TPH2 Recombinant Rabbit Monoclonal Antibody [PSH04-89]
cat.: HA750976
Product Type: Recombinant Rabbit monoclonal IgG, primary antibodies
Species reactivity: Mouse, Rat, Cynomolgus monkey, Pig
Applications: WB, IHC-P, IHC-Fr, IP
Clonality: Monoclonal
Clone number: PSH04-89
Form: Liquid
Storage condition: Store at +4℃ after thawing. Aliquot store at -20℃. Avoid repeated freeze / thaw cycles.
Storage buffer: 1*PBS (pH7.4).
Concentration: 1ug/ul
Purification: Protein A affinity purified.
Molecular weight: Predicted band size: 56 kDa
Isotype: IgG
Immunogen: Recombinant protein with Human THP2 aa 1-490.
Positive control: Mouse hippocampus tissue lysate, mouse brain tissue lysate, rat brain tissue lysate, rat hippocampus tissue lysate, mouse midbrain tissue, mouse cerebrum tissue, rat cerebrum tissue, mouse brain (raphe nucleus) tissue.
Subcellular location: Cytosol, neuron projection.
Recommended Dilutions:
  WB
  IHC-P
  IHC-Fr
  IP

1:2,000
1:500
1:500
1-2μg/sample
Uniprot #: SwissProt: Q8CGV2 Mouse | Q8CGU9 Rat
Alternative names: MGC138871 ADHD7 FLJ37295 MGC138872 Neuronal tryptophan hydroxylase NTPH TPH 2 Tph2 TPH2_HUMAN Tryptophan 5-hydroxylase 2 Tryptophan 5-monooxygenase 2 Tryptophan hydroxylase 2
Images
HA750976_1.jpg Fig1: Application: IHC-Fr

Species: Mouse

Site: Raphe nucleus

Sample: Frozen section

Antibody concentration: 1/500

Antigen retrieval: Not required
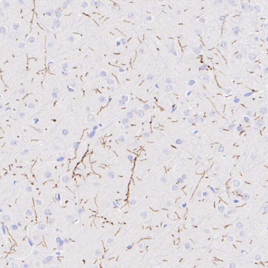
HA750976_2.jpg Fig2: Immunohistochemical analysis of paraffin-embedded mouse midbrain tissue with Rabbit anti-TPH2 antibody (HA750976) at 1/500 dilution.

The section was pre-treated using heat mediated antigen retrieval with Tris-EDTA buffer (pH 9.0) for 20 minutes. The tissues were blocked in 1% BSA for 20 minutes at room temperature, washed with ddH2O and PBS, and then probed with the primary antibody (HA750976) at 1/500 dilution for 1 hour at room temperature. The detection was performed using an HRP conjugated compact polymer system. DAB was used as the chromogen. Tissues were counterstained with hematoxylin and mounted with DPX.
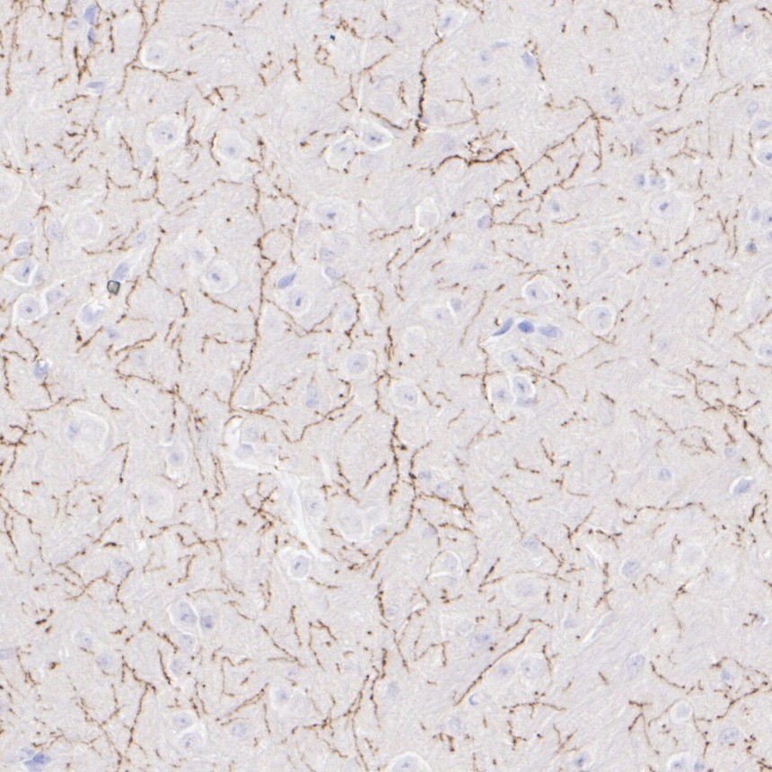
HA750976_3.jpg Fig3: Immunohistochemical analysis of paraffin-embedded mouse cerebrum tissue with Rabbit anti-TPH2 antibody (HA750976) at 1/500 dilution.

The section was pre-treated using heat mediated antigen retrieval with Tris-EDTA buffer (pH 9.0) for 20 minutes. The tissues were blocked in 1% BSA for 20 minutes at room temperature, washed with ddH2O and PBS, and then probed with the primary antibody (HA750976) at 1/500 dilution for 1 hour at room temperature. The detection was performed using an HRP conjugated compact polymer system. DAB was used as the chromogen. Tissues were counterstained with hematoxylin and mounted with DPX.
HA750976_4.jpg Fig4: Immunohistochemical analysis of paraffin-embedded rat cerebrum tissue with Rabbit anti-TPH2 antibody (HA750976) at 1/500 dilution.

The section was pre-treated using heat mediated antigen retrieval with Tris-EDTA buffer (pH 9.0) for 20 minutes. The tissues were blocked in 1% BSA for 20 minutes at room temperature, washed with ddH2O and PBS, and then probed with the primary antibody (HA750976) at 1/500 dilution for 1 hour at room temperature. The detection was performed using an HRP conjugated compact polymer system. DAB was used as the chromogen. Tissues were counterstained with hematoxylin and mounted with DPX.
HA750976_5.jpg Fig5: Western blot analysis of TPH2 on different lysates with Rabbit anti-TPH2 antibody (HA750976) at 1/2,000 dilution.

Lane 1: Mouse brain tissue lysate
Lane 2: Mouse kidney tissue lysate (negative)
Lane 3: Rat brain tissue lysate
Lane 4: Rat kidney tissue lysate (negative)

Lysates/proteins at 20 µg/Lane.

Predicted band size: 56 kDa
Observed band size: 50 kDa

Exposure time: 1 minute 2 seconds; ECL: K1801;

4-20% SDS-PAGE gel.

Proteins were transferred to a PVDF membrane and blocked with 5% NFDM/TBST for 1 hour at room temperature. The primary antibody (HA750976) at 1/2,000 dilution was used in 5% NFDM/TBST at 4℃ overnight. Goat Anti-Rabbit IgG - HRP Secondary Antibody (HA1001) at 1/50,000 dilution was used for 1 hour at room temperature.
HA750976_6.jpg Fig6: TPH2 was immunoprecipitated from 0.2 mg rat brain tissue lysate with HA750976 at 2 µg/10 µl beads. Western blot was performed from the immunoprecipitate using HA750976 at 1/1,000 dilution. Anti-Rabbit IgG for IP Nano-secondary antibody (NBI01H) at 1/5,000 dilution was used for 1 hour at room temperature.

Lane 1: rat brain tissue lysate (input)
Lane 2: HA750976 IP in rat brain tissue lysate
Lane 3: Rabbit IgG instead of HA750976 in rat brain tissue lysate

Blocking/Dilution buffer: 5% NFDM/TBST
Exposure time: 3 minutes; ECL: K1801
Note: All products are “FOR RESEARCH USE ONLY AND ARE NOT INTENDED FOR DIAGNOSTIC OR THERAPEUTIC USE”.