c-Fos Recombinant Rabbit Monoclonal Antibody [PSH05-77]
cat.: HA751071
Product Type: Recombinant Rabbit monoclonal IgG, primary antibodies
Species reactivity: Human, Mouse, Rat, Cynomolgus monkey, Pig
Applications: WB, IHC-P, IF-Cell, IHC-Fr, IF-Tissue
Clonality: Monoclonal
Clone number: PSH05-77
Form: Liquid
Storage condition: Store at +4℃ after thawing. Aliquot store at -20℃. Avoid repeated freeze / thaw cycles.
Storage buffer: 1*PBS (pH7.4).
Concentration: 1ug/ul
Purification: Protein A affinity purified.
Molecular weight: Predicted band size: 41 kDa
Isotype: IgG
Immunogen: Recombinant protein within human Protein c-Fos aa 1-380.
Positive control: HeLa serum starved for 40 hours then add 20% FBS for 2 hours cell lysate, RAW264.7 serum starved for 16 hours then add 200nM PMA for 4 hours cell lysate, C6 serum starved for 16 hours then add 10% FBS for 30 minutes cell lysate, human colon cancer tissue, mouse brain tissue, mouse hippocampus tissue, rat cerebellum tissue, mouse cerebrum tissue.
Subcellular location: Nucleus, Endoplasmic reticulum, Cytoplasm, cytosol.
Recommended Dilutions:
  WB
  IHC-P
  IF-Cell
  IHC-Fr
  IF-Tissue

1:1,000
1:500-1:1,000
1:100
1:500-1:4,000 (mouse), 1: 200-1:500 (rat)
1:1,000
Uniprot #: SwissProt: P01100 Human | P01101 Mouse | P12841 Rat
Alternative names: Activator protein 1 AP 1 C FOS Cellular oncogene c fos Cellular oncogene fos FBJ murine osteosarcoma viral (v fos) oncogene homolog (oncogene FOS) FBJ murine osteosarcoma viral oncogene homolog FBJ murine osteosarcoma viral v fos oncogene homolog FBJ Osteosarcoma Virus FOS FOS protein FOS_HUMAN G0 G1 switch regulatory protein 7 G0/G1 switch regulatory protein 7 G0S7 Oncogene FOS p55 proto oncogene c Fos Proto oncogene protein c fos Proto-oncogene c-Fos v fos FBJ murine osteosarcoma viral oncogene homolog
Images
HA751071_1.jpg Fig1: Application: IHC-Fr

Species: Mouse

Site: Cerebral cortex (restraint stress induced)

Sample: Frozen section

Antibody concentration: 1/500

Antigen retrieval: Not required

Important Notice: Blocking buffer and antibody dilution buffer are recommended to use TBS buffer instead of PBS buffer.
HA751071_2.jpg Fig2: Application: IHC-Fr

Species: Mouse

Site: Cerebral cortex

Sample: Frozen section

Antibody concentration: 1/1,000

Antigen retrieval: Not required

Important Notice: Blocking buffer and antibody dilution buffer are recommended to use TBS buffer instead of PBS buffer.
HA751071_3.jpg Fig3: Application: IHC-Fr

Species: Rat

Site: Cerebral cortex

Sample: Frozen section

Antibody concentration: 1/200

Antigen retrieval: Not required

Important Notice: Blocking buffer and antibody dilution buffer are recommended to use TBS buffer instead of PBS buffer.
HA751071_4.jpg Fig4: Application: IF-tissue

Species: Mouse

Site: Cerebral cortex (restraint stress induced)

Sample: Paraffin-embedded section

Antibody concentration: 1/1,000

Important Notice: Blocking buffer and antibody dilution buffer are recommended to use TBS buffer instead of PBS buffer.
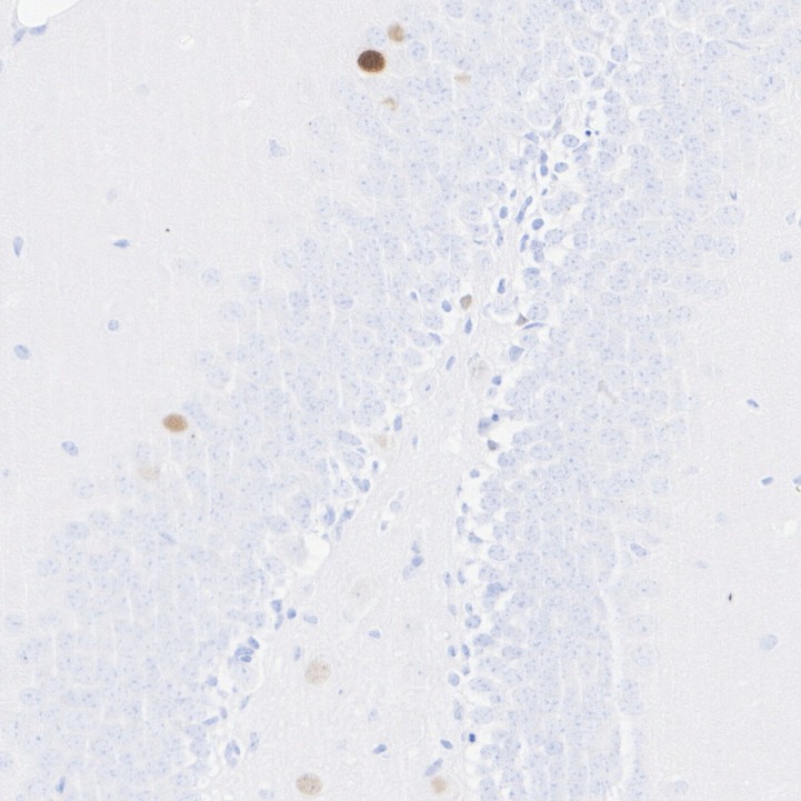
HA751071_5.jpg Fig5: Immunohistochemical analysis of paraffin-embedded restraint stress induced mouse hippocampus tissue with Rabbit anti-c-Fos antibody (HA751071) at 1/1,000 dilution.

The section was pre-treated using heat mediated antigen retrieval with sodium citrate buffer (pH 6.0) (high pressure) for 2 minutes. The tissues were blocked in 1% BSA for 20 minutes at room temperature, washed with ddH2O and PBS, and then probed with the primary antibody (HA751071) at 1/1,000 dilution for 1 hour at room temperature. The detection was performed using an HRP conjugated compact polymer system. DAB was used as the chromogen. Tissues were counterstained with hematoxylin and mounted with DPX.
HA751071_6.jpg Fig6: Immunohistochemical analysis of paraffin-embedded restraint stress induced mouse brain tissue with Rabbit anti-c-Fos antibody (HA751071) at 1/1,000 dilution.

The section was pre-treated using heat mediated antigen retrieval with sodium citrate buffer (pH 6.0) (high pressure) for 2 minutes. The tissues were blocked in 1% BSA for 20 minutes at room temperature, washed with ddH2O and PBS, and then probed with the primary antibody (HA751071) at 1/1,000 dilution for 1 hour at room temperature. The detection was performed using an HRP conjugated compact polymer system. DAB was used as the chromogen. Tissues were counterstained with hematoxylin and mounted with DPX.
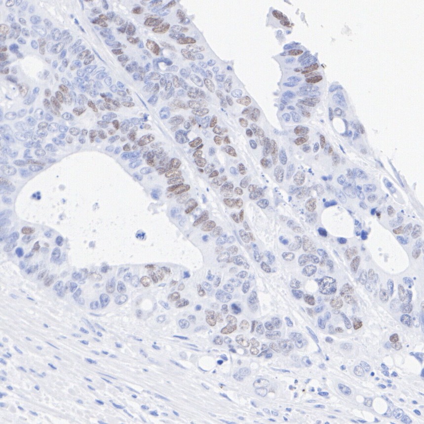
HA751071_7.jpg Fig7: Immunohistochemical analysis of paraffin-embedded human colon cancer tissue with Rabbit anti-c-Fos antibody (HA751071) at 1/500 dilution.

The section was pre-treated using heat mediated antigen retrieval with sodium citrate buffer (pH 6.0) (high pressure) for 2 minutes. The tissues were blocked in 1% BSA for 20 minutes at room temperature, washed with ddH2O and PBS, and then probed with the primary antibody (HA751071) at 1/500 dilution for 1 hour at room temperature. The detection was performed using an HRP conjugated compact polymer system. DAB was used as the chromogen. Tissues were counterstained with hematoxylin and mounted with DPX.
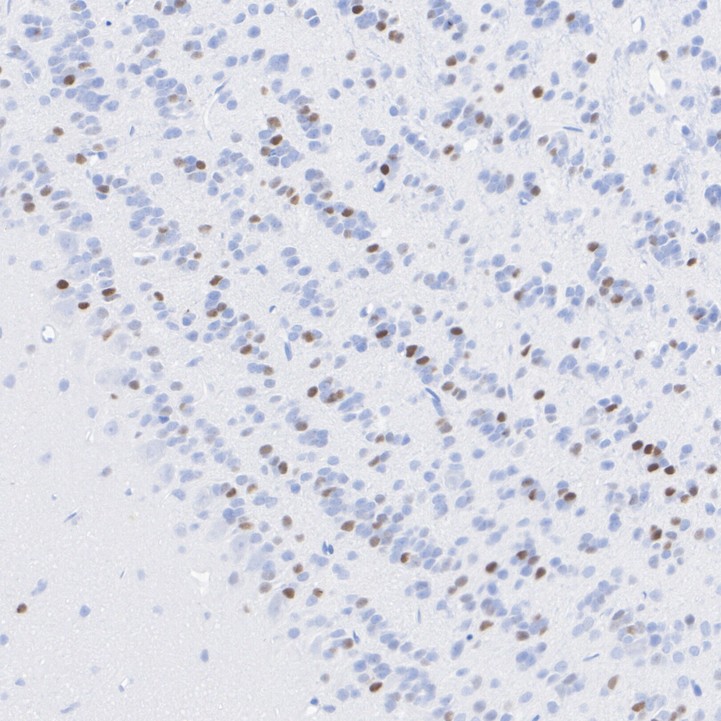
HA751071_8.jpg Fig8: Immunohistochemical analysis of paraffin-embedded mouse brain tissue with Rabbit anti-c-Fos antibody (HA751071) at 1/1,000 dilution.

The section was pre-treated using heat mediated antigen retrieval with sodium citrate buffer (pH 6.0) (high pressure) for 2 minutes. The tissues were blocked in 1% BSA for 20 minutes at room temperature, washed with ddH2O and PBS, and then probed with the primary antibody (HA751071) at 1/1,000 dilution for 1 hour at room temperature. The detection was performed using an HRP conjugated compact polymer system. DAB was used as the chromogen. Tissues were counterstained with hematoxylin and mounted with DPX.
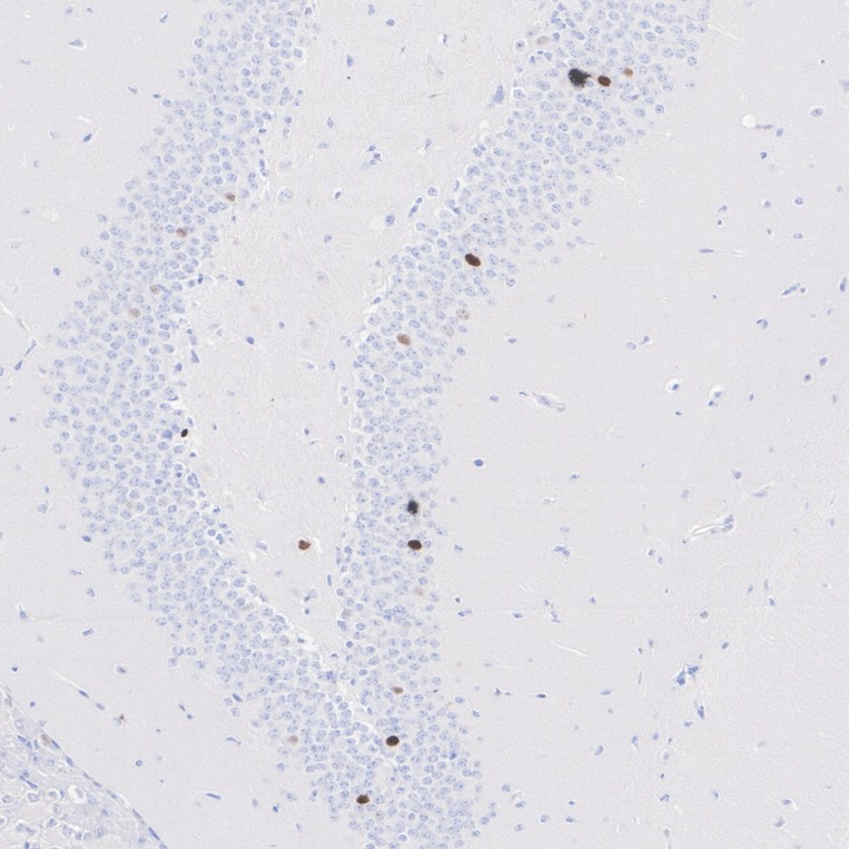
HA751071_9.jpg Fig9: Immunohistochemical analysis of paraffin-embedded mouse hippocampus tissue with Rabbit anti-c-Fos antibody (HA751071) at 1/1,000 dilution.

The section was pre-treated using heat mediated antigen retrieval with sodium citrate buffer (pH 6.0) (high pressure) for 2 minutes. The tissues were blocked in 1% BSA for 20 minutes at room temperature, washed with ddH2O and PBS, and then probed with the primary antibody (HA751071) at 1/1,000 dilution for 1 hour at room temperature. The detection was performed using an HRP conjugated compact polymer system. DAB was used as the chromogen. Tissues were counterstained with hematoxylin and mounted with DPX.
HA751071_10.jpg Fig10: Immunohistochemical analysis of paraffin-embedded rat cerebellum tissue with Rabbit anti-c-Fos antibody (HA751071) at 1/800 dilution.

The section was pre-treated using heat mediated antigen retrieval with sodium citrate buffer (pH 6.0) (high pressure) for 2 minutes. The tissues were blocked in 1% BSA for 20 minutes at room temperature, washed with ddH2O and PBS, and then probed with the primary antibody (HA751071) at 1/800 dilution for 1 hour at room temperature. The detection was performed using an HRP conjugated compact polymer system. DAB was used as the chromogen. Tissues were counterstained with hematoxylin and mounted with DPX.
HA751071_11.jpg Fig11: Immunohistochemical analysis of paraffin-embedded rat brain (olfactory bulb) tissue with Rabbit anti-c-Fos antibody (HA751071) at 1/500 dilution.

The section was pre-treated using heat mediated antigen retrieval with sodium citrate buffer (pH 6.0) (high pressure) for 2 minutes. The tissues were blocked in 1% BSA for 20 minutes at room temperature, washed with ddH2O and PBS, and then probed with the primary antibody (HA751071) at 1/500 dilution for 1 hour at room temperature. The detection was performed using an HRP conjugated compact polymer system. DAB was used as the chromogen. Tissues were counterstained with hematoxylin and mounted with DPX.
HA751071_12.jpg Fig12: Immunohistochemical analysis of paraffin-embedded rat brain (piriform area) tissue with Rabbit anti-c-Fos antibody (HA751071) at 1/500 dilution.

The section was pre-treated using heat mediated antigen retrieval with sodium citrate buffer (pH 6.0) (high pressure) for 2 minutes. The tissues were blocked in 1% BSA for 20 minutes at room temperature, washed with ddH2O and PBS, and then probed with the primary antibody (HA751071) at 1/500 dilution for 1 hour at room temperature. The detection was performed using an HRP conjugated compact polymer system. DAB was used as the chromogen. Tissues were counterstained with hematoxylin and mounted with DPX.
HA751071_13.jpg Fig13: Immunocytochemistry analysis of HeLa cells serum starved for 40 hours then add 20% FBS for 2 hours labeling c-Fos with Rabbit anti-c-Fos antibody (HA751071) at 1/100 dilution.

Cells were fixed in 4% paraformaldehyde for 20 minutes at room temperature, permeabilized with 0.1% Triton X-100 in PBS for 5 minutes at room temperature, then blocked with 1% BSA in 10% negative goat serum for 1 hour at room temperature. Cells were then incubated with Rabbit anti-c-Fos antibody (HA751071) at 1/100 dilution in 1% BSA in PBST overnight at 4 ℃. Goat Anti-Rabbit IgG H&L (iFluor™ 488, HA1121) was used as the secondary antibody at 1/1,000 dilution. PBS instead of the primary antibody was used as the secondary antibody only control. Nuclear DNA was labelled in blue with DAPI. Beta tubulin (M1305-2, red) was stained at 1/100 dilution overnight at +4℃. Goat Anti-Mouse IgG H&L (iFluor™ 594, HA1126) was used as the secondary antibody at 1/1,000 dilution.
HA751071_14.jpg Fig14: Western blot analysis of c-Fos on different lysates with Rabbit anti-c-Fos antibody (HA751071) at 1/1,000 dilution and competitor's antibody at 1/1,000 dilution.

Lane 1: HeLa cell lysate
Lane 2: HeLa serum starved for 40 hours then add 20% FBS for 2 hours cell lysate
Lane 3: RAW264.7 cell lysate
Lane 4: RAW264.7 serum starved for 16 hours then add 200nM PMA for 4 hours cell lysate
Lane 5: C6 cell lysate
Lane 6: C6 serum starved for 16 hours then add 10% FBS for 30 minutes cell lysate

Lysates/proteins at 20 µg/Lane.

Predicted band size: 41 kDa
Observed band size: 41-55 kDa

Exposure time: Lane 1-6 (left): 3 minutes; ECL: K1801;
Exposure time: Lane 1-6 (right): 1 minute 2 seconds; ECL: K1802;
4-20% SDS-PAGE gel.

Proteins were transferred to a PVDF membrane and blocked with 5% NFDM/TBST for 1 hour at room temperature. The primary antibody (HA751071) at 1/1,000 dilution and competitor's antibody at 1/1,000 dilution were used in 5% NFDM/TBST at 4℃ overnight. Goat Anti-Rabbit IgG - HRP Secondary Antibody (HA1001) at 1/50,000 dilution was used for 1 hour at room temperature.
HA751071_15.jpg Fig15: Immunocytochemistry analysis of RAW264.7 cells serum starved for 16 hours then add 200nM PMA for 4 hours labeling c-Fos with Rabbit anti-c-Fos antibody (HA751071) at 1/100 dilution.

Cells were fixed in 4% paraformaldehyde for 20 minutes at room temperature, permeabilized with 0.1% Triton X-100 in PBS for 5 minutes at room temperature, then blocked with 1% BSA in 10% negative goat serum for 1 hour at room temperature. Cells were then incubated with Rabbit anti-c-Fos antibody (HA751071) at 1/100 dilution in 1% BSA in PBST overnight at 4 ℃. Goat Anti-Rabbit IgG H&L (iFluor™ 488, HA1121) was used as the secondary antibody at 1/1,000 dilution. PBS instead of the primary antibody was used as the secondary antibody only control. Nuclear DNA was labelled in blue with DAPI. Beta tubulin (M1305-2, red) was stained at 1/100 dilution overnight at +4℃. Goat Anti-Mouse IgG H&L (iFluor™ 594, HA1126) was used as the secondary antibody at 1/1,000 dilution.
HA751071_16.jpg Fig16: Immunocytochemistry analysis of C6 cells serum starved for 16 hours then add 10% FBS for 30 minutes labeling c-Fos with Rabbit anti-c-Fos antibody (HA751071) at 1/100 dilution.

Cells were fixed in 4% paraformaldehyde for 20 minutes at room temperature, permeabilized with 0.1% Triton X-100 in PBS for 5 minutes at room temperature, then blocked with 1% BSA in 10% negative goat serum for 1 hour at room temperature. Cells were then incubated with Rabbit anti-c-Fos antibody (HA751071) at 1/100 dilution in 1% BSA in PBST overnight at 4 ℃. Goat Anti-Rabbit IgG H&L (iFluor™ 488, HA1121) was used as the secondary antibody at 1/1,000 dilution. PBS instead of the primary antibody was used as the secondary antibody only control. Nuclear DNA was labelled in blue with DAPI. Beta tubulin (M1305-2, red) was stained at 1/100 dilution overnight at +4℃. Goat Anti-Mouse IgG H&L (iFluor™ 594, HA1126) was used as the secondary antibody at 1/1,000 dilution.
Note: All products are “FOR RESEARCH USE ONLY AND ARE NOT INTENDED FOR DIAGNOSTIC OR THERAPEUTIC USE”.