LIPT1 Recombinant Rabbit Monoclonal Antibody [PSH06-54]
cat.: HA751082
Product Type: Recombinant Rabbit monoclonal IgG, primary antibodies
Species reactivity: Human, Mouse, Rat
Applications: WB, IF-Cell, IHC-P, FC
Clonality: Monoclonal
Clone number: PSH06-54
Form: Liquid
Storage condition: Store at +4℃ after thawing. Aliquot store at -20℃. Avoid repeated freeze / thaw cycles.
Storage buffer: 1*PBS (pH7.4).
Concentration: 1ug/ul
Purification: Protein A affinity purified.
Molecular weight: Predicted band size: 42 kDa
Isotype: IgG
Immunogen: Recombinant protein within human LIPT1 aa 1-373.
Positive control: HeLa cell lysate, Jurkat cell lysate, Mouse testis tissue lysate, Mouse skeletal muscle tissue lysate, Mouse heart tissue lysate, Rat testis tissue lysate, Rat skeletal muscle tissue lysate, Jurkat, human skeletal muscle tissue, human testis tissue, mouse skeletal muscle tissue, mouse testis tissue, rat skeletal muscle tissue, rat testis tissue.
Subcellular location: Mitochondrion.
Recommended Dilutions:
  WB
  IF-Cell
  IHC-P
  FC

1:1,000
1:100
1:200-1:1,000
1:1,000
Uniprot #: SwissProt: Q9Y234 Human | Q8VCM4 Mouse
Entrez Gene: 316342 Rat
Alternative names: Lipoyl amidotransferase LIPT1, mitochondrial EC:2.3.1.200 Lipoate biosynthesis protein Lipoate-protein ligase Lipoyl ligase Lipoyltransferase 1 LIPT1
Images
HA751082_1.jpg Fig1: Western blot analysis of LIPT1 on different lysates with Rabbit anti-LIPT1 antibody (HA751082) at 1/1,000 dilution.

Lane 1: HeLa cell lysate (20 µg/Lane)
Lane 2: Jurkat cell lysate (20 µg/Lane)
Lane 3: Mouse testis tissue lysate (40 µg/Lane)
Lane 4: Mouse skeletal muscle tissue lysate (40 µg/Lane)
Lane 5: Mouse heart tissue lysate (40 µg/Lane)
Lane 6: Rat testis tissue lysate (40 µg/Lane)
Lane 7: Rat skeletal muscle tissue lysate (40 µg/Lane)

Predicted band size: 42 kDa
Observed band size: 40 kDa

Exposure time: 30 seconds; ECL: K1801;

4-20% SDS-PAGE gel.

Proteins were transferred to a PVDF membrane and blocked with 5% NFDM/TBST for 1 hour at room temperature. The primary antibody (HA751082) at 1/1,000 dilution was used in 5% NFDM/TBST at 4℃ overnight. Goat Anti-Rabbit IgG - HRP Secondary Antibody (HA1001) at 1/50,000 dilution was used for 1 hour at room temperature.
HA751082_2.jpg Fig2: Immunocytochemistry analysis of Jurkat cells labeling LIPT1 with Rabbit anti-LIPT1 antibody (HA751082) at 1/100 dilution.

Cells were fixed in 4% paraformaldehyde for 20 minutes at room temperature, permeabilized with 0.1% Triton X-100 in PBS for 5 minutes at room temperature, then blocked with 1% BSA in 10% negative goat serum for 1 hour at room temperature. Cells were then incubated with Rabbit anti-LIPT1 antibody (HA751082) at 1/100 dilution in 1% BSA in PBST overnight at 4 ℃. Goat Anti-Rabbit IgG H&L (iFluor™ 488, HA1121) was used as the secondary antibody at 1/1,000 dilution. PBS instead of the primary antibody was used as the secondary antibody only control. Nuclear DNA was labelled in blue with DAPI.

Beta tubulin (M1305-2, red) was stained at 1/100 dilution overnight at +4℃. Goat Anti-Mouse IgG H&L (iFluor™ 594, HA1126) was used as the secondary antibody at 1/1,000 dilution.
HA751082_3.jpg Fig3: Immunohistochemical analysis of paraffin-embedded human skeletal muscle tissue with Rabbit anti-LIPT1 antibody (HA751082) at 1/200 dilution.

The section was pre-treated using heat mediated antigen retrieval with Tris-EDTA buffer (pH 9.0) for 20 minutes. The tissues were blocked in 1% BSA for 20 minutes at room temperature, washed with ddH2O and PBS, and then probed with the primary antibody (HA751082) at 1/200 dilution for 1 hour at room temperature. The detection was performed using an HRP conjugated compact polymer system. DAB was used as the chromogen. Tissues were counterstained with hematoxylin and mounted with DPX.
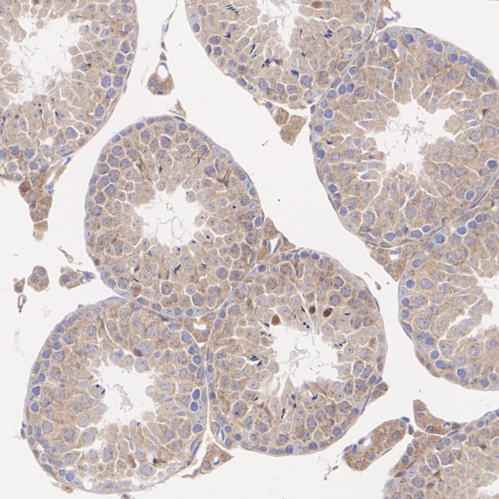
HA751082_4.jpg Fig4: Immunohistochemical analysis of paraffin-embedded human testis tissue with Rabbit anti-LIPT1 antibody (HA751082) at 1/1,000 dilution.

The section was pre-treated using heat mediated antigen retrieval with Tris-EDTA buffer (pH 9.0) for 20 minutes. The tissues were blocked in 1% BSA for 20 minutes at room temperature, washed with ddH2O and PBS, and then probed with the primary antibody (HA751082) at 1/1,000 dilution for 1 hour at room temperature. The detection was performed using an HRP conjugated compact polymer system. DAB was used as the chromogen. Tissues were counterstained with hematoxylin and mounted with DPX.
HA751082_5.jpg Fig5: Immunohistochemical analysis of paraffin-embedded mouse skeletal muscle tissue with Rabbit anti-LIPT1 antibody (HA751082) at 1/200 dilution.

The section was pre-treated using heat mediated antigen retrieval with Tris-EDTA buffer (pH 9.0) for 20 minutes. The tissues were blocked in 1% BSA for 20 minutes at room temperature, washed with ddH2O and PBS, and then probed with the primary antibody (HA751082) at 1/200 dilution for 1 hour at room temperature. The detection was performed using an HRP conjugated compact polymer system. DAB was used as the chromogen. Tissues were counterstained with hematoxylin and mounted with DPX.
HA751082_6.jpg Fig6: Immunohistochemical analysis of paraffin-embedded mouse testis tissue with Rabbit anti-LIPT1 antibody (HA751082) at 1/1,000 dilution.

The section was pre-treated using heat mediated antigen retrieval with Tris-EDTA buffer (pH 9.0) for 20 minutes. The tissues were blocked in 1% BSA for 20 minutes at room temperature, washed with ddH2O and PBS, and then probed with the primary antibody (HA751082) at 1/1,000 dilution for 1 hour at room temperature. The detection was performed using an HRP conjugated compact polymer system. DAB was used as the chromogen. Tissues were counterstained with hematoxylin and mounted with DPX.
HA751082_7.jpg Fig7: Immunohistochemical analysis of paraffin-embedded rat skeletal muscle tissue with Rabbit anti-LIPT1 antibody (HA751082) at 1/200 dilution.

The section was pre-treated using heat mediated antigen retrieval with Tris-EDTA buffer (pH 9.0) for 20 minutes. The tissues were blocked in 1% BSA for 20 minutes at room temperature, washed with ddH2O and PBS, and then probed with the primary antibody (HA751082) at 1/200 dilution for 1 hour at room temperature. The detection was performed using an HRP conjugated compact polymer system. DAB was used as the chromogen. Tissues were counterstained with hematoxylin and mounted with DPX.
HA751082_8.jpg Fig8: Immunohistochemical analysis of paraffin-embedded rat testis tissue with Rabbit anti-LIPT1 antibody (HA751082) at 1/1,000 dilution.

The section was pre-treated using heat mediated antigen retrieval with Tris-EDTA buffer (pH 9.0) for 20 minutes. The tissues were blocked in 1% BSA for 20 minutes at room temperature, washed with ddH2O and PBS, and then probed with the primary antibody (HA751082) at 1/1,000 dilution for 1 hour at room temperature. The detection was performed using an HRP conjugated compact polymer system. DAB was used as the chromogen. Tissues were counterstained with hematoxylin and mounted with DPX.
HA751082_9.jpg Fig9: Flow cytometric analysis of Jurkat cells labeling LIPT1.

Cells were fixed and permeabilized. Then stained with the primary antibody (HA751082, 1/1,000) (red) compared with Rabbit IgG Isotype Control (green). After incubation of the primary antibody at +4℃ for an hour, the cells were stained with a iFluor™ 488 conjugate-Goat anti-Rabbit IgG Secondary antibody (HA1121) at 1/1,000 dilution for 30 minutes at +4℃. Unlabelled sample was used as a control (cells without incubation with primary antibody; black).
Note: All products are “FOR RESEARCH USE ONLY AND ARE NOT INTENDED FOR DIAGNOSTIC OR THERAPEUTIC USE”.