, HeLa, NIH/3T3, human breast cancer tissue, human stomach cancer tissue, human colon tissue.
Subcellular location: Nucleus.
Recommended Dilutions:
  WB
  IF-Cell
  IHC-P
  FC

1:2,000
1:500-1:1,000
1:1,000
1:1,000
Uniprot #: SwissProt: P68400 Human | Q60737 Mouse | P19139 Rat
Alternative names: Casein kinase 2 alpha 1 polypeptide Casein kinase 2 alpha Casein kinase II alpha 1 Casein kinase II alpha 1 subunit Casein kinase II alpha subunit Casein kinase II subunit alpha CK II alpha CK II CK2 alpha CK2 catalytic subunit alpha CK2A1 CKII CKIIalpha CSK21_HUMAN CSNK2A1
Images
HA750961_1.jpg Fig1: Western blot analysis of CSNK2A1 on different lysates with Rabbit anti-CSNK2A1 antibody (HA750961) at 1/2,000 dilution and competitor's antibody at 1/2,000 dilution.

Lane 1: HeLa cell lysate
Lane 2: HCT 116 cell lysate
Lane 3: NIH/3T3 cell lysate
Lane 4: C2C12 cell lysate
Lane 5: PC-12 cell lysate
Lane 6: Mouse testis tissue lysate
Lane 7: Rat testis tissue lysate

Lysates/proteins at 30 µg/Lane.

Predicted band size: 45 kDa
Observed band size: 40 kDa

Exposure time: Lane 1-7 (left): 40 seconds; Lane 1-7 (right): 3 minutes; ECL: K1801;
4-20% SDS-PAGE gel.

Proteins were transferred to a PVDF membrane and blocked with 5% NFDM/TBST for 1 hour at room temperature. The primary antibody (HA750961) at 1/2,000 dilution and competitor's antibody at 1/2,000 dilution were used in 5% NFDM/TBST at 4℃ overnight. Goat Anti-Rabbit IgG - HRP Secondary Antibody (HA1001) at 1/50,000 dilution was used for 1 hour at room temperature.
HA750961_2.jpg Fig2: Immunocytochemistry analysis of HeLa cells labeling CSNK2A1 with Rabbit anti-CSNK2A1 antibody (HA750961) at 1/500 dilution.

Cells were fixed in 4% paraformaldehyde for 20 minutes at room temperature, permeabilized with 0.1% Triton X-100 in PBS for 5 minutes at room temperature, then blocked with 1% BSA in 10% negative goat serum for 1 hour at room temperature. Cells were then incubated with Rabbit anti-CSNK2A1 antibody (HA750961) at 1/500 dilution in 1% BSA in PBST overnight at 4 ℃. Goat Anti-Rabbit IgG H&L (iFluor™ 488, HA1121) was used as the secondary antibody at 1/1,000 dilution. PBS instead of the primary antibody was used as the secondary antibody only control. Nuclear DNA was labelled in blue with DAPI.

Beta tubulin (M1305-2, red) was stained at 1/100 dilution overnight at +4℃. Goat Anti-Mouse IgG H&L (iFluor™ 594, HA1126) was used as the secondary antibody at 1/1,000 dilution.
HA750961_3.jpg Fig3: Immunocytochemistry analysis of NIH/3T3 cells labeling CSNK2A1 with Rabbit anti-CSNK2A1 antibody (HA750961) at 1/1,000 dilution.

Cells were fixed in 4% paraformaldehyde for 20 minutes at room temperature, permeabilized with 0.1% Triton X-100 in PBS for 5 minutes at room temperature, then blocked with 1% BSA in 10% negative goat serum for 1 hour at room temperature. Cells were then incubated with Rabbit anti-CSNK2A1 antibody (HA750961) at 1/1,000 dilution in 1% BSA in PBST overnight at 4 ℃. Goat Anti-Rabbit IgG H&L (iFluor™ 488, HA1121) was used as the secondary antibody at 1/1,000 dilution. PBS instead of the primary antibody was used as the secondary antibody only control. Nuclear DNA was labelled in blue with DAPI.

Beta tubulin (M1305-2, red) was stained at 1/100 dilution overnight at +4℃. Goat Anti-Mouse IgG H&L (iFluor™ 594, HA1126) was used as the secondary antibody at 1/1,000 dilution.
HA750961_4.jpg Fig4: Immunohistochemical analysis of paraffin-embedded human breast cancer tissue with Rabbit anti-CSNK2A1 antibody (HA750961) at 1/1,000 dilution.

The section was pre-treated using heat mediated antigen retrieval with sodium citrate buffer (pH 6.0) (high pressure) for 2 minutes. The tissues were blocked in 1% BSA for 20 minutes at room temperature, washed with ddH2O and PBS, and then probed with the primary antibody (HA750961) at 1/1,000 dilution for 1 hour at room temperature. The detection was performed using an HRP conjugated compact polymer system. DAB was used as the chromogen. Tissues were counterstained with hematoxylin and mounted with DPX.
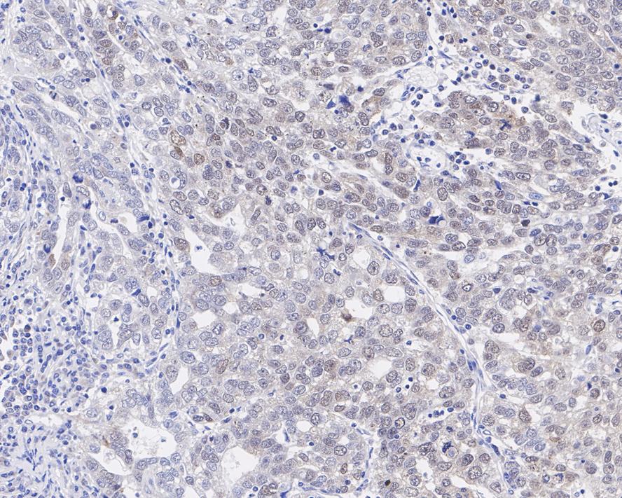
HA750961_5.jpg Fig5: Immunohistochemical analysis of paraffin-embedded human stomach cancer tissue with Rabbit anti-CSNK2A1 antibody (HA750961) at 1/1,000 dilution.

The section was pre-treated using heat mediated antigen retrieval with sodium citrate buffer (pH 6.0) (high pressure) for 2 minutes. The tissues were blocked in 1% BSA for 20 minutes at room temperature, washed with ddH2O and PBS, and then probed with the primary antibody (HA750961) at 1/1,000 dilution for 1 hour at room temperature. The detection was performed using an HRP conjugated compact polymer system. DAB was used as the chromogen. Tissues were counterstained with hematoxylin and mounted with DPX.
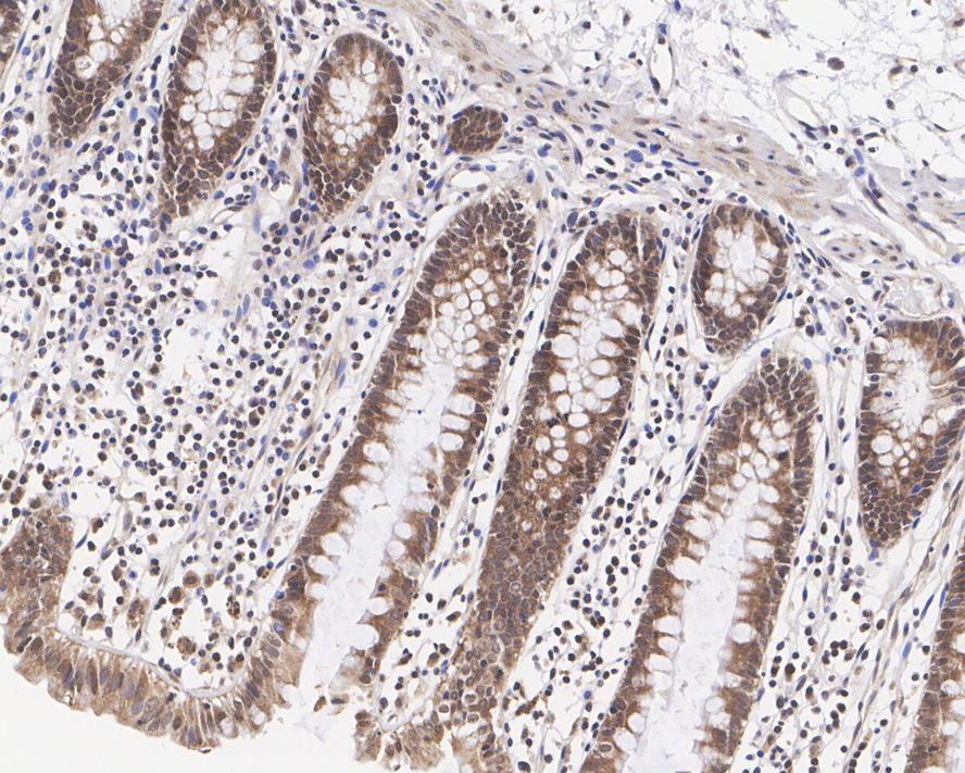
HA750961_6.jpg Fig6: Immunohistochemical analysis of paraffin-embedded human colon tissue with Rabbit anti-CSNK2A1 antibody (HA750961) at 1/1,000 dilution.

The section was pre-treated using heat mediated antigen retrieval with sodium citrate buffer (pH 6.0) (high pressure) for 2 minutes. The tissues were blocked in 1% BSA for 20 minutes at room temperature, washed with ddH2O and PBS, and then probed with the primary antibody (HA750961) at 1/1,000 dilution for 1 hour at room temperature. The detection was performed using an HRP conjugated compact polymer system. DAB was used as the chromogen. Tissues were counterstained with hematoxylin and mounted with DPX.
HA750961_7.jpg Fig7: Flow cytometric analysis of HeLa cells labeling CSNK2A1.

Cells were fixed and permeabilized. Then stained with the primary antibody (HA750961, 1μg/mL) (red) compared with Rabbit IgG Isotype Control (green). After incubation of the primary antibody at +4℃ for an hour, the cells were stained with a iFluor™ 488 conjugate-Goat anti-Rabbit IgG Secondary antibody (HA1121) at 1/1,000 dilution for 30 minutes at +4℃. Unlabelled sample was used as a control (cells without incubation with primary antibody; black).
HA750961_8.jpg Fig8: Flow cytometric analysis of NIH/3T3 cells labeling CSNK2A1.

Cells were fixed and permeabilized. Then stained with the primary antibody (HA750961, 1μg/mL) (red) compared with Rabbit IgG Isotype Control (green). After incubation of the primary antibody at +4℃ for an hour, the cells were stained with a iFluor™ 488 conjugate-Goat anti-Rabbit IgG Secondary antibody (HA1121) at 1/1,000 dilution for 30 minutes at +4℃. Unlabelled sample was used as a control (cells without incubation with primary antibody; black).
Note: All products are “FOR RESEARCH USE ONLY AND ARE NOT INTENDED FOR DIAGNOSTIC OR THERAPEUTIC USE”.