CARM1 Recombinant Rabbit Monoclonal Antibody [PSH05-08]
cat.: HA750981
Product Type: Recombinant Rabbit monoclonal IgG, primary antibodies
Species reactivity: Human, Mouse, Rat
Applications: WB, IHC-P, IP
Clonality: Monoclonal
Clone number: PSH05-08
Form: Liquid
Storage condition: Store at +4℃ after thawing. Aliquot store at -20℃. Avoid repeated freeze / thaw cycles.
Storage buffer: PBS (pH7.4).
Concentration: 1ug/ul
Purification: Protein A affinity purified.
Molecular weight: Predicted band size: 66 kDa
Isotype: IgG
Immunogen: Recombinant protein within human CARM1 aa 101-500 / 608.
Positive control: MCF7 cell lysate, MDA-MB-231 cell lysate, A431 cell lysate, HEK-293 cell lysate, HCT 116 cell lysate, EA.hy926 cell lysate, NIH/3T3 cell lysate, mouse placenta tissue lysate, human testis tissue, human small intestine tissue, mouse small intestine tissue, rat small intestine tissue.
Subcellular location: Nucleus, Cytoplasm, Chromosome.
Recommended Dilutions:
  WB
  IHC-P
  IP

1:1,000
1:1,000
1-2μg/sample
Uniprot #: SwissProt: Q86X55 Human | Q9WVG6 Mouse | Q4AE70 Rat
Alternative names: carm1 CARM1_HUMAN Coactivator associated arginine methyltransferase 1 Coactivator-associated arginine methyltransferase 1 Histone arginine methyltransferase CARM 1 Histone arginine methyltransferase CARM1 Histone-arginine methyltransferase CARM1 PRMT 4 PRMT4 Protein arginine methyltransferase Protein arginine N methyltransferase 4 Protein arginine N-methyltransferase 4
Images
HA750981_1.jpg Fig1: Western blot analysis of CARM1 on different lysates with Rabbit anti-CARM1 antibody (HA750981) at 1/1,000 dilution.

Lane 1: MCF7 cell lysate (20 µg/Lane)
Lane 2: MDA-MB-231 cell lysate (20 µg/Lane)
Lane 3: A431 cell lysate (20 µg/Lane)
Lane 4: HEK-293 cell lysate (20 µg/Lane)
Lane 5: HCT 116 cell lysate (20 µg/Lane)
Lane 6: EA.hy926 cell lysate (20 µg/Lane)
Lane 7: NIH/3T3 cell lysate (20 µg/Lane)
Lane 8: Mouse placenta tissue lysate (40 µg/Lane)

Predicted band size: 66 kDa
Observed band size: 60 kDa

Exposure time: 40 seconds; ECL: K1802;

4-20% SDS-PAGE gel.

Proteins were transferred to a PVDF membrane and blocked with 5% NFDM/TBST for 1 hour at room temperature. The primary antibody (HA750981) at 1/1,000 dilution was used in 5% NFDM/TBST at 4℃ overnight. Goat Anti-Rabbit IgG - HRP Secondary Antibody (HA1001) at 1/50,000 dilution was used for 1 hour at room temperature.
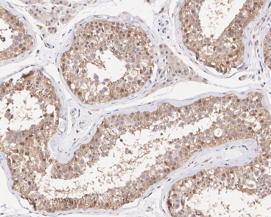
HA750981_2.jpg Fig2: Immunohistochemical analysis of paraffin-embedded human testis tissue with Rabbit anti-CARM1 antibody (HA750981) at 1/1,000 dilution.

The section was pre-treated using heat mediated antigen retrieval with sodium citrate buffer (pH 6.0) (high pressure) for 2 minutes. The tissues were blocked in 1% BSA for 20 minutes at room temperature, washed with ddH2O and PBS, and then probed with the primary antibody (HA750981) at 1/1,000 dilution for 1 hour at room temperature. The detection was performed using an HRP conjugated compact polymer system. DAB was used as the chromogen. Tissues were counterstained with hematoxylin and mounted with DPX.
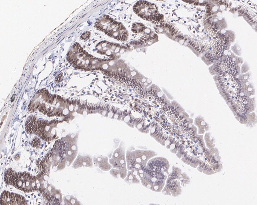
HA750981_3.jpg Fig3: Immunohistochemical analysis of paraffin-embedded human small intestine tissue with Rabbit anti-CARM1 antibody (HA750981) at 1/1,000 dilution.

The section was pre-treated using heat mediated antigen retrieval with sodium citrate buffer (pH 6.0) (high pressure) for 2 minutes. The tissues were blocked in 1% BSA for 20 minutes at room temperature, washed with ddH2O and PBS, and then probed with the primary antibody (HA750981) at 1/1,000 dilution for 1 hour at room temperature. The detection was performed using an HRP conjugated compact polymer system. DAB was used as the chromogen. Tissues were counterstained with hematoxylin and mounted with DPX.
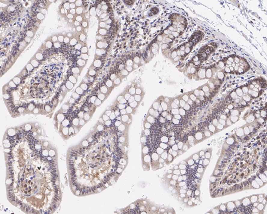
HA750981_4.jpg Fig4: Immunohistochemical analysis of paraffin-embedded mouse small intestine tissue with Rabbit anti-CARM1 antibody (HA750981) at 1/1,000 dilution.

The section was pre-treated using heat mediated antigen retrieval with sodium citrate buffer (pH 6.0) (high pressure) for 2 minutes. The tissues were blocked in 1% BSA for 20 minutes at room temperature, washed with ddH2O and PBS, and then probed with the primary antibody (HA750981) at 1/1,000 dilution for 1 hour at room temperature. The detection was performed using an HRP conjugated compact polymer system. DAB was used as the chromogen. Tissues were counterstained with hematoxylin and mounted with DPX.
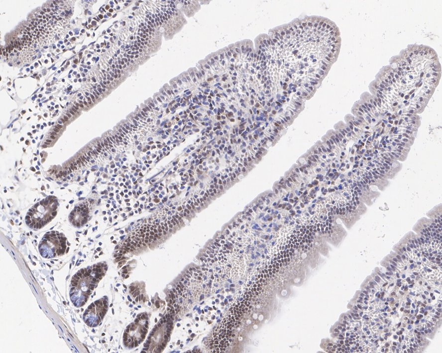
HA750981_5.jpg Fig5: Immunohistochemical analysis of paraffin-embedded rat small intestine tissue with Rabbit anti-CARM1 antibody (HA750981) at 1/1,000 dilution.

The section was pre-treated using heat mediated antigen retrieval with sodium citrate buffer (pH 6.0) (high pressure) for 2 minutes. The tissues were blocked in 1% BSA for 20 minutes at room temperature, washed with ddH2O and PBS, and then probed with the primary antibody (HA750981) at 1/1,000 dilution for 1 hour at room temperature. The detection was performed using an HRP conjugated compact polymer system. DAB was used as the chromogen. Tissues were counterstained with hematoxylin and mounted with DPX.
HA750981_6.jpg Fig6: CARM1 was immunoprecipitated from 0.2 mg HCT 116 cell lysate with CARM1 at 2 µg/10 µl beads. Western blot was performed from the immunoprecipitate using HA750981 at 1/1,000 dilution. HRP Conjugated Anti-Rabbit IgG for IP Nano-secondary antibody at 1/5,000 dilution was used for 1 hour at room temperature.

Lane 1: HCT 116 cell lysate (input)
Lane 2: HA750981 IP in HCT 116 cell lysate
Lane 3: Rabbit IgG instead of HA750981 in HCT 116 cell lysate

Blocking/Dilution buffer: 5% NFDM/TBST
Exposure time: 51 seconds; ECL: K1801
Note: All products are “FOR RESEARCH USE ONLY AND ARE NOT INTENDED FOR DIAGNOSTIC OR THERAPEUTIC USE”.