Slow Skeletal Myosin Heavy chain Recombinant Rabbit Monoclonal Antibody [PSH07-54]
cat.: HA751092
Product Type: Recombinant Rabbit monoclonal IgG, primary antibodies
Species reactivity: Human, Mouse, Rat
Applications: WB, IHC-P, IF-Tissue, IHC-Fr
Clonality: Monoclonal
Clone number: PSH07-54
Form: Liquid
Storage condition: Store at +4℃ after thawing. Aliquot store at -20℃. Avoid repeated freeze / thaw cycles.
Storage buffer: 1*PBS (pH7.4).
Concentration: 1ug/ul
Purification: Protein A affinity purified.
Molecular weight: Predicted band size: 223 kDa
Isotype: IgG
Immunogen: Synthetic peptide within human MYH7 aa 1,250-1,300.
Positive control: Rat skeletal muscle tissue lysate, human heart tissue, mouse skeletal muscle tissue, rat skeletal muscle tissue, mouse heart tissue, rat heart tissue.
Subcellular location: Cytoplasm, myofibril, sarcomere.
Recommended Dilutions:
  WB
  IHC-P
  IF-Tissue
  IHC-Fr

1:1,000
1:2,000
1:500
1:500
Uniprot #: SwissProt: P12883 Human | Q91Z83 Mouse | P02564 Rat
Alternative names: Beta myosin heavy chain cardiac muscle beta isoform CMD1S CMH1 MPD1 MYH7 MYH7_HUMAN Myhc slow MyHC-beta MyHC-slow MYHCB Myopathy, distal 1 Myosin heavy chain (AA 1-96) Myosin heavy chain 7 Myosin heavy chain Myosin heavy chain slow isoform Myosin heavy chain, cardiac muscle beta isoform Myosin, heavy chain 7, cardiac muscle, beta Myosin, heavy polypeptide 7, cardiac muscle, beta Myosin-7 Rhabdomyosarcoma antigen MU RMS 40.7A SPMD SPMM
Images
HA751092_1.jpg Fig1: Western blot analysis of Slow Skeletal Myosin Heavy chain on different lysates with Rabbit anti-Slow Skeletal Myosin Heavy chain antibody (HA751092) at 1/1,000 dilution.

Lane 1: Rat skeletal muscle tissue lysate
Lane 2: Rat spleen tissue lysate (negative)

Lysates/proteins at 20 µg/Lane.

Predicted band size: 223 kDa
Observed band size: 223 kDa

Exposure time: 10 seconds; ECL: K1802;

4-20% SDS-PAGE gel.

Proteins were transferred to a PVDF membrane and blocked with 5% NFDM/TBST for 1 hour at room temperature. The primary antibody (HA751092) at 1/1,000 dilution was used in 5% NFDM/TBST at 4℃ overnight. Goat Anti-Rabbit IgG - HRP Secondary Antibody (HA1001) at 1/50,000 dilution was used for 1 hour at room temperature.
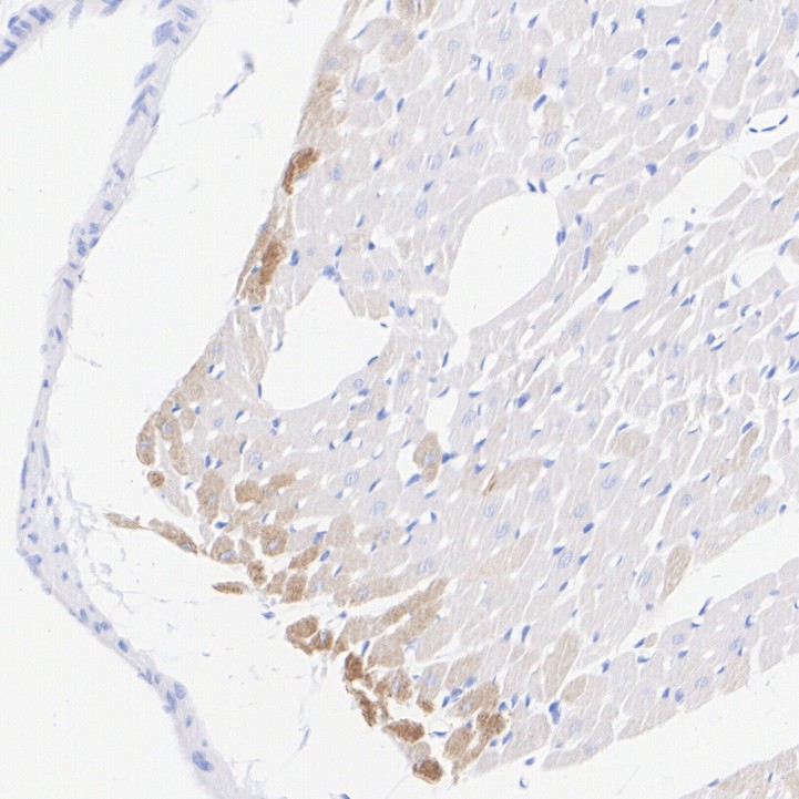
HA751092_2.jpg Fig2: Immunohistochemical analysis of paraffin-embedded human heart tissue with Rabbit anti-Slow Skeletal Myosin Heavy chain antibody (HA751092) at 1/2,000 dilution and competitor's antibody at 1/200 dilution.

The section was pre-treated using heat mediated antigen retrieval with Tris-EDTA buffer (pH 9.0) for 20 minutes. The tissues were blocked in 1% BSA for 20 minutes at room temperature, washed with ddH2O and PBS, and then probed with the primary antibody (HA751092) at 1/2,000 dilution and competitor's antibody at 1/200 dilution for 1 hour at room temperature. The detection was performed using an HRP conjugated compact polymer system. DAB was used as the chromogen. Tissues were counterstained with hematoxylin and mounted with DPX.
HA751092_3.jpg Fig3: Immunohistochemical analysis of paraffin-embedded mouse skeletal muscle tissue with Rabbit anti-Slow Skeletal Myosin Heavy chain antibody (HA751092) at 1/2,000 dilution and competitor's antibody at 1/200 dilution.

The section was pre-treated using heat mediated antigen retrieval with Tris-EDTA buffer (pH 9.0) for 20 minutes. The tissues were blocked in 1% BSA for 20 minutes at room temperature, washed with ddH2O and PBS, and then probed with the primary antibody (HA751092) at 1/2,000 dilution and competitor's antibody at 1/200 dilution for 1 hour at room temperature. The detection was performed using an HRP conjugated compact polymer system. DAB was used as the chromogen. Tissues were counterstained with hematoxylin and mounted with DPX.
HA751092_4.jpg Fig4: Immunohistochemical analysis of paraffin-embedded rat skeletal muscle tissue with Rabbit anti-Slow Skeletal Myosin Heavy chain antibody (HA751092) at 1/2,000 dilution and competitor's antibody at 1/200 dilution.

The section was pre-treated using heat mediated antigen retrieval with Tris-EDTA buffer (pH 9.0) for 20 minutes. The tissues were blocked in 1% BSA for 20 minutes at room temperature, washed with ddH2O and PBS, and then probed with the primary antibody (HA751092) at 1/2,000 dilution and competitor's antibody at 1/200 dilution for 1 hour at room temperature. The detection was performed using an HRP conjugated compact polymer system. DAB was used as the chromogen. Tissues were counterstained with hematoxylin and mounted with DPX.
HA751092_5.jpg Fig5: Immunohistochemical analysis of paraffin-embedded mouse heart tissue with Rabbit anti-Slow Skeletal Myosin Heavy chain antibody (HA751092) at 1/2,000 dilution.

The section was pre-treated using heat mediated antigen retrieval with Tris-EDTA buffer (pH 9.0) for 20 minutes. The tissues were blocked in 1% BSA for 20 minutes at room temperature, washed with ddH2O and PBS, and then probed with the primary antibody (HA751092) at 1/2,000 dilution for 1 hour at room temperature. The detection was performed using an HRP conjugated compact polymer system. DAB was used as the chromogen. Tissues were counterstained with hematoxylin and mounted with DPX.
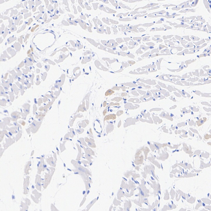
HA751092_6.jpg Fig6: Immunohistochemical analysis of paraffin-embedded rat heart tissue with Rabbit anti-Slow Skeletal Myosin Heavy chain antibody (HA751092) at 1/2,000 dilution.

The section was pre-treated using heat mediated antigen retrieval with Tris-EDTA buffer (pH 9.0) for 20 minutes. The tissues were blocked in 1% BSA for 20 minutes at room temperature, washed with ddH2O and PBS, and then probed with the primary antibody (HA751092) at 1/2,000 dilution for 1 hour at room temperature. The detection was performed using an HRP conjugated compact polymer system. DAB was used as the chromogen. Tissues were counterstained with hematoxylin and mounted with DPX.
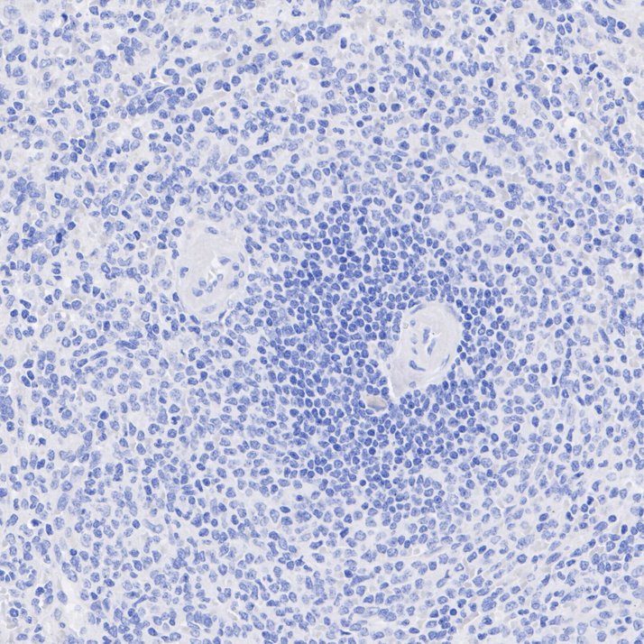
HA751092_7.jpg Fig7: Immunohistochemical analysis of paraffin-embedded human spleen tissue (negative) with Rabbit anti-Slow Skeletal Myosin Heavy chain antibody (HA751092) at 1/2,000 dilution.

The section was pre-treated using heat mediated antigen retrieval with Tris-EDTA buffer (pH 9.0) for 20 minutes. The tissues were blocked in 1% BSA for 20 minutes at room temperature, washed with ddH2O and PBS, and then probed with the primary antibody (HA751092) at 1/2,000 dilution for 1 hour at room temperature. The detection was performed using an HRP conjugated compact polymer system. DAB was used as the chromogen. Tissues were counterstained with hematoxylin and mounted with DPX.
HA751092_8.jpg Fig8: Immunofluorescence analysis of paraffin-embedded mouse skeletal muscle tissue labeling Slow Skeletal Myosin Heavy chain with Rabbit anti-Slow Skeletal Myosin Heavy chain antibody (HA751092) at 1/500 dilution.

The section was pre-treated using heat mediated antigen retrieval with Tris-EDTA buffer (pH 9.0) for 20 minutes. The tissues were blocked in 10% negative goat serum for 1 hour at room temperature, washed with PBS, and then probed with the primary antibody (HA751092, green) at 1/500 dilution overnight at 4 ℃, washed with PBS. Goat Anti-Rabbit IgG H&L (iFluor™ 488, HA1121) was used as the secondary antibody at 1/1,000 dilution. Nuclei were counterstained with DAPI (blue).
HA751092_9.jpg Fig9: Immunofluorescence analysis of frozen mouse skeletal muscle tissue with Rabbit anti-Slow Skeletal Myosin Heavy chain antibody (HA751092) at 1/500 dilution.

The section was pre-treated using heat mediated antigen retrieval with sodium citrate buffer (pH 6.0) for about 2 minutes in microwave oven. The tissues were blocked in 10% negative goat serum for 1 hour at room temperature, washed with PBS, and then probed with the primary antibody (HA751092, green) at 1/500 dilution overnight at 4 ℃, washed with PBS. Goat Anti-Rabbit IgG H&L (iFluor™ 488, HA1121) was used as the secondary antibody at 1/1,000 dilution. Nuclei were counterstained with DAPI (blue).
HA751092_10.jpg Fig10: Immunofluorescence analysis of frozen rat skeletal muscle tissue with Rabbit anti-Slow Skeletal Myosin Heavy chain antibody (HA751092) at 1/500 dilution.

The section was pre-treated using heat mediated antigen retrieval with sodium citrate buffer (pH 6.0) for about 2 minutes in microwave oven. The tissues were blocked in 10% negative goat serum for 1 hour at room temperature, washed with PBS, and then probed with the primary antibody (HA751092, green) at 1/500 dilution overnight at 4 ℃, washed with PBS. Goat Anti-Rabbit IgG H&L (iFluor™ 488, HA1121) was used as the secondary antibody at 1/1,000 dilution. Nuclei were counterstained with DAPI (blue).
Note: All products are “FOR RESEARCH USE ONLY AND ARE NOT INTENDED FOR DIAGNOSTIC OR THERAPEUTIC USE”.