KDM2B Recombinant Rabbit Monoclonal Antibody [PSH05-38]
cat.: HA750997
Product Type: Recombinant Rabbit monoclonal IgG, primary antibodies
Species reactivity: Human, Mouse, Rat
Applications: WB, IF-Cell, IHC-P, FC, IF-Tissue, IP, ChIP
Clonality: Monoclonal
Clone number: PSH05-38
Form: Liquid
Storage condition: Store at +4℃ after thawing. Aliquot store at -20℃. Avoid repeated freeze / thaw cycles.
Storage buffer: 1*PBS (pH7.4).
Concentration: 1ug/ul
Purification: Protein A affinity purified.
Molecular weight: Predicted band size: 150 kDa
Isotype: IgG
Immunogen: Recombinant protein within mouse KDM2B aa 681-920 / 1,309.
Positive control: HeLa cell lysate, HepG2 cell lysate, 293T cell lysate, NIH/3T3 cell lysate, C2C12 cell lysate, PC-12 cell lysate, C6 cell lysate, human brain tissue lysate, mouse brain tissue lysate, mouse colon tissue lysate, rat brain tissue lysate, HeLa, NIH/3T3, human brain tissue, human colon tissue, mouse brain tissue, mouse skin tissue, rat brain tissue.
Subcellular location: Nucleus, nucleolus, Chromosome.
Recommended Dilutions:
  WB
  IF-Cell
  IHC-P
  FC
  IF-Tissue
  IP
  ChIP

1:2,000
1:2,000
1:200-1:1,000
1:1,000
1:50-1:200
1-2μg/sample
Use 5 μg for 25 μg of chromatin.
Uniprot #: SwissProt: Q8NHM5 Human | Q6P1G2 Mouse
Entrez Gene: 304495 Rat
Alternative names: [Histone-H3]-lysine-36 demethylase 1B CXXC-type zinc finger protein 2 CXXC2 F box and leucine rich repeat protein 10 F box protein FBL10 F-box and leucine-rich repeat protein 10 F-box protein FBL10 F-box/LRR-repeat protein 10 Fbl10 FBXL10 JEMMA (Jumonji domain EMSY interactor methyltransferase motif) protein JHDM1B JmjC domain-containing histone demethylation protein 1B Jumonji C domain containing histone demethylase 1B Jumonji domain-containing EMSY-interactor methyltransferase motif protein kdm2b KDM2B_HUMAN Lysine (K) specific demethylase 2B Lysine-specific demethylase 2B PCCX2 Protein containing CXXC domain 2 Protein JEMMA Protein-containing CXXC domain 2
Images
HA750997_1.jpg Fig1: Western blot analysis of KDM2B on different lysates with Rabbit anti-KDM2B antibody (HA750997) at 1/2,000 dilution.

Lane 1: HeLa cell lysate (20 µg/Lane)
Lane 2: HepG2 cell lysate (20 µg/Lane)
Lane 3: 293T cell lysate (20 µg/Lane)
Lane 4: NIH/3T3 cell lysate (20 µg/Lane)
Lane 5: C2C12 cell lysate (20 µg/Lane)
Lane 6: PC-12 cell lysate (20 µg/Lane)
Lane 7: C6 cell lysate (20 µg/Lane)
Lane 8: Human brain tissue lysate (40 µg/Lane)
Lane 9: Mouse brain tissue lysate (40 µg/Lane)
Lane 10: Mouse colon tissue lysate (40 µg/Lane)
Lane 11: Rat brain tissue lysate (40 µg/Lane)

Predicted band size: 150 kDa
Observed band size: 150 kDa

Exposure time: 25 seconds; ECL: K1801;

4-20% SDS-PAGE gel.

Proteins were transferred to a PVDF membrane and blocked with 5% NFDM/TBST for 1 hour at room temperature. The primary antibody (HA750997) at 1/2,000 dilution was used in 5% NFDM/TBST at 4℃ overnight. Goat Anti-Rabbit IgG - HRP Secondary Antibody (HA1001) at 1/50,000 dilution was used for 1 hour at room temperature.
HA750997_2.jpg Fig2: Immunocytochemistry analysis of HeLa cells labeling KDM2B with Rabbit anti-KDM2B antibody (HA750997) at 1/2,000 dilution.

Cells were fixed in 4% paraformaldehyde for 20 minutes at room temperature, permeabilized with 0.1% Triton X-100 in PBS for 5 minutes at room temperature, then blocked with 1% BSA in 10% negative goat serum for 1 hour at room temperature. Cells were then incubated with Rabbit anti-KDM2B antibody (HA750997) at 1/2,000 dilution in 1% BSA in PBST overnight at 4 ℃. Goat Anti-Rabbit IgG H&L (iFluor™ 488, HA1121) was used as the secondary antibody at 1/1,000 dilution. PBS instead of the primary antibody was used as the secondary antibody only control. Nuclear DNA was labelled in blue with DAPI.

Beta tubulin (M1305-2, red) was stained at 1/100 dilution overnight at +4℃. Goat Anti-Mouse IgG H&L (iFluor™ 594, HA1126) was used as the secondary antibody at 1/1,000 dilution.
HA750997_3.jpg Fig3: Immunocytochemistry analysis of NIH/3T3 cells labeling KDM2B with Rabbit anti-KDM2B antibody (HA750997) at 1/2,000 dilution.

Cells were fixed in 4% paraformaldehyde for 20 minutes at room temperature, permeabilized with 0.1% Triton X-100 in PBS for 5 minutes at room temperature, then blocked with 1% BSA in 10% negative goat serum for 1 hour at room temperature. Cells were then incubated with Rabbit anti-KDM2B antibody (HA750997) at 1/2,000 dilution in 1% BSA in PBST overnight at 4 ℃. Goat Anti-Rabbit IgG H&L (iFluor™ 488, HA1121) was used as the secondary antibody at 1/1,000 dilution. PBS instead of the primary antibody was used as the secondary antibody only control. Nuclear DNA was labelled in blue with DAPI.

Beta tubulin (M1305-2, red) was stained at 1/100 dilution overnight at +4℃. Goat Anti-Mouse IgG H&L (iFluor™ 594, HA1126) was used as the secondary antibody at 1/1,000 dilution.
HA750997_4.jpg Fig4: Immunohistochemical analysis of paraffin-embedded human brain tissue with Rabbit anti-KDM2B antibody (HA750997) at 1/200 dilution.

The section was pre-treated using heat mediated antigen retrieval with sodium citrate buffer (pH 6.0) (high pressure) for 2 minutes. The tissues were blocked in 1% BSA for 20 minutes at room temperature, washed with ddH2O and PBS, and then probed with the primary antibody (HA750997) at 1/200 dilution for 1 hour at room temperature. The detection was performed using an HRP conjugated compact polymer system. DAB was used as the chromogen. Tissues were counterstained with hematoxylin and mounted with DPX.
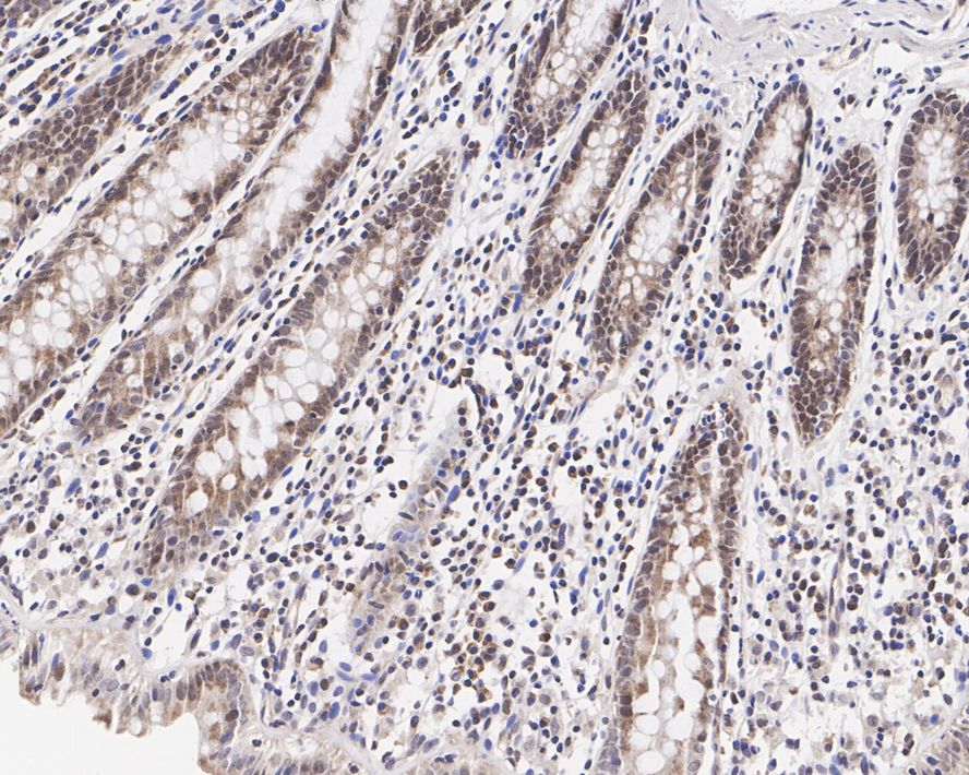
HA750997_5.jpg Fig5: Immunohistochemical analysis of paraffin-embedded human colon tissue with Rabbit anti-KDM2B antibody (HA750997) at 1/200 dilution.

The section was pre-treated using heat mediated antigen retrieval with sodium citrate buffer (pH 6.0) (high pressure) for 2 minutes. The tissues were blocked in 1% BSA for 20 minutes at room temperature, washed with ddH2O and PBS, and then probed with the primary antibody (HA750997) at 1/200 dilution for 1 hour at room temperature. The detection was performed using an HRP conjugated compact polymer system. DAB was used as the chromogen. Tissues were counterstained with hematoxylin and mounted with DPX.
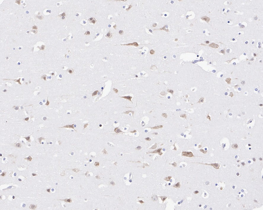
HA750997_6.jpg Fig6: Immunohistochemical analysis of paraffin-embedded mouse brain tissue with Rabbit anti-KDM2B antibody (HA750997) at 1/1,000 dilution.

The section was pre-treated using heat mediated antigen retrieval with sodium citrate buffer (pH 6.0) (high pressure) for 2 minutes. The tissues were blocked in 1% BSA for 20 minutes at room temperature, washed with ddH2O and PBS, and then probed with the primary antibody (HA750997) at 1/1,000 dilution for 1 hour at room temperature. The detection was performed using an HRP conjugated compact polymer system. DAB was used as the chromogen. Tissues were counterstained with hematoxylin and mounted with DPX.
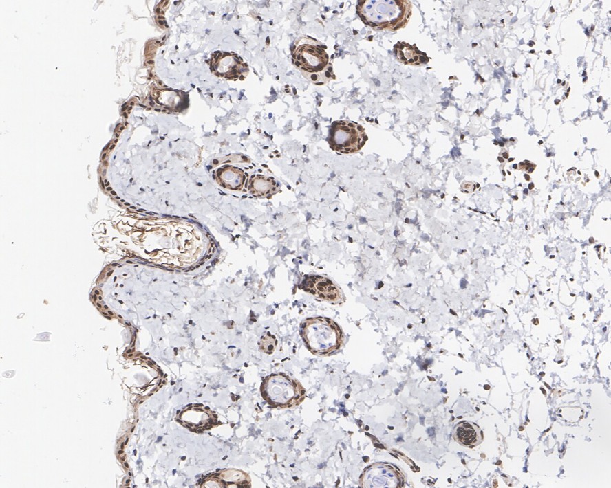
HA750997_7.jpg Fig7: Immunohistochemical analysis of paraffin-embedded mouse skin tissue with Rabbit anti-KDM2B antibody (HA750997) at 1/200 dilution.

The section was pre-treated using heat mediated antigen retrieval with sodium citrate buffer (pH 6.0) (high pressure) for 2 minutes. The tissues were blocked in 1% BSA for 20 minutes at room temperature, washed with ddH2O and PBS, and then probed with the primary antibody (HA750997) at 1/200 dilution for 1 hour at room temperature. The detection was performed using an HRP conjugated compact polymer system. DAB was used as the chromogen. Tissues were counterstained with hematoxylin and mounted with DPX.
HA750997_8.jpg Fig8: Immunohistochemical analysis of paraffin-embedded rat brain tissue with Rabbit anti-KDM2B antibody (HA750997) at 1/1,000 dilution.

The section was pre-treated using heat mediated antigen retrieval with sodium citrate buffer (pH 6.0) (high pressure) for 2 minutes. The tissues were blocked in 1% BSA for 20 minutes at room temperature, washed with ddH2O and PBS, and then probed with the primary antibody (HA750997) at 1/1,000 dilution for 1 hour at room temperature. The detection was performed using an HRP conjugated compact polymer system. DAB was used as the chromogen. Tissues were counterstained with hematoxylin and mounted with DPX.
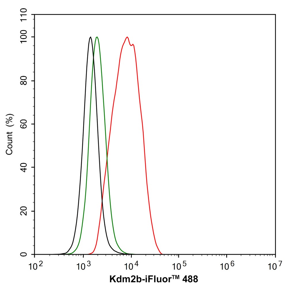
HA750997_9.jpg Fig9: Flow cytometric analysis of HeLa cells labeling KDM2B.

Cells were fixed and permeabilized. Then stained with the primary antibody (HA750997, 1/1,000) (red) compared with Rabbit IgG Isotype Control (green). After incubation of the primary antibody at +4℃ for an hour, the cells were stained with a iFluor™ 488 conjugate-Goat anti-Rabbit IgG Secondary antibody (HA1121) at 1/1,000 dilution for 30 minutes at +4℃. Unlabelled sample was used as a control (cells without incubation with primary antibody; black).
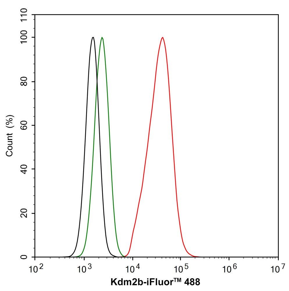
HA750997_10.jpg Fig10: Flow cytometric analysis of NIH/3T3 cells labeling KDM2B.

Cells were fixed and permeabilized. Then stained with the primary antibody (HA750997, 1/1,000) (red) compared with Rabbit IgG Isotype Control (green). After incubation of the primary antibody at +4℃ for an hour, the cells were stained with a iFluor™ 488 conjugate-Goat anti-Rabbit IgG Secondary antibody (HA1121) at 1/1,000 dilution for 30 minutes at +4℃. Unlabelled sample was used as a control (cells without incubation with primary antibody; black).
HA750997_11.jpg Fig11: KDM2B was immunoprecipitated from 0.2 mg MDA-MB-231 cell lysate with HA750997 at 2 µg/10 µl beads. Western blot was performed from the immunoprecipitate using HA750997 at 1/2,000 dilution. Anti-Rabbit IgG for IP Nano-secondary antibody (NBI01H) at 1/5,000 dilution was used for 1 hour at room temperature.

Lane 1: MDA-MB-231 cell lysate (input)
Lane 2: HA750997 IP in MDA-MB-231 cell lysate
Lane 3: Rabbit IgG instead of HA750997 in MDA-MB-231 cell lysate

Blocking/Dilution buffer: 5% NFDM/TBST
Exposure time: 10 seconds; ECL: K1802
HA750997_12.jpg Fig12: Chromatin immunoprecipitations were performed with cross-linked chromatin from MDA-MB-231 cells with KDM2B (HA750997) or Normal Rabbit IgG according to the ChIP protocol. The enriched DNA was quantified by real-time PCR using indicated primers. The amount of immunoprecipitated DNA in each sample is represented as signal relative to the total amount of input chromatin, which is equivalent to one.
Note: All products are “FOR RESEARCH USE ONLY AND ARE NOT INTENDED FOR DIAGNOSTIC OR THERAPEUTIC USE”.