Phospho-EEF2 (T56) Recombinant Rabbit Monoclonal Antibody [PSH06-36]
cat.: HA751075
Product Type: Recombinant Rabbit monoclonal IgG, primary antibodies
Species reactivity: Human, Mouse, Rat
Applications: WB, IHC-P, IF-Cell
Clonality: Monoclonal
Clone number: PSH06-36
Form: Liquid
Storage condition: Store at +4℃ after thawing. Aliquot store at -20℃. Avoid repeated freeze / thaw cycles.
Storage buffer: 1*PBS (pH7.4).
Concentration: 1ug/ul
Purification: Protein A affinity purified.
Molecular weight: Predicted band size: 95 kDa
Isotype: IgG
Immunogen: Synthetic phosphopeptide corresponding to residues surrounding Thr56 of human EEF2.
Positive control: HeLa starved for 24 hours then add 10μM forskolin for 1 hour cell lysate, NIH/3T3 cell lysate, NIH/3T3 starved for 24 hours then add 10μM forskolin for 1 hour cell lysate, PC-12 treated with 20μM forskolin for 1 hour then add 100nM Calyculin A for 30 minutes cell lysate, HepG2 cell lysate, rat liver tissue, HeLa cells starved for 24 hours then add 10μM forskolin for 1 hour, PC-12 cells treated with 20μM forskolin for 1 hour then add 100nM Calyculin A for 30 minutes.
Subcellular location: Cytoplasm, Nucleus.
Recommended Dilutions:
  WB
  IHC-P
  IF-Cell

1:2,000
1:500
1:100
Uniprot #: SwissProt: P13639 Human | P58252 Mouse | P05197 Rat
Alternative names: EEF 2 Eef2 EF-2 EF2 EF2_HUMAN Elongation factor 2 Eukaryotic translation elongation factor 2 Polypeptidyl tRNA translocase SCA26
Images
HA751075_1.jpg Fig1: Western blot analysis of Phospho-EEF2 (T56) on different lysates with Rabbit anti-Phospho-EEF2 (T56) antibody (HA751075) at 1/2,000 dilution.

Lane 1: HeLa cell lysate
Lane 2: HeLa starved for 24 hours then add 10μM forskolin for 1 hour cell lysate
Lane 3: NIH/3T3 cell lysate
Lane 4: NIH/3T3 starved for 24 hours then add 10μM forskolin for 1 hour cell lysate
Lane 5: PC-12 cell lysate
Lane 6: PC-12 treated with 20μM forskolin for 1 hour then add 100nM Calyculin A for 30 minutes cell lysate
Lane 7: HepG2 cell lysate

Lysates/proteins at 20 µg/Lane.

Predicted band size: 95 kDa
Observed band size: 95 kDa

Exposure time: 3 minutes; ECL: K1802;

4-20% SDS-PAGE gel.

Proteins were transferred to a PVDF membrane and blocked with 5% NFDM/TBST for 1 hour at room temperature. The primary antibody (HA751075) at 1/2,000 dilution was used in 5% NFDM/TBST at 4℃ overnight. Goat Anti-Rabbit IgG - HRP Secondary Antibody (HA1001) at 1/50,000 dilution was used for 1 hour at room temperature.
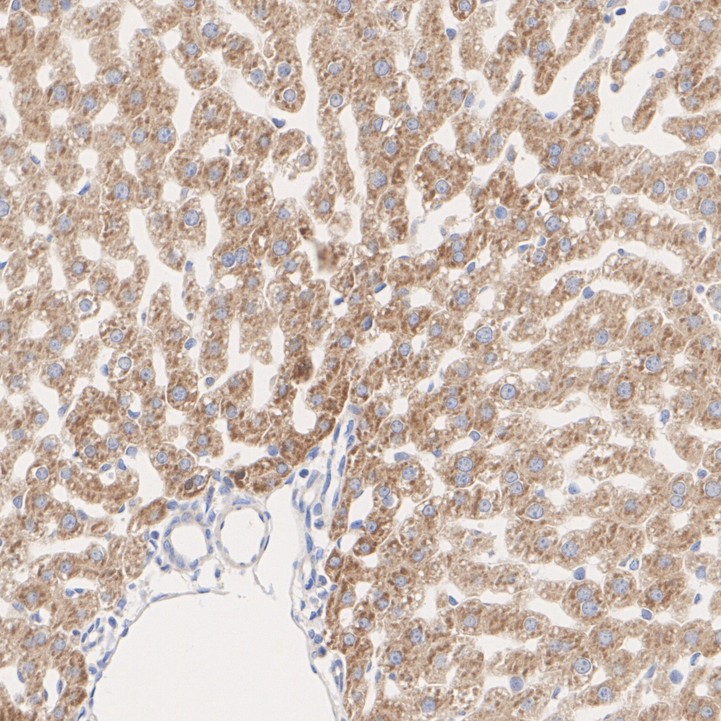
HA751075_2.jpg Fig2: Immunohistochemical analysis of paraffin-embedded rat liver tissue with Rabbit anti-Phospho-EEF2 (T56) antibody (HA751075) at 1/500 dilution.

The section was pre-treated using heat mediated antigen retrieval with Tris-EDTA buffer (pH 9.0) for 20 minutes. The tissues were blocked in 1% BSA for 20 minutes at room temperature, washed with ddH2O and PBS, and then probed with the primary antibody (HA751075) at 1/500 dilution for 1 hour at room temperature. The detection was performed using an HRP conjugated compact polymer system. DAB was used as the chromogen. Tissues were counterstained with hematoxylin and mounted with DPX.
HA751075_3.jpg Fig3: Immunocytochemistry analysis of HeLa cells starved for 24 hours then add 10μM forskolin for 1 hour labeling Phospho-EEF2 (T56) with Rabbit anti-Phospho-EEF2 (T56) antibody (HA751075) at 1/100 dilution.

Cells were fixed in 4% paraformaldehyde for 20 minutes at room temperature, permeabilized with 0.1% Triton X-100 in PBS for 5 minutes at room temperature, then blocked with 1% BSA in 10% negative goat serum for 1 hour at room temperature. Cells were then incubated with Rabbit anti-Phospho-EEF2 (T56) antibody (HA751075) at 1/100 dilution in 1% BSA in PBST overnight at 4 ℃. Goat Anti-Rabbit IgG H&L (iFluor™ 488, HA1121) was used as the secondary antibody at 1/1,000 dilution. PBS instead of the primary antibody was used as the secondary antibody only control. Nuclear DNA was labelled in blue with DAPI.

Beta tubulin (M1305-2, red) was stained at 1/100 dilution overnight at +4℃. Goat Anti-Mouse IgG H&L (iFluor™ 594, HA1126) was used as the secondary antibody at 1/1,000 dilution.
HA751075_4.jpg Fig4: Immunocytochemistry analysis of PC-12 cells treated with 20μM forskolin for 1 hour then add 100nM Calyculin A for 30 minutes labeling Phospho-EEF2 (T56) with Rabbit anti-Phospho-EEF2 (T56) antibody (HA751075) at 1/100 dilution.

Cells were fixed in 4% paraformaldehyde for 20 minutes at room temperature, permeabilized with 0.1% Triton X-100 in PBS for 5 minutes at room temperature, then blocked with 1% BSA in 10% negative goat serum for 1 hour at room temperature. Cells were then incubated with Rabbit anti-Phospho-EEF2 (T56) antibody (HA751075) at 1/100 dilution in 1% BSA in PBST overnight at 4 ℃. Goat Anti-Rabbit IgG H&L (iFluor™ 488, HA1121) was used as the secondary antibody at 1/1,000 dilution. PBS instead of the primary antibody was used as the secondary antibody only control. Nuclear DNA was labelled in blue with DAPI.

Beta tubulin (M1305-2, red) was stained at 1/100 dilution overnight at +4℃. Goat Anti-Mouse IgG H&L (iFluor™ 594, HA1126) was used as the secondary antibody at 1/1,000 dilution.
Note: All products are “FOR RESEARCH USE ONLY AND ARE NOT INTENDED FOR DIAGNOSTIC OR THERAPEUTIC USE”.