FOLR1 Recombinant Rabbit Monoclonal Antibody [PSH06-93]
cat.: HA751117
Product Type: Recombinant Rabbit monoclonal IgG, primary antibodies
Species reactivity: Human
Applications: WB, IHC-P, FC
Clonality: Monoclonal
Clone number: PSH06-93
Form: Liquid
Storage condition: Store at +4℃ after thawing. Aliquot store at -20℃. Avoid repeated freeze / thaw cycles.
Storage buffer: 1*PBS (pH7.4).
Concentration: 1ug/ul
Purification: Protein A affinity purified.
Molecular weight: Predicted band size: 30 kDa
Isotype: IgG
Immunogen: Recombinant protein within human FOLR1 aa 25-257.
Positive control: HeLa cell lysate, JAR cell lysate, human ovary cancer tissue, HeLa.
Subcellular location: Cell membrane, Apical cell membrane, Basolateral cell membrane, Secreted, Cytoplasmic vesicle, clathrin-coated vesicle, Endosome.
Recommended Dilutions:
  WB
  IHC-P
  FC

1:2,000
1:200
1:1,000
Uniprot #: SwissProt: P15328 Human
Alternative names: adult Adult folate binding protein Adult folate-binding protein FBP Folate Binding Protein Folate Receptor 1 Adult Folate receptor 1 Folate Receptor 1 Precursor Folate receptor adult Folate receptor alpha Folate receptor FOLR FOLR1 FOLR1_HUMAN FR alpha FR-alpha FRalpha KB cells FBP MOV18 Ovarian cancer associated antigen Ovarian tumor associated antigen Ovarian tumor associated antigen MOv18 Ovarian tumor-associated antigen MOv18
Images
HA751117_1.jpg Fig1: Western blot analysis of FOLR1 on different lysates with Rabbit anti-FOLR1 antibody (HA751117) at 1/2,000 dilution.

Lane 1: HeLa cell lysate
Lane 2: MDA-MB-231 cell lysate (negative)
Lane 3: JAR cell lysate

Lysates/proteins at 20 µg/Lane.

Predicted band size: 30 kDa
Observed band size: 38 kDa

Exposure time: 1 minute; ECL: K1801;

4-20% SDS-PAGE gel.

Proteins were transferred to a PVDF membrane and blocked with 5% NFDM/TBST for 1 hour at room temperature. The primary antibody (HA751117) at 1/2,000 dilution was used in 5% NFDM/TBST at 4℃ overnight. Goat Anti-Rabbit IgG - HRP Secondary Antibody (HA1001) at 1/50,000 dilution was used for 1 hour at room temperature.
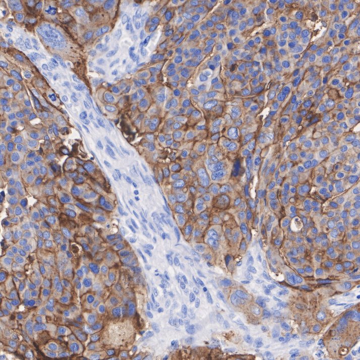
HA751117_2.jpg Fig2: Immunohistochemical analysis of paraffin-embedded human ovary cancer tissue with Rabbit anti-FOLR1 antibody (HA751117) at 1/200 dilution.

The section was pre-treated using heat mediated antigen retrieval with Tris-EDTA buffer (pH 9.0) for 20 minutes. The tissues were blocked in 1% BSA for 20 minutes at room temperature, washed with ddH2O and PBS, and then probed with the primary antibody (HA751117) at 1/200 dilution for 1 hour at room temperature. The detection was performed using an HRP conjugated compact polymer system. DAB was used as the chromogen. Tissues were counterstained with hematoxylin and mounted with DPX.
HA751117_3.jpg Fig3: Flow cytometric analysis of MDA-MB-231 (left, negative) and HeLa (right, positive) cells labeling FOLR1.

Cells were fixed and permeabilized. Then stained with the primary antibody (HA751117, 1/1,000) (red) compared with Rabbit IgG Isotype Control (green). After incubation of the primary antibody at +4℃ for an hour, the cells were stained with a iFluor™ 488 conjugate-Goat anti-Rabbit IgG Secondary antibody (HA1121) at 1/1,000 dilution for 30 minutes at +4℃. Unlabelled sample was used as a control (cells without incubation with primary antibody; black).
Note: All products are “FOR RESEARCH USE ONLY AND ARE NOT INTENDED FOR DIAGNOSTIC OR THERAPEUTIC USE”.