CSNK1A1 + CSNK1A1L Recombinant Rabbit Monoclonal Antibody [PSH04-58]
cat.: HA750965
Product Type: Recombinant Rabbit monoclonal IgG, primary antibodies
Species reactivity: Human, Mouse, Rat
Applications: WB, IF-Cell, IHC-P, FC, IP
Clonality: Monoclonal
Clone number: PSH04-58
Form: Liquid
Storage condition: Store at +4℃ after thawing. Aliquot store at -20℃. Avoid repeated freeze / thaw cycles.
Storage buffer: 1*PBS (pH7.4).
Concentration: 1ug/ul
Purification: Protein A affinity purified.
Molecular weight: Predicted band size: 39 kDa
Isotype: IgG
Immunogen: Recombinant protein within human CSNK1A1 aa 1-337 / 337.
Positive control: HCT 116 cell lysate, HeLa cell lysate, HEK-293 cell lysate, MCF7 cell lysate, Jurkat cell lysate, NIH/3T3 cell lysate, RAW264.7 cell lysate, PC-12 cell lysate, mouse brain tissue lysate, rat brain tissue lysate, mouse kidney tissue lysate, rat kidney tissue lysate, mouse spleen tissue lysate, rat spleen tissue lysate, human colon cancer tissue, human tonsil tissue, human brain tissue, mouse brain tissue, rat brain tissue, HCT 116.
Subcellular location: Cytoplasm, cytoskeleton, microtubule organizing center, centrosome, Chromosome, centromere, kinetochore, Nucleus speckle, cilium basal body, spindle.
Recommended Dilutions:
  WB
  IF-Cell
  IHC-P
  FC
  IP

1:2,000
1:500
1:1,000
1:1,000
1-2μg/sample
Uniprot #: SwissProt: P48729 Human | Q8N752 Human | Q8BK63 Mouse | P97633 Rat
Alternative names: Casein kinase 1 alpha 1 Casein kinase I isoform alpha CK1 CK1A CKI alpha CKI-alpha CKIa Clock regulator kinase Csnk1a1 Down regulated in lung cancer HLCDGP1 KC1A_HUMAN PRO2975 Casein kinase 1, alpha 1 like casein kinase 1, alpha 1-like Casein kinase I alpha S like Casein kinase I isoform alpha like CK1 CKI alpha like MGC33182 OTTHUMP00000018267 RP11 532O21.2
Images
HA750965_1.jpg Fig1: Western blot analysis of CSNK1A1 + CSNK1A1L on different lysates with Rabbit anti-CSNK1A1 + CSNK1A1L antibody (HA750965) at 1/2,000 dilution.

Lane 1: HCT 116 cell lysate (20 µg/Lane)
Lane 2: HeLa cell lysate (20 µg/Lane)
Lane 3: HEK-293 cell lysate (20 µg/Lane)
Lane 4: MCF7 cell lysate (20 µg/Lane)
Lane 5: Jurkat cell lysate (20 µg/Lane)
Lane 6: NIH/3T3 cell lysate (20 µg/Lane)
Lane 7: RAW264.7 cell lysate (20 µg/Lane)
Lane 8: PC-12 cell lysate (20 µg/Lane)
Lane 9: Mouse brain tissue lysate (40 µg/Lane)
Lane 10: Rat brain tissue lysate (40 µg/Lane)
Lane 11: Mouse kidney tissue lysate (40 µg/Lane)
Lane 12: Rat kidney tissue lysate (40 µg/Lane)
Lane 13: Mouse spleen tissue lysate (40 µg/Lane)
Lane 14: Rat spleen tissue lysate (40 µg/Lane)

Predicted band size: 39 kDa
Observed band size: 34 kDa

Exposure time: 15 seconds; ECL: K1801;
4-20% SDS-PAGE gel.

Proteins were transferred to a PVDF membrane and blocked with 5% NFDM/TBST for 1 hour at room temperature. The primary antibody (HA750965) at 1/2,000 dilution was used in 5% NFDM/TBST at 4℃ overnight. Goat Anti-Rabbit IgG - HRP Secondary Antibody (HA1001) at 1/50,000 dilution was used for 1 hour at room temperature.
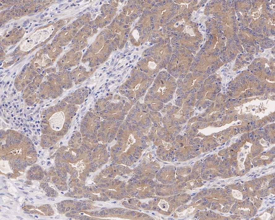
HA750965_2.jpg Fig2: Immunohistochemical analysis of paraffin-embedded human colon cancer tissue with Rabbit anti-CSNK1A1 + CSNK1A1L antibody (HA750965) at 1/1,000 dilution.

The section was pre-treated using heat mediated antigen retrieval with Tris-EDTA buffer (pH 9.0) for 20 minutes. The tissues were blocked in 1% BSA for 20 minutes at room temperature, washed with ddH2O and PBS, and then probed with the primary antibody (HA750965) at 1/1,000 dilution for 1 hour at room temperature. The detection was performed using an HRP conjugated compact polymer system. DAB was used as the chromogen. Tissues were counterstained with hematoxylin and mounted with DPX.
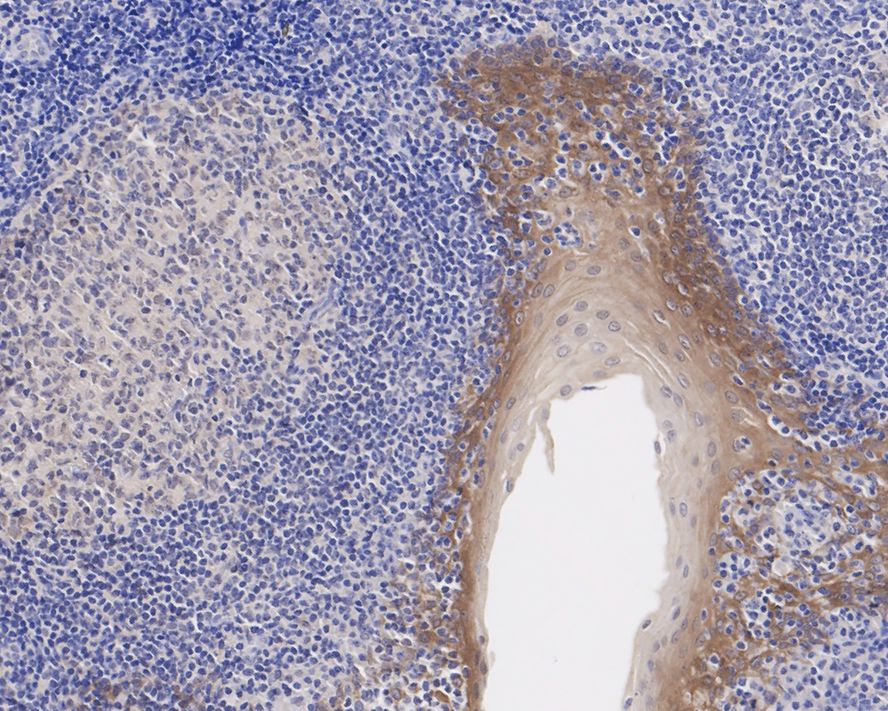
HA750965_3.jpg Fig3: Immunohistochemical analysis of paraffin-embedded human tonsil tissue with Rabbit anti-CSNK1A1 + CSNK1A1L antibody (HA750965) at 1/1,000 dilution.

The section was pre-treated using heat mediated antigen retrieval with Tris-EDTA buffer (pH 9.0) for 20 minutes. The tissues were blocked in 1% BSA for 20 minutes at room temperature, washed with ddH2O and PBS, and then probed with the primary antibody (HA750965) at 1/1,000 dilution for 1 hour at room temperature. The detection was performed using an HRP conjugated compact polymer system. DAB was used as the chromogen. Tissues were counterstained with hematoxylin and mounted with DPX.
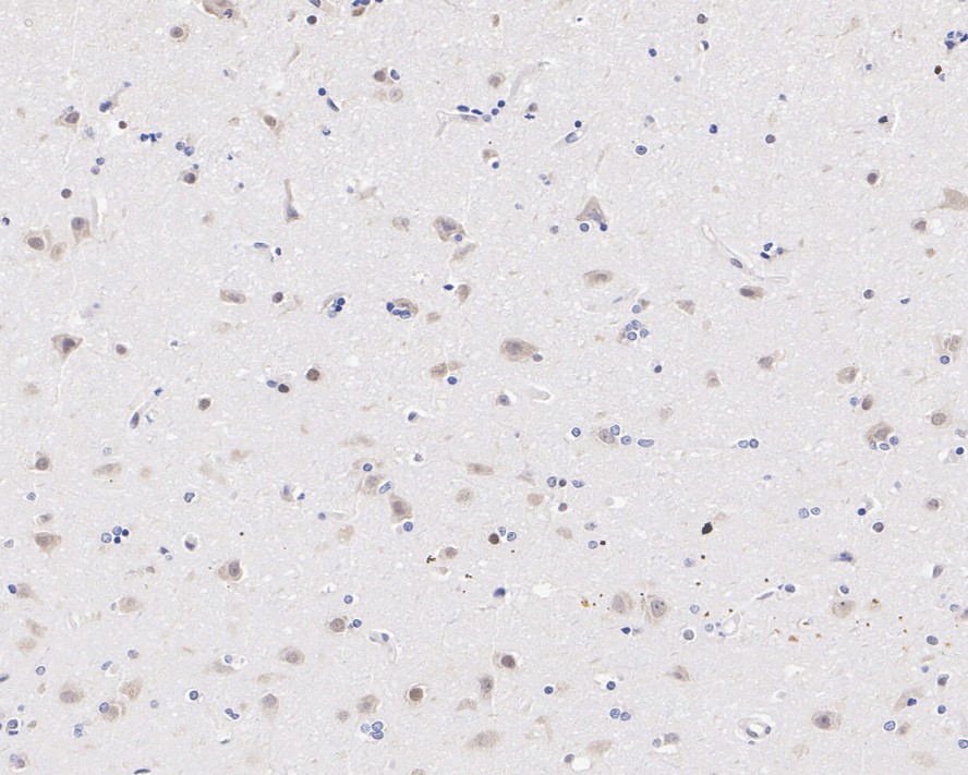
HA750965_4.jpg Fig4: Immunohistochemical analysis of paraffin-embedded human brain tissue with Rabbit anti-CSNK1A1 + CSNK1A1L antibody (HA750965) at 1/1,000 dilution.

The section was pre-treated using heat mediated antigen retrieval with Tris-EDTA buffer (pH 9.0) for 20 minutes. The tissues were blocked in 1% BSA for 20 minutes at room temperature, washed with ddH2O and PBS, and then probed with the primary antibody (HA750965) at 1/1,000 dilution for 1 hour at room temperature. The detection was performed using an HRP conjugated compact polymer system. DAB was used as the chromogen. Tissues were counterstained with hematoxylin and mounted with DPX.
HA750965_5.jpg Fig5: Immunohistochemical analysis of paraffin-embedded mouse brain tissue with Rabbit anti-CSNK1A1 + CSNK1A1L antibody (HA750965) at 1/1,000 dilution.

The section was pre-treated using heat mediated antigen retrieval with Tris-EDTA buffer (pH 9.0) for 20 minutes. The tissues were blocked in 1% BSA for 20 minutes at room temperature, washed with ddH2O and PBS, and then probed with the primary antibody (HA750965) at 1/1,000 dilution for 1 hour at room temperature. The detection was performed using an HRP conjugated compact polymer system. DAB was used as the chromogen. Tissues were counterstained with hematoxylin and mounted with DPX.
HA750965_6.jpg Fig6: Immunohistochemical analysis of paraffin-embedded rat brain tissue with Rabbit anti-CSNK1A1 + CSNK1A1L antibody (HA750965) at 1/1,000 dilution.

The section was pre-treated using heat mediated antigen retrieval with Tris-EDTA buffer (pH 9.0) for 20 minutes. The tissues were blocked in 1% BSA for 20 minutes at room temperature, washed with ddH2O and PBS, and then probed with the primary antibody (HA750965) at 1/1,000 dilution for 1 hour at room temperature. The detection was performed using an HRP conjugated compact polymer system. DAB was used as the chromogen. Tissues were counterstained with hematoxylin and mounted with DPX.
HA750965_7.jpg Fig7: Immunocytochemistry analysis of HCT 116 cells labeling CSNK1A1 + CSNK1A1L with Rabbit anti-CSNK1A1 + CSNK1A1L antibody (HA750965) at 1/500 dilution.

Cells were fixed in 4% paraformaldehyde for 20 minutes at room temperature, permeabilized with 0.1% Triton X-100 in PBS for 5 minutes at room temperature, then blocked with 1% BSA in 10% negative goat serum for 1 hour at room temperature. Cells were then incubated with Rabbit anti-CSNK1A1 + CSNK1A1L antibody (HA750965) at 1/500 dilution in 1% BSA in PBST overnight at 4 ℃. Goat Anti-Rabbit IgG H&L (iFluor™ 488, HA1121) was used as the secondary antibody at 1/1,000 dilution. PBS instead of the primary antibody was used as the secondary antibody only control. Nuclear DNA was labelled in blue with DAPI.

Beta tubulin (M1305-2, red) was stained at 1/100 dilution overnight at +4℃. Goat Anti-Mouse IgG H&L (iFluor™ 594, HA1126) was used as the secondary antibody at 1/1,000 dilution.
HA750965_8.jpg Fig8: CSNK1A1 + CSNK1A1L was immunoprecipitated from 0.2 mg HeLa cell lysate with HA750965 at 2 µg/10 µl beads. Western blot was performed from the immunoprecipitate using HA750965 at 1/1,000 dilution. Anti-Rabbit IgG for IP Nano-secondary antibody (NBI01H) at 1/5,000 dilution was used for 1 hour at room temperature.

Lane 1: HeLa cell lysate (input)
Lane 2: HA750965 IP in HeLa cell lysate
Lane 3: Rabbit IgG instead of HA750965 in HeLa cell lysate

Blocking/Dilution buffer: 5% NFDM/TBST
Exposure time: 1 minute 11 seconds; ECL: K1801
HA750965_9.jpg Fig9: Flow cytometric analysis of HCT 116 cells labeling CSNK1A1 + CSNK1A1L.

Cells were fixed and permeabilized. Then stained with the primary antibody (HA750965, 1μg/mL) (red) compared with Rabbit IgG Isotype Control (green). After incubation of the primary antibody at +4℃ for an hour, the cells were stained with a iFluor™ 488 conjugate-Goat anti-Rabbit IgG Secondary antibody (HA1121) at 1/1,000 dilution for 30 minutes at +4℃. Unlabelled sample was used as a control (cells without incubation with primary antibody; black).
Note: All products are “FOR RESEARCH USE ONLY AND ARE NOT INTENDED FOR DIAGNOSTIC OR THERAPEUTIC USE”.