NCOA4 Recombinant Rabbit Monoclonal Antibody [PSH05-45]
cat.: HA751004
Product Type: Recombinant Rabbit monoclonal IgG, primary antibodies
Species reactivity: Human, Mouse, Rat
Applications: IHC-P, IF-Tissue
Clonality: Monoclonal
Clone number: PSH05-45
Form: Liquid
Storage condition: Store at +4℃ after thawing. Aliquot store at -20℃. Avoid repeated freeze / thaw cycles.
Storage buffer: 1*PBS (pH7.4).
Concentration: 1ug/ul
Purification: Protein A affinity purified.
Molecular weight: Predicted band size: 70 kDa
Isotype: IgG
Immunogen: Recombinant protein within human NCOA4 aa 1-400 / 614.
Positive control: Human kidney tissue, human prostate cancer tissue, mouse colon tissue, rat colon tissue.
Subcellular location: Nucleus.
Recommended Dilutions:
  IHC-P
  IF-Tissue

1:500-1:1,500
1:200
Uniprot #: SwissProt: Q13772 Human
Entrez Gene: 27057 Mouse | 619385 Rat
Alternative names: 70 kDa androgen receptor activator 70 kDa androgen receptor coactivator 70 kDa AR activator 70 kDa AR-activator Androgen receptor coactivator 70 kD Androgen receptor coactivator 70 kDa protein Androgen receptor-associated protein of 70 kDa ARA 70 ARA70 DKFZp762E1112 ELE 1 ELE1 ELE1/ret TK NCOA 4 NCoA-4 NCOA4 NCOA4_HUMAN Nuclear receptor coactivator 4 Papillary thyroid carcinoma 3 PTC 3 PTC3 RET activating gene ELE1 Ret activating protein ELE1 Ret-activating protein ELE1 RFG
Images
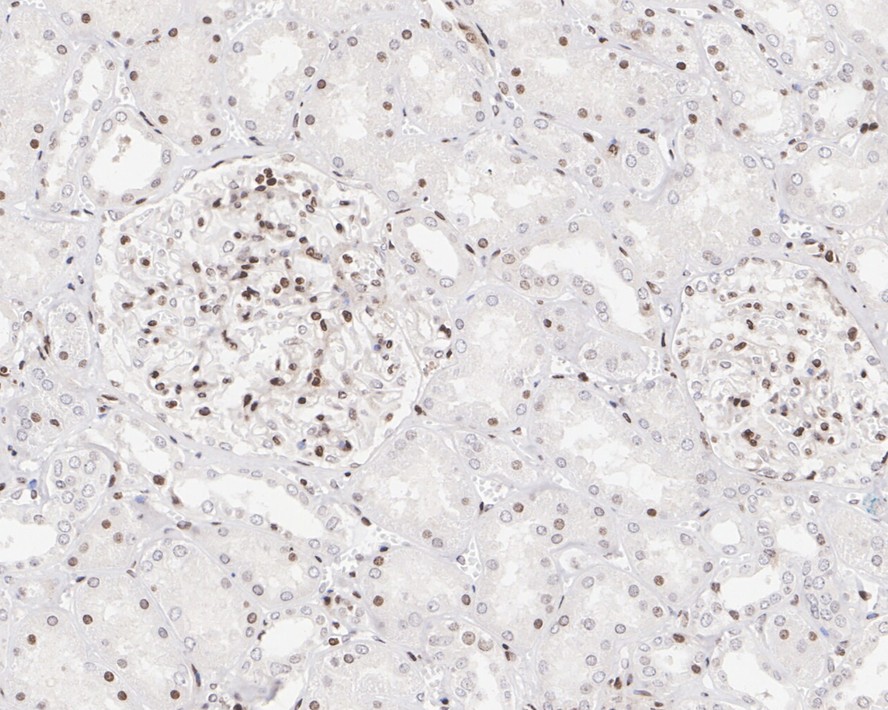
HA751004_1.jpg Fig1: Immunohistochemical analysis of paraffin-embedded human kidney tissue with Rabbit anti-NCOA4 antibody (HA751004) at 1/500 dilution.

The section was pre-treated using heat mediated antigen retrieval with sodium citrate buffer (pH 6.0) (high pressure) for 2 minutes. The tissues were blocked in 1% BSA for 20 minutes at room temperature, washed with ddH2O and PBS, and then probed with the primary antibody (HA751004) at 1/500 dilution for 1 hour at room temperature. The detection was performed using an HRP conjugated compact polymer system. DAB was used as the chromogen. Tissues were counterstained with hematoxylin and mounted with DPX.
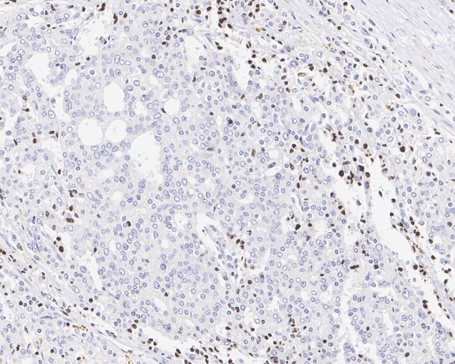
HA751004_2.jpg Fig2: Immunohistochemical analysis of paraffin-embedded human prostate cancer tissue with Rabbit anti-NCOA4 antibody (HA751004) at 1/1,500 dilution.

The section was pre-treated using heat mediated antigen retrieval with sodium citrate buffer (pH 6.0) (high pressure) for 2 minutes. The tissues were blocked in 1% BSA for 20 minutes at room temperature, washed with ddH2O and PBS, and then probed with the primary antibody (HA751004) at 1/1,500 dilution for 1 hour at room temperature. The detection was performed using an HRP conjugated compact polymer system. DAB was used as the chromogen. Tissues were counterstained with hematoxylin and mounted with DPX.
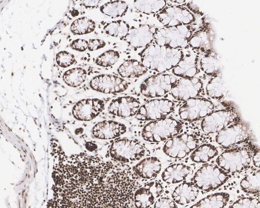
HA751004_3.jpg Fig3: Immunohistochemical analysis of paraffin-embedded mouse colon tissue with Rabbit anti-NCOA4 antibody (HA751004) at 1/1,500 dilution.

The section was pre-treated using heat mediated antigen retrieval with sodium citrate buffer (pH 6.0) (high pressure) for 2 minutes. The tissues were blocked in 1% BSA for 20 minutes at room temperature, washed with ddH2O and PBS, and then probed with the primary antibody (HA751004) at 1/1,500 dilution for 1 hour at room temperature. The detection was performed using an HRP conjugated compact polymer system. DAB was used as the chromogen. Tissues were counterstained with hematoxylin and mounted with DPX.
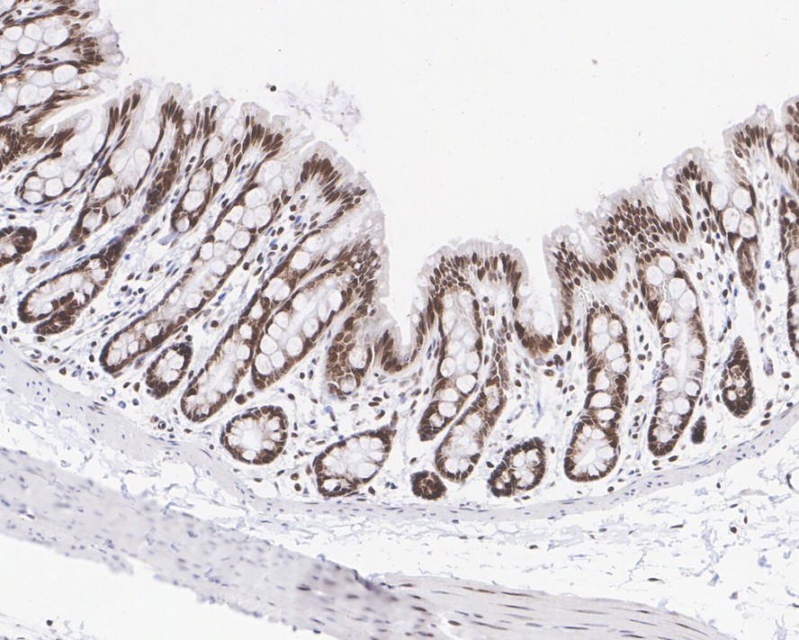
HA751004_4.jpg Fig4: Immunohistochemical analysis of paraffin-embedded rat colon tissue with Rabbit anti-NCOA4 antibody (HA751004) at 1/1,500 dilution.

The section was pre-treated using heat mediated antigen retrieval with sodium citrate buffer (pH 6.0) (high pressure) for 2 minutes. The tissues were blocked in 1% BSA for 20 minutes at room temperature, washed with ddH2O and PBS, and then probed with the primary antibody (HA751004) at 1/1,500 dilution for 1 hour at room temperature. The detection was performed using an HRP conjugated compact polymer system. DAB was used as the chromogen. Tissues were counterstained with hematoxylin and mounted with DPX.
Note: All products are “FOR RESEARCH USE ONLY AND ARE NOT INTENDED FOR DIAGNOSTIC OR THERAPEUTIC USE”.