EIF3S1 / EIF3J Recombinant Rabbit Monoclonal Antibody [PSH06-97]
cat.: HA751124
Product Type: Recombinant Rabbit monoclonal IgG, primary antibodies
Species reactivity: Human, Rat, Monkey
Applications: WB, IF-Cell, IHC-P, FC
Clonality: Monoclonal
Clone number: PSH06-97
Form: Liquid
Storage condition: Store at +4℃ after thawing. Aliquot store at -20℃. Avoid repeated freeze / thaw cycles.
Storage buffer: 1*PBS (pH7.4).
Concentration: 1ug/ul
Purification: Protein A affinity purified.
Molecular weight: Predicted band size: 29 kDa
Isotype: IgG
Immunogen: Recombinant protein within human EIF3J aa 1-258.
Positive control: HEK-293 cell lysate, HepG2 cell lysate, K-562 cell lysate, A549 cell lysate, MCF7 cell lysate, Jurkat cell lysate, HeLa cell lysate, U-87 MG cell lysate, PC-12 cell lysate, C6 cell lysate, COS-1 cell lysate, PC-12, human breast cancer tissue, rat kidney tissue.
Subcellular location: Cytoplasm.
Recommended Dilutions:
  WB
  IF-Cell
  IHC-P
  FC

1:2,000
1:100
1:200-1:1,000
1:1,000
Uniprot #: SwissProt: O75822 Human | A0JPM9 Rat
Alternative names: eIF 3 alpha eIF-3-alpha eIF3 alpha eIF3 p35 eIF3j EIF3J_HUMAN EIF3S 1 EIF3S1 Eukaryotic translation initiation factor 3 subunit 1 Eukaryotic translation initiation factor 3 subunit J Eukaryotic translation initiation factor 3, subunit 1 (alpha, 35kD) Eukaryotic translation initiation factor 3, subunit 1 alpha, 35kD
Images
HA751124_1.jpg Fig1: Western blot analysis of EIF3S1 / EIF3J on different lysates with Rabbit anti-EIF3S1 / EIF3J antibody (HA751124) at 1/2,000 dilution.

Lane 1: HEK-293 cell lysate (20 µg/Lane)
Lane 2: HepG2 cell lysate (20 µg/Lane)
Lane 3: K-562 cell lysate (20 µg/Lane)
Lane 4: A549 cell lysate (20 µg/Lane)
Lane 5: MCF7 cell lysate (20 µg/Lane)
Lane 6: Jurkat cell lysate (20 µg/Lane)
Lane 7: HeLa cell lysate (20 µg/Lane)
Lane 8: U-87 MG cell lysate (20 µg/Lane)
Lane 9: PC-12 cell lysate (20 µg/Lane)
Lane 10: C6 cell lysate (20 µg/Lane)
Lane 11: COS-1 cell lysate (20 µg/Lane)

Predicted band size: 29 kDa
Observed band size: 35 kDa

Exposure time: 20 seconds; ECL: K1801;
4-20% SDS-PAGE gel.

Proteins were transferred to a PVDF membrane and blocked with 5% NFDM/TBST for 1 hour at room temperature. The primary antibody (HA751124) at 1/2,000 dilution was used in 5% NFDM/TBST at 4℃ overnight. Goat Anti-Rabbit IgG - HRP Secondary Antibody (HA1001) at 1/50,000 dilution was used for 1 hour at room temperature.
HA751124_2.jpg Fig2: Immunocytochemistry analysis of PC-12 cells labeling EIF3S1 / EIF3J with Rabbit anti-EIF3S1 / EIF3J antibody (HA751124) at 1/100 dilution.

Cells were fixed in 4% paraformaldehyde for 20 minutes at room temperature, permeabilized with 0.1% Triton X-100 in PBS for 5 minutes at room temperature, then blocked with 1% BSA in 10% negative goat serum for 1 hour at room temperature. Cells were then incubated with Rabbit anti-EIF3S1 / EIF3J antibody (HA751124) at 1/100 dilution in 1% BSA in PBST overnight at 4 ℃. Goat Anti-Rabbit IgG H&L (iFluor™ 488, HA1121) was used as the secondary antibody at 1/1,000 dilution. PBS instead of the primary antibody was used as the secondary antibody only control. Nuclear DNA was labelled in blue with DAPI.

Beta tubulin (M1305-2, red) was stained at 1/100 dilution overnight at +4℃. Goat Anti-Mouse IgG H&L (iFluor™ 594, HA1126) was used as the secondary antibody at 1/1,000 dilution.
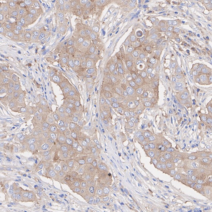
HA751124_3.jpg Fig3: Immunohistochemical analysis of paraffin-embedded human breast cancer tissue with Rabbit anti-EIF3S1 / EIF3J antibody (HA751124) at 1/200 dilution.

The section was pre-treated using heat mediated antigen retrieval with Tris-EDTA buffer (pH 9.0) for 20 minutes. The tissues were blocked in 1% BSA for 20 minutes at room temperature, washed with ddH2O and PBS, and then probed with the primary antibody (HA751124) at 1/200 dilution for 1 hour at room temperature. The detection was performed using an HRP conjugated compact polymer system. DAB was used as the chromogen. Tissues were counterstained with hematoxylin and mounted with DPX.
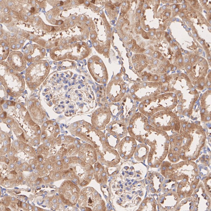
HA751124_4.jpg Fig4: Immunohistochemical analysis of paraffin-embedded rat kidney tissue with Rabbit anti-EIF3S1 / EIF3J antibody (HA751124) at 1/1,000 dilution.

The section was pre-treated using heat mediated antigen retrieval with Tris-EDTA buffer (pH 9.0) for 20 minutes. The tissues were blocked in 1% BSA for 20 minutes at room temperature, washed with ddH2O and PBS, and then probed with the primary antibody (HA751124) at 1/1,000 dilution for 1 hour at room temperature. The detection was performed using an HRP conjugated compact polymer system. DAB was used as the chromogen. Tissues were counterstained with hematoxylin and mounted with DPX.
HA751124_5.jpg Fig5: Flow cytometric analysis of PC-12 cells labeling EIF3S1 / EIF3J.

Cells were fixed and permeabilized. Then stained with the primary antibody (HA751124, 1μg/mL) (red) compared with Rabbit IgG Isotype Control (green). After incubation of the primary antibody at +4℃ for an hour, the cells were stained with a iFluor™ 488 conjugate-Goat anti-Rabbit IgG Secondary antibody (HA1121) at 1/1,000 dilution for 30 minutes at +4℃. Unlabelled sample was used as a control (cells without incubation with primary antibody; black).
Note: All products are “FOR RESEARCH USE ONLY AND ARE NOT INTENDED FOR DIAGNOSTIC OR THERAPEUTIC USE”.