Adiponectin Recombinant Rabbit Monoclonal Antibody [PSH05-48]
cat.: HA751007
Product Type: Recombinant Rabbit monoclonal IgG, primary antibodies
Species reactivity: Human, Mouse, Rat
Applications: WB, IHC-P, IF-Tissue
Clonality: Monoclonal
Clone number: PSH05-48
Form: Liquid
Storage condition: Store at +4℃ after thawing. Aliquot store at -20℃. Avoid repeated freeze / thaw cycles.
Storage buffer: 1*PBS (pH7.4).
Concentration: 1ug/ul
Purification: Protein A affinity purified.
Molecular weight: Predicted band size: 26 kDa
Isotype: IgG
Immunogen: Recombinant protein within human Adiponectin aa 1-244 / 244.
Positive control: Mouse white adipose tissue lysate, rat white adipose tissue lysate, human plasma lysates, human placenta tissue, human breast tissue, mouse breast tissue, rat skin tissue.
Subcellular location: Secreted.
Recommended Dilutions:
  WB
  IHC-P
  IF-Tissue

1:2,000
1:200-1:1,000
1:50-1:200
Uniprot #: SwissProt: Q15848 Human | Q60994 Mouse
Entrez Gene: 246253 Rat
Alternative names: 30 kDa adipocyte complement related protein 30 kDa adipocyte complement-related protein ACDC Acrp 30 ACRP30 ADIPO_HUMAN Adipocyte Adipocyte C1q and collagen domain containing protein Adipocyte complement related 30 kDa protein Adipocyte complement related protein of 30 kDa Adipocyte complement-related 30 kDa protein adipocyte-specific secretory protein Adiponectin Adiponectin precursor adiponectin, C1Q and collagen domain containing Adipoq Adipose most abundant gene transcript 1 Adipose most abundant gene transcript 1 protein Adipose specific collagen like factor ADIPQTL1 ADPN APM 1 apM-1 APM1 C1q and collagen domain-containing protein GBP 28 GBP28 Gelatin binding protein Gelatin binding protein 28 gelatin-binding protein 28 Gelatin-binding protein OTTHUMP00000210047
Images
HA751007_1.jpg Fig1: Western blot analysis of Adiponectin on different lysates with Rabbit anti-Adiponectin antibody (HA751007) at 1/2,000 dilution.

Lane 1: Mouse white adipose tissue lysate
Lane 2: Rat white adipose tissue lysate

Lysates/proteins at 40 µg/Lane.

Predicted band size: 26 kDa
Observed band size: 26 kDa

Exposure time: 10 seconds; ECL: K1801;

4-20% SDS-PAGE gel.

Proteins were transferred to a PVDF membrane and blocked with 5% NFDM/TBST for 1 hour at room temperature. The primary antibody (HA751007) at 1/2,000 dilution was used in 5% NFDM/TBST at 4℃ overnight. Goat Anti-Rabbit IgG - HRP Secondary Antibody (HA1001) at 1/50,000 dilution was used for 1 hour at room temperature.
HA751007_2.jpg Fig2: Western blot analysis of Adiponectin on human plasma lysates with Rabbit anti-Adiponectin antibody (HA751007) at 1/2,000 dilution.

Lysates/proteins at 40 µg/Lane.

Predicted band size: 26 kDa
Observed band size: 26 kDa

Exposure time: 10 seconds; ECL: K1801;

4-20% SDS-PAGE gel.

Proteins were transferred to a PVDF membrane and blocked with 5% NFDM/TBST for 1 hour at room temperature. The primary antibody (HA751007) at 1/2,000 dilution was used in 5% NFDM/TBST at 4℃ overnight. Goat Anti-Rabbit IgG - HRP Secondary Antibody (HA1001) at 1/50,000 dilution was used for 1 hour at room temperature.
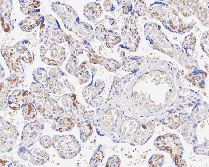
HA751007_3.jpg Fig3: Immunohistochemical analysis of paraffin-embedded human placenta tissue with Rabbit anti-Adiponectin antibody (HA751007) at 1/200 dilution.

The section was pre-treated using heat mediated antigen retrieval with Tris-EDTA buffer (pH 9.0) for 20 minutes. The tissues were blocked in 1% BSA for 20 minutes at room temperature, washed with ddH2O and PBS, and then probed with the primary antibody (HA751007) at 1/200 dilution for 1 hour at room temperature. The detection was performed using an HRP conjugated compact polymer system. DAB was used as the chromogen. Tissues were counterstained with hematoxylin and mounted with DPX.
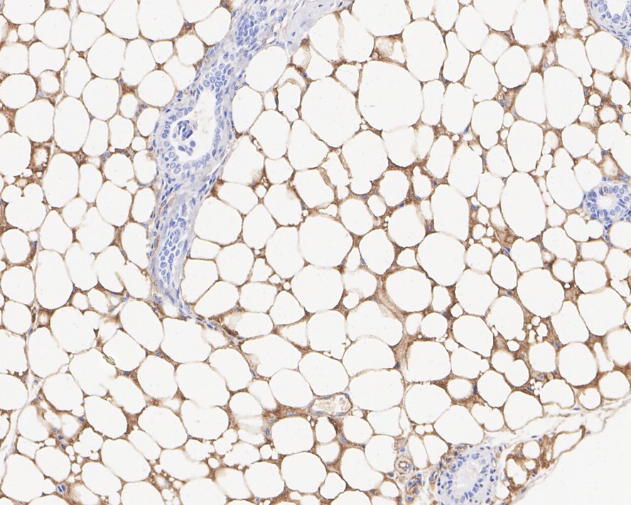
HA751007_4.jpg Fig4: Immunohistochemical analysis of paraffin-embedded human breast tissue with Rabbit anti-Adiponectin antibody (HA751007) at 1/200 dilution.

The section was pre-treated using heat mediated antigen retrieval with Tris-EDTA buffer (pH 9.0) for 20 minutes. The tissues were blocked in 1% BSA for 20 minutes at room temperature, washed with ddH2O and PBS, and then probed with the primary antibody (HA751007) at 1/200 dilution for 1 hour at room temperature. The detection was performed using an HRP conjugated compact polymer system. DAB was used as the chromogen. Tissues were counterstained with hematoxylin and mounted with DPX.
HA751007_5.jpg Fig5: Immunohistochemical analysis of paraffin-embedded mouse breast tissue with Rabbit anti-Adiponectin antibody (HA751007) at 1/1,000 dilution.

The section was pre-treated using heat mediated antigen retrieval with Tris-EDTA buffer (pH 9.0) for 20 minutes. The tissues were blocked in 1% BSA for 20 minutes at room temperature, washed with ddH2O and PBS, and then probed with the primary antibody (HA751007) at 1/1,000 dilution for 1 hour at room temperature. The detection was performed using an HRP conjugated compact polymer system. DAB was used as the chromogen. Tissues were counterstained with hematoxylin and mounted with DPX.
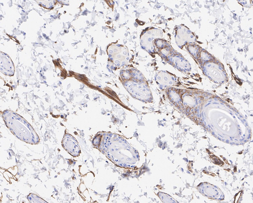
HA751007_6.jpg Fig6: Immunohistochemical analysis of paraffin-embedded rat skin tissue with Rabbit anti-Adiponectin antibody (HA751007) at 1/200 dilution.

The section was pre-treated using heat mediated antigen retrieval with Tris-EDTA buffer (pH 9.0) for 20 minutes. The tissues were blocked in 1% BSA for 20 minutes at room temperature, washed with ddH2O and PBS, and then probed with the primary antibody (HA751007) at 1/200 dilution for 1 hour at room temperature. The detection was performed using an HRP conjugated compact polymer system. DAB was used as the chromogen. Tissues were counterstained with hematoxylin and mounted with DPX.
Note: All products are “FOR RESEARCH USE ONLY AND ARE NOT INTENDED FOR DIAGNOSTIC OR THERAPEUTIC USE”.