HEXB Recombinant Rabbit Monoclonal Antibody [PSH06-83]
cat.: HA751106
Product Type: Recombinant Rabbit monoclonal IgG, primary antibodies
Species reactivity: Human
Applications: WB, IHC-P, IF-Cell, FC, IF-Tissue
Clonality: Monoclonal
Clone number: PSH06-83
Form: Liquid
Storage condition: Store at +4℃ after thawing. Aliquot store at -20℃. Avoid repeated freeze / thaw cycles.
Storage buffer: 1*PBS (pH7.4).
Concentration: 1ug/ul
Purification: Protein A affinity purified.
Molecular weight: Predicted band size: 63 kDa
Isotype: IgG
Immunogen: Recombinant protein within human HEXB aa 1-556.
Positive control: HEK-293 cell lysate, Jurkat cell lysate, HeLa cell lysate, HepG2 cell lysate, U-87 MG cell lysate, MCF7 cell lysate, Caco-2 cell lysate, NCI-H1299 cell lysate, human kidney tissue, human lung cancer tissue, HeLa.
Subcellular location: Lysosome, Cytoplasmic vesicle, secretory vesicle, Cortical granule.
Recommended Dilutions:
  WB
  IHC-P
  IF-Cell
  FC
  IF-Tissue

1:2,000
1:2,000
1:250
1:1,000
1:200-1:400
Uniprot #: SwissProt: P07686 Human
Alternative names: Beta hexosaminidase beta chain Beta hexosaminidase subunit beta Beta N acetylhexosaminidase Beta-hexosaminidase subunit beta chain A Beta-N-acetylhexosaminidase subunit beta Cervical cancer proto oncogene 7 protein Cervical cancer proto-oncogene 7 protein ENC 1AS Epididymis luminal protein 248 HCC 7 HCC-7 HCC7 HEL 248 HEX B Hexb HEXB_HUMAN Hexosaminidase B (beta polypeptide) Hexosaminidase B Hexosaminidase subunit B HexosaminidaseB N acetyl beta glucosaminidase N-acetyl-beta-glucosaminidase subunit beta
Images
HA751106_1.jpg Fig1: Western blot analysis of HEXB on different lysates with Rabbit anti-HEXB antibody (HA751106) at 1/2,000 dilution and competitor's antibody at 1/2,000 dilution.

Lane 1: HEK-293 cell lysate
Lane 2: Jurkat cell lysate
Lane 3: HeLa cell lysate
Lane 4: HepG2 cell lysate
Lane 5: U-87 MG cell lysate
Lane 6: MCF7 cell lysate
Lane 7: Caco-2 cell lysate
Lane 8: NCI-H1299 cell lysate

Lysates/proteins at 20 µg/Lane.

Predicted band size: 63 kDa
Observed band size: 30/60 kDa

Exposure time: 4 seconds; ECL: K1801;

4-20% SDS-PAGE gel.

Proteins were transferred to a PVDF membrane and blocked with 5% NFDM/TBST for 1 hour at room temperature. The primary antibody (HA751106) at 1/2,000 dilution and competitor's antibody at 1/2,000 dilution were used in 5% NFDM/TBST at 4℃ overnight. Goat Anti-Rabbit IgG - HRP Secondary Antibody (HA1001) at 1/50,000 dilution was used for 1 hour at room temperature.
HA751106_2.jpg Fig2: Immunohistochemical analysis of paraffin-embedded human kidney tissue with Rabbit anti-HEXB antibody (HA751106) at 1/2,000 dilution and competitor's antibody at 1/2,000 dilution.

The section was pre-treated using heat mediated antigen retrieval with Tris-EDTA buffer (pH 9.0) for 20 minutes. The tissues were blocked in 1% BSA for 20 minutes at room temperature, washed with ddH2O and PBS, and then probed with the primary antibody (HA751106) at 1/2,000 dilution and competitor's antibody at 1/2,000 dilution for 1 hour at room temperature. The detection was performed using an HRP conjugated compact polymer system. DAB was used as the chromogen. Tissues were counterstained with hematoxylin and mounted with DPX.
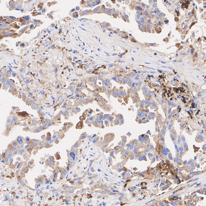
HA751106_3.jpg Fig3: Immunohistochemical analysis of paraffin-embedded human lung cancer tissue with Rabbit anti-HEXB antibody (HA751106) at 1/2,000 dilution.

The section was pre-treated using heat mediated antigen retrieval with Tris-EDTA buffer (pH 9.0) for 20 minutes. The tissues were blocked in 1% BSA for 20 minutes at room temperature, washed with ddH2O and PBS, and then probed with the primary antibody (HA751106) at 1/2,000 dilution for 1 hour at room temperature. The detection was performed using an HRP conjugated compact polymer system. DAB was used as the chromogen. Tissues were counterstained with hematoxylin and mounted with DPX.
HA751106_4.jpg Fig4: Immunocytochemistry analysis of HeLa cells labeling HEXB with Rabbit anti-HEXB antibody (HA751106) at 1/250 dilution.

Cells were fixed in 4% paraformaldehyde for 20 minutes at room temperature, permeabilized with 0.1% Triton X-100 in PBS for 5 minutes at room temperature, then blocked with 1% BSA in 10% negative goat serum for 1 hour at room temperature. Cells were then incubated with Rabbit anti-HEXB antibody (HA751106) at 1/250 dilution in 1% BSA in PBST overnight at 4 ℃. Goat Anti-Rabbit IgG H&L (iFluor™ 488, HA1121) was used as the secondary antibody at 1/1,000 dilution. PBS instead of the primary antibody was used as the secondary antibody only control. Nuclear DNA was labelled in blue with DAPI.

Beta tubulin (M1305-2, red) was stained at 1/100 dilution overnight at +4℃. Goat Anti-Mouse IgG H&L (iFluor™ 594, HA1126) was used as the secondary antibody at 1/1,000 dilution.
HA751106_5.jpg Fig5: Flow cytometric analysis of HeLa cells labeling HEXB.

Cells were fixed and permeabilized. Then stained with the primary antibody (HA751106, 1μg/mL) (red) compared with Rabbit IgG Isotype Control (green). After incubation of the primary antibody at +4℃ for an hour, the cells were stained with a iFluor™ 488 conjugate-Goat anti-Rabbit IgG Secondary antibody (HA1121) at 1/1,000 dilution for 30 minutes at +4℃. Unlabelled sample was used as a control (cells without incubation with primary antibody; black).
Note: All products are “FOR RESEARCH USE ONLY AND ARE NOT INTENDED FOR DIAGNOSTIC OR THERAPEUTIC USE”.