ZW10 Recombinant Rabbit Monoclonal Antibody [PSH05-80]
cat.: HA751028
Product Type: Recombinant Rabbit monoclonal IgG, primary antibodies
Species reactivity: Human, Mouse, Rat, Monkey
Applications: WB, IHC-P
Clonality: Monoclonal
Clone number: PSH05-80
Form: Liquid
Storage condition: Store at +4℃ after thawing. Aliquot store at -20℃. Avoid repeated freeze / thaw cycles.
Storage buffer: PBS (pH7.4).
Concentration: 1ug/ul
Purification: Protein A affinity purified.
Molecular weight: Predicted band size: 89 kDa
Isotype: IgG
Immunogen: Recombinant protein within Human ZW10 aa 350-779.
Positive control: Jurkat cell lysate, K-562 cell lysate, Ramos cell lysate, U-2 OS cell lysate, HCT 116 cell lysate, SW620 cell lysate, HeLa cell lysate, COS-1 cell lysate, NIH/3T3 cell lysate, C6 cell lysate, PC-12 cell lysate, human testis tissue, mouse testis tissue, rat testis tissue.
Subcellular location: Centromere, Chromosome, Cytoplasm, Cytoskeleton, Endoplasmic reticulum.
Recommended Dilutions:
  WB
  IHC-P

1:2,000
1:2,000
Uniprot #: SwissProt: O43264 Human | O54692 Mouse | Q4V8C2 Rat
Alternative names: Centromere/kinetochore protein zw10 Centromere/kinetochore protein zw10 homolog HZW 10 HZW10 Kinetochore associated homolog KNTC1AP MGC149821 Zeste white 10 Zeste white 10 homolog ZW 10 ZW 10 homolog centromere/kinetochore protein ZW 10 kinetochore associated homolog ZW10 (Drosophila) homolog centromere/kinetochore protein Zw10 ZW10 homolog centromere/kinetochore protein (Drosophila) ZW10 homolog centromere/kinetochore protein ZW10 kinetochore associated homolog ZW10, kinetochore associated, homolog (Drosophila) ZW10_HUMAN
Images
HA751028_1.jpg Fig1: Western blot analysis of ZW10 on different lysates with Rabbit anti-ZW10 antibody (HA751028) at 1/2,000 dilution and competitor's antibody at 1/2,000 dilution.

Lane 1: Jurkat cell lysate
Lane 2: K-562 cell lysate
Lane 3: Ramos cell lysate
Lane 4: U-2 OS cell lysate
Lane 5: HCT 116 cell lysate
Lane 6: SW620 cell lysate
Lane 7: HeLa cell lysate
Lane 8: COS-1 cell lysate
Lane 9: NIH/3T3 cell lysate
Lane 10: C6 cell lysate
Lane 11: PC-12 cell lysate

Lysates/proteins at 20 µg/Lane.

Predicted band size: 89 kDa
Observed band size: 89 kDa

Exposure time: 3 minutes; ECL: K1801;

4-20% SDS-PAGE gel.

Proteins were transferred to a PVDF membrane and blocked with 5% NFDM/TBST for 1 hour at room temperature. The primary antibody (HA751028) at 1/2,000 dilution and competitor's antibody at 1/2,000 dilution were used in 5% NFDM/TBST at 4℃ overnight. Goat Anti-Rabbit IgG - HRP Secondary Antibody (HA1001) at 1/50,000 dilution was used for 1 hour at room temperature.
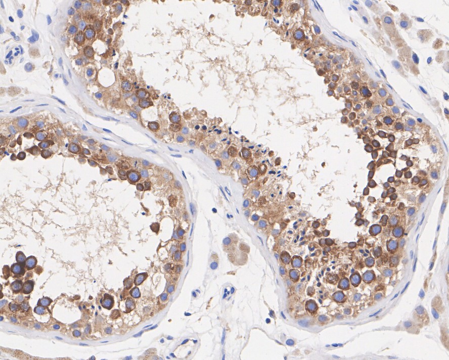
HA751028_2.jpg Fig2: Immunohistochemical analysis of paraffin-embedded human testis tissue with Rabbit anti-ZW10 antibody (HA751028) at 1/2,000 dilution.

The section was pre-treated using heat mediated antigen retrieval with Tris-EDTA buffer (pH 9.0) for 20 minutes. The tissues were blocked in 1% BSA for 20 minutes at room temperature, washed with ddH2O and PBS, and then probed with the primary antibody (HA751028) at 1/2,000 dilution for 1 hour at room temperature. The detection was performed using an HRP conjugated compact polymer system. DAB was used as the chromogen. Tissues were counterstained with hematoxylin and mounted with DPX.
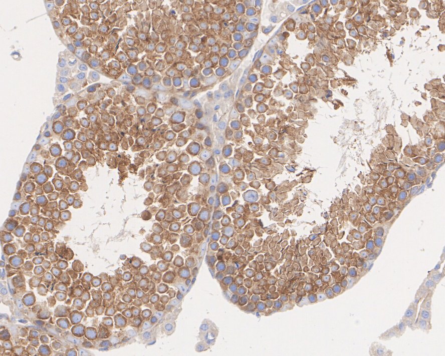
HA751028_3.jpg Fig3: Immunohistochemical analysis of paraffin-embedded mouse testis tissue with Rabbit anti-ZW10 antibody (HA751028) at 1/2,000 dilution.

The section was pre-treated using heat mediated antigen retrieval with Tris-EDTA buffer (pH 9.0) for 20 minutes. The tissues were blocked in 1% BSA for 20 minutes at room temperature, washed with ddH2O and PBS, and then probed with the primary antibody (HA751028) at 1/2,000 dilution for 1 hour at room temperature. The detection was performed using an HRP conjugated compact polymer system. DAB was used as the chromogen. Tissues were counterstained with hematoxylin and mounted with DPX.
HA751028_4.jpg Fig4: Immunohistochemical analysis of paraffin-embedded rat testis tissue with Rabbit anti-ZW10 antibody (HA751028) at 1/2,000 dilution.

The section was pre-treated using heat mediated antigen retrieval with Tris-EDTA buffer (pH 9.0) for 20 minutes. The tissues were blocked in 1% BSA for 20 minutes at room temperature, washed with ddH2O and PBS, and then probed with the primary antibody (HA751028) at 1/2,000 dilution for 1 hour at room temperature. The detection was performed using an HRP conjugated compact polymer system. DAB was used as the chromogen. Tissues were counterstained with hematoxylin and mounted with DPX.
Note: All products are “FOR RESEARCH USE ONLY AND ARE NOT INTENDED FOR DIAGNOSTIC OR THERAPEUTIC USE”.