eIF4G1 Recombinant Rabbit Monoclonal Antibody [PSH06-28]
cat.: HA751065
Product Type: Recombinant Rabbit monoclonal IgG, primary antibodies
Species reactivity: Human, Mouse, Rat
Applications: WB, IHC-P, IF-Cell, FC
Clonality: Monoclonal
Clone number: PSH06-28
Form: Liquid
Storage condition: Store at +4℃ after thawing. Aliquot store at -20℃. Avoid repeated freeze / thaw cycles.
Storage buffer: 1*PBS (pH7.4).
Concentration: 1ug/ul
Purification: Protein A affinity purified.
Molecular weight: Predicted band size: 175 kDa
Isotype: IgG
Immunogen: Recombinant protein within human eIF4G1 aa 301-650.
Positive control: PANC-1 cell lysate, HeLa cell lysate, A431 cell lysate, 293T cell lysate, COS-1 cell lysate, C2C12 cell lysate, C6 cell lysate, human lung cancer tissue, human testis tissue, mouse skin tissue, rat skin tissue, HeLa, C2C12, C6.
Subcellular location: Cytoplasm, Nucleus, Cytoplasm, Stress granule.
Recommended Dilutions:
  WB
  IHC-P
  IF-Cell
  FC

1:10,000
1:4,000-1:10,000
1:100
1:1,000
Uniprot #: SwissProt: Q04637 Human | Q6NZJ6 Mouse
Entrez Gene: 287986 Rat
Alternative names: DKFZp686A1451 eIF 4 gamma 1 eIF 4G 1 eIF 4G1 eIF-4-gamma 1 eIF-4G 1 eIF-4G1 EIF4 gamma EIF4F EIF4G EIF4G1 EIF4GI Eukaryotic translation initiation factor 4 gamma 1 IF4G1_HUMAN p220
Images
HA751065_1.jpg Fig1: Western blot analysis of eIF4G1 on different lysates with Rabbit anti-eIF4G1 antibody (HA751065) at 1/10,000 dilution and competitor's antibody at 1/10,000 dilution.

Lane 1: PANC-1 cell lysate
Lane 2: HeLa cell lysate
Lane 3: A431 cell lysate
Lane 4: 293T cell lysate
Lane 5: COS-1 cell lysate
Lane 6: C2C12 cell lysate
Lane 7: C6 cell lysate

Lysates/proteins at 20 µg/Lane.

Predicted band size: 175 kDa
Observed band size: 250 kDa

Exposure time: 2 seconds; ECL: K1801;

4-20% SDS-PAGE gel.

Proteins were transferred to a PVDF membrane and blocked with 5% NFDM/TBST for 1 hour at room temperature. The primary antibody (HA751065) at 1/10,000 dilution and competitor's antibody at 1/10,000 dilution were used in 5% BSA at 4℃ overnight. Goat Anti-Rabbit IgG - HRP Secondary Antibody (HA1001) at 1/50,000 dilution was used for 1 hour at room temperature.
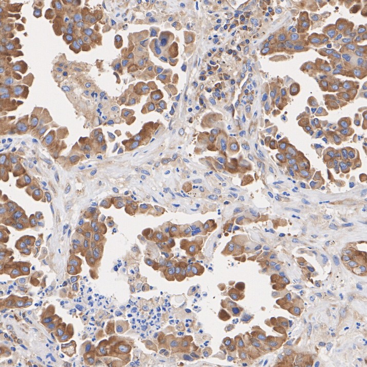
HA751065_2.jpg Fig2: Immunohistochemical analysis of paraffin-embedded human lung cancer tissue with Rabbit anti-eIF4G1 antibody (HA751065) at 1/10,000 dilution.

The section was pre-treated using heat mediated antigen retrieval with Tris-EDTA buffer (pH 9.0) for 20 minutes. The tissues were blocked in 1% BSA for 20 minutes at room temperature, washed with ddH2O and PBS, and then probed with the primary antibody (HA751065) at 1/10,000 dilution for 1 hour at room temperature. The detection was performed using an HRP conjugated compact polymer system. DAB was used as the chromogen. Tissues were counterstained with hematoxylin and mounted with DPX.
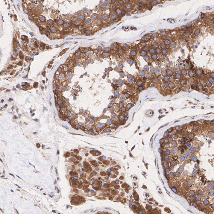
HA751065_3.jpg Fig3: Immunohistochemical analysis of paraffin-embedded human testis tissue with Rabbit anti-eIF4G1 antibody (HA751065) at 1/4,000 dilution.

The section was pre-treated using heat mediated antigen retrieval with Tris-EDTA buffer (pH 9.0) for 20 minutes. The tissues were blocked in 1% BSA for 20 minutes at room temperature, washed with ddH2O and PBS, and then probed with the primary antibody (HA751065) at 1/4,000 dilution for 1 hour at room temperature. The detection was performed using an HRP conjugated compact polymer system. DAB was used as the chromogen. Tissues were counterstained with hematoxylin and mounted with DPX.
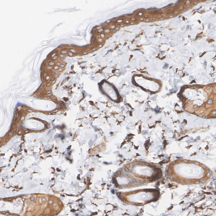
HA751065_4.jpg Fig4: Immunohistochemical analysis of paraffin-embedded mouse skin tissue with Rabbit anti-eIF4G1 antibody (HA751065) at 1/10,000 dilution.

The section was pre-treated using heat mediated antigen retrieval with Tris-EDTA buffer (pH 9.0) for 20 minutes. The tissues were blocked in 1% BSA for 20 minutes at room temperature, washed with ddH2O and PBS, and then probed with the primary antibody (HA751065) at 1/10,000 dilution for 1 hour at room temperature. The detection was performed using an HRP conjugated compact polymer system. DAB was used as the chromogen. Tissues were counterstained with hematoxylin and mounted with DPX.
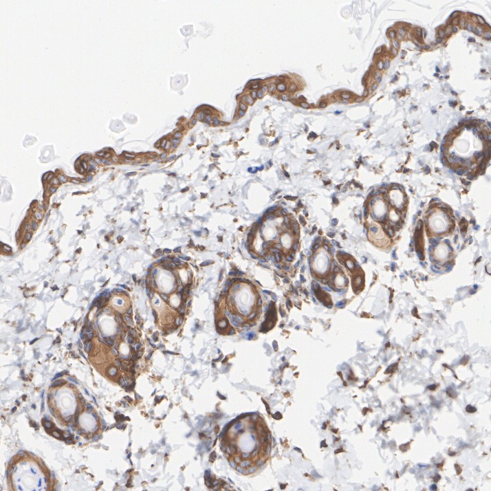
HA751065_5.jpg Fig5: Immunohistochemical analysis of paraffin-embedded rat skin tissue with Rabbit anti-eIF4G1 antibody (HA751065) at 1/10,000 dilution.

The section was pre-treated using heat mediated antigen retrieval with Tris-EDTA buffer (pH 9.0) for 20 minutes. The tissues were blocked in 1% BSA for 20 minutes at room temperature, washed with ddH2O and PBS, and then probed with the primary antibody (HA751065) at 1/10,000 dilution for 1 hour at room temperature. The detection was performed using an HRP conjugated compact polymer system. DAB was used as the chromogen. Tissues were counterstained with hematoxylin and mounted with DPX.
HA751065_6.jpg Fig6: Immunocytochemistry analysis of HeLa cells labeling eIF4G1 with Rabbit anti-eIF4G1 antibody (HA751065) at 1/100 dilution.

Cells were fixed in 4% paraformaldehyde for 20 minutes at room temperature, permeabilized with 0.1% Triton X-100 in PBS for 5 minutes at room temperature, then blocked with 1% BSA in 10% negative goat serum for 1 hour at room temperature. Cells were then incubated with Rabbit anti-eIF4G1 antibody (HA751065) at 1/100 dilution in 1% BSA in PBST overnight at 4 ℃. Goat Anti-Rabbit IgG H&L (iFluor™ 488, HA1121) was used as the secondary antibody at 1/1,000 dilution. PBS instead of the primary antibody was used as the secondary antibody only control. Nuclear DNA was labelled in blue with DAPI.

Beta tubulin (M1305-2, red) was stained at 1/100 dilution overnight at +4℃. Goat Anti-Mouse IgG H&L (iFluor™ 594, HA1126) was used as the secondary antibody at 1/1,000 dilution.
HA751065_7.jpg Fig7: Flow cytometric analysis of HeLa cells labeling eIF4G1.

Cells were fixed and permeabilized. Then stained with the primary antibody (HA751065, 1μg/mL) (red) compared with Rabbit IgG Isotype Control (green). After incubation of the primary antibody at +4℃ for an hour, the cells were stained with a iFluor™ 488 conjugate-Goat anti-Rabbit IgG Secondary antibody (HA1121) at 1/1,000 dilution for 30 minutes at +4℃. Unlabelled sample was used as a control (cells without incubation with primary antibody; black).
HA751065_8.jpg Fig8: Immunocytochemistry analysis of C2C12 cells labeling eIF4G1 with Rabbit anti-eIF4G1 antibody (HA751065) at 1/100 dilution.

Cells were fixed in 4% paraformaldehyde for 20 minutes at room temperature, permeabilized with 0.1% Triton X-100 in PBS for 5 minutes at room temperature, then blocked with 1% BSA in 10% negative goat serum for 1 hour at room temperature. Cells were then incubated with Rabbit anti-eIF4G1 antibody (HA751065) at 1/100 dilution in 1% BSA in PBST overnight at 4 ℃. Goat Anti-Rabbit IgG H&L (iFluor™ 488, HA1121) was used as the secondary antibody at 1/1,000 dilution. PBS instead of the primary antibody was used as the secondary antibody only control. Nuclear DNA was labelled in blue with DAPI.

Beta tubulin (M1305-2, red) was stained at 1/100 dilution overnight at +4℃. Goat Anti-Mouse IgG H&L (iFluor™ 594, HA1126) was used as the secondary antibody at 1/1,000 dilution.
HA751065_9.jpg Fig9: Flow cytometric analysis of C2C12 cells labeling eIF4G1.

Cells were fixed and permeabilized. Then stained with the primary antibody (HA751065, 1μg/mL) (red) compared with Rabbit IgG Isotype Control (green). After incubation of the primary antibody at +4℃ for an hour, the cells were stained with a iFluor™ 488 conjugate-Goat anti-Rabbit IgG Secondary antibody (HA1121) at 1/1,000 dilution for 30 minutes at +4℃. Unlabelled sample was used as a control (cells without incubation with primary antibody; black).
HA751065_10.jpg Fig10: Immunocytochemistry analysis of C6 cells labeling eIF4G1 with Rabbit anti-eIF4G1 antibody (HA751065) at 1/100 dilution.

Cells were fixed in 4% paraformaldehyde for 20 minutes at room temperature, permeabilized with 0.1% Triton X-100 in PBS for 5 minutes at room temperature, then blocked with 1% BSA in 10% negative goat serum for 1 hour at room temperature. Cells were then incubated with Rabbit anti-eIF4G1 antibody (HA751065) at 1/100 dilution in 1% BSA in PBST overnight at 4 ℃. Goat Anti-Rabbit IgG H&L (iFluor™ 488, HA1121) was used as the secondary antibody at 1/1,000 dilution. PBS instead of the primary antibody was used as the secondary antibody only control. Nuclear DNA was labelled in blue with DAPI.

Beta tubulin (M1305-2, red) was stained at 1/100 dilution overnight at +4℃. Goat Anti-Mouse IgG H&L (iFluor™ 594, HA1126) was used as the secondary antibody at 1/1,000 dilution.
HA751065_11.jpg Fig11: Flow cytometric analysis of C6 cells labeling eIF4G1.

Cells were fixed and permeabilized. Then stained with the primary antibody (HA751065, 1μg/mL) (red) compared with Rabbit IgG Isotype Control (green). After incubation of the primary antibody at +4℃ for an hour, the cells were stained with a iFluor™ 488 conjugate-Goat anti-Rabbit IgG Secondary antibody (HA1121) at 1/1,000 dilution for 30 minutes at +4℃. Unlabelled sample was used as a control (cells without incubation with primary antibody; black).
Note: All products are “FOR RESEARCH USE ONLY AND ARE NOT INTENDED FOR DIAGNOSTIC OR THERAPEUTIC USE”.