HNRPAB Recombinant Rabbit Monoclonal Antibody [PSH05-37]
cat.: HA750996
Product Type: Recombinant Rabbit monoclonal IgG, primary antibodies
Species reactivity: Human, Mouse, Rat
Applications: WB, IHC-P, IF-Cell, FC, IF-Tissue
Clonality: Monoclonal
Clone number: PSH05-37
Form: Liquid
Storage condition: Store at +4℃ after thawing. Aliquot store at -20℃. Avoid repeated freeze / thaw cycles.
Storage buffer: 1*PBS (pH7.4).
Concentration: 1ug/ul
Purification: Protein A affinity purified.
Molecular weight: Predicted band size: 36 kDa
Isotype: IgG
Immunogen: Recombinant protein within human HNRPAB aa 1-332 / 332.
Positive control: 293T cell lysate, K-562 cell lysate, Jurkat cell lysate, HeLa cell lysate, A431 cell lysate, RAW264.7 cell lysate, NIH/3T3 cell lysate, C6 cell lysate, PC-12 cell lysate, human endometrium tissue, human lymph node tissue, human liver tissue, mouse liver tissue, rat liver tissue, HeLa, NIH/3T3, C6.
Subcellular location: Nucleus, Cytoplasm.
Recommended Dilutions:
  WB
  IHC-P
  IF-Cell
  FC
  IF-Tissue

1:2,000
1:10,000
1:1,000-1:10,000
1:1,000
1:200-1:2,000
Uniprot #: SwissProt: Q99729 Human | Q99020 Mouse
Entrez Gene: 83498 Rat
Alternative names: ABBP 1 ABBP-1 ABBP1 Apobec 1 binding protein 1 APOBEC1 binding protein 1 APOBEC1-binding protein 1 Apolipoprotein B mRNA editing enzyme catalytic polypeptide 1- protein 1 FLJ40338 Heterogeneous nuclear ribonucleoprotein A/B hnRNP A/B hnRNP type A/B protein HNRNPAB HNRPAB ROAA_HUMAN
Images
HA750996_1.jpg Fig1: Western blot analysis of HNRPAB on different lysates with Rabbit anti-HNRPAB antibody (HA750996) at 1/2,000 dilution.

Lane 1: 293T cell lysate
Lane 2: K-562 cell lysate
Lane 3: Jurkat cell lysate
Lane 4: HeLa cell lysate
Lane 5: A431 cell lysate
Lane 6: RAW264.7 cell lysate
Lane 7: NIH/3T3 cell lysate
Lane 8: C6 cell lysate
Lane 9: PC-12 cell lysate

Lysates/proteins at 20 µg/Lane.

Predicted band size: 36 kDa
Observed band size: 36/37 kDa

Exposure time: 25 seconds; ECL: K1801;

4-20% SDS-PAGE gel.

Proteins were transferred to a PVDF membrane and blocked with 5% NFDM/TBST for 1 hour at room temperature. The primary antibody (HA750996) at 1/2,000 dilution was used in 5% NFDM/TBST at 4℃ overnight. Goat Anti-Rabbit IgG - HRP Secondary Antibody (HA1001) at 1/50,000 dilution was used for 1 hour at room temperature.
HA750996_2.jpg Fig2: Immunohistochemical analysis of paraffin-embedded human endometrium tissue with Rabbit anti-HNRPAB antibody (HA750996) at 1/10,000 dilution.

The section was pre-treated using heat mediated antigen retrieval with sodium citrate buffer (pH 6.0) (high pressure) for 2 minutes. The tissues were blocked in 1% BSA for 20 minutes at room temperature, washed with ddH2O and PBS, and then probed with the primary antibody (HA750996) at 1/10,000 dilution for 1 hour at room temperature. The detection was performed using an HRP conjugated compact polymer system. DAB was used as the chromogen. Tissues were counterstained with hematoxylin and mounted with DPX.
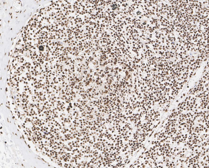
HA750996_3.jpg Fig3: Immunohistochemical analysis of paraffin-embedded human lymph node tissue with Rabbit anti-HNRPAB antibody (HA750996) at 1/10,000 dilution.

The section was pre-treated using heat mediated antigen retrieval with sodium citrate buffer (pH 6.0) (high pressure) for 2 minutes. The tissues were blocked in 1% BSA for 20 minutes at room temperature, washed with ddH2O and PBS, and then probed with the primary antibody (HA750996) at 1/10,000 dilution for 1 hour at room temperature. The detection was performed using an HRP conjugated compact polymer system. DAB was used as the chromogen. Tissues were counterstained with hematoxylin and mounted with DPX.
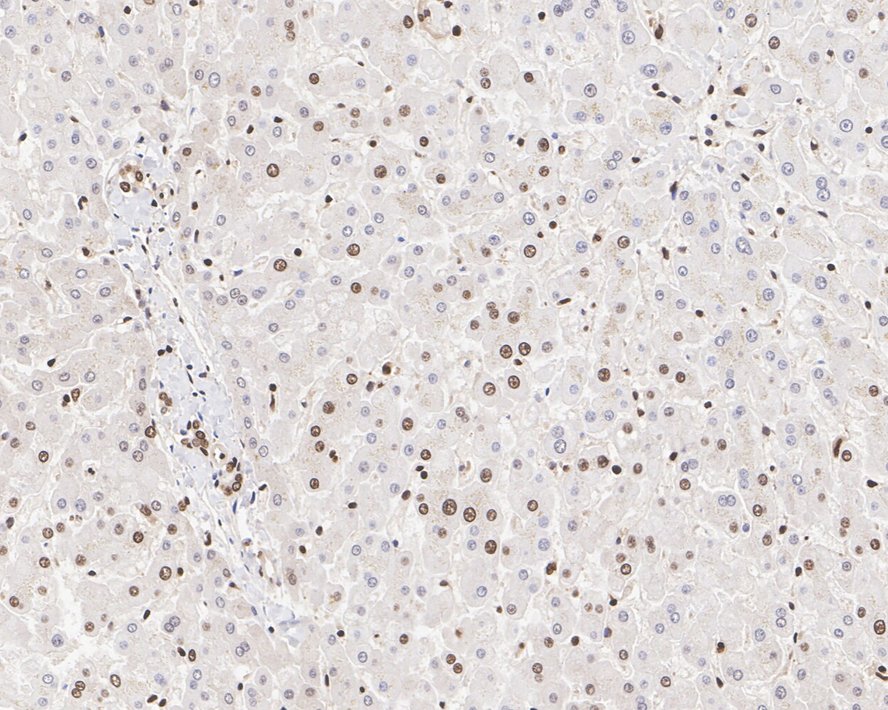
HA750996_4.jpg Fig4: Immunohistochemical analysis of paraffin-embedded human liver tissue with Rabbit anti-HNRPAB antibody (HA750996) at 1/10,000 dilution.

The section was pre-treated using heat mediated antigen retrieval with sodium citrate buffer (pH 6.0) (high pressure) for 2 minutes. The tissues were blocked in 1% BSA for 20 minutes at room temperature, washed with ddH2O and PBS, and then probed with the primary antibody (HA750996) at 1/10,000 dilution for 1 hour at room temperature. The detection was performed using an HRP conjugated compact polymer system. DAB was used as the chromogen. Tissues were counterstained with hematoxylin and mounted with DPX.
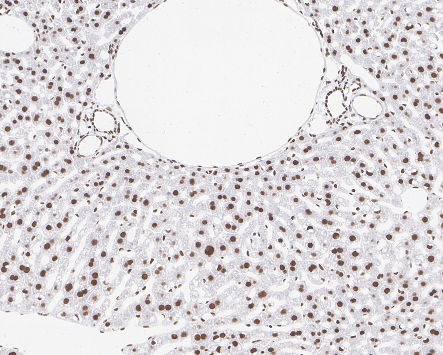
HA750996_5.jpg Fig5: Immunohistochemical analysis of paraffin-embedded mouse liver tissue with Rabbit anti-HNRPAB antibody (HA750996) at 1/10,000 dilution.

The section was pre-treated using heat mediated antigen retrieval with sodium citrate buffer (pH 6.0) (high pressure) for 2 minutes. The tissues were blocked in 1% BSA for 20 minutes at room temperature, washed with ddH2O and PBS, and then probed with the primary antibody (HA750996) at 1/10,000 dilution for 1 hour at room temperature. The detection was performed using an HRP conjugated compact polymer system. DAB was used as the chromogen. Tissues were counterstained with hematoxylin and mounted with DPX.
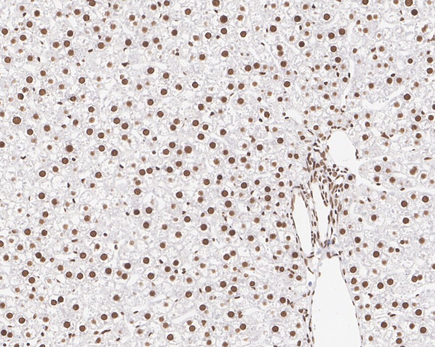
HA750996_6.jpg Fig6: Immunohistochemical analysis of paraffin-embedded rat liver tissue with Rabbit anti-HNRPAB antibody (HA750996) at 1/10,000 dilution.

The section was pre-treated using heat mediated antigen retrieval with sodium citrate buffer (pH 6.0) (high pressure) for 2 minutes. The tissues were blocked in 1% BSA for 20 minutes at room temperature, washed with ddH2O and PBS, and then probed with the primary antibody (HA750996) at 1/10,000 dilution for 1 hour at room temperature. The detection was performed using an HRP conjugated compact polymer system. DAB was used as the chromogen. Tissues were counterstained with hematoxylin and mounted with DPX.
HA750996_7.jpg Fig7: Immunocytochemistry analysis of HeLa cells labeling HNRPAB with Rabbit anti-HNRPAB antibody (HA750996) at 1/10,000 dilution.

Cells were fixed in 4% paraformaldehyde for 20 minutes at room temperature, permeabilized with 0.1% Triton X-100 in PBS for 5 minutes at room temperature, then blocked with 1% BSA in 10% negative goat serum for 1 hour at room temperature. Cells were then incubated with Rabbit anti-HNRPAB antibody (HA750996) at 1/10,000 dilution in 1% BSA in PBST overnight at 4 ℃. Goat Anti-Rabbit IgG H&L (iFluor™ 488, HA1121) was used as the secondary antibody at 1/1,000 dilution. PBS instead of the primary antibody was used as the secondary antibody only control. Nuclear DNA was labelled in blue with DAPI. Beta tubulin (M1305-2, red) was stained at 1/100 dilution overnight at +4℃. Goat Anti-Mouse IgG H&L (iFluor™ 594, HA1126) was used as the secondary antibody at 1/1,000 dilution.
HA750996_8.jpg Fig8: Immunocytochemistry analysis of NIH/3T3 cells labeling HNRPAB with Rabbit anti-HNRPAB antibody (HA750996) at 1/5,000 dilution.

Cells were fixed in 4% paraformaldehyde for 20 minutes at room temperature, permeabilized with 0.1% Triton X-100 in PBS for 5 minutes at room temperature, then blocked with 1% BSA in 10% negative goat serum for 1 hour at room temperature. Cells were then incubated with Rabbit anti-HNRPAB antibody (HA750996) at 1/5,000 dilution in 1% BSA in PBST overnight at 4 ℃. Goat Anti-Rabbit IgG H&L (iFluor™ 488, HA1121) was used as the secondary antibody at 1/1,000 dilution. PBS instead of the primary antibody was used as the secondary antibody only control. Nuclear DNA was labelled in blue with DAPI. Beta tubulin (M1305-2, red) was stained at 1/100 dilution overnight at +4℃. Goat Anti-Mouse IgG H&L (iFluor™ 594, HA1126) was used as the secondary antibody at 1/1,000 dilution.
HA750996_9.jpg Fig9: Immunocytochemistry analysis of C6 cells labeling HNRPAB with Rabbit anti-HNRPAB antibody (HA750996) at 1/1,000 dilution.

Cells were fixed in 4% paraformaldehyde for 20 minutes at room temperature, permeabilized with 0.1% Triton X-100 in PBS for 5 minutes at room temperature, then blocked with 1% BSA in 10% negative goat serum for 1 hour at room temperature. Cells were then incubated with Rabbit anti-HNRPAB antibody (HA750996) at 1/1,000 dilution in 1% BSA in PBST overnight at 4 ℃. Goat Anti-Rabbit IgG H&L (iFluor™ 488, HA1121) was used as the secondary antibody at 1/1,000 dilution. PBS instead of the primary antibody was used as the secondary antibody only control. Nuclear DNA was labelled in blue with DAPI. Beta tubulin (M1305-2, red) was stained at 1/100 dilution overnight at +4℃. Goat Anti-Mouse IgG H&L (iFluor™ 594, HA1126) was used as the secondary antibody at 1/1,000 dilution.
HA750996_10.jpg Fig10: Flow cytometric analysis of HeLa cells labeling HNRPAB.

Cells were fixed and permeabilized. Then stained with the primary antibody (HA750996, 1/1,000) (red) compared with Rabbit IgG Isotype Control (green). After incubation of the primary antibody at +4℃ for an hour, the cells were stained with a iFluor™ 488 conjugate-Goat anti-Rabbit IgG Secondary antibody (HA1121) at 1/1,000 dilution for 30 minutes at +4℃. Unlabelled sample was used as a control (cells without incubation with primary antibody; black).
HA750996_11.jpg Fig11: Flow cytometric analysis of NIH/3T3 cells labeling HNRPAB.

Cells were fixed and permeabilized. Then stained with the primary antibody (HA750996, 1/1,000) (red) compared with Rabbit IgG Isotype Control (green). After incubation of the primary antibody at +4℃ for an hour, the cells were stained with a iFluor™ 488 conjugate-Goat anti-Rabbit IgG Secondary antibody (HA1121) at 1/1,000 dilution for 30 minutes at +4℃. Unlabelled sample was used as a control (cells without incubation with primary antibody; black).
HA750996_12.jpg Fig12: Flow cytometric analysis of C6 cells labeling HNRPAB.

Cells were fixed and permeabilized. Then stained with the primary antibody (HA750996, 1/1,000) (red) compared with Rabbit IgG Isotype Control (green). After incubation of the primary antibody at +4℃ for an hour, the cells were stained with a iFluor™ 488 conjugate-Goat anti-Rabbit IgG Secondary antibody (HA1121) at 1/1,000 dilution for 30 minutes at +4℃. Unlabelled sample was used as a control (cells without incubation with primary antibody; black).
Note: All products are “FOR RESEARCH USE ONLY AND ARE NOT INTENDED FOR DIAGNOSTIC OR THERAPEUTIC USE”.