CD133 Recombinant Rabbit Monoclonal Antibody [PSH06-48]
cat.: HA751072
Product Type: Recombinant Rabbit monoclonal IgG, primary antibodies
Species reactivity: Mouse
Applications: WB, IHC-P, IHC-Fr
Clonality: Monoclonal
Clone number: PSH06-48
Form: Liquid
Storage condition: Store at +4℃ after thawing. Aliquot store at -20℃. Avoid repeated freeze / thaw cycles.
Storage buffer: 1*PBS (pH7.4).
Concentration: 1ug/ul
Purification: Protein A affinity purified.
Molecular weight: Predicted band size: 97 kDa
Isotype: IgG
Immunogen: Recombinant protein within
Positive control: Mouse kidney tissue lysate, mouse colon tissue.
Subcellular location: Endoplasmic reticulum. Plasma membrane. Cell projection.
Recommended Dilutions:
  WB
  IHC-P
  IHC-Fr

1:1,000
1:200
1:100
Uniprot #: SwissProt: O54990 Mouse
Alternative names: AC133 Antigen AC133 CD133 CORD12 Hematopoietic stem cell antigen hProminin MCDR2 MSTP061 OTTHUMP00000217744 OTTHUMP00000217745 OTTHUMP00000217746 PROM1 PROM1_HUMAN Prominin I Prominin like 1 Prominin like protein 1 precursor Prominin mouse like 1 Prominin-1 Prominin-like protein 1 Prominin1 PROML1 RP41 STGD4
Images
HA751072_1.jpg Fig1: Western blot analysis of CD133 on different lysates with Rabbit anti-CD133 antibody (HA751072) at 1/1,000 dilution.

Lane 1: Mouse kidney tissue lysate
Lane 2: Mouse kidney tissue lysate treated with deglycosylation

Lysates/proteins at 20 µg/Lane.

Predicted band size: 97 kDa
Observed band size: 120/97 kDa

Exposure time: 4 seconds; ECL: K1801;
4-20% SDS-PAGE gel.

Proteins were transferred to a PVDF membrane and blocked with 5% NFDM/TBST for 1 hour at room temperature. The primary antibody (HA751072) at 1/1,000 dilution was used in 5% NFDM/TBST at 4℃ overnight. Goat Anti-Rabbit IgG - HRP Secondary Antibody (HA1001) at 1/50,000 dilution was used for 1 hour at room temperature.
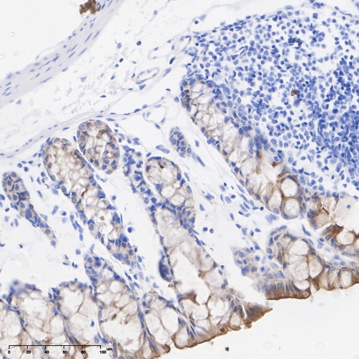
HA751072_2.jpg Fig2: Immunohistochemical analysis of paraffin-embedded mouse colon tissue with Rabbit anti-CD133 antibody (HA751072) at 1/200 dilution.

The section was pre-treated using heat mediated antigen retrieval with Tris-EDTA buffer (pH 9.0) for 20 minutes. The tissues were blocked in 1% BSA for 20 minutes at room temperature, washed with ddH2O and PBS, and then probed with the primary antibody (HA751072) at 1/200 dilution for 1 hour at room temperature. The detection was performed using an HRP conjugated compact polymer system. DAB was used as the chromogen. Tissues were counterstained with hematoxylin and mounted with DPX.
HA751072_3.jpg Fig3: Immunofluorescence analysis of frozen mouse colon tissue with Rabbit anti-CD133 antibody (HA751072) at 1/100 dilution.

The section was pre-treated using heat mediated antigen retrieval with sodium citrate buffer (pH 6.0) for about 2 minutes in microwave oven. The tissues were blocked in 10% negative goat serum for 1 hour at room temperature, washed with PBS, and then probed with the primary antibody (HA751072, green) at 1/100 dilution overnight at 4 ℃, washed with PBS. Goat Anti-Rabbit IgG H&L (iFluor™ 488, HA1121) was used as the secondary antibody at 1/1,000 dilution. Nuclei were counterstained with DAPI (blue).
Note: All products are “FOR RESEARCH USE ONLY AND ARE NOT INTENDED FOR DIAGNOSTIC OR THERAPEUTIC USE”.