Phospho-IKB alpha (S32/S36) Recombinant Rabbit Monoclonal Antibody [PSH06-76]
cat.: HA751119
Product Type: Recombinant Rabbit monoclonal IgG, primary antibodies
Species reactivity: Human, Mouse, Rat
Applications: WB, IHC-P, IF-Cell
Clonality: Monoclonal
Clone number: PSH06-76
Form: Liquid
Storage condition: Store at +4℃ after thawing. Aliquot store at -20℃. Avoid repeated freeze / thaw cycles.
Storage buffer: 1*PBS (pH7.4).
Concentration: 1ug/ul
Purification: Protein A affinity purified.
Molecular weight: Predicted band size: 36 kDa
Isotype: IgG
Immunogen: Synthetic phospho-peptide corresponding to residues surrounding Ser32/Ser36 of human IKB alpha aa 1-50.
Positive control: HeLa treated with 20ng/mL TNF-α and 100nM Calyculin A for 10 minutes cell lysate, NIH/3T3 treated with 20ng/mL TNF-α and 100nM Calyculin A for 10 minutes cell lysate, C6 treated with 100ng/mL Calyculin A for 1 hours cell lysate, human breast cancer tissue, HeLa cells treated with 20ng/mL TNF-α and 100nM Calyculin A for 10 minutes, NIH/3T3 cells treated with 20ng/mL TNF-α and 100nM Calyculin A for 10 minutes.
Subcellular location: Cytoplasm, Nucleus.
Recommended Dilutions:
  WB
  IHC-P
  IF-Cell

1:5,000
1:200
1:100-1:1,000
Uniprot #: SwissProt: P25963 Human | Q9Z1E3 Mouse | Q63746 Rat
Alternative names: I kappa B alpha I-kappa-B-alpha IkappaBalpha IkB-alpha IKBA IKBA_HUMAN IKBalpha MAD 3 MAD3 Major histocompatibility complex enhancer-binding protein MAD3 NF kappa B inhibitor alpha NF-kappa-B inhibitor alpha NFKBI NFKBIA Nuclear factor of kappa light chain gene enhancer in B cells Nuclear factor of kappa light polypeptide gene enhancer in B cells inhibitor alpha
Images
HA751119_1.jpg Fig1: Western blot analysis of Phospho-IKB alpha (S32/S36) on different lysates with Rabbit anti-Phospho-IKB alpha (S32/S36) antibody (HA751119) at 1/5,000 dilution.

Lane 1: HeLa cell lysate
Lane 2: HeLa treated with 20ng/mL TNF-α and 100nM Calyculin A for 10 minutes cell lysate
Lane 3: NIH/3T3 cell lysate
Lane 4: NIH/3T3 treated with 20ng/mL TNF-α and 100nM Calyculin A for 10 minutes cell lysate
Lane 5: C6 cell lysate
Lane 6: C6 treated with 100ng/mL Calyculin A for 1 hours cell lysate

Lysates/proteins at 20 µg/Lane.

Predicted band size: 36 kDa
Observed band size: 36 kDa

Exposure time: 3 minutes; ECL: K1801;

4-20% SDS-PAGE gel.

Proteins were transferred to a PVDF membrane and blocked with 5% NFDM/TBST for 1 hour at room temperature. The primary antibody (HA751119) at 1/5,000 dilution was used in 5% NFDM/TBST at 4℃ overnight. Goat Anti-Rabbit IgG - HRP Secondary Antibody (HA1001) at 1/50,000 dilution was used for 1 hour at room temperature.
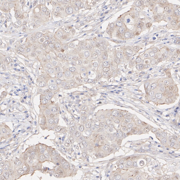
HA751119_2.jpg Fig2: Immunohistochemical analysis of paraffin-embedded human breast cancer tissue with Rabbit anti-Phospho-IKB alpha (S32/S36) antibody (HA751119) at 1/200 dilution.

The section was pre-treated using heat mediated antigen retrieval with sodium citrate buffer (pH 6.0) (high pressure) for 2 minutes. The tissues were blocked in 1% BSA for 20 minutes at room temperature, washed with ddH2O and PBS, and then probed with the primary antibody (HA751119) at 1/200 dilution for 1 hour at room temperature. The detection was performed using an HRP conjugated compact polymer system. DAB was used as the chromogen. Tissues were counterstained with hematoxylin and mounted with DPX.
HA751119_3.jpg Fig3: Immunocytochemistry analysis of HeLa cells treated with 20ng/mL TNF-α and 100nM Calyculin A for 10 minutes labeling Phospho-IKB alpha (S32/S36) with Rabbit anti-Phospho-IKB alpha (S32/S36) antibody (HA751119) at 1/1,000 dilution.

Cells were fixed in 4% paraformaldehyde for 20 minutes at room temperature, permeabilized with 0.1% Triton X-100 in PBS for 5 minutes at room temperature, then blocked with 1% BSA in 10% negative goat serum for 1 hour at room temperature. Cells were then incubated with Rabbit anti-Phospho-IKB alpha (S32/S36) antibody (HA751119) at 1/1,000 dilution in 1% BSA in PBST overnight at 4 ℃. Goat Anti-Rabbit IgG H&L (iFluor™ 488, HA1121) was used as the secondary antibody at 1/1,000 dilution. PBS instead of the primary antibody was used as the secondary antibody only control. Nuclear DNA was labelled in blue with DAPI.

Beta tubulin (M1305-2, red) was stained at 1/100 dilution overnight at +4℃. Goat Anti-Mouse IgG H&L (iFluor™ 594, HA1126) was used as the secondary antibody at 1/1,000 dilution.
HA751119_4.jpg Fig4: Immunocytochemistry analysis of NIH/3T3 cells treated with 20ng/mL TNF-α and 100nM Calyculin A for 10 minutes labeling Phospho-IKB alpha (S32/S36) with Rabbit anti-Phospho-IKB alpha (S32/S36) antibody (HA751119) at 1/100 dilution.

Cells were fixed in 4% paraformaldehyde for 20 minutes at room temperature, permeabilized with 0.1% Triton X-100 in PBS for 5 minutes at room temperature, then blocked with 1% BSA in 10% negative goat serum for 1 hour at room temperature. Cells were then incubated with Rabbit anti-Phospho-IKB alpha (S32/S36) antibody (HA751119) at 1/100 dilution in 1% BSA in PBST overnight at 4 ℃. Goat Anti-Rabbit IgG H&L (iFluor™ 488, HA1121) was used as the secondary antibody at 1/1,000 dilution. PBS instead of the primary antibody was used as the secondary antibody only control. Nuclear DNA was labelled in blue with DAPI.

Beta tubulin (M1305-2, red) was stained at 1/100 dilution overnight at +4℃. Goat Anti-Mouse IgG H&L (iFluor™ 594, HA1126) was used as the secondary antibody at 1/1,000 dilution.
Note: All products are “FOR RESEARCH USE ONLY AND ARE NOT INTENDED FOR DIAGNOSTIC OR THERAPEUTIC USE”.