SLC16A3 / MCT 4 Recombinant Rabbit Monoclonal Antibody [PSH06-91]
cat.: HA751115
Product Type: Recombinant Rabbit monoclonal IgG, primary antibodies
Species reactivity: Human, Monkey
Applications: WB, IF-Cell, IHC-P, FC
Clonality: Monoclonal
Clone number: PSH06-91
Form: Liquid
Storage condition: Store at +4℃ after thawing. Aliquot store at -20℃. Avoid repeated freeze / thaw cycles.
Storage buffer: 1*PBS (pH7.4).
Concentration: 1ug/ul
Purification: Protein A affinity purified.
Molecular weight: Predicted band size: 50 kDa
Isotype: IgG
Immunogen: Recombinant protein within human SLC16A3 aa 385-465.
Positive control: HeLa cell lysate, HepG2 cell lysate, HCT 116 cell lysate, NCI-H441 cell lysate, COS-1 cell lysate, HeLa, human placenta tissue, human rectum tissue, human skeletal muscle tissue.
Subcellular location: Cell membrane, Basolateral cell membrane.
Recommended Dilutions:
  WB
  IF-Cell
  IHC-P
  FC

1:20,000
1:100
1:1,000
1:1,000
Uniprot #: SwissProt: O15427 Human
Alternative names: MCT 4 MCT3 MCT4 Monocarboxylate transporter 3 Monocarboxylate transporter 4 MOT4_HUMAN SLC16A3 Solute carrier family 16 member 3
Images
HA751115_1.jpg Fig1: Western blot analysis of SLC16A3 / MCT 4 on different lysates with Rabbit anti-SLC16A3 / MCT 4 antibody (HA751115) at 1/20,000 dilution.

Lane 1: HeLa cell lysate
Lane 2: HepG2 cell lysate
Lane 3: K-562 cell lysate (negative)
Lane 4: HCT 116 cell lysate
Lane 5: NCI-H441 cell lysate
Lane 6: COS-1 cell lysate

Lysates/proteins at 20 µg/Lane.

Predicted band size: 50 kDa
Observed band size: 40 kDa

Exposure time: 6 seconds; ECL: K1801;

4-20% SDS-PAGE gel.

Proteins were transferred to a PVDF membrane and blocked with 5% NFDM/TBST for 1 hour at room temperature. The primary antibody (HA751115) at 1/20,000 dilution was used in 5% NFDM/TBST at 4℃ overnight. Goat Anti-Rabbit IgG - HRP Secondary Antibody (HA1001) at 1/50,000 dilution was used for 1 hour at room temperature.
HA751115_2.jpg Fig2: Immunocytochemistry analysis of HeLa cells labeling SLC16A3 / MCT 4 with Rabbit anti-SLC16A3 / MCT 4 antibody (HA751115) at 1/100 dilution.

Cells were fixed in 4% paraformaldehyde for 20 minutes at room temperature, permeabilized with 0.1% Triton X-100 in PBS for 5 minutes at room temperature, then blocked with 1% BSA in 10% negative goat serum for 1 hour at room temperature. Cells were then incubated with Rabbit anti-SLC16A3 / MCT 4 antibody (HA751115) at 1/100 dilution in 1% BSA in PBST overnight at 4 ℃. Goat Anti-Rabbit IgG H&L (iFluor™ 488, HA1121) was used as the secondary antibody at 1/1,000 dilution. PBS instead of the primary antibody was used as the secondary antibody only control. Nuclear DNA was labelled in blue with DAPI.

Beta tubulin (M1305-2, red) was stained at 1/100 dilution overnight at +4℃. Goat Anti-Mouse IgG H&L (iFluor™ 594, HA1126) was used as the secondary antibody at 1/1,000 dilution.
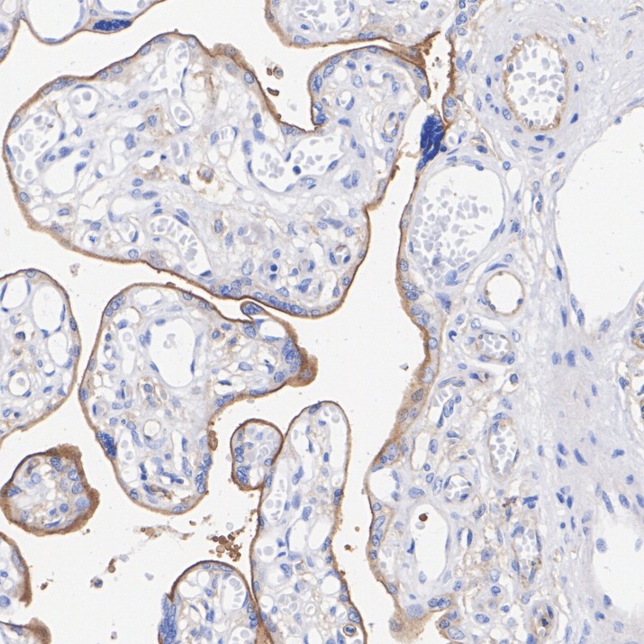
HA751115_3.jpg Fig3: Immunohistochemical analysis of paraffin-embedded human placenta tissue with Rabbit anti-SLC16A3 / MCT 4 antibody (HA751115) at 1/1,000 dilution.

The section was pre-treated using heat mediated antigen retrieval with Tris-EDTA buffer (pH 9.0) for 20 minutes. The tissues were blocked in 1% BSA for 20 minutes at room temperature, washed with ddH2O and PBS, and then probed with the primary antibody (HA751115) at 1/1,000 dilution for 1 hour at room temperature. The detection was performed using an HRP conjugated compact polymer system. DAB was used as the chromogen. Tissues were counterstained with hematoxylin and mounted with DPX.
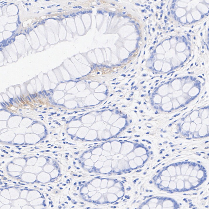
HA751115_4.jpg Fig4: Immunohistochemical analysis of paraffin-embedded human rectum tissue with Rabbit anti-SLC16A3 / MCT 4 antibody (HA751115) at 1/1,000 dilution.

The section was pre-treated using heat mediated antigen retrieval with Tris-EDTA buffer (pH 9.0) for 20 minutes. The tissues were blocked in 1% BSA for 20 minutes at room temperature, washed with ddH2O and PBS, and then probed with the primary antibody (HA751115) at 1/1,000 dilution for 1 hour at room temperature. The detection was performed using an HRP conjugated compact polymer system. DAB was used as the chromogen. Tissues were counterstained with hematoxylin and mounted with DPX.
HA751115_5.jpg Fig5: Immunohistochemical analysis of paraffin-embedded human skeletal muscle tissue with Rabbit anti-SLC16A3 / MCT 4 antibody (HA751115) at 1/1,000 dilution.

The section was pre-treated using heat mediated antigen retrieval with Tris-EDTA buffer (pH 9.0) for 20 minutes. The tissues were blocked in 1% BSA for 20 minutes at room temperature, washed with ddH2O and PBS, and then probed with the primary antibody (HA751115) at 1/1,000 dilution for 1 hour at room temperature. The detection was performed using an HRP conjugated compact polymer system. DAB was used as the chromogen. Tissues were counterstained with hematoxylin and mounted with DPX.
HA751115_6.jpg Fig6: Flow cytometric analysis of HeLa cells labeling SLC16A3 / MCT 4.

Cells were fixed and permeabilized. Then stained with the primary antibody (HA751115, 1/1,000) (red) compared with Rabbit IgG Isotype Control (green). After incubation of the primary antibody at +4℃ for an hour, the cells were stained with a iFluor™ 488 conjugate-Goat anti-Rabbit IgG Secondary antibody (HA1121) at 1/1,000 dilution for 30 minutes at +4℃. Unlabelled sample was used as a control (cells without incubation with primary antibody; black).
Note: All products are “FOR RESEARCH USE ONLY AND ARE NOT INTENDED FOR DIAGNOSTIC OR THERAPEUTIC USE”.