RBX1 Recombinant Rabbit Monoclonal Antibody [PSH07-01]
cat.: HA751128
Product Type: Recombinant Rabbit monoclonal IgG, primary antibodies
Species reactivity: Human, Mouse, Rat
Applications: WB, IHC-P, IF-Cell, IP, IF-Tissue
Clonality: Monoclonal
Clone number: PSH07-01
Form: Liquid
Storage condition: Store at +4℃ after thawing. Aliquot store at -20℃. Avoid repeated freeze / thaw cycles.
Storage buffer: 1*PBS (pH7.4).
Concentration: 1ug/ul
Purification: Protein A affinity purified.
Molecular weight: Predicted band size: 12 kDa
Isotype: IgG
Immunogen: Synthetic peptide within human RBX1 aa 59-108.
Positive control: HeLa cell lysate, Jurkat cell lysate, HEK-293 cell lysate, HepG2 cell lysate, MCF7 cell lysate, NIH/3T3 cell lysate, RAW264.7 cell lysate, PC-12 cell lysate, C6 cell lysate, Mouse heart tissue lysate, Rat heart tissue lysate, human breast tissue, mouse breast tissue, rat breast tissue, Jurkat, NIH/3T3, PC-12.
Subcellular location: Cytoplasm, Nucleus.
Recommended Dilutions:
  WB
  IHC-P
  IF-Cell
  IP
  IF-Tissue

1:1,000
1:1,000
1:1,000
1-2μg/sample
1:200
Uniprot #: SwissProt: P62877 Human | P62878 Mouse
Entrez Gene: 300084 Rat
Alternative names: BA554C12.1 E3 ubiquitin-protein ligase RBX1 FLJ60363 MGC13357 MGC1481 OTTHUMP00000028983 Protein ZYP Rbx 1 Rbx1 RBX1_HUMAN Regulator of cullins 1 Ring box 1 Ring box 1 E3 ubiquitin protein ligase RING box protein 1 RING finger protein 75 RING finger protein RING-box protein 1 Ringbox protein 1 RNF 75 RNF75 ROC 1 ROC1 ZYP protein
Images
HA751128_1.jpg Fig1: Western blot analysis of RBX1 on different lysates with Rabbit anti-RBX1 antibody (HA751128) at 1/1,000 dilution.

Lane 1: HeLa cell lysate (20 µg/Lane)
Lane 2: Jurkat cell lysate (20 µg/Lane)
Lane 3: HEK-293 cell lysate (20 µg/Lane)
Lane 4: HepG2 cell lysate (20 µg/Lane)
Lane 5: MCF7 cell lysate (20 µg/Lane)
Lane 6: NIH/3T3 cell lysate (20 µg/Lane)
Lane 7: RAW264.7 cell lysate (20 µg/Lane)
Lane 8: PC-12 cell lysate (20 µg/Lane)
Lane 9: C6 cell lysate (20 µg/Lane)
Lane 10: Mouse heart tissue lysate (30 µg/Lane)
Lane 11: Rat heart tissue lysate (30 µg/Lane)

Predicted band size: 12 kDa
Observed band size: 16 kDa

Exposure time: 14 seconds; ECL: K1801;

4-20% SDS-PAGE gel.

Proteins were transferred to a PVDF membrane and blocked with 5% NFDM/TBST for 1 hour at room temperature. The primary antibody (HA751128) at 1/1,000 dilution was used in 5% NFDM/TBST at 4℃ overnight. Goat Anti-Rabbit IgG - HRP Secondary Antibody (HA1001) at 1/50,000 dilution was used for 1 hour at room temperature.
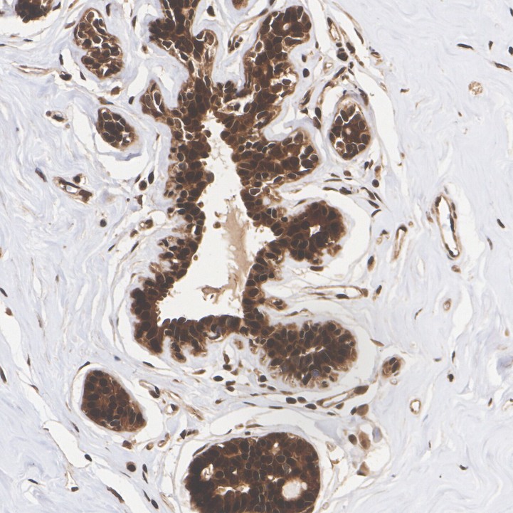
HA751128_2.jpg Fig2: Immunohistochemical analysis of paraffin-embedded human breast tissue with Rabbit anti-RBX1 antibody (HA751128) at 1/1,000 dilution.

The section was pre-treated using heat mediated antigen retrieval with Tris-EDTA buffer (pH 9.0) for 20 minutes. The tissues were blocked in 1% BSA for 20 minutes at room temperature, washed with ddH2O and PBS, and then probed with the primary antibody (HA751128) at 1/1,000 dilution for 1 hour at room temperature. The detection was performed using an HRP conjugated compact polymer system. DAB was used as the chromogen. Tissues were counterstained with hematoxylin and mounted with DPX.
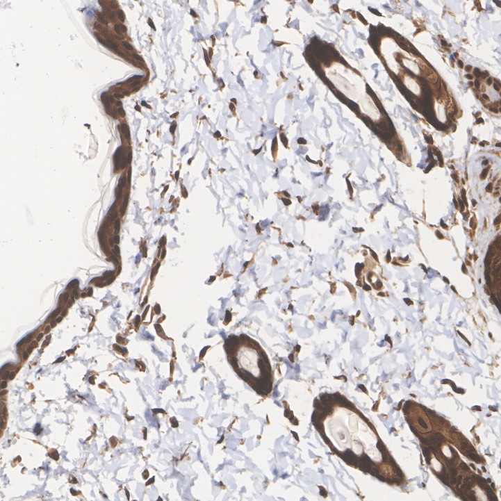
HA751128_3.jpg Fig3: Immunohistochemical analysis of paraffin-embedded mouse breast tissue with Rabbit anti-RBX1 antibody (HA751128) at 1/1,000 dilution.

The section was pre-treated using heat mediated antigen retrieval with Tris-EDTA buffer (pH 9.0) for 20 minutes. The tissues were blocked in 1% BSA for 20 minutes at room temperature, washed with ddH2O and PBS, and then probed with the primary antibody (HA751128) at 1/1,000 dilution for 1 hour at room temperature. The detection was performed using an HRP conjugated compact polymer system. DAB was used as the chromogen. Tissues were counterstained with hematoxylin and mounted with DPX.
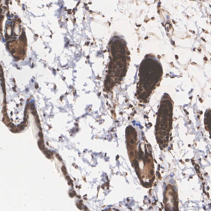
HA751128_4.jpg Fig4: Immunohistochemical analysis of paraffin-embedded rat breast tissue with Rabbit anti-RBX1 antibody (HA751128) at 1/1,000 dilution.

The section was pre-treated using heat mediated antigen retrieval with Tris-EDTA buffer (pH 9.0) for 20 minutes. The tissues were blocked in 1% BSA for 20 minutes at room temperature, washed with ddH2O and PBS, and then probed with the primary antibody (HA751128) at 1/1,000 dilution for 1 hour at room temperature. The detection was performed using an HRP conjugated compact polymer system. DAB was used as the chromogen. Tissues were counterstained with hematoxylin and mounted with DPX.
HA751128_5.jpg Fig5: Immunocytochemistry analysis of NIH/3T3 cells labeling RBX1 with Rabbit anti-RBX1 antibody (HA751128) at 1/1,000 dilution.

Cells were fixed in 4% paraformaldehyde for 20 minutes at room temperature, permeabilized with 0.1% Triton X-100 in PBS for 5 minutes at room temperature, then blocked with 1% BSA in 10% negative goat serum for 1 hour at room temperature. Cells were then incubated with Rabbit anti-RBX1 antibody (HA751128) at 1/1,000 dilution in 1% BSA in PBST overnight at 4 ℃. Goat Anti-Rabbit IgG H&L (iFluor™ 488, HA1121) was used as the secondary antibody at 1/1,000 dilution. PBS instead of the primary antibody was used as the secondary antibody only control. Nuclear DNA was labelled in blue with DAPI.

Beta tubulin (M1305-2, red) was stained at 1/100 dilution overnight at +4℃. Goat Anti-Mouse IgG H&L (iFluor™ 594, HA1126) was used as the secondary antibody at 1/1,000 dilution.
HA751128_6.jpg Fig6: Immunocytochemistry analysis of Jurkat cells labeling RBX1 with Rabbit anti-RBX1 antibody (HA751128) at 1/1,000 dilution.

Cells were fixed in 4% paraformaldehyde for 20 minutes at room temperature, permeabilized with 0.1% Triton X-100 in PBS for 5 minutes at room temperature, then blocked with 1% BSA in 10% negative goat serum for 1 hour at room temperature. Cells were then incubated with Rabbit anti-RBX1 antibody (HA751128) at 1/1,000 dilution in 1% BSA in PBST overnight at 4 ℃. Goat Anti-Rabbit IgG H&L (iFluor™ 488, HA1121) was used as the secondary antibody at 1/1,000 dilution. PBS instead of the primary antibody was used as the secondary antibody only control. Nuclear DNA was labelled in blue with DAPI.

Beta tubulin (M1305-2, red) was stained at 1/100 dilution overnight at +4℃. Goat Anti-Mouse IgG H&L (iFluor™ 594, HA1126) was used as the secondary antibody at 1/1,000 dilution.
HA751128_7.jpg Fig7: Immunocytochemistry analysis of PC-12 cells labeling RBX1 with Rabbit anti-RBX1 antibody (HA751128) at 1/1,000 dilution.

Cells were fixed in 4% paraformaldehyde for 20 minutes at room temperature, permeabilized with 0.1% Triton X-100 in PBS for 5 minutes at room temperature, then blocked with 1% BSA in 10% negative goat serum for 1 hour at room temperature. Cells were then incubated with Rabbit anti-RBX1 antibody (HA751128) at 1/1,000 dilution in 1% BSA in PBST overnight at 4 ℃. Goat Anti-Rabbit IgG H&L (iFluor™ 488, HA1121) was used as the secondary antibody at 1/1,000 dilution. PBS instead of the primary antibody was used as the secondary antibody only control. Nuclear DNA was labelled in blue with DAPI.

Beta tubulin (M1305-2, red) was stained at 1/100 dilution overnight at +4℃. Goat Anti-Mouse IgG H&L (iFluor™ 594, HA1126) was used as the secondary antibody at 1/1,000 dilution.
HA751128_8.jpg Fig8: RBX1 was immunoprecipitated from 0.2 mg HeLa cell lysate with HA751128 at 2 µg/10 µl beads. Western blot was performed from the immunoprecipitate using HA751128 at 1/1,000 dilution. Anti-Rabbit IgG for IP Nano-secondary antibody (NBI01H) at 1/5,000 dilution was used for 1 hour at room temperature.

Lane 1: HeLa cell lysate (input)
Lane 2: HA751128 IP in HeLa cell lysate
Lane 3: Rabbit IgG instead of HA751128 in HeLa cell lysate

Blocking/Dilution buffer: 5% NFDM/TBST
Exposure time: 2 minutes 22 seconds; ECL: K1801
Note: All products are “FOR RESEARCH USE ONLY AND ARE NOT INTENDED FOR DIAGNOSTIC OR THERAPEUTIC USE”.