Lamin A + Lamin C Recombinant Rabbit Monoclonal Antibody [PSH05-20]
cat.: HA750991
Product Type: Recombinant Rabbit monoclonal IgG, primary antibodies
Species reactivity: Human, Mouse, Rat
Applications: WB, IF-Cell, IHC-P, FC
Clonality: Monoclonal
Clone number: PSH05-20
Form: Liquid
Storage condition: Store at +4℃ after thawing. Aliquot store at -20℃. Avoid repeated freeze / thaw cycles.
Storage buffer: 1*PBS (pH7.4).
Concentration: 1ug/ul
Purification: Protein A affinity purified.
Molecular weight: Predicted band size: 74 kDa
Isotype: IgG
Immunogen: Recombinant protein within Human Lamin A/C aa 1-566.
Positive control: HeLa cell lysate, HepG2 cell lysate, HeLa, human breast tissue, human skin tissue, human colon tissue, mouse colon tissue, rat colon tissue.
Subcellular location: Nucleus lamina, Nucleus envelope, nucleoplasm, Nucleus matrix; Nucleus speckle.
Recommended Dilutions:
  WB
  IF-Cell
  IHC-P
  FC

1:1,000-1:2,000
1:200
1:200-1:5,000
1:1,000
Uniprot #: SwissProt: P02545 Human | P48678 Mouse | P48679 Rat
Alternative names: 70 kDa lamin Cardiomyopathy dilated 1A (autosomal dominant) CDCD1 CDDC CMD1A CMT2B1 EMD2 FPL FPLD FPLD2 HGPS IDC Lamin A Lamin A/C Lamin A/C like 1 Lamin Lamin C Lamin-A/C LDP1 LFP LGMD1B Limb girdle muscular dystrophy 1B (autosomal dominant) LMN 1 LMN A LMN C LMN1 LMNA LMNA_HUMAN LMNC LMNL1 Prelamin A/C PRO1 Renal carcinoma antigen NY REN 32 Renal carcinoma antigen NY-REN-32 Renal carcinoma antigen NYREN32
Images
HA750991_1.jpg Fig1: Western blot analysis of Lamin A + Lamin C on different lysates with Rabbit anti-Lamin A + Lamin C antibody (HA750991) at 1/1,000 dilution.

Lane 1: HeLa cell lysate
Lane 2: HepG2 cell lysate

Lysates/proteins at 10 µg/Lane.

Predicted band size: 74 kDa
Observed band size: 72/60 kDa

Exposure time: 25 seconds; ECL: K1801;

4-20% SDS-PAGE gel.

Proteins were transferred to a PVDF membrane and blocked with 5% NFDM/TBST for 1 hour at room temperature. The primary antibody (HA750991) at 1/1,000 dilution was used in 5% NFDM/TBST at 4℃ overnight. Goat Anti-Rabbit IgG - HRP Secondary Antibody (HA1001) at 1/50,000 dilution was used for 1 hour at room temperature.
HA750991_2.jpg Fig2: Western blot analysis of Lamin A + Lamin C on different lysates with Rabbit anti-Lamin A + Lamin C antibody (HA750991) at 1/2,000 dilution.

Lane 1: HAP1-parental cell lysate
Lane 2: HAP1-Lamin A + Lamin C KD cell lysate

Lysates/proteins at 10 µg/Lane.

Predicted band size: 74 kDa
Observed band size: 72/60 kDa

Exposure time: 40 seconds; ECL: K1801;

4-20% SDS-PAGE gel.

Proteins were transferred to a PVDF membrane and blocked with 5% NFDM/TBST for 1 hour at room temperature. The primary antibody (HA750991) at 1/2,000 dilution was used in K1803 at 4℃ overnight. Goat Anti-Rabbit IgG - HRP Secondary Antibody (HA1001) at 1/50,000 dilution was used for 1 hour at room temperature.
HA750991_3.jpg Fig3: Immunocytochemistry analysis of HeLa cells labeling Lamin A + Lamin C with Rabbit anti-Lamin A + Lamin C antibody (HA750991) at 1/200 dilution.

Cells were fixed in 4% paraformaldehyde for 10 minutes at 37 ℃, permeabilized with 0.05% Triton X-100 in PBS for 20 minutes, and then blocked with 2% negative goat serum for 30 minutes at room temperature. Cells were then incubated with Rabbit anti-Lamin A + Lamin C antibody (HA750991) at 1/200 dilution in 2% negative goat serum overnight at 4 ℃. Goat Anti-Rabbit IgG H&L (iFluor™ 488, HA1121) was used as the secondary antibody at 1/1,000 dilution. Nuclear DNA was labelled in blue with DAPI.

Beta tubulin (M1305-2, red) was stained at 1/200 dilution overnight at +4℃. Goat Anti-Mouse IgG H&L (iFluor™ 594, HA1126) was used as the secondary antibody at 1/1,000 dilution.
HA750991_4.jpg Fig4: Immunohistochemical analysis of paraffin-embedded human breast tissue with Rabbit anti-Lamin A + Lamin C antibody (HA750991) at 1/5,000 dilution.

The section was pre-treated using heat mediated antigen retrieval with sodium citrate buffer (pH 6.0) (high pressure) for 2 minutes. The tissues were blocked in 1% BSA for 20 minutes at room temperature, washed with ddH2O and PBS, and then probed with the primary antibody (HA750991) at 1/5,000 dilution for 1 hour at room temperature. The detection was performed using an HRP conjugated compact polymer system. DAB was used as the chromogen. Tissues were counterstained with hematoxylin and mounted with DPX.
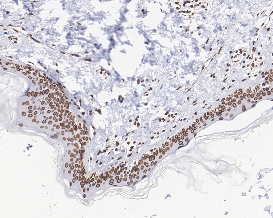
HA750991_5.jpg Fig5: Immunohistochemical analysis of paraffin-embedded human skin tissue with Rabbit anti-Lamin A + Lamin C antibody (HA750991) at 1/5,000 dilution.

The section was pre-treated using heat mediated antigen retrieval with sodium citrate buffer (pH 6.0) (high pressure) for 2 minutes. The tissues were blocked in 1% BSA for 20 minutes at room temperature, washed with ddH2O and PBS, and then probed with the primary antibody (HA750991) at 1/5,000 dilution for 1 hour at room temperature. The detection was performed using an HRP conjugated compact polymer system. DAB was used as the chromogen. Tissues were counterstained with hematoxylin and mounted with DPX.
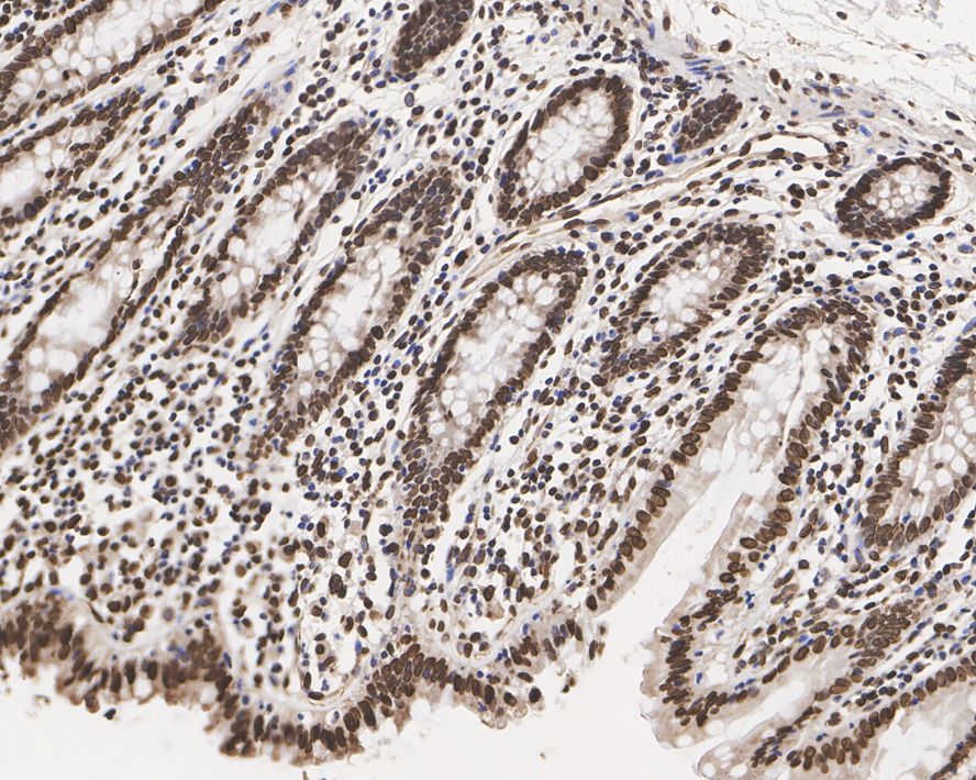
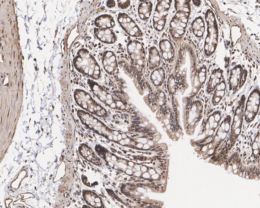
HA750991_6.jpg Fig6: Immunohistochemical analysis of paraffin-embedded human colon tissue with Rabbit anti-Lamin A + Lamin C antibody (HA750991) at 1/1,000 dilution.

The section was pre-treated using heat mediated antigen retrieval with sodium citrate buffer (pH 6.0) (high pressure) for 2 minutes. The tissues were blocked in 1% BSA for 20 minutes at room temperature, washed with ddH2O and PBS, and then probed with the primary antibody (HA750991) at 1/1,000 dilution for 1 hour at room temperature. The detection was performed using an HRP conjugated compact polymer system. DAB was used as the chromogen. Tissues were counterstained with hematoxylin and mounted with DPX.
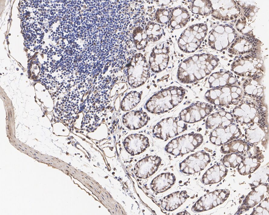
HA750991_7.jpg Fig7: Immunohistochemical analysis of paraffin-embedded mouse colon tissue with Rabbit anti-Lamin A + Lamin C antibody (HA750991) at 1/1,000 dilution.

The section was pre-treated using heat mediated antigen retrieval with sodium citrate buffer (pH 6.0) (high pressure) for 2 minutes. The tissues were blocked in 1% BSA for 20 minutes at room temperature, washed with ddH2O and PBS, and then probed with the primary antibody (HA750991) at 1/1,000 dilution for 1 hour at room temperature. The detection was performed using an HRP conjugated compact polymer system. DAB was used as the chromogen. Tissues were counterstained with hematoxylin and mounted with DPX.
HA750991_8.jpg Fig8: Immunohistochemical analysis of paraffin-embedded rat colon tissue with Rabbit anti-Lamin A + Lamin C antibody (HA750991) at 1/200 dilution.

The section was pre-treated using heat mediated antigen retrieval with sodium citrate buffer (pH 6.0) (high pressure) for 2 minutes. The tissues were blocked in 1% BSA for 20 minutes at room temperature, washed with ddH2O and PBS, and then probed with the primary antibody (HA750991) at 1/200 dilution for 1 hour at room temperature. The detection was performed using an HRP conjugated compact polymer system. DAB was used as the chromogen. Tissues were counterstained with hematoxylin and mounted with DPX.
HA750991_9.jpg Fig9: Flow cytometric analysis of HeLa cells labeling Lamin A + Lamin C.

Cells were fixed and permeabilized. Then stained with the primary antibody (HA750991, 1ug/ml) (red) compared with Rabbit IgG Isotype Control (green). After incubation of the primary antibody at +4℃ for an hour, the cells were stained with a iFluor™ 488 conjugate-Goat anti-Rabbit IgG Secondary antibody (HA1121) at 1/1,000 dilution for 30 minutes at +4℃. Unlabelled sample was used as a control (cells without incubation with primary antibody; black).
Note: All products are “FOR RESEARCH USE ONLY AND ARE NOT INTENDED FOR DIAGNOSTIC OR THERAPEUTIC USE”.