DNA Polymerase lambda Recombinant Rabbit Monoclonal Antibody [PSH05-24]
cat.: HA750995
Product Type: Recombinant Rabbit monoclonal IgG, primary antibodies
Species reactivity: Human, Mouse, Monkey
Applications: WB, IHC-P
Clonality: Monoclonal
Clone number: PSH05-24
Form: Liquid
Storage condition: Store at +4℃ after thawing. Aliquot store at -20℃. Avoid repeated freeze / thaw cycles.
Storage buffer: 1*PBS (pH7.4).
Concentration: 1ug/ul
Purification: Protein A affinity purified.
Molecular weight: Predicted band size: 63 kDa
Isotype: IgG
Immunogen: Recombinant protein within human DNA Polymerase lambda aa 1-575 / 575.
Positive control: HeLa cell lysate, A549 cell lysate, 293T cell lysate, HepG2 cell lysate, mouse testis tissue lysate, COS-1 cell lysate, human testis tissue.
Subcellular location: Nucleus, Chromosome.
Recommended Dilutions:
  WB
  IHC-P

1:2,000
1:1,000
Uniprot #: SwissProt: Q9UGP5 Human | Q9QXE2 Mouse
Alternative names: BETA N BETAN DNA directed DNA polymerase lambda DNA polymerase beta 2 DNA polymerase beta-2 DNA polymerase kappa DNA polymerase kappa DNA polymerase beta N DNA polymerase lambda DNA polymerase lamda2 DPOLL_HUMAN EC 2.7.7.7,EC 4.2.99. FLJ46002 OTTHUMP00000020321 OTTHUMP00000020323 OTTHUMP00000059179 Pol beta2 POL KAPPA Pol Lambda POLKAPPA POLL Polymerase DNA directed lambda
Images
HA750995_1.jpg Fig1: Western blot analysis of DNA Polymerase lambda on different lysates with Rabbit anti-DNA Polymerase lambda antibody (HA750995) at 1/2,000 dilution.

Lane 1: HeLa cell lysate (20 µg/Lane)
Lane 2: A549 cell lysate (20 µg/Lane)
Lane 3: 293T cell lysate (20 µg/Lane)
Lane 4: HepG2 cell lysate (20 µg/Lane)
Lane 5: Mouse testis tissue lysate (40 µg/Lane)
Lane 6: COS-1 cell lysate (20 µg/Lane)

Predicted band size: 63 kDa
Observed band size: 70 kDa

Exposure time: 2 minutes 22 seconds; ECL: K1801;

4-20% SDS-PAGE gel.

Proteins were transferred to a PVDF membrane and blocked with 5% NFDM/TBST for 1 hour at room temperature. The primary antibody (HA750995) at 1/2,000 dilution was used in 5% NFDM/TBST at 4℃ overnight. Goat Anti-Rabbit IgG - HRP Secondary Antibody (HA1001) at 1/50,000 dilution was used for 1 hour at room temperature.
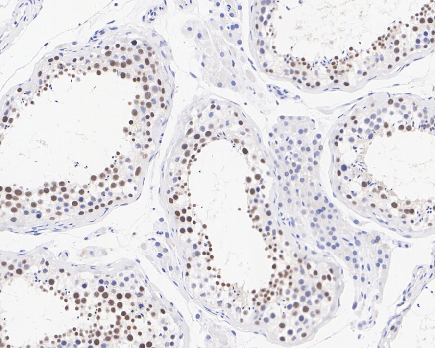
HA750995_2.jpg Fig2: Immunohistochemical analysis of paraffin-embedded human testis tissue with Rabbit anti-DNA Polymerase lambda antibody (HA750995) at 1/1,000 dilution.

The section was pre-treated using heat mediated antigen retrieval with sodium citrate buffer (pH 6.0) (high pressure) for 2 minutes. The tissues were blocked in 1% BSA for 20 minutes at room temperature, washed with ddH2O and PBS, and then probed with the primary antibody (HA750995) at 1/1,000 dilution for 1 hour at room temperature. The detection was performed using an HRP conjugated compact polymer system. DAB was used as the chromogen. Tissues were counterstained with hematoxylin and mounted with DPX.
Note: All products are “FOR RESEARCH USE ONLY AND ARE NOT INTENDED FOR DIAGNOSTIC OR THERAPEUTIC USE”.