NMDAR2B Recombinant Rabbit Monoclonal Antibody [PSH05-46]
cat.: HA751005
Product Type: Recombinant Rabbit monoclonal IgG, primary antibodies
Species reactivity: Human, Mouse, Rat, Cynomolgus monkey, Pig
Applications: WB, IHC-P, IHC-Fr
Clonality: Monoclonal
Clone number: PSH05-46
Form: Liquid
Storage condition: Store at +4℃ after thawing. Aliquot store at -20℃. Avoid repeated freeze / thaw cycles.
Storage buffer: 1*PBS (pH7.4).
Concentration: 1ug/ul
Purification: Protein A affinity purified.
Molecular weight: Predicted band size: 166 kDa
Isotype: IgG
Immunogen: Recombinant protein within human NMDAR2B aa 27-450 / 1,484.
Positive control: Mouse brain tissue lysate, mouse hippocampus tissue lysate, rat brain tissue lysate, rat hippocampus tissue lysate, human brain tissue lysate, mouse hippocampus tissue, rat hippocampus tissue, mouse cerebellum tissue.
Subcellular location: Cell membrane, Postsynaptic cell membrane, Late endosome, Lysosome, Cytoplasm, cytoskeleton.
Recommended Dilutions:
  WB
  IHC-P
  IHC-Fr

1:2,000
1:2,000-1:8,000
1:500
Uniprot #: SwissProt: Q13224 Human | Q01097 Mouse | Q00960 Rat
Alternative names: AW490526 EIEE27 Glutamate [NMDA] receptor subunit epsilon 2 Glutamate [NMDA] receptor subunit epsilon-2 Glutamate Receptor Ionotropic N Methyl D Aspartate 2B Glutamate Receptor Ionotropic N Methyl D Aspartate subunit 2B Glutamate receptor ionotropic NMDA2B Glutamate receptor subunit epsilon 2 Glutamate receptor, ionotropic, NMDA2B (epsilon 2) GRIN 2B GRIN2B hNR 3 hNR3 MGC142178 MGC142180 MRD6 N methyl D asparate receptor channel subunit epsilon 2 N methyl D aspartate receptor subtype 2B N methyl D aspartate receptor subunit 2B N methyl D aspartate receptor subunit 3 N-methyl D-aspartate receptor subtype 2B N-methyl-D-aspartate receptor subunit 3 NMDA NR2B NMDA R2B NMDAR2B NMDE2 NMDE2_HUMAN NME2 NR2B NR3
Images
HA751005_1.jpg Fig1: Western blot analysis of NMDAR2B on different lysates with Rabbit anti-NMDAR2B antibody (HA751005) at 1/2,000 dilution and competitor's antibody at 1/2,000 dilution.

Lane 1: Mouse brain tissue lysate (no heat)
Lane 2: Mouse hippocampus tissue lysate
Lane 3: Mouse liver tissue lysate (negative)
Lane 4: Rat brain tissue lysate (no heat)
Lane 5: Rat hippocampus tissue lysate
Lane 6: Rat liver tissue lysate (negative)
Lane 7: Human brain tissue lysate
Lane 8: Human liver tissue lysate (negative)

Notice: no heat means the lysate is not boiled.

Lysates/proteins at 20 µg/Lane.

Predicted band size: 166 kDa
Observed band size: 115/180 kDa

Exposure time: 59 seconds; ECL: K1801;

4-20% SDS-PAGE gel.

Proteins were transferred to a PVDF membrane and blocked with 5% NFDM/TBST for 1 hour at room temperature. The primary antibody (HA751005) at 1/2,000 dilution and competitor's antibody at 1/2,000 dilution were used in 5% NFDM/TBST at 4℃ overnight. Goat Anti-Rabbit IgG - HRP Secondary Antibody (HA1001) at 1/50,000 dilution was used for 1 hour at room temperature.
HA751005_2.jpg Fig2: Immunohistochemical analysis of paraffin-embedded mouse hippocampus tissue with Rabbit anti-NMDAR2B antibody (HA751005) at 1/8,000 dilution.

The section was pre-treated using heat mediated antigen retrieval with Tris-EDTA buffer (pH 9.0) for 20 minutes. The tissues were blocked in 1% BSA for 20 minutes at room temperature, washed with ddH2O and PBS, and then probed with the primary antibody (HA751005) at 1/8,000 dilution for 1 hour at room temperature. The detection was performed using an HRP conjugated compact polymer system. DAB was used as the chromogen. Tissues were counterstained with hematoxylin and mounted with DPX.
HA751005_3.jpg Fig3: Immunohistochemical analysis of paraffin-embedded rat hippocampus tissue with Rabbit anti-NMDAR2B antibody (HA751005) at 1/2,000 dilution.

The section was pre-treated using heat mediated antigen retrieval with Tris-EDTA buffer (pH 9.0) for 20 minutes. The tissues were blocked in 1% BSA for 20 minutes at room temperature, washed with ddH2O and PBS, and then probed with the primary antibody (HA751005) at 1/2,000 dilution for 1 hour at room temperature. The detection was performed using an HRP conjugated compact polymer system. DAB was used as the chromogen. Tissues were counterstained with hematoxylin and mounted with DPX.
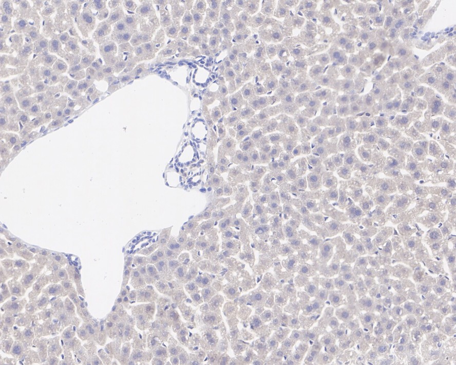
HA751005_4.jpg Fig4: Immunohistochemical analysis of paraffin-embedded mouse liver tissue (negative) with Rabbit anti-NMDAR2B antibody (HA751005) at 1/8,000 dilution.

The section was pre-treated using heat mediated antigen retrieval with Tris-EDTA buffer (pH 9.0) for 20 minutes. The tissues were blocked in 1% BSA for 20 minutes at room temperature, washed with ddH2O and PBS, and then probed with the primary antibody (HA751005) at 1/8,000 dilution for 1 hour at room temperature. The detection was performed using an HRP conjugated compact polymer system. DAB was used as the chromogen. Tissues were counterstained with hematoxylin and mounted with DPX.
HA751005_5.jpg Fig5: Immunohistochemical analysis of paraffin-embedded rat liver tissue (negative) with Rabbit anti-NMDAR2B antibody (HA751005) at 1/8,000 dilution.

The section was pre-treated using heat mediated antigen retrieval with Tris-EDTA buffer (pH 9.0) for 20 minutes. The tissues were blocked in 1% BSA for 20 minutes at room temperature, washed with ddH2O and PBS, and then probed with the primary antibody (HA751005) at 1/8,000 dilution for 1 hour at room temperature. The detection was performed using an HRP conjugated compact polymer system. DAB was used as the chromogen. Tissues were counterstained with hematoxylin and mounted with DPX.
HA751005_6.jpg Fig6: Immunofluorescence analysis of frozen mouse cerebellum tissue with Rabbit anti-NMDAR2B antibody (HA751005) at 1/500 dilution.

The section was pre-treated using heat mediated antigen retrieval with sodium citrate buffer (pH 6.0) for about 2 minutes in microwave oven. The tissues were blocked in 10% negative goat serum for 1 hour at room temperature, washed with PBS, and then probed with the primary antibody (HA751005, green) at 1/500 dilution overnight at 4 ℃, washed with PBS. Goat Anti-Rabbit IgG H&L (iFluor™ 488, HA1121) was used as the secondary antibody at 1/1,000 dilution. Nuclei were counterstained with DAPI (blue).
Note: All products are “FOR RESEARCH USE ONLY AND ARE NOT INTENDED FOR DIAGNOSTIC OR THERAPEUTIC USE”.