LAMP1 Recombinant Rabbit Monoclonal Antibody [PSH07-39]
cat.: HA751160
Product Type: Recombinant Rabbit monoclonal IgG, primary antibodies
Species reactivity: Human, Mouse, Rat
Applications: WB, IHC-P, IF-Tissue, IHC-Fr, IP
Clonality: Monoclonal
Clone number: PSH07-39
Form: Liquid
Storage condition: Store at +4℃ after thawing. Aliquot store at -20℃. Avoid repeated freeze / thaw cycles.
Storage buffer: 1*PBS (pH7.4).
Concentration: 1ug/ul
Purification: Protein A affinity purified.
Molecular weight: Predicted band size: 44 kDa
Isotype: IgG
Immunogen: Synthetic peptide within mouse LAMP1 aa 371-406.
Positive control: Jurkat cell lysate, HEK-293 cell lysate, A431 cell lysate, MCF7 cell lysate, MDA-MB-231 cell lysate, HeLa cell lysate, NIH/3T3 cell lysate, C6 cell lysate, PC-12 cell lysate, human kidney tissue, mouse colon tissue, mouse kidney tissue, mouse testis tissue, rat kidney tissue.
Subcellular location: Lysosome membrane, Endosome membrane, Late endosome membrane, Cell membrane, Cytolytic granule membrane.
Recommended Dilutions:
  WB
  IHC-P
  IF-Tissue
  IHC-Fr
  IP

1:2,000-1:5,000
1:10,000
1:500-1:2,000
1:1,000
1-2μg/sample
Uniprot #: SwissProt: P11279 Human | P11438 Mouse | P14562 Rat
Alternative names: CD107 antigen like family member A CD107 antigen-like family member A CD107a CD107a antigen LAMP 1 LAMP-1 LAMP1 LAMP1_HUMAN LAMPA LGP120 lgpA Lysosomal membrane glycoprotein 120KD Lysosomal Associated Membrane Protein 1 Lysosome associated membrane glycoprotein 1 Lysosome-associated membrane glycoprotein 1 Lysosome-associated membrane protein 1 OTTHUMP00000040663
Images
HA751160_1.jpg Fig1: Western blot analysis of LAMP1 on different lysates with Rabbit anti-LAMP1 antibody (HA751160) at 1/2,000 dilution.

Lane 1: Jurkat cell lysate
Lane 2: HEK-293 cell lysate
Lane 3: A431 cell lysate
Lane 4: MCF7 cell lysate
Lane 5: MDA-MB-231 cell lysate
Lane 6: HeLa cell lysate
Lane 7: HeLa cell lysate treated with deglycosylation
Lane 8: NIH/3T3 cell lysate
Lane 9: NIH/3T3 cell lysate treated with deglycosylation

Lysates/proteins at 20 µg/Lane.

Predicted band size: 44 kDa
Observed band size: 120/44 kDa

Exposure time: 21 seconds; ECL: K1801;
4-20% SDS-PAGE gel.

Proteins were transferred to a PVDF membrane and blocked with 5% NFDM/TBST for 1 hour at room temperature. The primary antibody (HA751160) at 1/2,000 dilution was used in 5% NFDM/TBST at 4℃ overnight. Goat Anti-Rabbit IgG - HRP Secondary Antibody (HA1001) at 1/50,000 dilution was used for 1 hour at room temperature.
HA751160_2.jpg Fig2: Western blot analysis of LAMP1 on different lysates with Rabbit anti-LAMP1 antibody (HA751160) at 1/2,000 dilution.

Lane 1: NIH/3T3 cell lysate (15 µg/Lane)
Lane 2: L6 cell lysate (15 µg/Lane)
Lane 3: C6 cell lysate (15 µg/Lane)
Lane 4: PC-12 cell lysate (15 µg/Lane)

Predicted band size: 44 kDa
Observed band size: 100 kDa

Exposure time: 42 seconds; ECL: K1801;
4-20% SDS-PAGE gel.

Proteins were transferred to a PVDF membrane and blocked with 5% NFDM/TBST for 1 hour at room temperature. The primary antibody (HA751160) at 1/2,000 dilution was used in 5% NFDM/TBST at 4℃ overnight. Goat Anti-Rabbit IgG - HRP Secondary Antibody (HA1001) at 1/50,000 dilution was used for 1 hour at room temperature.
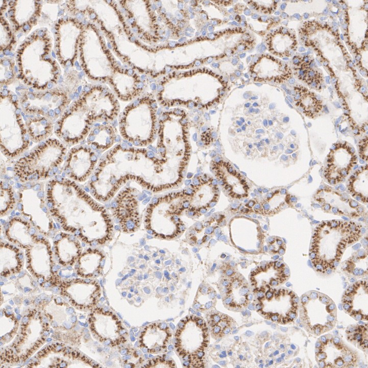
HA751160_3.jpg Fig3: Application: IHC-Fr

Species: Mouse

Site: Kidney

Sample: Frozen section

Antibody concentration: 1/1,000

Antigen retrieval: The section was pre-treated using heat mediated antigen retrieval with sodium citrate buffer (pH 6.0) for about 2 minutes in microwave oven.
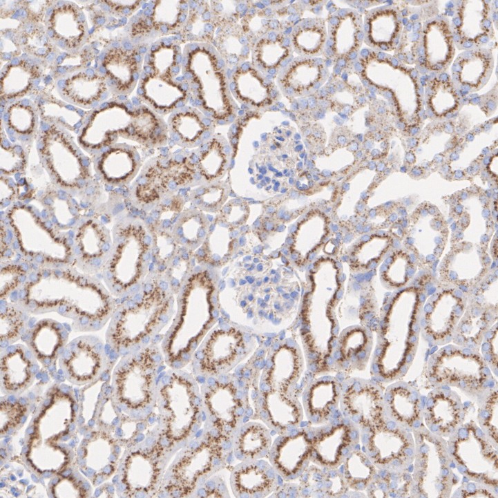
HA751160_4.jpg Fig4: Application: IHC-Fr

Species: Rat

Site: Kidney

Sample: Frozen section

Antibody concentration: 1/1,000

Antigen retrieval: The section was pre-treated using heat mediated antigen retrieval with sodium citrate buffer (pH 6.0) for about 2 minutes in microwave oven.
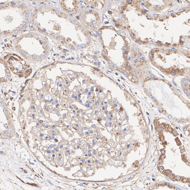
HA751160_5.jpg Fig5: Immunohistochemical analysis of paraffin-embedded human kidney tissue with Rabbit anti-LAMP1 antibody (HA751160) at 1/10,000 dilution.

The section was pre-treated using heat mediated antigen retrieval with Tris-EDTA buffer (pH 9.0) for 20 minutes. The tissues were blocked in 1% BSA for 20 minutes at room temperature, washed with ddH2O and PBS, and then probed with the primary antibody (HA751160) at 1/10,000 dilution for 1 hour at room temperature. The detection was performed using an HRP conjugated compact polymer system. DAB was used as the chromogen. Tissues were counterstained with hematoxylin and mounted with DPX.
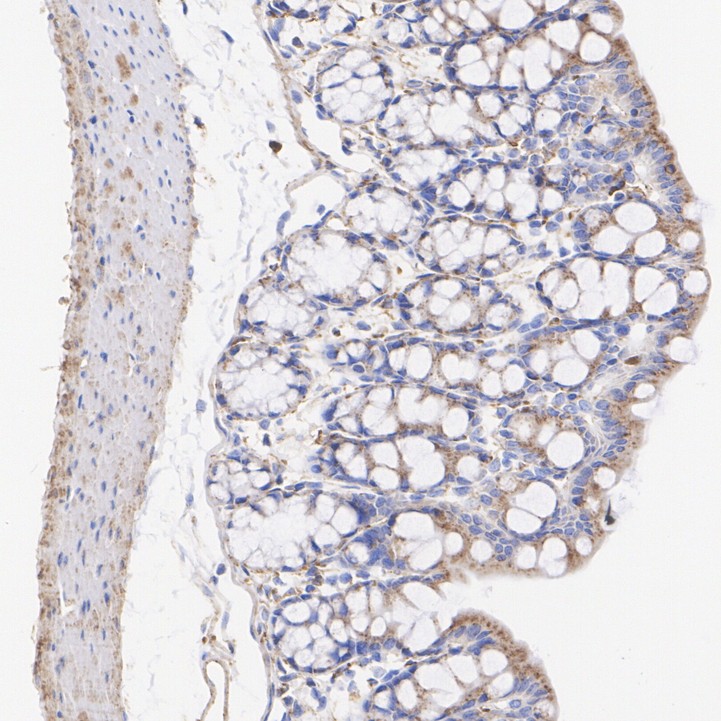
HA751160_6.jpg Fig6: Immunohistochemical analysis of paraffin-embedded mouse colon tissue with Rabbit anti-LAMP1 antibody (HA751160) at 1/10,000 dilution.

The section was pre-treated using heat mediated antigen retrieval with Tris-EDTA buffer (pH 9.0) for 20 minutes. The tissues were blocked in 1% BSA for 20 minutes at room temperature, washed with ddH2O and PBS, and then probed with the primary antibody (HA751160) at 1/10,000 dilution for 1 hour at room temperature. The detection was performed using an HRP conjugated compact polymer system. DAB was used as the chromogen. Tissues were counterstained with hematoxylin and mounted with DPX.
HA751160_7.jpg Fig7: Immunohistochemical analysis of paraffin-embedded mouse kidney tissue with Rabbit anti-LAMP1 antibody (HA751160) at 1/10,000 dilution.

The section was pre-treated using heat mediated antigen retrieval with Tris-EDTA buffer (pH 9.0) for 20 minutes. The tissues were blocked in 1% BSA for 20 minutes at room temperature, washed with ddH2O and PBS, and then probed with the primary antibody (HA751160) at 1/10,000 dilution for 1 hour at room temperature. The detection was performed using an HRP conjugated compact polymer system. DAB was used as the chromogen. Tissues were counterstained with hematoxylin and mounted with DPX.
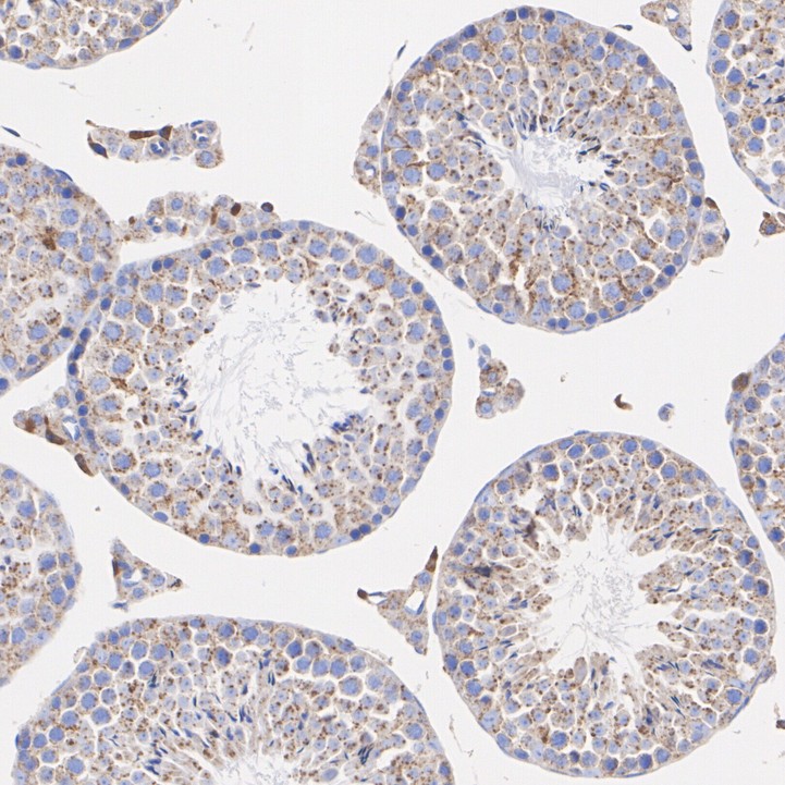
HA751160_8.jpg Fig8: Immunohistochemical analysis of paraffin-embedded mouse testis tissue with Rabbit anti-LAMP1 antibody (HA751160) at 1/10,000 dilution.

The section was pre-treated using heat mediated antigen retrieval with Tris-EDTA buffer (pH 9.0) for 20 minutes. The tissues were blocked in 1% BSA for 20 minutes at room temperature, washed with ddH2O and PBS, and then probed with the primary antibody (HA751160) at 1/10,000 dilution for 1 hour at room temperature. The detection was performed using an HRP conjugated compact polymer system. DAB was used as the chromogen. Tissues were counterstained with hematoxylin and mounted with DPX.
HA751160_9.jpg Fig9: Immunohistochemical analysis of paraffin-embedded rat kidney tissue with Rabbit anti-LAMP1 antibody (HA751160) at 1/10,000 dilution.

The section was pre-treated using heat mediated antigen retrieval with Tris-EDTA buffer (pH 9.0) for 20 minutes. The tissues were blocked in 1% BSA for 20 minutes at room temperature, washed with ddH2O and PBS, and then probed with the primary antibody (HA751160) at 1/10,000 dilution for 1 hour at room temperature. The detection was performed using an HRP conjugated compact polymer system. DAB was used as the chromogen. Tissues were counterstained with hematoxylin and mounted with DPX.
HA751160_10.jpg Fig10: LAMP1 was immunoprecipitated from 0.2 mg HeLa cell lysate with HA751160 at 2 µg/10 µl beads. Western blot was performed from the immunoprecipitate using HA751160 at 1/1,000 dilution. HRP Conjugated Anti-Rabbit IgG for IP Nano-secondary antibody at 1/5,000 dilution was used for 1 hour at room temperature.

Lane 1: HeLa cell lysate (input)
Lane 2: HA751160 IP in HeLa cell lysate
Lane 3: Rabbit IgG instead of HA751160 in HeLa cell lysate

Blocking/Dilution buffer: 5% NFDM/TBST
Exposure time: 10 seconds; ECL: K1801
Note: All products are “FOR RESEARCH USE ONLY AND ARE NOT INTENDED FOR DIAGNOSTIC OR THERAPEUTIC USE”.