AGL/Alpha-glucosidase Recombinant Rabbit Monoclonal Antibody [PSH04-56]
cat.: HA750963
Product Type: Recombinant Rabbit monoclonal IgG, primary antibodies
Species reactivity: Human, Mouse, Rat
Applications: WB, IHC-P
Clonality: Monoclonal
Clone number: PSH04-56
Form: Liquid
Storage condition: Store at +4℃ after thawing. Aliquot store at -20℃. Avoid repeated freeze / thaw cycles.
Storage buffer: 1*PBS (pH7.4).
Concentration: 1ug/ul
Purification: Protein A affinity purified.
Molecular weight: Predicted band size: 175 kDa
Isotype: IgG
Immunogen: Recombinant protein within human AGL aa 783-1,532 / 1,532.
Positive control: K-562 cell lysate, HEK-293 cell lysate, mouse skeletal muscle tissue lysate, rat skeletal muscle tissue lysate, human liver tissue, mouse liver tissue.
Subcellular location: Cytoplasm.
Recommended Dilutions:
  WB
  IHC-P

1:1,000
1:1,000
Uniprot #: SwissProt: P35573 Human
Entrez Gene: 77559 Mouse | 362029 Rat
Alternative names: 1110061O17Rik 4-1 4-glucantransferase 6-glucosidase 9430004C13Rik 9630046L06Rik AGL AI850929 Amylo 1 6 glucosidase 4 alpha glucanotransferase Amylo-1 Amylo-alpha-1 C77197 Dextrin 6-alpha-D-glucosidase GDE GDE_HUMAN Glycogen debrancher Glycogen debranching enzyme Glycogen storage disease type III Oligo-1
Images
HA750963_1.jpg Fig1: Western blot analysis of AGL/Alpha-glucosidase on different lysates with Rabbit anti-AGL/Alpha-glucosidase antibody (HA750963) at 1/1,000 dilution.

Lane 1: K-562 cell lysate (20 µg/Lane)
Lane 2: HEK-293 cell lysate (20 µg/Lane)
Lane 3: Mouse skeletal muscle tissue lysate (10 µg/Lane)
Lane 4: Rat skeletal muscle tissue lysate (10 µg/Lane)

Lysates/proteins at 10 µg/Lane.

Predicted band size: 175 kDa
Observed band size: 150 kDa

Exposure time: Lane 1-2: 3 minutes; Lane 3-4: 20 seconds; ECL: K1801;

4-20% SDS-PAGE gel.

Proteins were transferred to a PVDF membrane and blocked with 5% NFDM/TBST for 1 hour at room temperature. The primary antibody (HA750963) at 1/1,000 dilution was used in 5% NFDM/TBST at 4℃ overnight. Goat Anti-Rabbit IgG - HRP Secondary Antibody (HA1001) at 1/50,000 dilution was used for 1 hour at room temperature.
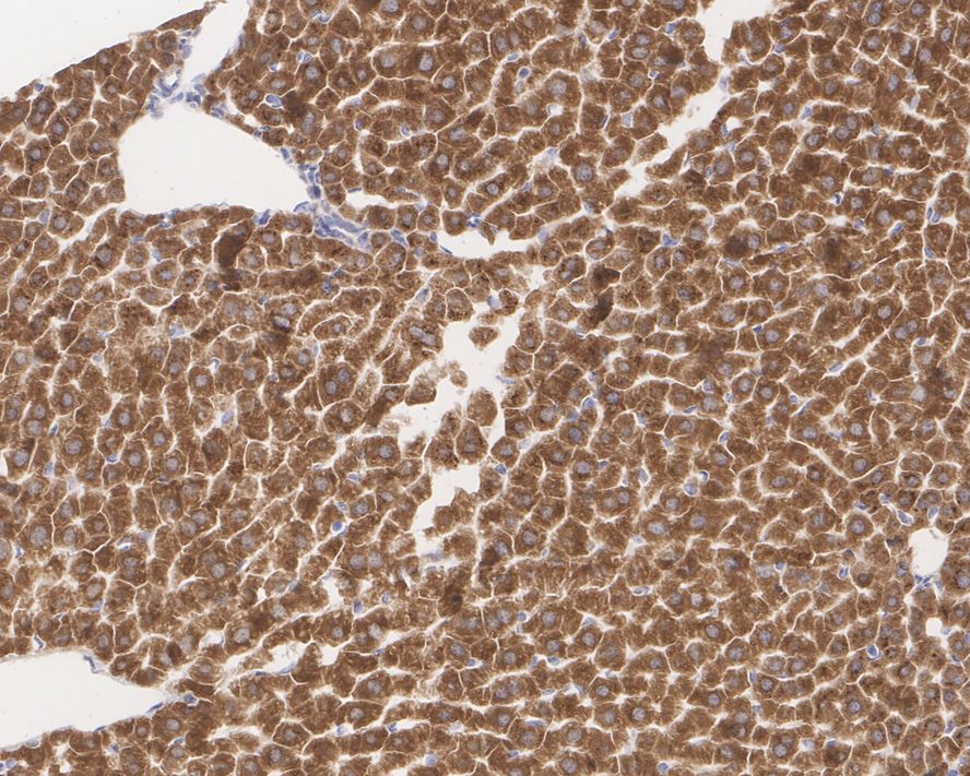
HA750963_2.jpg Fig2: Immunohistochemical analysis of paraffin-embedded human liver tissue with Rabbit anti-AGL/Alpha-glucosidase antibody (HA750963) at 1/1,000 dilution.

The section was pre-treated using heat mediated antigen retrieval with Tris-EDTA buffer (pH 9.0) for 20 minutes. The tissues were blocked in 1% BSA for 20 minutes at room temperature, washed with ddH2O and PBS, and then probed with the primary antibody (HA750963) at 1/1,000 dilution for 1 hour at room temperature. The detection was performed using an HRP conjugated compact polymer system. DAB was used as the chromogen. Tissues were counterstained with hematoxylin and mounted with DPX.
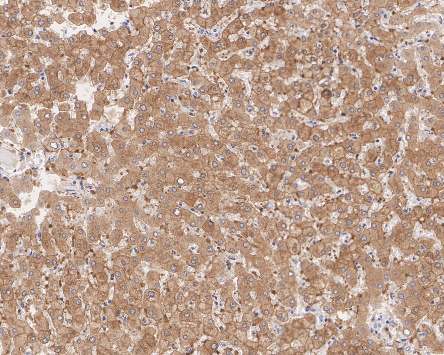
HA750963_3.jpg Fig3: Immunohistochemical analysis of paraffin-embedded mouse liver tissue with Rabbit anti-AGL/Alpha-glucosidase antibody (HA750963) at 1/1,000 dilution.

The section was pre-treated using heat mediated antigen retrieval with Tris-EDTA buffer (pH 9.0) for 20 minutes. The tissues were blocked in 1% BSA for 20 minutes at room temperature, washed with ddH2O and PBS, and then probed with the primary antibody (HA750963) at 1/1,000 dilution for 1 hour at room temperature. The detection was performed using an HRP conjugated compact polymer system. DAB was used as the chromogen. Tissues were counterstained with hematoxylin and mounted with DPX.
Note: All products are “FOR RESEARCH USE ONLY AND ARE NOT INTENDED FOR DIAGNOSTIC OR THERAPEUTIC USE”.