APP/beta Amyloid Recombinant Rabbit Monoclonal Antibody [PSH04-90]
cat.: HA750977
Product Type: Recombinant Rabbit monoclonal IgG, primary antibodies
Species reactivity: Human, Mouse
Applications: WB, IF-Cell, IHC-P
Clonality: Monoclonal
Clone number: PSH04-90
Form: Liquid
Storage condition: Store at +4℃ after thawing. Aliquot store at -20℃. Avoid repeated freeze / thaw cycles.
Storage buffer: 1*PBS (pH7.4).
Concentration: 1ug/ul
Purification: Immunogen affinity purified.
Molecular weight: Predicted band size: 87 kDa
Isotype: IgG
Immunogen: Synthetic peptide within C-terminal human Amyloid Beta.
Positive control: HeLa cell lysate, HeLa treated with 100ng/mL Nocodazole for 17 hours cell lysate, SH-SY5Y cell lysate, AD mouse brain tissue lysate, mouse brain tissue lysate, HeLa, AD mouse brain tissue, mouse brain tissue.
Subcellular location: Cell membrane, Membrane, Perikaryon, Cell projection, growth cone, Membrane, clathrin-coated pit, Early endosome, Cytoplasmic vesicle.
Recommended Dilutions:
  WB
  IF-Cell
  IHC-P

1:1,000
1:100
1:200-1:1,000
Uniprot #: SwissProt: P05067 Human | P12023 Mouse
Alternative names: A4 amyloid protein A4_HUMAN AAA ABETA ABPP AD1 AICD-50 AICD-57 AICD-59 AID(50) AID(57) AID(59) Alzheimer disease amyloid protein Amyloid beta (A4) precursor protein Amyloid beta A4 protein Amyloid beta protein Amyloid intracellular domain 50 Amyloid intracellular domain 57 Amyloid intracellular domain 59 Amyloid precursor protein APP APPI Beta amyloid peptide beta-amyloid peptide Beta-amyloid precursor protein Beta-APP40 Beta-APP42 C31 Cerebral vascular amyloid peptide CTFgamma CVAP Gamma-CTF(50) Gamma-CTF(57) Gamma-CTF(59) peptidase nexin II peptidase nexin-II PN 2 PN II PN-II PN2 PreA4 Protease nexin II Protease nexin-II S-APP-alpha S-APP-beta sAPP
Images
HA750977_1.jpg Fig1: Western blot analysis of APP/beta Amyloid on different lysates with Rabbit anti-APP/beta Amyloid antibody (HA750977) at 1/1,000 dilution.

Lane 1: HeLa cell lysate
Lane 2: HeLa treated with 100ng/mL Nocodazole for 17 hours cell lysate
Lane 3: SH-SY5Y cell lysate

Lysates/proteins at 20 µg/Lane.

Predicted band size: 87 kDa
Observed band size: 87-120 kDa

Exposure time: 1 minute 2 seconds; ECL: K1801;

4-20% SDS-PAGE gel.

Proteins were transferred to a PVDF membrane and blocked with 5% NFDM/TBST for 1 hour at room temperature. The primary antibody (HA750977) at 1/1,000 dilution was used in 5% NFDM/TBST at 4℃ overnight. Goat Anti-Rabbit IgG - HRP Secondary Antibody (HA1001) at 1/50,000 dilution was used for 1 hour at room temperature.
HA750977_2.jpg Fig2: Western blot analysis of APP/beta Amyloid on different lysates with Rabbit anti-APP/beta Amyloid antibody (HA750977) at 1/1,000 dilution.

Lane 1: AD Mouse brain tissue lysate
Lane 2: Mouse brain tissue lysate (low expression)

Lysates/proteins at 20 µg/Lane.

Predicted band size: 87 kDa
Observed band size: 100 kDa

Exposure time: 3 minutes; ECL: K1801;

4-20% SDS-PAGE gel.

Proteins were transferred to a PVDF membrane and blocked with 5% NFDM/TBST for 1 hour at room temperature. The primary antibody (HA750977) at 1/1,000 dilution was used in 5% NFDM/TBST at 4℃ overnight. Goat Anti-Rabbit IgG - HRP Secondary Antibody (HA1001) at 1/50,000 dilution was used for 1 hour at room temperature.
HA750977_3.jpg Fig3: Immunocytochemistry analysis of HeLa cells treated with 100ng/mL Nocodazole for 17 hours labeling APP/beta Amyloid with Rabbit anti-APP/beta Amyloid antibody (HA750977) at 1/100 dilution.

Cells were fixed in 4% paraformaldehyde for 20 minutes at room temperature, permeabilized with 0.1% Triton X-100 in PBS for 5 minutes at room temperature, then blocked with 1% BSA in 10% negative goat serum for 1 hour at room temperature. Cells were then incubated with Rabbit anti-APP/beta Amyloid antibody (HA750977) at 1/100 dilution in 1% BSA in PBST overnight at 4 ℃. Goat Anti-Rabbit IgG H&L (iFluor™ 488, HA1121) was used as the secondary antibody at 1/1,000 dilution. PBS instead of the primary antibody was used as the secondary antibody only control. Nuclear DNA was labelled in blue with DAPI.
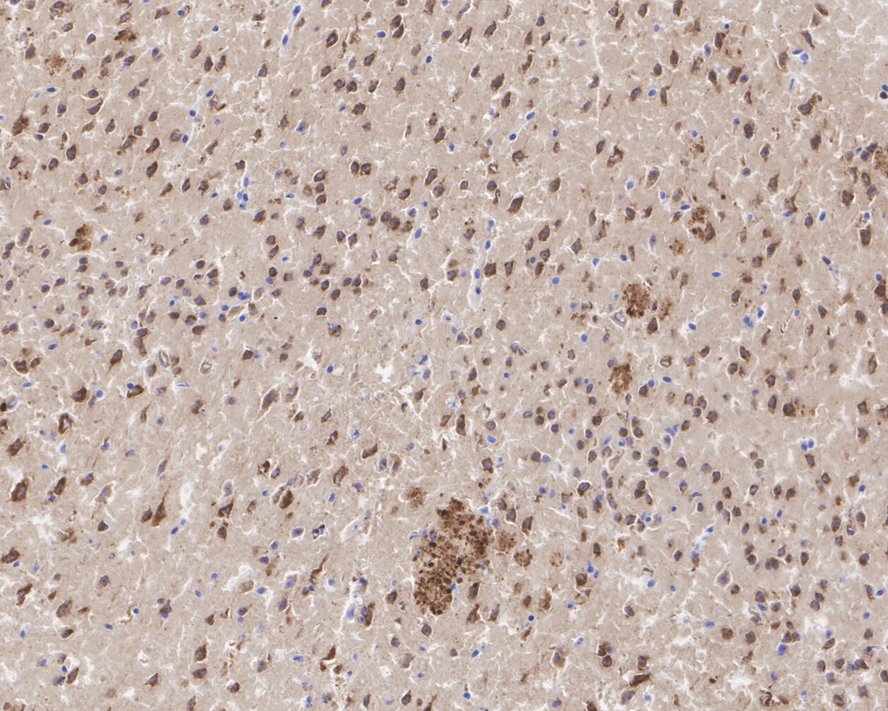
HA750977_4.jpg Fig4: Immunohistochemical analysis of paraffin-embedded AD mouse brain tissue with Rabbit anti-APP/beta Amyloid antibody (HA750977) at 1/1,000 dilution.

The section was pre-treated using heat mediated antigen retrieval with Tris-EDTA buffer (pH 9.0) for 20 minutes. The tissues were blocked in 1% BSA for 20 minutes at room temperature, washed with ddH2O and PBS, and then probed with the primary antibody (HA750977) at 1/1,000 dilution for 1 hour at room temperature. The detection was performed using an HRP conjugated compact polymer system. DAB was used as the chromogen. Tissues were counterstained with hematoxylin and mounted with DPX.
HA750977_5.jpg Fig5: Immunohistochemical analysis of paraffin-embedded mouse brain tissue with Rabbit anti-APP/beta Amyloid antibody (HA750977) at 1/200 dilution.

The section was pre-treated using heat mediated antigen retrieval with Tris-EDTA buffer (pH 9.0) for 20 minutes. The tissues were blocked in 1% BSA for 20 minutes at room temperature, washed with ddH2O and PBS, and then probed with the primary antibody (HA750977) at 1/200 dilution for 1 hour at room temperature. The detection was performed using an HRP conjugated compact polymer system. DAB was used as the chromogen. Tissues were counterstained with hematoxylin and mounted with DPX.
Note: All products are “FOR RESEARCH USE ONLY AND ARE NOT INTENDED FOR DIAGNOSTIC OR THERAPEUTIC USE”.