Acid phosphatase/ACP1 Recombinant Rabbit Monoclonal Antibody [PSH04-57]
cat.: HA750964
Product Type: Recombinant Rabbit monoclonal IgG, primary antibodies
Species reactivity: Human, Green monkey
Applications: WB, IHC-P
Clonality: Monoclonal
Clone number: PSH04-57
Form: Liquid
Storage condition: Store at +4℃ after thawing. Aliquot store at -20℃. Avoid repeated freeze / thaw cycles.
Storage buffer: 1*PBS (pH7.4).
Concentration: 1ug/ul
Purification: Protein A affinity purified.
Molecular weight: Predicted band size: 18 kDa
Isotype: IgG
Immunogen: Recombinant protein within human ACP1 aa 1-158 / 158.
Positive control: HepG2 cell lysate, HeLa cell lysate, Jurkat cell lysate, COS-1 cell lysate, human kidney tissue, human stomach tissue, human testis tissue.
Subcellular location: Cytoplasm.
Recommended Dilutions:
  WB
  IHC-P

1:2,000
1:1,000
Uniprot #: SwissProt: P24666 Human
Alternative names: Acid phosphatase 1 soluble Acid phosphatase of erythrocyte ACP1 Adipocyte acid phosphatase Cytoplasmic phosphotyrosyl protein phosphatase HAAP LMW-PTP LMW-PTPase Low molecular weight cytosolic acid phosphatase Low molecular weight phosphotyrosine protein phosphatase PAP1 PAP2 phosphatase, acid, of erythrocyte PPAC_HUMAN Protein tyrosine phosphatase PTPase Purple acid phosphatase Red cell acid phosphatase 1 testicular secretory protein Li 37
Images
HA750964_1.jpg Fig1: Western blot analysis of Acid phosphatase/ACP1 on different lysates with Rabbit anti-Acid phosphatase/ACP1 antibody (HA750964) at 1/2,000 dilution.

Lane 1: HepG2 cell lysate
Lane 2: HeLa cell lysate
Lane 3: Jurkat cell lysate
Lane 4: COS-1 cell lysate

Lysates/proteins at 20 µg/Lane.

Predicted band size: 18 kDa
Observed band size: 18 kDa

Exposure time: 1 minute 33 seconds; ECL: K1801;

4-20% SDS-PAGE gel.

Proteins were transferred to a PVDF membrane and blocked with 5% NFDM/TBST for 1 hour at room temperature. The primary antibody (HA750964) at 1/2,000 dilution was used in 5% NFDM/TBST at 4℃ overnight. Goat Anti-Rabbit IgG - HRP Secondary Antibody (HA1001) at 1/50,000 dilution was used for 1 hour at room temperature.
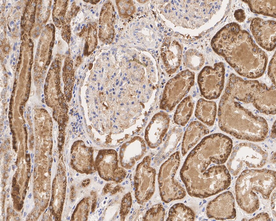
HA750964_2.jpg Fig2: Immunohistochemical analysis of paraffin-embedded human kidney tissue with Rabbit anti-Acid phosphatase/ACP1 antibody (HA750964) at 1/1,000 dilution.

The section was pre-treated using heat mediated antigen retrieval with Tris-EDTA buffer (pH 9.0) for 20 minutes. The tissues were blocked in 1% BSA for 20 minutes at room temperature, washed with ddH2O and PBS, and then probed with the primary antibody (HA750964) at 1/1,000 dilution for 1 hour at room temperature. The detection was performed using an HRP conjugated compact polymer system. DAB was used as the chromogen. Tissues were counterstained with hematoxylin and mounted with DPX.
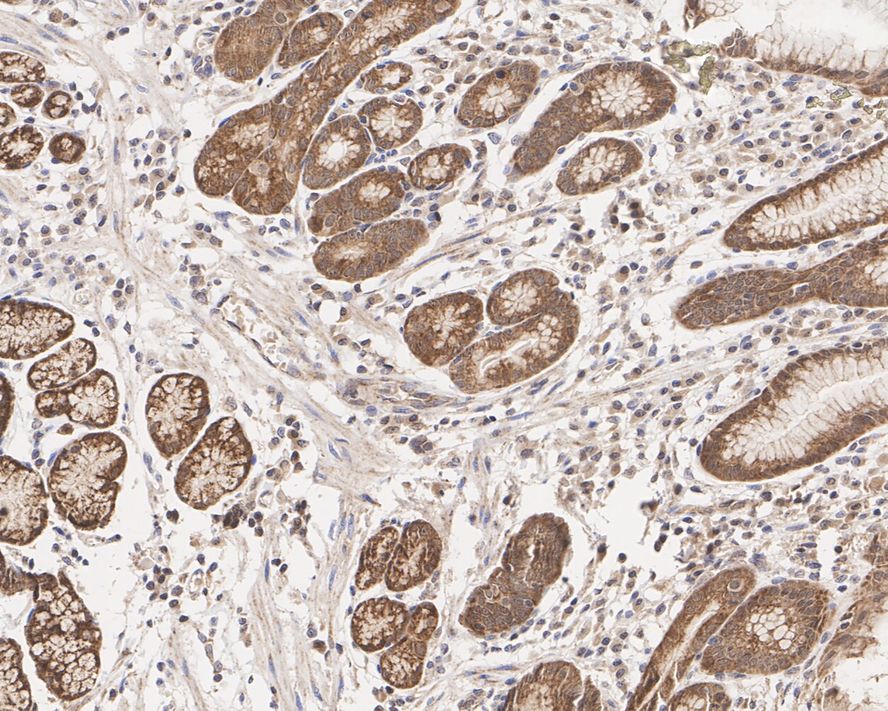
HA750964_3.jpg Fig3: Immunohistochemical analysis of paraffin-embedded human stomach tissue with Rabbit anti-Acid phosphatase/ACP1 antibody (HA750964) at 1/1,000 dilution.

The section was pre-treated using heat mediated antigen retrieval with Tris-EDTA buffer (pH 9.0) for 20 minutes. The tissues were blocked in 1% BSA for 20 minutes at room temperature, washed with ddH2O and PBS, and then probed with the primary antibody (HA750964) at 1/1,000 dilution for 1 hour at room temperature. The detection was performed using an HRP conjugated compact polymer system. DAB was used as the chromogen. Tissues were counterstained with hematoxylin and mounted with DPX.
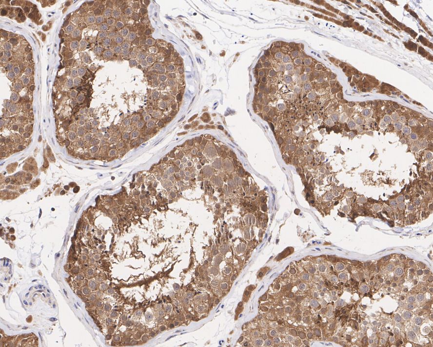
HA750964_4.jpg Fig4: Immunohistochemical analysis of paraffin-embedded human testis tissue with Rabbit anti-Acid phosphatase/ACP1 antibody (HA750964) at 1/1,000 dilution.

The section was pre-treated using heat mediated antigen retrieval with Tris-EDTA buffer (pH 9.0) for 20 minutes. The tissues were blocked in 1% BSA for 20 minutes at room temperature, washed with ddH2O and PBS, and then probed with the primary antibody (HA750964) at 1/1,000 dilution for 1 hour at room temperature. The detection was performed using an HRP conjugated compact polymer system. DAB was used as the chromogen. Tissues were counterstained with hematoxylin and mounted with DPX.
Note: All products are “FOR RESEARCH USE ONLY AND ARE NOT INTENDED FOR DIAGNOSTIC OR THERAPEUTIC USE”.