Phospho-IRF3 (S396) Recombinant Rabbit Monoclonal Antibody [PSH06-75]
cat.: HA751121
Product Type: Recombinant Rabbit monoclonal IgG, primary antibodies
Species reactivity: Human, Mouse, Rat
Applications: WB, IHC-P, IF-Cell, FC
Clonality: Monoclonal
Clone number: PSH06-75
Form: Liquid
Storage condition: Store at +4℃ after thawing. Aliquot store at -20℃. Avoid repeated freeze / thaw cycles.
Storage buffer: 1*PBS (pH7.4).
Concentration: 1ug/ul
Purification: Protein A affinity purified.
Molecular weight: Predicted band size: 47 kDa
Isotype: IgG
Immunogen: Synthetic phospho-peptide corresponding to residues surrounding Ser396 of human IRF3.
Positive control: HT-29 transfected with 2.5μg/mL Poly(I:C) for 6 hours cell lysate, J774A.1 transfected with 2.5μg/mL Poly(I:C) for 6 hours cell lysate, human testis tissue, HT-29 cells transfected with 2.5μg/mL Poly(I:C) for 6 hours.
Subcellular location: Cytoplasm, Nucleus, Mitochondrion.
Recommended Dilutions:
  WB
  IHC-P
  IF-Cell
  FC

1:1,000
1:200
1:100
1:1,000
Uniprot #: SwissProt: Q14653 Human | P70671 Mouse
Entrez Gene: 292892 Rat
Alternative names: IIAE7 Interferon regulatory factor 3 IRF 3 IRF-3 IRF3 IRF3_HUMAN MGC94729
Images
HA751121_1.jpg Fig1: Western blot analysis of Phospho-IRF3 (S396) on different lysates with Rabbit anti-Phospho-IRF3 (S396) antibody (HA751121) at 1/1,000 dilution.

Lane 1: HT-29 untransfected cell lysate
Lane 2: HT-29 transfected with 2.5μg/mL Poly(I:C) for 6 hours cell lysate
Lane 3: J774A.1 untransfected cell lysate
Lane 4: J774A.1 transfected with 2.5μg/mL Poly(I:C) for 6 hours cell lysate
Lane 5: HT-29 transfected with 2.5μg/mL Poly(I:C) for 6 hours cell lysate, then the membrane treated with λpp for 1 hour

Lysates/proteins at 20 µg/Lane.

Predicted band size: 47 kDa
Observed band size: 47-55 kDa

Exposure time: 12 seconds; ECL: K1801;

4-20% SDS-PAGE gel.

Proteins were transferred to a PVDF membrane and blocked with 5% NFDM/TBST for 1 hour at room temperature. The primary antibody (HA751121) at 1/1,000 dilution was used in 5% NFDM/TBST at 4℃ overnight. Goat Anti-Rabbit IgG - HRP Secondary Antibody (HA1001) at 1/50,000 dilution was used for 1 hour at room temperature.
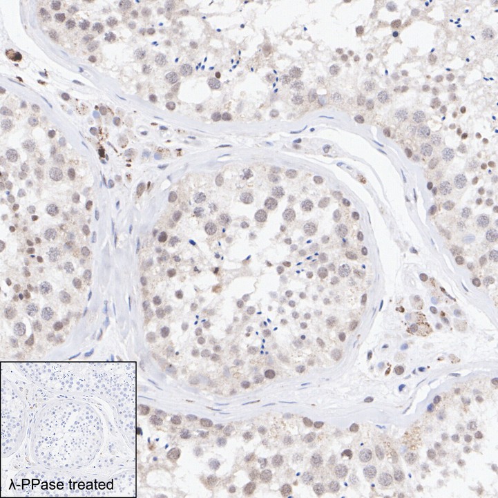
HA751121_2.jpg Fig2: Immunohistochemical analysis of paraffin-embedded human testis tissue untreated / treated with λpp with Rabbit anti-Phospho-IRF3 (S396) antibody (HA751121) at 1/200 dilution.

The section was pre-treated using heat mediated antigen retrieval with Tris-EDTA buffer (pH 9.0) for 20 minutes. The tissues were blocked in 1% BSA for 20 minutes at room temperature, washed with ddH2O and PBS, and then probed with the primary antibody (HA751121) at 1/200 dilution for 1 hour at room temperature. The detection was performed using an HRP conjugated compact polymer system. DAB was used as the chromogen. Tissues were counterstained with hematoxylin and mounted with DPX.
HA751121_3.jpg Fig3: Immunocytochemistry analysis of untreated HT-29 cells (top) / HT-29 cells transfected with 2.5μg/mL Poly(I:C) for 6 hours (bottom) labeling Phospho-IRF3 (S396) with Rabbit anti-Phospho-IRF3 (S396) antibody (HA751121) at 1/100 dilution.

Cells were fixed in 4% paraformaldehyde for 20 minutes at room temperature, permeabilized with 0.1% Triton X-100 in PBS for 5 minutes at room temperature, then blocked with 1% BSA in 10% negative goat serum for 1 hour at room temperature. Cells were then incubated with Rabbit anti-Phospho-IRF3 (S396) antibody (HA751121) at 1/100 dilution in 1% BSA in PBST overnight at 4 ℃. Goat Anti-Rabbit IgG H&L (iFluor™ 488, HA1121) was used as the secondary antibody at 1/1,000 dilution. PBS instead of the primary antibody was used as the secondary antibody only control. Nuclear DNA was labelled in blue with DAPI.

Beta tubulin (M1305-2, red) was stained at 1/100 dilution overnight at +4℃. Goat Anti-Mouse IgG H&L (iFluor™ 594, HA1126) was used as the secondary antibody at 1/1,000 dilution.
HA751121_4.jpg Fig4: Flow cytometric analysis of untreated HT-29 cells (top) / HT-29 cells transfected with 2.5μg/mL Poly(I:C) for 6 hours (bottom) labeling Phospho-IRF3 (S396).

Cells were fixed and permeabilized. Then stained with the primary antibody (HA751121, 1/1,000) (right) compared with Rabbit IgG Isotype Control (left). After incubation of the primary antibody at +4℃ for an hour, the cells were stained with a iFluor™ 488 conjugate-Goat anti-Rabbit IgG Secondary antibody (HA1121) at 1/1,000 dilution for 30 minutes at +4℃.
Note: All products are “FOR RESEARCH USE ONLY AND ARE NOT INTENDED FOR DIAGNOSTIC OR THERAPEUTIC USE”.