Aquaporin 4 Recombinant Rabbit Monoclonal Antibody [PSH06-38]
cat.: HA751077
Product Type: Recombinant Rabbit monoclonal IgG, primary antibodies
Species reactivity: Human, Mouse, Rat, Cynomolgus monkey, Pig
Applications: WB, IHC-P, IF-Tissue, IHC-Fr, IP
Clonality: Monoclonal
Clone number: PSH06-38
Form: Liquid
Storage condition: Store at +4℃ after thawing. Aliquot store at -20℃. Avoid repeated freeze / thaw cycles.
Storage buffer: 1*PBS (pH7.4).
Concentration: 1ug/ul
Purification: Protein A affinity purified.
Molecular weight: Predicted band size: 35 kDa
Isotype: IgG
Immunogen: Recombinant protein within human 224-323.
Positive control: Mouse brain tissue lysate, Rat brain tissue lysate, mouse brain tissue, rat brain tissue, human kidney tissue, human brain tissue.
Subcellular location: Cell membrane, Basolateral cell membrane, Endosome membrane, Cell membrane, sarcolemma, Cell projection.
Recommended Dilutions:
  WB
  IHC-P
  IF-Tissue
  IHC-Fr
  IP

1:2,000
1:2,000-1:10,000
1:1,000
1:1,000
1-2μg/sample
Uniprot #: SwissProt: P55087 Human | P55088 Mouse | P47863 Rat
Alternative names: AQP 4 AQP-4 AQP4 AQP4_HUMAN Aquaporin type 4 Aquaporin-4 Aquaporin4 HMIWC 2 HMIWC2 Mercurial insensitive water channel Mercurial-insensitive water channel MGC22454 MIWC WCH 4 WCH4
Images
HA751077_1.jpg Fig1: Application: IHC-Fr

Species: Mouse

Site: Cerebral cortex

Sample: Frozen section

Antibody concentration: 1:1,000

Antigen retrieval: Not required
HA751077_2.jpg Fig2: Application: IHC-Fr

Species: Rat

Site: Cerebral cortex

Sample: Frozen section

Antibody concentration: 1:1,000

Antigen retrieval: Not required
HA751077_3.jpg Fig3: Immunohistochemical analysis of paraffin-embedded human kidney tissue with Rabbit anti-Aquaporin 4 antibody (HA751077) at 1/2,000 dilution and competitor's antibody at 1/2,000 dilution.

The section was pre-treated using heat mediated antigen retrieval with Tris-EDTA buffer (pH 9.0) for 20 minutes. The tissues were blocked in 1% BSA for 20 minutes at room temperature, washed with ddH2O and PBS, and then probed with the primary antibody (HA751077) at 1/2,000 dilution and competitor's antibody at 1/2,000 dilution for 1 hour at room temperature. The detection was performed using an HRP conjugated compact polymer system. DAB was used as the chromogen. Tissues were counterstained with hematoxylin and mounted with DPX.
HA751077_4.jpg Fig4: Immunohistochemical analysis of paraffin-embedded human brain tissue with Rabbit anti-Aquaporin 4 antibody (HA751077) at 1/10,000 dilution and competitor's antibody at 1/2,000 dilution.

The section was pre-treated using heat mediated antigen retrieval with Tris-EDTA buffer (pH 9.0) for 20 minutes. The tissues were blocked in 1% BSA for 20 minutes at room temperature, washed with ddH2O and PBS, and then probed with the primary antibody (HA751077) at 1/10,000 dilution and competitor's antibody at 1/2,000 dilution for 1 hour at room temperature. The detection was performed using an HRP conjugated compact polymer system. DAB was used as the chromogen. Tissues were counterstained with hematoxylin and mounted with DPX.
HA751077_5.jpg Fig5: Immunohistochemical analysis of paraffin-embedded mouse brain tissue with Rabbit anti-Aquaporin 4 antibody (HA751077) at 1/10,000 dilution and competitor's antibody at 1/2,000 dilution.

The section was pre-treated using heat mediated antigen retrieval with Tris-EDTA buffer (pH 9.0) for 20 minutes. The tissues were blocked in 1% BSA for 20 minutes at room temperature, washed with ddH2O and PBS, and then probed with the primary antibody (HA751077) at 1/10,000 dilution and competitor's antibody at 1/2,000 dilution for 1 hour at room temperature. The detection was performed using an HRP conjugated compact polymer system. DAB was used as the chromogen. Tissues were counterstained with hematoxylin and mounted with DPX.
HA751077_6.jpg Fig6: Immunohistochemical analysis of paraffin-embedded rat brain tissue with Rabbit anti-Aquaporin 4 antibody (HA751077) at 1/10,000 dilution.

The section was pre-treated using heat mediated antigen retrieval with Tris-EDTA buffer (pH 9.0) for 20 minutes. The tissues were blocked in 1% BSA for 20 minutes at room temperature, washed with ddH2O and PBS, and then probed with the primary antibody (HA751077) at 1/10,000 dilution for 1 hour at room temperature. The detection was performed using an HRP conjugated compact polymer system. DAB was used as the chromogen. Tissues were counterstained with hematoxylin and mounted with DPX.
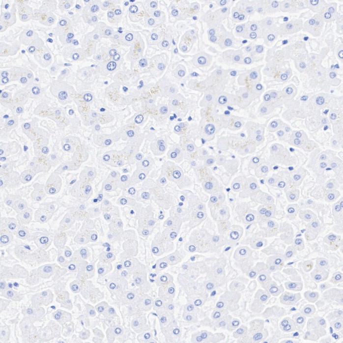
HA751077_7.jpg Fig7: Immunohistochemical analysis of paraffin-embedded human liver tissue (negative) with Rabbit anti-Aquaporin 4 antibody (HA751077) at 1/10,000 dilution.

The section was pre-treated using heat mediated antigen retrieval with Tris-EDTA buffer (pH 9.0) for 20 minutes. The tissues were blocked in 1% BSA for 20 minutes at room temperature, washed with ddH2O and PBS, and then probed with the primary antibody (HA751077) at 1/10,000 dilution for 1 hour at room temperature. The detection was performed using an HRP conjugated compact polymer system. DAB was used as the chromogen. Tissues were counterstained with hematoxylin and mounted with DPX.
HA751077_8.jpg Fig8: Western blot analysis of Aquaporin 4 on different lysates with Rabbit anti-Aquaporin 4 antibody (HA751077) at 1/2,000 dilution.

Lane 1: Mouse brain tissue lysate (no heat) (40 µg/Lane)
Lane 2: Mouse liver tissue lysate (negative) (40 µg/Lane)
Lane 3: Rat brain tissue lysate (no heat) (40 µg/Lane)
Lane 4: Rat liver tissue lysate (negative) (40 µg/Lane)

Notice: no heat means the lysate is not boiled.

Predicted band size: 35 kDa
Observed band size: 30 kDa

Exposure time: 16 seconds; ECL: K1801;
4-20% SDS-PAGE gel.

Proteins were transferred to a PVDF membrane and blocked with 5% NFDM/TBST for 1 hour at room temperature. The primary antibody (HA751077) at 1/2,000 dilution was used in 5% NFDM/TBST at 4℃ overnight. Goat Anti-Rabbit IgG - HRP Secondary Antibody (HA1001) at 1/50,000 dilution was used for 1 hour at room temperature.
HA751077_9.jpg Fig9: Application: IF-tissue

Species: Mouse

Site: Cerebral cortex

Sample: Paraffin-embedded section

Antibody concentration: 1:1,000
HA751077_10.jpg Fig10: Aquaporin 4 was immunoprecipitated from 0.2 mg mouse brain tissue lysate with HA751077 at 2 µg/10 µl beads. Western blot was performed from the immunoprecipitate using HA751077 at 1/1,000 dilution. Mouse anti Rabbit IgG heavy chain (Fc) secondary antibody (M1003-7) at 1/100,000 dilution was used for 1 hour at room temperature.

Lane 1: Mouse brain tissue lysate (input)
Lane 2: HA751077 IP in mouse brain tissue lysate
Lane 3: Rabbit IgG instead of HA751077 in mouse brain tissue lysate

Blocking/Dilution buffer: 5% NFDM/TBST
Exposure time: 1 minute; ECL: K1801
Note: All products are “FOR RESEARCH USE ONLY AND ARE NOT INTENDED FOR DIAGNOSTIC OR THERAPEUTIC USE”.