ILKAP Recombinant Rabbit Monoclonal Antibody [PSH06-85]
cat.: HA751108
Product Type: Recombinant Rabbit monoclonal IgG, primary antibodies
Species reactivity: Human, Mouse, Rat
Applications: WB, IF-Cell, IHC-P, FC, IP
Clonality: Monoclonal
Clone number: PSH06-85
Form: Liquid
Storage condition: Store at +4℃ after thawing. Aliquot store at -20℃. Avoid repeated freeze / thaw cycles.
Storage buffer: 1*PBS (pH7.4).
Concentration: 1ug/ul
Purification: Protein A affinity purified.
Molecular weight: Predicted band size: 43 kDa
Isotype: IgG
Immunogen: Recombinant protein within human ILKAP aa 1-392.
Positive control: 293T cell lysate, HeLa cell lysate, MCF7 cell lysate, HepG2 cell lysate, NIH/3T3 cell lysate, RAW264.7 cell lysate, Mouse brain tissue lysate, Mouse lung tissue lysate, Mouse spleen tissue lysate, Rat brain tissue lysate, HeLa, NIH/3T3, human lymph node tissue, human stomach tissue, mouse heart tissue, mouse stomach tissue.
Subcellular location: Cytoplasm.
Recommended Dilutions:
  WB
  IF-Cell
  IHC-P
  FC
  IP

1:1,000
1:100
1:200-1:1,000
1:1,000
1-2μg/sample
Uniprot #: SwissProt: Q9H0C8 Human | Q8R0F6 Mouse | Q9Z1Z6 Rat
Alternative names: DKFZp434J2031 FLJ10181 ILKAP ILKAP_HUMAN ILKAP2 ILKAP3 Integrin linked kinase associated phosphatase Integrin linked kinase associated serine/threonine phosphatase 2C Integrin linked kinase associated serine/threonine phosphatase Integrin-linked kinase-associated serine/threonine phosphatase 2C MGC4846 PP2C DELTA Protein phosphatase 2c delta isozyme
Images
HA751108_1.jpg Fig1: Western blot analysis of ILKAP on different lysates with Rabbit anti-ILKAP antibody (HA751108) at 1/1,000 dilution and competitor's antibody at 1/1,000 dilution.

Lane 1: 293T cell lysate (20 µg/Lane)
Lane 2: HeLa cell lysate (20 µg/Lane)
Lane 3: MCF7 cell lysate (20 µg/Lane)
Lane 4: HepG2 cell lysate (20 µg/Lane)
Lane 5: NIH/3T3 cell lysate (20 µg/Lane)
Lane 6: RAW264.7 cell lysate (20 µg/Lane)
Lane 7: Mouse brain tissue lysate (40 µg/Lane)
Lane 8: Mouse lung tissue lysate (40 µg/Lane)
Lane 9: Mouse spleen tissue lysate (40 µg/Lane)
Lane 10: Rat brain tissue lysate (40 µg/Lane)

Predicted band size: 43 kDa
Observed band size: 49 kDa

Exposure time: 15 seconds; ECL: K1801;
4-20% SDS-PAGE gel.

Proteins were transferred to a PVDF membrane and blocked with 5% NFDM/TBST for 1 hour at room temperature. The primary antibody (HA751108) at 1/1,000 dilution and competitor's antibody at 1/1,000 dilution were used in 5% NFDM/TBST at 4℃ overnight. Goat Anti-Rabbit IgG - HRP Secondary Antibody (HA1001) at 1/50,000 dilution was used for 1 hour at room temperature.
HA751108_2.jpg Fig2: Immunocytochemistry analysis of HeLa cells labeling ILKAP with Rabbit anti-ILKAP antibody (HA751108) at 1/100 dilution.

Cells were fixed in 4% paraformaldehyde for 20 minutes at room temperature, permeabilized with 0.1% Triton X-100 in PBS for 5 minutes at room temperature, then blocked with 1% BSA in 10% negative goat serum for 1 hour at room temperature. Cells were then incubated with Rabbit anti-ILKAP antibody (HA751108) at 1/100 dilution in 1% BSA in PBST overnight at 4 ℃. Goat Anti-Rabbit IgG H&L (iFluor™ 488, HA1121) was used as the secondary antibody at 1/1,000 dilution. PBS instead of the primary antibody was used as the secondary antibody only control. Nuclear DNA was labelled in blue with DAPI.

Beta tubulin (M1305-2, red) was stained at 1/100 dilution overnight at +4℃. Goat Anti-Mouse IgG H&L (iFluor™ 594, HA1126) was used as the secondary antibody at 1/1,000 dilution.
HA751108_3.jpg Fig3: Immunocytochemistry analysis of NIH/3T3 cells labeling ILKAP with Rabbit anti-ILKAP antibody (HA751108) at 1/100 dilution.

Cells were fixed in 4% paraformaldehyde for 20 minutes at room temperature, permeabilized with 0.1% Triton X-100 in PBS for 5 minutes at room temperature, then blocked with 1% BSA in 10% negative goat serum for 1 hour at room temperature. Cells were then incubated with Rabbit anti-ILKAP antibody (HA751108) at 1/100 dilution in 1% BSA in PBST overnight at 4 ℃. Goat Anti-Rabbit IgG H&L (iFluor™ 488, HA1121) was used as the secondary antibody at 1/1,000 dilution. PBS instead of the primary antibody was used as the secondary antibody only control. Nuclear DNA was labelled in blue with DAPI.

Beta tubulin (M1305-2, red) was stained at 1/100 dilution overnight at +4℃. Goat Anti-Mouse IgG H&L (iFluor™ 594, HA1126) was used as the secondary antibody at 1/1,000 dilution.
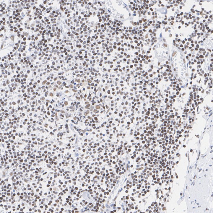
HA751108_4.jpg Fig4: Immunohistochemical analysis of paraffin-embedded human lymph node tissue with Rabbit anti-ILKAP antibody (HA751108) at 1/200 dilution.

The section was pre-treated using heat mediated antigen retrieval with sodium citrate buffer (pH 6.0) (high pressure) for 2 minutes. The tissues were blocked in 1% BSA for 20 minutes at room temperature, washed with ddH2O and PBS, and then probed with the primary antibody (HA751108) at 1/200 dilution for 1 hour at room temperature. The detection was performed using an HRP conjugated compact polymer system. DAB was used as the chromogen. Tissues were counterstained with hematoxylin and mounted with DPX.
HA751108_5.jpg Fig5: Immunohistochemical analysis of paraffin-embedded human stomach tissue with Rabbit anti-ILKAP antibody (HA751108) at 1/1,000 dilution.

The section was pre-treated using heat mediated antigen retrieval with sodium citrate buffer (pH 6.0) (high pressure) for 2 minutes. The tissues were blocked in 1% BSA for 20 minutes at room temperature, washed with ddH2O and PBS, and then probed with the primary antibody (HA751108) at 1/1,000 dilution for 1 hour at room temperature. The detection was performed using an HRP conjugated compact polymer system. DAB was used as the chromogen. Tissues were counterstained with hematoxylin and mounted with DPX.
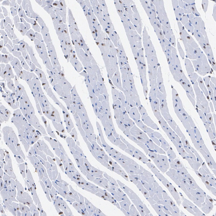
HA751108_6.jpg Fig6: Immunohistochemical analysis of paraffin-embedded mouse heart tissue with Rabbit anti-ILKAP antibody (HA751108) at 1/200 dilution.

The section was pre-treated using heat mediated antigen retrieval with sodium citrate buffer (pH 6.0) (high pressure) for 2 minutes. The tissues were blocked in 1% BSA for 20 minutes at room temperature, washed with ddH2O and PBS, and then probed with the primary antibody (HA751108) at 1/200 dilution for 1 hour at room temperature. The detection was performed using an HRP conjugated compact polymer system. DAB was used as the chromogen. Tissues were counterstained with hematoxylin and mounted with DPX.
HA751108_7.jpg Fig7: Immunohistochemical analysis of paraffin-embedded mouse stomach tissue with Rabbit anti-ILKAP antibody (HA751108) at 1/200 dilution.

The section was pre-treated using heat mediated antigen retrieval with sodium citrate buffer (pH 6.0) (high pressure) for 2 minutes. The tissues were blocked in 1% BSA for 20 minutes at room temperature, washed with ddH2O and PBS, and then probed with the primary antibody (HA751108) at 1/200 dilution for 1 hour at room temperature. The detection was performed using an HRP conjugated compact polymer system. DAB was used as the chromogen. Tissues were counterstained with hematoxylin and mounted with DPX.
HA751108_8.jpg Fig8: ILKAP was immunoprecipitated from 0.2 mg HeLa cell lysate with HA751108 at 2 µg/10 µl beads. Western blot was performed from the immunoprecipitate using HA751108 at 1/1,000 dilution. Anti-Rabbit IgG for IP Nano-secondary antibody (NBI01H) at 1/5,000 dilution was used for 1 hour at room temperature.

Lane 1: HeLa cell lysate (input)
Lane 2: HA751108 IP in HeLa cell lysate
Lane 3: Rabbit IgG instead of HA751108 in HeLa cell lysate

Blocking/Dilution buffer: 5% NFDM/TBST
Exposure time: 3 minutes; ECL: K1801
HA751108_9.jpg Fig9: Flow cytometric analysis of NIH/3T3 cells labeling ILKAP.

Cells were fixed and permeabilized. Then stained with the primary antibody (HA751108, 1/1,000) (red) compared with Rabbit IgG Isotype Control (green). After incubation of the primary antibody at +4℃ for an hour, the cells were stained with a iFluor™ 488 conjugate-Goat anti-Rabbit IgG Secondary antibody (HA1121) at 1/1,000 dilution for 30 minutes at +4℃. Unlabelled sample was used as a control (cells without incubation with primary antibody; black).
Note: All products are “FOR RESEARCH USE ONLY AND ARE NOT INTENDED FOR DIAGNOSTIC OR THERAPEUTIC USE”.