BRCC36 Recombinant Rabbit Monoclonal Antibody [PSH05-10]
cat.: HA750983
Product Type: Recombinant Rabbit monoclonal IgG, primary antibodies
Species reactivity: Human, Mouse, Rat
Applications: WB, IF-Cell, IHC-P, FC
Clonality: Monoclonal
Clone number: PSH05-10
Form: Liquid
Storage condition: Store at +4℃ after thawing. Aliquot store at -20℃. Avoid repeated freeze / thaw cycles.
Storage buffer: 1*PBS (pH7.4).
Concentration: 1ug/ul
Purification: Protein A affinity purified.
Molecular weight: Predicted band size: 36 kDa
Isotype: IgG
Immunogen: Recombinant protein within human BRCC36 aa 1-316 / 316.
Positive control: PC-3M cell lysate, PC-3 cell lysate, HeLa cell lysate, MCF7 cell lysate, HEK-293 cell lysate, SK-Br-3 cell lysate, HT-29 cell lysate, COS-1 cell lysate, Neuro-2a cell lysate, NIH/3T3 cell lysate, C2C12 cell lysate, PC-12 cell lysate, L6 cell lysate, C6 cell lysate, human heart tissue, human prostate cancer tissue, human kidney tissue, mouse kidney tissue, rat kidney tissue, PC-3M, Neuro-2a, C6.
Subcellular location: Nucleus, Cytoplasm, cytoskeleton, spindle pole.
Recommended Dilutions:
  WB
  IF-Cell
  IHC-P
  FC

1:2,000
1:100
1:2,000
1:1,000
Uniprot #: SwissProt: P46736 Human | P46737 Mouse | B2RYM5 Rat
Alternative names: BRCA1-A complex subunit BRCC36 BRCA1/BRCA2 containing complex subunit 3 BRCA1/BRCA2 containing complex subunit 36 BRCA1/BRCA2-containing complex subunit 3 BRCA1/BRCA2-containing complex subunit 36 Brcc3 BRCC3_HUMAN BRCC36 BRISC complex subunit BRCC36 C6.1A Chromosome X open reading frame 53 CXorf53 Lys-63-specific deubiquitinase BRCC36 OTTHUMP00000061450
Images
HA750983_1.jpg Fig1: Western blot analysis of BRCC36 on different lysates with Rabbit anti-BRCC36 antibody (HA750983) at 1/2,000 dilution and competitor's antibody at 1/2,000 dilution.

Lane 1: PC-3M cell lysate
Lane 2: PC-3 cell lysate
Lane 3: HeLa cell lysate
Lane 4: MCF7 cell lysate
Lane 5: HEK-293 cell lysate
Lane 6: SK-Br-3 cell lysate
Lane 7: HT-29 cell lysate
Lane 8: COS-1 cell lysate
Lane 9: Neuro-2a cell lysate
Lane 10: NIH/3T3 cell lysate
Lane 11: C2C12 cell lysate
Lane 12: PC-12 cell lysate
Lane 13: L6 cell lysate
Lane 14: C6 cell lysate

Lysates/proteins at 20 µg/Lane.

Predicted band size: 36 kDa
Observed band size: 33/36 kDa

Exposure time: 25 seconds; ECL: K1801;
4-20% SDS-PAGE gel.

Proteins were transferred to a PVDF membrane and blocked with 5% NFDM/TBST for 1 hour at room temperature. The primary antibody (HA750983) at 1/2,000 dilution and competitor's antibody at 1/2,000 dilution were used in 5% NFDM/TBST at 4℃ overnight. Goat Anti-Rabbit IgG - HRP Secondary Antibody (HA1001) at 1/50,000 dilution was used for 1 hour at room temperature.
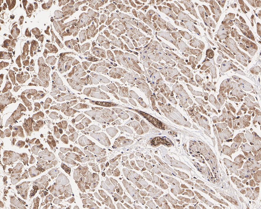
HA750983_2.jpg Fig2: Immunohistochemical analysis of paraffin-embedded human heart tissue with Rabbit anti-BRCC36 antibody (HA750983) at 1/2,000 dilution.

The section was pre-treated using heat mediated antigen retrieval with sodium citrate buffer (pH 6.0) (high pressure) for 2 minutes. The tissues were blocked in 1% BSA for 20 minutes at room temperature, washed with ddH2O and PBS, and then probed with the primary antibody (HA750983) at 1/2,000 dilution for 1 hour at room temperature. The detection was performed using an HRP conjugated compact polymer system. DAB was used as the chromogen. Tissues were counterstained with hematoxylin and mounted with DPX.
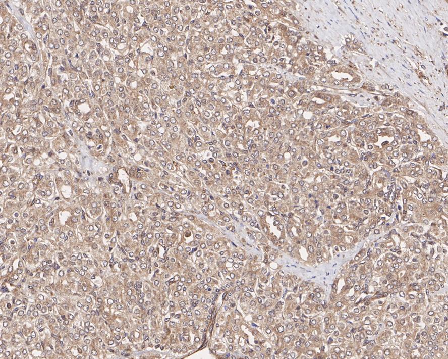
HA750983_3.jpg Fig3: Immunohistochemical analysis of paraffin-embedded human prostate cancer tissue with Rabbit anti-BRCC36 antibody (HA750983) at 1/2,000 dilution.

The section was pre-treated using heat mediated antigen retrieval with sodium citrate buffer (pH 6.0) (high pressure) for 2 minutes. The tissues were blocked in 1% BSA for 20 minutes at room temperature, washed with ddH2O and PBS, and then probed with the primary antibody (HA750983) at 1/2,000 dilution for 1 hour at room temperature. The detection was performed using an HRP conjugated compact polymer system. DAB was used as the chromogen. Tissues were counterstained with hematoxylin and mounted with DPX.
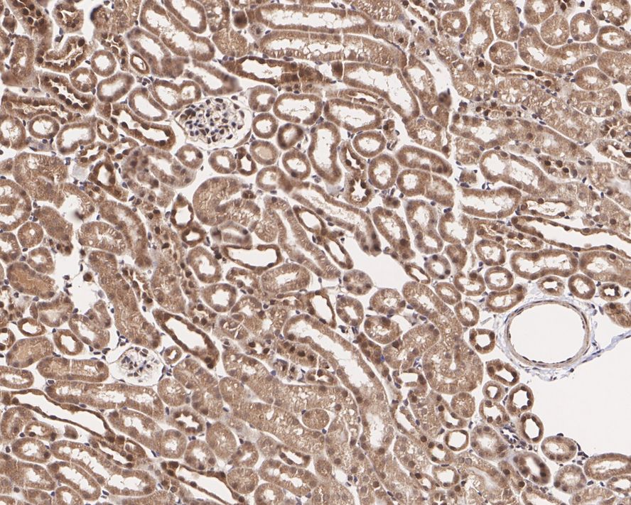
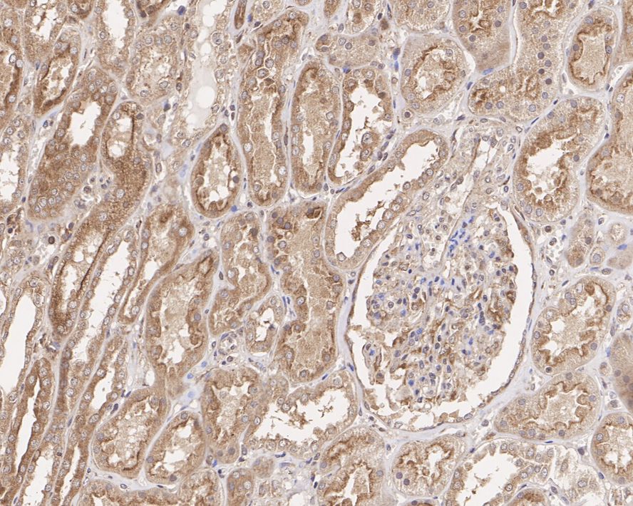
HA750983_4.jpg Fig4: Immunohistochemical analysis of paraffin-embedded human kidney tissue with Rabbit anti-BRCC36 antibody (HA750983) at 1/2,000 dilution.

The section was pre-treated using heat mediated antigen retrieval with sodium citrate buffer (pH 6.0) (high pressure) for 2 minutes. The tissues were blocked in 1% BSA for 20 minutes at room temperature, washed with ddH2O and PBS, and then probed with the primary antibody (HA750983) at 1/2,000 dilution for 1 hour at room temperature. The detection was performed using an HRP conjugated compact polymer system. DAB was used as the chromogen. Tissues were counterstained with hematoxylin and mounted with DPX.
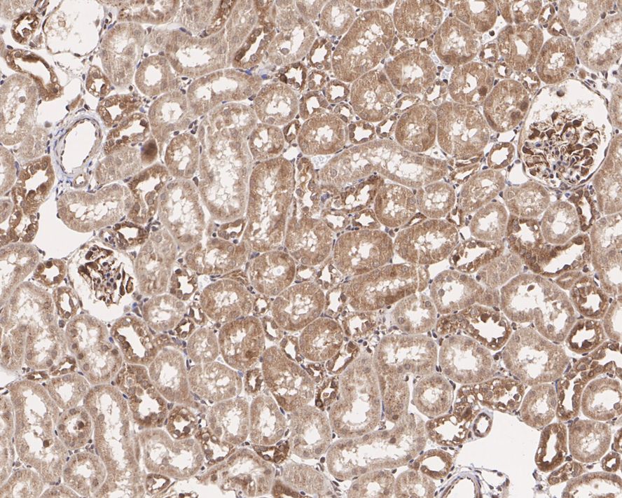
HA750983_5.jpg Fig5: Immunohistochemical analysis of paraffin-embedded mouse kidney tissue with Rabbit anti-BRCC36 antibody (HA750983) at 1/2,000 dilution.

The section was pre-treated using heat mediated antigen retrieval with sodium citrate buffer (pH 6.0) (high pressure) for 2 minutes. The tissues were blocked in 1% BSA for 20 minutes at room temperature, washed with ddH2O and PBS, and then probed with the primary antibody (HA750983) at 1/2,000 dilution for 1 hour at room temperature. The detection was performed using an HRP conjugated compact polymer system. DAB was used as the chromogen. Tissues were counterstained with hematoxylin and mounted with DPX.
HA750983_6.jpg Fig6: Immunohistochemical analysis of paraffin-embedded rat kidney tissue with Rabbit anti-BRCC36 antibody (HA750983) at 1/2,000 dilution.

The section was pre-treated using heat mediated antigen retrieval with sodium citrate buffer (pH 6.0) (high pressure) for 2 minutes. The tissues were blocked in 1% BSA for 20 minutes at room temperature, washed with ddH2O and PBS, and then probed with the primary antibody (HA750983) at 1/2,000 dilution for 1 hour at room temperature. The detection was performed using an HRP conjugated compact polymer system. DAB was used as the chromogen. Tissues were counterstained with hematoxylin and mounted with DPX.
HA750983_7.jpg Fig7: Immunocytochemistry analysis of PC-3M cells labeling BRCC36 with Rabbit anti-BRCC36 antibody (HA750983) at 1/100 dilution.

Cells were fixed in 4% paraformaldehyde for 20 minutes at room temperature, permeabilized with 0.1% Triton X-100 in PBS for 5 minutes at room temperature, then blocked with 1% BSA in 10% negative goat serum for 1 hour at room temperature. Cells were then incubated with Rabbit anti-BRCC36 antibody (HA750983) at 1/100 dilution in 1% BSA in PBST overnight at 4 ℃. Goat Anti-Rabbit IgG H&L (iFluor™ 488, HA1121) was used as the secondary antibody at 1/1,000 dilution. PBS instead of the primary antibody was used as the secondary antibody only control. Nuclear DNA was labelled in blue with DAPI.

Beta tubulin (M1305-2, red) was stained at 1/100 dilution overnight at +4℃. Goat Anti-Mouse IgG H&L (iFluor™ 594, HA1126) was used as the secondary antibody at 1/1,000 dilution.
HA750983_8.jpg Fig8: Immunocytochemistry analysis of Neuro-2a cells labeling BRCC36 with Rabbit anti-BRCC36 antibody (HA750983) at 1/100 dilution.

Cells were fixed in 4% paraformaldehyde for 20 minutes at room temperature, permeabilized with 0.1% Triton X-100 in PBS for 5 minutes at room temperature, then blocked with 1% BSA in 10% negative goat serum for 1 hour at room temperature. Cells were then incubated with Rabbit anti-BRCC36 antibody (HA750983) at 1/100 dilution in 1% BSA in PBST overnight at 4 ℃. Goat Anti-Rabbit IgG H&L (iFluor™ 488, HA1121) was used as the secondary antibody at 1/1,000 dilution. PBS instead of the primary antibody was used as the secondary antibody only control. Nuclear DNA was labelled in blue with DAPI.

Beta tubulin (M1305-2, red) was stained at 1/100 dilution overnight at +4℃. Goat Anti-Mouse IgG H&L (iFluor™ 594, HA1126) was used as the secondary antibody at 1/1,000 dilution.
HA750983_9.jpg Fig9: Immunocytochemistry analysis of C6 cells labeling BRCC36 with Rabbit anti-BRCC36 antibody (HA750983) at 1/100 dilution.

Cells were fixed in 4% paraformaldehyde for 20 minutes at room temperature, permeabilized with 0.1% Triton X-100 in PBS for 5 minutes at room temperature, then blocked with 1% BSA in 10% negative goat serum for 1 hour at room temperature. Cells were then incubated with Rabbit anti-BRCC36 antibody (HA750983) at 1/100 dilution in 1% BSA in PBST overnight at 4 ℃. Goat Anti-Rabbit IgG H&L (iFluor™ 488, HA1121) was used as the secondary antibody at 1/1,000 dilution. PBS instead of the primary antibody was used as the secondary antibody only control. Nuclear DNA was labelled in blue with DAPI.

Beta tubulin (M1305-2, red) was stained at 1/100 dilution overnight at +4℃. Goat Anti-Mouse IgG H&L (iFluor™ 594, HA1126) was used as the secondary antibody at 1/1,000 dilution.
HA750983_10.jpg Fig10: Flow cytometric analysis of Neuro-2a cells labeling BRCC36.

Cells were fixed and permeabilized. Then stained with the primary antibody (HA750983, 1μg/mL) (red) compared with Rabbit IgG Isotype Control (green). After incubation of the primary antibody at +4℃ for an hour, the cells were stained with a iFluor™ 488 conjugate-Goat anti-Rabbit IgG Secondary antibody (HA1121) at 1/1,000 dilution for 30 minutes at +4℃. Unlabelled sample was used as a control (cells without incubation with primary antibody; black).
HA750983_11.jpg Fig11: Flow cytometric analysis of C6 cells labeling BRCC36.

Cells were fixed and permeabilized. Then stained with the primary antibody (HA750983, 1μg/mL) (red) compared with Rabbit IgG Isotype Control (green). After incubation of the primary antibody at +4℃ for an hour, the cells were stained with a iFluor™ 488 conjugate-Goat anti-Rabbit IgG Secondary antibody (HA1121) at 1/1,000 dilution for 30 minutes at +4℃. Unlabelled sample was used as a control (cells without incubation with primary antibody; black).
Note: All products are “FOR RESEARCH USE ONLY AND ARE NOT INTENDED FOR DIAGNOSTIC OR THERAPEUTIC USE”.