Caspase-8 Recombinant Rabbit Monoclonal Antibody [PSH04-77]
cat.: HA750971
Product Type: Recombinant Rabbit monoclonal IgG, primary antibodies
Species reactivity: Human
Applications: WB, IF-Cell, IHC-P, FC, IP
Clonality: Monoclonal
Clone number: PSH04-77
Form: Liquid
Storage condition: Store at +4℃ after thawing. Aliquot store at -20℃. Avoid repeated freeze / thaw cycles.
Storage buffer: 1*PBS (pH7.4).
Concentration: 1ug/ul
Purification: Protein A affinity purified.
Molecular weight: Predicted band size: 55 kDa
Isotype: IgG
Immunogen: Synthetic peptide within human Caspase-8 aa 325-374 / 479.
Positive control: Jurkat cell lysate, Jurkat treated with 25μM Etoposide for 5 hours cell lysate, Jurkat treated with 25μM Etoposide for 16 hours cell lysate, Jurkat treated with 1μM staurosporine for 3 hours cell lysate, HeLa cell lysate, HeLa treated with 1μM staurosporine for 3 hours cell lysate, HeLa treated with 100μM Etoposide for 4 hours cell lysate, human tonsil tissue, human liver tissue, HeLa cells treated with 1μM staurosporine for 3 hours.
Subcellular location: Cytoplasm, Nucleus.
Recommended Dilutions:
  WB
  IF-Cell
  IHC-P
  FC
  IP

1:1,000-1:2,000
1:100
1:200-1:1,000
1:1,000
1-2μg/sample
Uniprot #: SwissProt: Q14790 Human
Alternative names: ALPS2B Amyotrophic lateral sclerosis 2 chromosomal region candidate gene 12 protein Apoptotic cysteine protease Apoptotic protease Mch-5 Apoptotic protease Mch5 CAP4 CASP-8 CASP8 CASP8_HUMAN Caspase8 Caspase 8 Caspase 8 apoptosis related cysteine peptidase Caspase-8 subunit p10 CED 3 FADD Like ICE FADD-homologous ICE/CED-3-like protease FADD-like ICE FLICE FLJ17672 ICE-like apoptotic protease 5 MACH alpha 1/2/3 protein MACH MACH beta 1/2/3/4 protein MCH5 MGC78473 MORT1 associated ced 3 homolog MORT1-associated CED-3 homolog OTTHUMP00000163717 OTTHUMP00000163720 OTTHUMP00000163724 OTTHUMP00000163725 OTTHUMP00000165062 OTTHUMP00000165063 OTTHUMP00000165064 OTTHUMP00000206552 OTTHUMP00000206582
Images
HA750971_1.jpg Fig1: Western blot analysis of Caspase-8 on different lysates with Rabbit anti-Caspase-8 antibody (HA750971) at 1/2,000 dilution.

Lane 1: Jurkat cell lysate (30 µg/Lane)
Lane 2: Jurkat treated with 25μM Etoposide for 5 hours cell lysate (30 µg/Lane)
Lane 3: Jurkat treated with 25μM Etoposide for 16 hours cell lysate (30 µg/Lane)
Lane 4: Jurkat treated with 1μM staurosporine for 3 hours cell lysate (30 µg/Lane)
Lane 5: HeLa cell lysate (30 µg/Lane)
Lane 6: HeLa treated with 1μM staurosporine for 3 hours cell lysate (30 µg/Lane)
Lane 7: HeLa treated with 100μM Etoposide for 4 hours cell lysate (30 µg/Lane)

Predicted band size: 55 kDa
Observed band size: 18-55 kDa
Exposure time: 3 minutes; ECL: K1801;
4-20% SDS-PAGE gel.

Proteins were transferred to a PVDF membrane and blocked with 5% NFDM/TBST for 1 hour at room temperature. The primary antibody (HA750971) at 1/2,000 dilution was used in antibody diluent at 4℃ overnight. Goat Anti-Rabbit IgG - HRP Secondary Antibody (HA1001) at 1/50,000 dilution was used for 1 hour at room temperature.
HA750971_2.jpg Fig2: Immunocytochemistry analysis of HeLa cells treated with or without 1μM staurosporine for 3 hours labeling Caspase-8 with Rabbit anti-Caspase-8 antibody (HA750971) at 1/100 dilution.

Cells were fixed in 4% paraformaldehyde for 20 minutes at room temperature, permeabilized with 0.1% Triton X-100 in PBS for 5 minutes at room temperature, then blocked with 1% BSA in 10% negative goat serum for 1 hour at room temperature. Cells were then incubated with Rabbit anti-Caspase-8 antibody (HA750971) at 1/100 dilution in 1% BSA in PBST overnight at 4 ℃. Goat Anti-Rabbit IgG H&L (iFluor™ 488, HA1121) was used as the secondary antibody at 1/1,000 dilution. PBS instead of the primary antibody was used as the secondary antibody only control. Nuclear DNA was labelled in blue with DAPI.

Beta tubulin (M1305-2, red) was stained at 1/100 dilution overnight at +4℃. Goat Anti-Mouse IgG H&L (iFluor™ 594, HA1126) was used as the secondary antibody at 1/1,000 dilution.
HA750971_3.jpg Fig3: Western blot analysis of Caspase-8 on different lysates with Rabbit anti-Caspase-8 antibody (HA750971) at 1/1,000 dilution.

Lane 1: HAP1-parental cell lysate
Lane 2: HAP1-Caspase-8 KD cell lysate

Lysates/proteins at 10 µg/Lane.

Predicted band size: 55 kDa
Observed band size: 54,55 kDa

Exposure time: 180 seconds; ECL: K1802;

4-20% SDS-PAGE gel.

Proteins were transferred to a PVDF membrane and blocked with 5% NFDM/TBST for 1 hour at room temperature. The primary antibody (HA750971) at 1/1,000 dilution was used in 5% NFDM/TBST at 4℃ overnight. Goat Anti-Rabbit IgG - HRP Secondary Antibody (HA1001) at 1/50,000 dilution was used for 1 hour at room temperature.
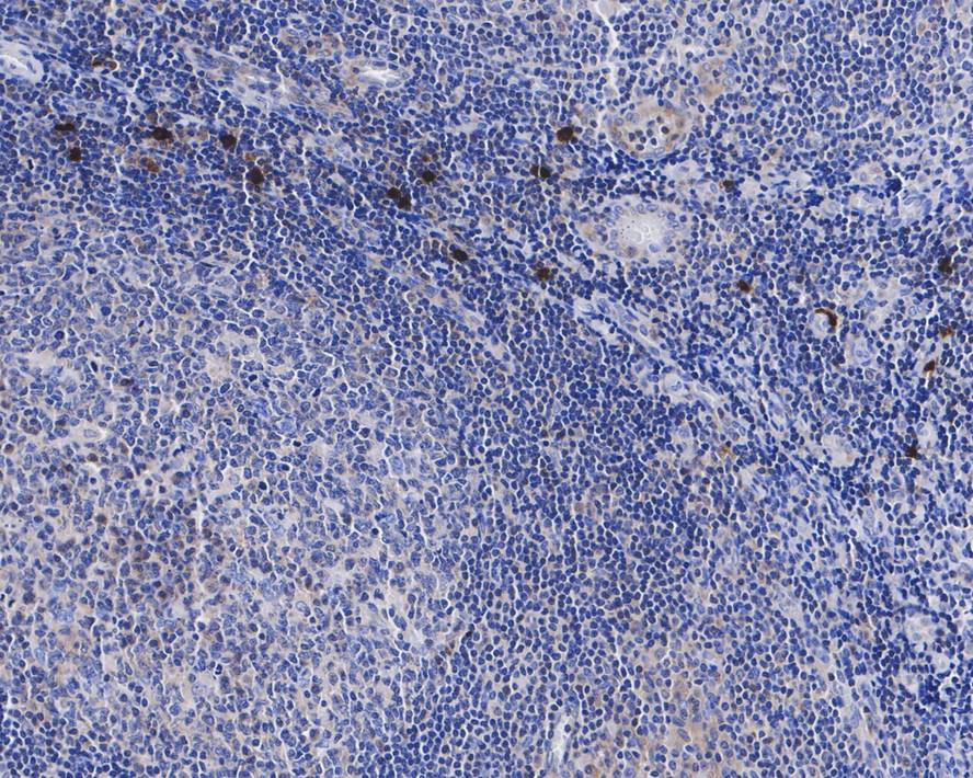
HA750971_4.jpg Fig4: Immunohistochemical analysis of paraffin-embedded human tonsil tissue with Rabbit anti-Caspase-8 antibody (HA750971) at 1/1,000 dilution.

The section was pre-treated using heat mediated antigen retrieval with Tris-EDTA buffer (pH 9.0) for 20 minutes. The tissues were blocked in 1% BSA for 20 minutes at room temperature, washed with ddH2O and PBS, and then probed with the primary antibody (HA750971) at 1/1,000 dilution for 1 hour at room temperature. The detection was performed using an HRP conjugated compact polymer system. DAB was used as the chromogen. Tissues were counterstained with hematoxylin and mounted with DPX.
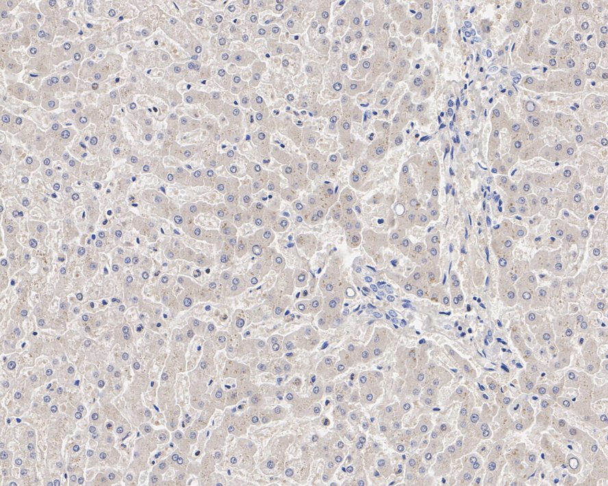
HA750971_5.jpg Fig5: Immunohistochemical analysis of paraffin-embedded human liver tissue with Rabbit anti-Caspase-8 antibody (HA750971) at 1/200 dilution.

The section was pre-treated using heat mediated antigen retrieval with Tris-EDTA buffer (pH 9.0) for 20 minutes. The tissues were blocked in 1% BSA for 20 minutes at room temperature, washed with ddH2O and PBS, and then probed with the primary antibody (HA750971) at 1/200 dilution for 1 hour at room temperature. The detection was performed using an HRP conjugated compact polymer system. DAB was used as the chromogen. Tissues were counterstained with hematoxylin and mounted with DPX.
HA750971_6.jpg Fig6: Flow cytometric analysis of HeLa cells treated with or without 1μM staurosporine for 3 hours cells labeling Caspase-8.

Cells were fixed and permeabilized. Then stained with the primary antibody (HA750971, 1μg/mL) (red) compared with Rabbit IgG Isotype Control (green). After incubation of the primary antibody at +4℃ for an hour, the cells were stained with a iFluor™ 488 conjugate-Goat anti-Rabbit IgG Secondary antibody (HA1121) at 1/1,000 dilution for 30 minutes at +4℃. Unlabelled sample was used as a control (cells without incubation with primary antibody; black).
HA750971_7.jpg Fig7: Caspase-8 was immunoprecipitated from 0.2 mg HeLa treated with 1μM staurosporine for 3 hours cell lysate with HA750971 at 2 µg/10 µl beads. Western blot was performed from the immunoprecipitate using HA750971 at 1/2,000 dilution. Anti-Rabbit IgG for IP Nano-secondary antibody (NBI01H) at 1/5,000 dilution was used for 1 hour at room temperature.

Lane 1: HeLa treated with 1μM staurosporine for 3 hours cell lysate (input)
Lane 2: HA750971 IP in HeLa treated with 1μM staurosporine for 3 hours cell lysate
Lane 3: Rabbit IgG instead of HA750971 in HeLa treated with 1μM staurosporine for 3 hours cell lysate

Blocking/Dilution buffer: 5% NFDM/TBST
Exposure time: 1 minute 28 seconds; ECL: K1801
Note: All products are “FOR RESEARCH USE ONLY AND ARE NOT INTENDED FOR DIAGNOSTIC OR THERAPEUTIC USE”.