Phospho-p38 alpha (T180) Recombinant Rabbit Monoclonal Antibody [PSH06-25]
cat.: HA751062
Product Type: Recombinant Rabbit monoclonal IgG, primary antibodies
Species reactivity: Human, Mouse, Rat
Applications: WB, IHC-P, IF-Cell, FC
Clonality: Monoclonal
Clone number: PSH06-25
Form: Liquid
Storage condition: Store at +4℃ after thawing. Aliquot store at -20℃. Avoid repeated freeze / thaw cycles.
Storage buffer: 1*PBS (pH7.4).
Concentration: 1ug/ul
Purification: Protein A affinity purified.
Molecular weight: Predicted band size: 41 kDa
Isotype: IgG
Immunogen: Synthetic phosphopeptide corresponding to residues surrounding Thr180 of human p38 alpha / MAPK14.
Positive control: Jurkat cell lysate, Jurkat treated with UV for 1 hour cell lysate, NIH/3T3 treated with 25μg/mL Anisomycin for 30 minutes cell lysate, C6 treated with 25μg/mL Anisomycin for 30 minutes cell lysate, mouse colon tissue, rat colon tissue, NIH/3T3 cells treated with 25μg/mL Anisomycin for 30 minutes.
Subcellular location: Cytoplasm, Nucleus.
Recommended Dilutions:
  WB
  IHC-P
  IF-Cell
  FC

1:2,000
1:500
1:100
1:20,000
Uniprot #: SwissProt: Q16539 Human | P47811 Mouse | P70618 Rat
Alternative names: CSAID Binding Protein 1 CSAID binding protein CSAID-binding protein Csaids binding protein CSBP 1 CSBP 2 CSBP CSBP1 CSBP2 CSPB1 Cytokine suppressive anti-inflammatory drug-binding protein EXIP MAP kinase 14 MAP kinase MXI2 MAP kinase p38 alpha MAPK 14 MAPK14 MAX interacting protein 2 MAX-interacting protein 2 Mitogen Activated Protein Kinase 14 Mitogen activated protein kinase p38 alpha Mitogen-activated protein kinase 14 Mitogen-activated protein kinase p38 alpha MK14_HUMAN Mxi 2 MXI2 p38 ALPHA p38 p38 MAP kinase p38 MAPK p38 mitogen activated protein kinase p38ALPHA p38alpha Exip PRKM14 PRKM15 RK SAPK2A Stress-activated protein kinase 2a
Images
HA751062_1.jpg Fig1: Western blot analysis of Phospho-p38 alpha (T180) on different lysates with Rabbit anti-Phospho-p38 alpha (T180) antibody (HA751062) at 1/2,000 dilution and pan p38 antibody (ET1702-65) at 1/1,000 dilution.

Lane 1: Jurkat cell lysate
Lane 2: Jurkat treated with UV for 1 hour cell lysate
Lane 3: NIH/3T3 cell lysate
Lane 4: NIH/3T3 treated with 25μg/mL Anisomycin for 30 minutes cell lysate
Lane 5: C6 cell lysate
Lane 6: C6 treated with 25μg/mL Anisomycin for 30 minutes cell lysate

Lysates/proteins at 20 µg/Lane.

Predicted band size: 41 kDa
Observed band size: 38 kDa

Exposure time: 1 minute 20 seconds; ECL: K1802;

4-20% SDS-PAGE gel.

Proteins were transferred to a PVDF membrane and blocked with 5% NFDM/TBST for 1 hour at room temperature. The primary antibody (HA751062) at 1/2,000 dilution and pan p38 antibody (ET1702-65) at 1/1,000 dilution were used in 5% NFDM/TBST at 4℃ overnight. Goat Anti-Rabbit IgG - HRP Secondary Antibody (HA1001) at 1/50,000 dilution was used for 1 hour at room temperature.
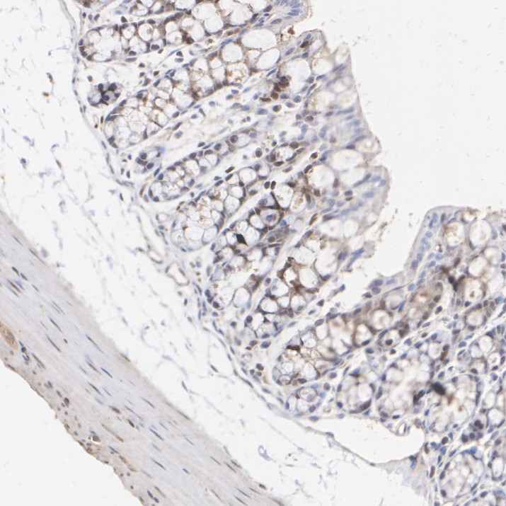
HA751062_2.jpg Fig2: Immunohistochemical analysis of paraffin-embedded mouse colon tissue with Rabbit anti-Phospho-p38 alpha (T180) antibody (HA751062) at 1/500 dilution.

The section was pre-treated using heat mediated antigen retrieval with sodium citrate buffer (pH 6.0) (high pressure) for 2 minutes. The tissues were blocked in 1% BSA for 20 minutes at room temperature, washed with ddH2O and PBS, and then probed with the primary antibody (HA751062) at 1/500 dilution for 1 hour at room temperature. The detection was performed using an HRP conjugated compact polymer system. DAB was used as the chromogen. Tissues were counterstained with hematoxylin and mounted with DPX.
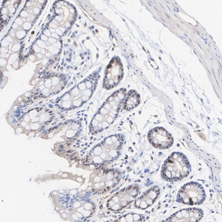
HA751062_3.jpg Fig3: Immunohistochemical analysis of paraffin-embedded rat colon tissue with Rabbit anti-Phospho-p38 alpha (T180) antibody (HA751062) at 1/500 dilution.

The section was pre-treated using heat mediated antigen retrieval with sodium citrate buffer (pH 6.0) (high pressure) for 2 minutes. The tissues were blocked in 1% BSA for 20 minutes at room temperature, washed with ddH2O and PBS, and then probed with the primary antibody (HA751062) at 1/500 dilution for 1 hour at room temperature. The detection was performed using an HRP conjugated compact polymer system. DAB was used as the chromogen. Tissues were counterstained with hematoxylin and mounted with DPX.
HA751062_4.jpg Fig4: Immunocytochemistry analysis of NIH/3T3 cells treated with 25μg/mL Anisomycin for 30 minutes labeling Phospho-p38 alpha (T180) with Rabbit anti-Phospho-p38 alpha (T180) antibody (HA751062) at 1/100 dilution.

Cells were fixed in 4% paraformaldehyde for 20 minutes at room temperature, permeabilized with 0.1% Triton X-100 in PBS for 5 minutes at room temperature, then blocked with 1% BSA in 10% negative goat serum for 1 hour at room temperature. Cells were then incubated with Rabbit anti-Phospho-p38 alpha (T180) antibody (HA751062) at 1/100 dilution in 1% BSA in PBST overnight at 4 ℃. Goat Anti-Rabbit IgG H&L (iFluor™ 488, HA1121) was used as the secondary antibody at 1/1,000 dilution. PBS instead of the primary antibody was used as the secondary antibody only control. Nuclear DNA was labelled in blue with DAPI.

Beta tubulin (M1305-2, red) was stained at 1/100 dilution overnight at +4℃. Goat Anti-Mouse IgG H&L (iFluor™ 594, HA1126) was used as the secondary antibody at 1/1,000 dilution.
HA751062_5.jpg Fig5: Flow cytometric analysis of NIH/3T3 cells untreated / treated with 25μg/mL Anisomycin for 30 minutes labeling Phospho-p38 alpha (T180).

Cells were fixed and permeabilized. Then stained with the primary antibody (HA751062, 1/20,000) (red) compared with Rabbit IgG Isotype Control (green). After incubation of the primary antibody at +4℃ for an hour, the cells were stained with a iFluor™ 488 conjugate-Goat anti-Rabbit IgG Secondary antibody (HA1121) at 1/1,000 dilution for 30 minutes at +4℃. Unlabelled sample was used as a control (cells without incubation with primary antibody; black).
Note: All products are “FOR RESEARCH USE ONLY AND ARE NOT INTENDED FOR DIAGNOSTIC OR THERAPEUTIC USE”.