SREBP1 Recombinant Rabbit Monoclonal Antibody [PSH04-61]
cat.: HA750968
Product Type: Recombinant Rabbit monoclonal IgG, primary antibodies
Species reactivity: Human
Applications: WB, IHC-P, IF-Cell
Clonality: Monoclonal
Clone number: PSH04-61
Form: Liquid
Storage condition: Store at +4℃ after thawing. Aliquot store at -20℃. Avoid repeated freeze / thaw cycles.
Storage buffer: 1*PBS (pH7.4).
Concentration: 1ug/ul
Purification: Protein A affinity purified.
Molecular weight: Predicted band size: 122 kDa
Isotype: IgG
Immunogen: Synthetic peptide within human SREBP1 aa 301-350 / 1,147.
Positive control: HeLa cell lysate, HEK-293 cell lysate, MCF7 cell lysate, A549 cell lysate, SK-Br-3 cell lysate, human adrenal gland tissue, HeLa.
Subcellular location: Endoplasmic reticulum membrane, Golgi apparatus membrane, Cytoplasmic vesicle, COPII-coated vesicle membrane; Nucleus.
Recommended Dilutions:
  WB
  IHC-P
  IF-Cell

1:2,000
1:50
1:100
Uniprot #: SwissProt: P36956 Human
Alternative names: ADD 1 bHLHd1 Class D basic helix-loop-helix protein 1 D630008H06 Processed sterol regulatory element-binding protein 1 SRBP1_HUMAN SREBF 1 SREBF1 SREBP 1 SREBP 1c SREBP-1 SREBP1 Sterol regulatory element binding protein 1 Sterol Regulatory Element Binding Transcription Factor 1 / Protein 1 Sterol regulatory element binding transcription factor 1 Sterol regulatory element-binding transcription factor 1
Images
HA750968_1.jpg Fig1: Western blot analysis of SREBP1 on different lysates with Rabbit anti-SREBP1 antibody (HA750968) at 1/2,000 dilution.

Lane 1: HeLa cell lysate
Lane 2: HEK-293 cell lysate
Lane 3: MCF7 cell lysate
Lane 4: A549 cell lysate
Lane 5: SK-Br-3 cell lysate

Lysates/proteins at 20 µg/Lane.

Predicted band size: 122 kDa
Observed band size: 80-100 kDa

Exposure time: 3 minutes; ECL: K1801;

4-20% SDS-PAGE gel.

Proteins were transferred to a PVDF membrane and blocked with 5% NFDM/TBST for 1 hour at room temperature. The primary antibody (HA750968) at 1/2,000 dilution was used in 5% NFDM/TBST at 4℃ overnight. Goat Anti-Rabbit IgG - HRP Secondary Antibody (HA1001) at 1/50,000 dilution was used for 1 hour at room temperature.
HA750968_2.jpg Fig2: Western blot analysis of SREBP1 on different lysates with Rabbit anti-SREBP1 antibody (HA750968) at 1/2,000 dilution.

Lane 1: HeLa-si-NT cell lysate
Lane 2: HeLa-si-SREBP1 cell lysate

Lysates/proteins at 10 µg/Lane.

Predicted band size: 122 kDa
Observed band size: 100 kDa

Exposure time: 1 minute 50 seconds; ECL: K1801;

4-20% SDS-PAGE gel.

Proteins were transferred to a PVDF membrane and blocked with 5% NFDM/TBST for 1 hour at room temperature. The primary antibody (HA750968) at 1/2,000 dilution was used in 5% NFDM/TBST at 4℃ overnight. Goat Anti-Rabbit IgG - HRP Secondary Antibody (HA1001) at 1/50,000 dilution was used for 1 hour at room temperature.
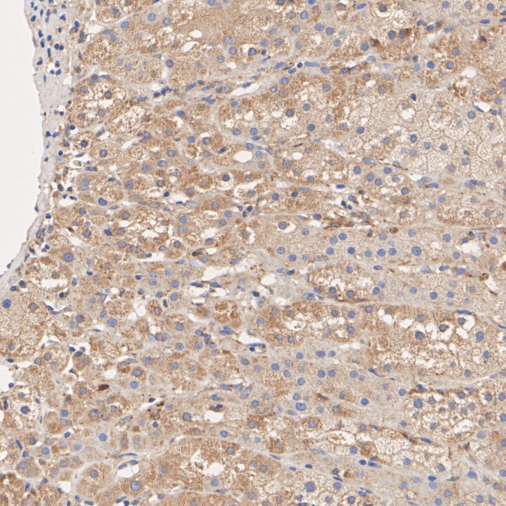
HA750968_3.jpg Fig3: Immunohistochemical analysis of paraffin-embedded human adrenal gland tissue with Rabbit anti-SREBP1 antibody (HA750968) at 1/50 dilution.

The section was pre-treated using heat mediated antigen retrieval with sodium citrate buffer (pH 6.0) (high pressure) for 2 minutes. The tissues were blocked in 1% BSA for 20 minutes at room temperature, washed with ddH2O and PBS, and then probed with the primary antibody (HA750968) at 1/50 dilution for 1 hour at room temperature. The detection was performed using an HRP conjugated compact polymer system. DAB was used as the chromogen. Tissues were counterstained with hematoxylin and mounted with DPX.
HA750968_4.jpg Fig4: Immunocytochemistry analysis of HeLa cells labeling SREBP1 with Rabbit anti-SREBP1 antibody (HA750968) at 1/100 dilution.

Cells were fixed in 4% paraformaldehyde for 20 minutes at room temperature, permeabilized with 0.1% Triton X-100 in PBS for 5 minutes at room temperature, then blocked with 1% BSA in 10% negative goat serum for 1 hour at room temperature. Cells were then incubated with Rabbit anti-SREBP1 antibody (HA750968) at 1/100 dilution in 1% BSA in PBST overnight at 4 ℃. Goat Anti-Rabbit IgG H&L (iFluor™ 488, HA1121) was used as the secondary antibody at 1/1,000 dilution. PBS instead of the primary antibody was used as the secondary antibody only control. Nuclear DNA was labelled in blue with DAPI.

Beta tubulin (M1305-2, red) was stained at 1/100 dilution overnight at +4℃. Goat Anti-Mouse IgG H&L (iFluor™ 594, HA1126) was used as the secondary antibody at 1/1,000 dilution.
Note: All products are “FOR RESEARCH USE ONLY AND ARE NOT INTENDED FOR DIAGNOSTIC OR THERAPEUTIC USE”.