PD-L1 Recombinant Rabbit Monoclonal Antibody [PSH04-80]
cat.: HA750974
Product Type: Recombinant Rabbit monoclonal IgG, primary antibodies
Species reactivity: Mouse
Applications: WB, IHC-P
Clonality: Monoclonal
Clone number: PSH04-80
Form: Liquid
Storage condition: Store at +4℃ after thawing. Aliquot store at -20℃. Avoid repeated freeze / thaw cycles.
Storage buffer: 1*PBS (pH7.4).
Concentration: 1ug/ul
Purification: Protein A affinity purified.
Molecular weight: Predicted band size: 33 kDa
Isotype: IgG
Immunogen: Recombinant protein within mouse PD-L1 aa 1-250 / 290.
Positive control: RAW264.7 treated with 10μg/mL LPS for 8 hours cell lysate, J774A.1 treated with 1μg/mL LPS for 24 hours cell lysate, mouse spleen tissue lysate, mouse thymus tissue, mouse lung tissue.
Subcellular location: Cell membrane, Early endosome membrane, Recycling endosome membrane.
Recommended Dilutions:
  WB
  IHC-P

1:2,000
1:200
Uniprot #: SwissProt: Q9EP73 Mouse
Alternative names: B7 H B7 H1 B7 homolog 1 B7-H1 B7H B7H1 CD 274 CD-274 CD274 CD274 antigen CD274 molecule MGC142294 MGC142296 OTTHUMP00000021029 PD L1 PD-L1 PD1L1_HUMAN PDCD1 ligand 1 PDCD1L1 PDCD1LG1 PDL 1 PDL1 Programmed cell death 1 ligand 1 Programmed death ligand 1 RGD1566211
Images
HA750974_1.jpg Fig1: Western blot analysis of PD-L1 on different lysates with Rabbit anti-PD-L1 antibody (HA750974) at 1/2,000 dilution.

Lane 1: RAW264.7 cell lysate
Lane 2: RAW264.7 treated with 10μg/mL LPS for 8 hours cell lysate
Lane 3: J774A.1 cell lysate
Lane 4: J774A.1 treated with 1μg/mL LPS for 24 hours cell lysate
Lane 5: Mouse spleen tissue lysate

Lysates/proteins at 30 µg/Lane.

Predicted band size: 33 kDa
Observed band size: 45-60 kDa

Exposure time: 46 seconds; ECL: K1802;

4-20% SDS-PAGE gel.

Proteins were transferred to a PVDF membrane and blocked with 5% NFDM/TBST for 1 hour at room temperature. The primary antibody (HA750974) at 1/2,000 dilution was used in 5% NFDM/TBST at 4℃ overnight. Goat Anti-Rabbit IgG - HRP Secondary Antibody (HA1001) at 1/50,000 dilution was used for 1 hour at room temperature.
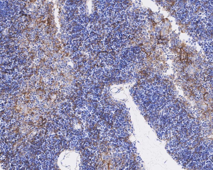
HA750974_2.jpg Fig2: Immunohistochemical analysis of paraffin-embedded mouse thymus tissue with Rabbit anti-PD-L1 antibody (HA750974) at 1/200 dilution.

The section was pre-treated using heat mediated antigen retrieval with Tris-EDTA buffer (pH 9.0) for 20 minutes. The tissues were blocked in 1% BSA for 20 minutes at room temperature, washed with ddH2O and PBS, and then probed with the primary antibody (HA750974) at 1/200 dilution for 1 hour at room temperature. The detection was performed using an HRP conjugated compact polymer system. DAB was used as the chromogen. Tissues were counterstained with hematoxylin and mounted with DPX.
HA750974_3.jpg Fig3: Immunohistochemical analysis of paraffin-embedded mouse lung tissue with Rabbit anti-PD-L1 antibody (HA750974) at 1/200 dilution.

The section was pre-treated using heat mediated antigen retrieval with Tris-EDTA buffer (pH 9.0) for 20 minutes. The tissues were blocked in 1% BSA for 20 minutes at room temperature, washed with ddH2O and PBS, and then probed with the primary antibody (HA750974) at 1/200 dilution for 1 hour at room temperature. The detection was performed using an HRP conjugated compact polymer system. DAB was used as the chromogen. Tissues were counterstained with hematoxylin and mounted with DPX.
Note: All products are “FOR RESEARCH USE ONLY AND ARE NOT INTENDED FOR DIAGNOSTIC OR THERAPEUTIC USE”.