CD2 Recombinant Rabbit Monoclonal Antibody [PSH05-85]
cat.: HA751033
Product Type: Recombinant Rabbit monoclonal IgG, primary antibodies
Species reactivity: Human
Applications: WB, IHC-P, IF-Cell, FC, IF-Tissue
Clonality: Monoclonal
Clone number: PSH05-85
Form: Liquid
Storage condition: Store at +4℃ after thawing. Aliquot store at -20℃. Avoid repeated freeze / thaw cycles.
Storage buffer: PBS (pH7.4).
Concentration: 1ug/ul
Purification: Protein A affinity purified.
Molecular weight: Predicted band size: 39 kDa
Isotype: IgG
Immunogen: Recombinant protein within Human CD2 aa 25-209 (Extracellular).
Positive control: Jurkat cell lysate, human T cell lymphoma tissue, human appendix tissue, human spleen tissue, Jurkat.
Subcellular location: Cell membrane.
Recommended Dilutions:
  WB
  IHC-P
  IF-Cell
  FC
  IF-Tissue

1:1,000
1:100
1:100
1:1,000
1:50
Uniprot #: SwissProt: P06729 Human
Alternative names: CD 2 CD2 CD2 antigen (p50), sheep red blood cell receptor CD2 antigen CD2 molecule CD2_HUMAN Erythrocyte receptor FLJ46032 LFA-2 LFA-3 receptor LFA2 LFA3 receptor Ly-37 Lymphocyte function antigen 2 lymphocyte-function antigen-2 OTTHUMP00000024366 Rosette receptor Sheep erythrocyte receptor SRBC T cell surface antigen CD2 T-cell surface antigen CD2 T-cell surface antigen T11/Leu-5 T-lymphocyte surface CD2 antigen T11
Images
HA751033_1.jpg Fig1: Western blot analysis of CD2 on different lysates with Rabbit anti-CD2 antibody (HA751033) at 1/1,000 dilution.

Lane 1: Jurkat cell lysate
Lane 2: Raji cell lysate (negative)

Lysates/proteins at 20 µg/Lane.

Predicted band size: 39 kDa
Observed band size: 39-55 kDa

Exposure time: 25 seconds; ECL: K1801;

4-20% SDS-PAGE gel.

Proteins were transferred to a PVDF membrane and blocked with 5% NFDM/TBST for 1 hour at room temperature. The primary antibody (HA751033) at 1/1,000 dilution was used in 5% NFDM/TBST at 4℃ overnight. Goat Anti-Rabbit IgG - HRP Secondary Antibody (HA1001) at 1/50,000 dilution was used for 1 hour at room temperature.
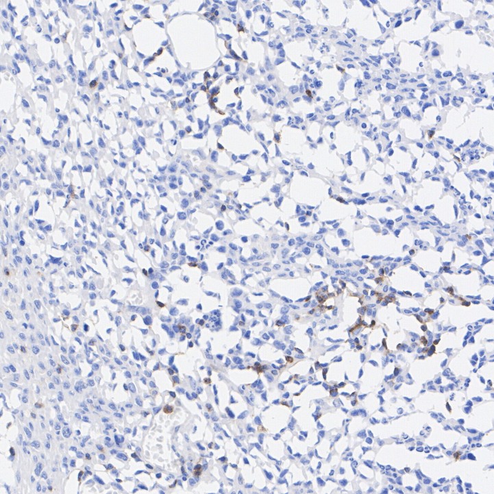
HA751033_2.jpg Fig2: Immunohistochemical analysis of paraffin-embedded human T cell lymphoma tissue with Rabbit anti-CD2 antibody (HA751033) at 1/200 dilution.

The section was pre-treated using heat mediated antigen retrieval with Tris-EDTA buffer (pH 9.0) for 20 minutes. The tissues were blocked in 1% BSA for 20 minutes at room temperature, washed with ddH2O and PBS, and then probed with the primary antibody (HA751033) at 1/200 dilution for 1 hour at room temperature. The detection was performed using an HRP conjugated compact polymer system. DAB was used as the chromogen. Tissues were counterstained with hematoxylin and mounted with DPX.
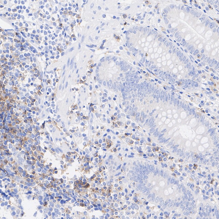
HA751033_3.jpg Fig3: Immunohistochemical analysis of paraffin-embedded human appendix tissue with Rabbit anti-CD2 antibody (HA751033) at 1/200 dilution.

The section was pre-treated using heat mediated antigen retrieval with Tris-EDTA buffer (pH 9.0) for 20 minutes. The tissues were blocked in 1% BSA for 20 minutes at room temperature, washed with ddH2O and PBS, and then probed with the primary antibody (HA751033) at 1/200 dilution for 1 hour at room temperature. The detection was performed using an HRP conjugated compact polymer system. DAB was used as the chromogen. Tissues were counterstained with hematoxylin and mounted with DPX.
HA751033_4.jpg Fig4: Immunohistochemical analysis of paraffin-embedded human spleen tissue with Rabbit anti-CD2 antibody (HA751033) at 1/200 dilution.

The section was pre-treated using heat mediated antigen retrieval with Tris-EDTA buffer (pH 9.0) for 20 minutes. The tissues were blocked in 1% BSA for 20 minutes at room temperature, washed with ddH2O and PBS, and then probed with the primary antibody (HA751033) at 1/200 dilution for 1 hour at room temperature. The detection was performed using an HRP conjugated compact polymer system. DAB was used as the chromogen. Tissues were counterstained with hematoxylin and mounted with DPX.
HA751033_5.jpg Fig5: Immunocytochemistry analysis of Jurkat (positive) and Raji (negative) labeling CD2 with Rabbit anti-CD2 antibody (HA751033) at 1/100 dilution.

Cells were fixed in 4% paraformaldehyde for 20 minutes at room temperature, permeabilized with 0.1% Triton X-100 in PBS for 5 minutes at room temperature, then blocked with 1% BSA in 10% negative goat serum for 1 hour at room temperature. Cells were then incubated with Rabbit anti-CD2 antibody (HA751033) at 1/100 dilution in 1% BSA in PBST overnight at 4 ℃. Goat Anti-Rabbit IgG H&L (iFluor™ 488, HA1121) was used as the secondary antibody at 1/1,000 dilution. PBS instead of the primary antibody was used as the secondary antibody only control. Nuclear DNA was labelled in blue with DAPI.

Beta tubulin (M1305-2, red) was stained at 1/100 dilution overnight at +4℃. Goat Anti-Mouse IgG H&L (iFluor™ 594, HA1126) was used as the secondary antibody at 1/1,000 dilution.
HA751033_6.jpg Fig6: Flow cytometric analysis of Jurkat (left, positive) and Raji (right, negative) cells labeling CD2.

Cells were washed twice with cold PBS and resuspend. Then stained with the primary antibody (HA751033, 1μg/mL) (red) compared with Rabbit IgG Isotype Control (green). After incubation of the primary antibody at +4℃ for an hour, the cells were stained with a iFluor™ 488 conjugate-Goat anti-Rabbit IgG Secondary antibody (HA1121) at 1/1,000 dilution for 30 minutes at +4℃. Unlabelled sample was used as a control (cells without incubation with primary antibody; black).
HA751033_7.jpg Fig7: Immunofluorescence analysis of paraffin-embedded human tonsil tissue labeling CD2 with Rabbit anti-CD2 antibody (HA751033) at 1/50 dilution.

The section was pre-treated using heat mediated antigen retrieval with Tris-EDTA buffer (pH 9.0) for 20 minutes. The tissues were blocked in 10% negative goat serum for 1 hour at room temperature, washed with PBS, and then probed with the primary antibody (HA751033, green) at 1/50 dilution overnight at 4 ℃, washed with PBS. Goat Anti-Rabbit IgG H&L (iFluor™ 488, HA1121) was used as the secondary antibody at 1/1,000 dilution. Nuclei were counterstained with DAPI (blue).
Note: All products are “FOR RESEARCH USE ONLY AND ARE NOT INTENDED FOR DIAGNOSTIC OR THERAPEUTIC USE”.