NCAM1 / CD56 Recombinant Rabbit Monoclonal Antibody [PSH06-53]
cat.: HA751105
Product Type: Recombinant Rabbit monoclonal IgG, primary antibodies
Species reactivity: Human, Mouse, Rat
Applications: WB, IHC-P, IF-Cell, FC, IP
Clonality: Monoclonal
Clone number: PSH06-53
Form: Liquid
Storage condition: Store at +4℃ after thawing. Aliquot store at -20℃. Avoid repeated freeze / thaw cycles.
Storage buffer: 1*PBS (pH7.4).
Concentration: 1ug/ul
Purification: Protein A affinity purified.
Molecular weight: Predicted band size: 95 kDa
Isotype: IgG
Immunogen: Recombinant protein within human NCAM1 aa 1-739.
Positive control: SH-SY5Y cell lysate, C6 cell lysate, Rat brain tissue lysate, human brain tissue, rat brain tissue, SH-SY5Y, C6, human peripheral blood lymphocytes.
Subcellular location: Cell membrane.
Recommended Dilutions:
  WB
  IHC-P
  IF-Cell
  FC
  IP

1:3,000
1:1,000
1:100-1:1,000
1:1,000
1-2μg/sample
Uniprot #: SwissProt: P13591 Human | P13595 Mouse | P13596 Rat
Alternative names: antigen MSK39 identified by monoclonal 5.1H11 antigen recognized by monoclonal 5.1H11 CD56 cell adhesion molecule, neural, 1 MSK 39 MSK39 N-CAM-1 NCAM 1 NCAM NCAM C NCAM-1 NCAM1 NCAM1_HUMAN NCAMC Neural cell adhesion molecule 1 Neural cell adhesion molecule NCAM OTTHUMP00000235666
Images
HA751105_1.jpg Fig1: Western blot analysis of NCAM1 / CD56 on different lysates with Rabbit anti-NCAM1 / CD56 antibody (HA751105) at 1/3,000 dilution.

Lane 1: SH-SY5Y cell lysate (20 µg/Lane)
Lane 2: HeLa cell lysate (negative) (20 µg/Lane)
Lane 3: C6 cell lysate (20 µg/Lane)
Lane 4: Rat brain tissue lysate (20 µg/Lane)

Predicted band size: 95 kDa
Observed band size: 120-250 kDa

Exposure time: 5 seconds; ECL: K1801;
4-20% SDS-PAGE gel.

Proteins were transferred to a PVDF membrane and blocked with 5% NFDM/TBST for 1 hour at room temperature. The primary antibody (HA751105) at 1/3,000 dilution was used in 5% NFDM/TBST at 4℃ overnight. Goat Anti-Rabbit IgG - HRP Secondary Antibody (HA1001) at 1/50,000 dilution was used for 1 hour at room temperature.
HA751105_2.jpg Fig2: Immunohistochemical analysis of paraffin-embedded human brain tissue with Rabbit anti-NCAM1 / CD56 antibody (HA751105) at 1/1,000 dilution.

The section was pre-treated using heat mediated antigen retrieval with Tris-EDTA buffer (pH 9.0) for 20 minutes. The tissues were blocked in 1% BSA for 20 minutes at room temperature, washed with ddH2O and PBS, and then probed with the primary antibody (HA751105) at 1/1,000 dilution for 1 hour at room temperature. The detection was performed using an HRP conjugated compact polymer system. DAB was used as the chromogen. Tissues were counterstained with hematoxylin and mounted with DPX.
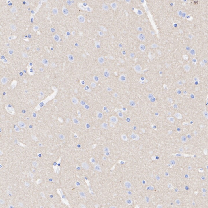
HA751105_3.jpg Fig3: Immunohistochemical analysis of paraffin-embedded rat brain tissue with Rabbit anti-NCAM1 / CD56 antibody (HA751105) at 1/1,000 dilution.

The section was pre-treated using heat mediated antigen retrieval with Tris-EDTA buffer (pH 9.0) for 20 minutes. The tissues were blocked in 1% BSA for 20 minutes at room temperature, washed with ddH2O and PBS, and then probed with the primary antibody (HA751105) at 1/1,000 dilution for 1 hour at room temperature. The detection was performed using an HRP conjugated compact polymer system. DAB was used as the chromogen. Tissues were counterstained with hematoxylin and mounted with DPX.
HA751105_4.jpg Fig4: Immunocytochemistry analysis of SH-SY5Y cells labeling NCAM1 / CD56 with Rabbit anti-NCAM1 / CD56 antibody (HA751105) at 1/1,000 dilution.

Cells were fixed in 4% paraformaldehyde for 20 minutes at room temperature, permeabilized with 0.1% Triton X-100 in PBS for 5 minutes at room temperature, then blocked with 1% BSA in 10% negative goat serum for 1 hour at room temperature. Cells were then incubated with Rabbit anti-NCAM1 / CD56 antibody (HA751105) at 1/1,000 dilution in 1% BSA in PBST overnight at 4 ℃. Goat Anti-Rabbit IgG H&L (iFluor™ 488, HA1121) was used as the secondary antibody at 1/1,000 dilution. PBS instead of the primary antibody was used as the secondary antibody only control. Nuclear DNA was labelled in blue with DAPI.

Beta tubulin (M1305-2, red) was stained at 1/100 dilution overnight at +4℃. Goat Anti-Mouse IgG H&L (iFluor™ 594, HA1126) was used as the secondary antibody at 1/1,000 dilution.
HA751105_5.jpg Fig5: Immunocytochemistry analysis of C6 cells labeling NCAM1 / CD56 with Rabbit anti-NCAM1 / CD56 antibody (HA751105) at 1/100 dilution.

Cells were fixed in 4% paraformaldehyde for 20 minutes at room temperature, permeabilized with 0.1% Triton X-100 in PBS for 5 minutes at room temperature, then blocked with 1% BSA in 10% negative goat serum for 1 hour at room temperature. Cells were then incubated with Rabbit anti-NCAM1 / CD56 antibody (HA751105) at 1/100 dilution in 1% BSA in PBST overnight at 4 ℃. Goat Anti-Rabbit IgG H&L (iFluor™ 488, HA1121) was used as the secondary antibody at 1/1,000 dilution. PBS instead of the primary antibody was used as the secondary antibody only control. Nuclear DNA was labelled in blue with DAPI.

Beta tubulin (M1305-2, red) was stained at 1/100 dilution overnight at +4℃. Goat Anti-Mouse IgG H&L (iFluor™ 594, HA1126) was used as the secondary antibody at 1/1,000 dilution.
HA751105_6.jpg Fig6: Flow cytometric analysis of HeLa (left, negative) and SH-SY5Y (right, positive) cells labeling NCAM1 / CD56.

Cells were washed twice with cold PBS and resuspend. Then stained with the primary antibody (HA751105, 1/1,000) (red) compared with Rabbit IgG Isotype Control (green). After incubation of the primary antibody at +4℃ for an hour, the cells were stained with a iFluor™ 594 conjugate-Goat anti-Rabbit IgG Secondary antibody (HA1122) at 1/1,000 dilution for 30 minutes at +4℃. Unlabelled sample was used as a control (cells without incubation with primary antibody; black).
HA751105_7.jpg Fig7: Flow cytometric analysis of human peripheral blood lymphocytes labeling NCAM1 / CD56.

Cells were washed twice with cold PBS and resuspend. Then stained with the primary antibody (HA751105, 1μg/mL) (red). After incubation of the primary antibody at +4℃ for an hour, the cells were stained with a iFluor™ 488 conjugate-Goat anti-Rabbit IgG Secondary antibody (HA1121) at 1/1,000 dilution for 30 minutes at +4℃. Unlabelled sample was used as a control (cells without incubation with primary antibody; black).
HA751105_8.jpg Fig8: NCAM1 / CD56 was immunoprecipitated from 0.2 mg SH-SY5Y cell lysate with HA751105 at 2 µg/10 µl beads. Western blot was performed from the immunoprecipitate using HA751105 at 1/1,000 dilution. Anti-Rabbit IgG for IP Nano-secondary antibody (NBI01H) at 1/5,000 dilution was used for 1 hour at room temperature.

Lane 1: SH-SY5Y cell lysate (input)
Lane 2: HA751105 IP in SH-SY5Y cell lysate
Lane 3: Rabbit IgG instead of HA751105 in SH-SY5Y cell lysate

Blocking/Dilution buffer: 5% NFDM/TBST
Exposure time: 2 seconds; ECL: K1801
Note: All products are “FOR RESEARCH USE ONLY AND ARE NOT INTENDED FOR DIAGNOSTIC OR THERAPEUTIC USE”.