MSH3 Recombinant Rabbit Monoclonal Antibody [PSH07-41]
cat.: HA751162
Product Type: Recombinant Rabbit monoclonal IgG, primary antibodies
Species reactivity: Human, Mouse, Rat
Applications: WB, IF-Cell, IHC-P
Clonality: Monoclonal
Clone number: PSH07-41
Form: Liquid
Storage condition: Store at +4℃ after thawing. Aliquot store at -20℃. Avoid repeated freeze / thaw cycles.
Storage buffer: 1*PBS (pH7.4).
Concentration: 1ug/ul
Purification: Protein A affinity purified.
Molecular weight: Predicted band size: 127 kDa
Isotype: IgG
Immunogen: Recombinant protein within human MSH3 aa 201-600.
Positive control: HUVEC cell lysate, A549 cell lysate, HeLa cell lysate, NCI-H1299 cell lysate, Jurkat cell lysate, HEK-293 cell lysate, HCT 116 cell lysate, SW480 cell lysate, HepG2 cell lysate, NIH/3T3 cell lysate, F9 cell lysate, C6 cell lysate, L6 cell lysate, Mouse testis tissue lysate, Rat testis tissue lysate, Rat colon tissue lysate, HeLa, human breast cancer tissue, human colon cancer tissue, human colon tissue, rat colon tissue.
Subcellular location: Membrane, nucleoplasm, nucleus.
Recommended Dilutions:
  WB
  IF-Cell
  IHC-P

1:1,000-1:2,000
1:100
1:200
Uniprot #: SwissProt: P20585 Human | P13705 Mouse
Entrez Gene: 499505 Rat
Alternative names: Divergent upstream protein DNA mismatch repair protein DNA mismatch repair protein Msh 3 DNA mismatch repair protein MSH3 DUC 1 DUC1 DUG DUP hMSH3 MGC163306 MGC163308 Mismatch repair protein 1 MRP 1 MRP1 MSH 3 MSH3 MSH3_HUMAN MutS homolog 3 (E. coli) MutS homolog 3
Images
HA751162_1.jpg Fig1: Western blot analysis of MSH3 on different lysates with Rabbit anti-MSH3 antibody (HA751162) at 1/2,000 dilution and competitor's antibody at 1/2,000 dilution.

Lane 1: HUVEC cell lysate (20 µg/Lane)
Lane 2: A549 cell lysate (20 µg/Lane)
Lane 3: HeLa cell lysate (20 µg/Lane)
Lane 4: NCI-H1299 cell lysate (20 µg/Lane)
Lane 5: Jurkat cell lysate (20 µg/Lane)
Lane 6: HEK-293 cell lysate (20 µg/Lane)
Lane 7: HCT 116 cell lysate (negative) (20 µg/Lane)
Lane 8: SW480 cell lysate (20 µg/Lane)
Lane 9: HepG2 cell lysate (20 µg/Lane)

Predicted band size: 127 kDa
Observed band size: 127 kDa
Exposure time: 3 minutes; ECL: K1801;
4-20% SDS-PAGE gel.

Proteins were transferred to a PVDF membrane and blocked with 5% NFDM/TBST for 1 hour at room temperature. The primary antibody (HA751162) at 1/2,000 dilution and competitor's antibody at 1/2,000 dilution were used in 5% NFDM/TBST at 4℃ overnight. Goat Anti-Rabbit IgG - HRP Secondary Antibody (HA1001) at 1/50,000 dilution was used for 1 hour at room temperature.
HA751162_2.jpg Fig2: Western blot analysis of MSH3 on different lysates with Rabbit anti-MSH3 antibody (HA751162) at 1/1,000 dilution.

Lane 1: NIH/3T3 cell lysate (20 µg/Lane)
Lane 2: F9 cell lysate (20 µg/Lane)
Lane 3: C6 cell lysate (20 µg/Lane)
Lane 4: L6 cell lysate (20 µg/Lane)
Lane 5: Mouse testis tissue lysate (40 µg/Lane)
Lane 6: Rat testis tissue lysate (40 µg/Lane)
Lane 7: Rat colon tissue lysate (40 µg/Lane)

Predicted band size: 127 kDa
Observed band size: 127 kDa
Exposure time: 59 seconds; ECL: K1801;
4-20% SDS-PAGE gel.

Proteins were transferred to a PVDF membrane and blocked with 5% NFDM/TBST for 1 hour at room temperature. The primary antibody (HA751162) at 1/1,000 dilution was used in 5% NFDM/TBST at room temperature for 2 hours. Goat Anti-Rabbit IgG - HRP Secondary Antibody (HA1001) at 1/50,000 dilution was used for 1 hour at room temperature.
HA751162_3.jpg Fig3: Immunocytochemistry analysis of HeLa cells labeling MSH3 with Rabbit anti-MSH3 antibody (HA751162) at 1/100 dilution.

Cells were fixed in 4% paraformaldehyde for 20 minutes at room temperature, permeabilized with 0.1% Triton X-100 in PBS for 5 minutes at room temperature, then blocked with 1% BSA in 10% negative goat serum for 1 hour at room temperature. Cells were then incubated with Rabbit anti-MSH3 antibody (HA751162) at 1/100 dilution in 1% BSA in PBST overnight at 4 ℃. Goat Anti-Rabbit IgG H&L (iFluor™ 488, HA1121) was used as the secondary antibody at 1/1,000 dilution. PBS instead of the primary antibody was used as the secondary antibody only control. Nuclear DNA was labelled in blue with DAPI.

Beta tubulin (M1305-2, red) was stained at 1/100 dilution overnight at +4℃. Goat Anti-Mouse IgG H&L (iFluor™ 594, HA1126) was used as the secondary antibody at 1/1,000 dilution.
HA751162_4.jpg Fig4: Immunohistochemical analysis of paraffin-embedded human breast cancer tissue with Rabbit anti-MSH3 antibody (HA751162) at 1/200 dilution.

The section was pre-treated using heat mediated antigen retrieval with sodium citrate buffer (pH 6.0) (high pressure) for 2 minutes. The tissues were blocked in 1% BSA for 20 minutes at room temperature, washed with ddH2O and PBS, and then probed with the primary antibody (HA751162) at 1/200 dilution for 1 hour at room temperature. The detection was performed using an HRP conjugated compact polymer system. DAB was used as the chromogen. Tissues were counterstained with hematoxylin and mounted with DPX.
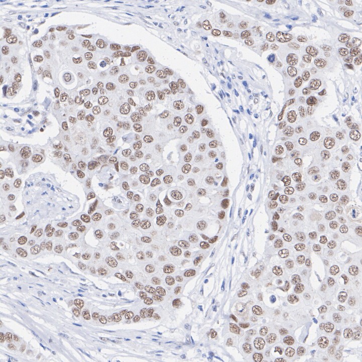
HA751162_5.jpg Fig5: Immunohistochemical analysis of paraffin-embedded human colon cancer tissue with Rabbit anti-MSH3 antibody (HA751162) at 1/200 dilution.

The section was pre-treated using heat mediated antigen retrieval with sodium citrate buffer (pH 6.0) (high pressure) for 2 minutes. The tissues were blocked in 1% BSA for 20 minutes at room temperature, washed with ddH2O and PBS, and then probed with the primary antibody (HA751162) at 1/200 dilution for 1 hour at room temperature. The detection was performed using an HRP conjugated compact polymer system. DAB was used as the chromogen. Tissues were counterstained with hematoxylin and mounted with DPX.
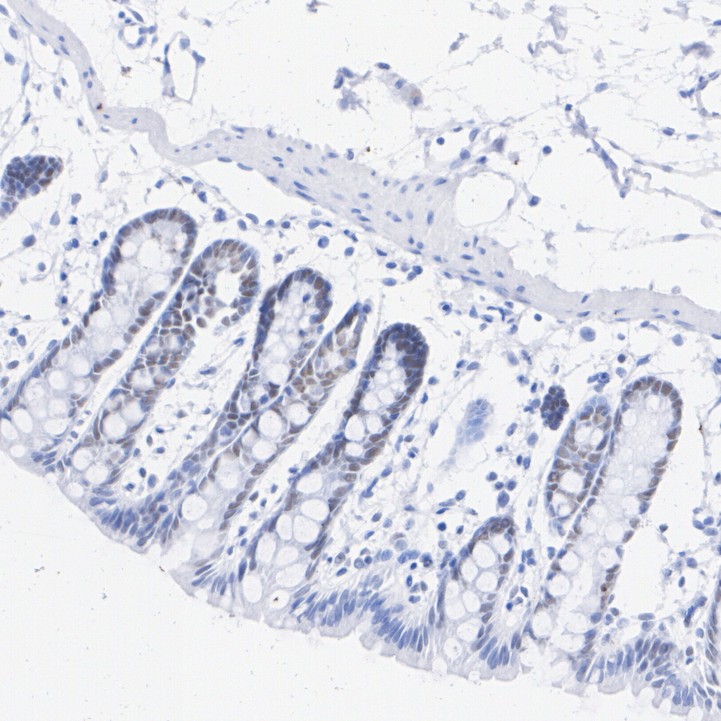
HA751162_6.jpg Fig6: Immunohistochemical analysis of paraffin-embedded human colon tissue with Rabbit anti-MSH3 antibody (HA751162) at 1/200 dilution.

The section was pre-treated using heat mediated antigen retrieval with sodium citrate buffer (pH 6.0) (high pressure) for 2 minutes. The tissues were blocked in 1% BSA for 20 minutes at room temperature, washed with ddH2O and PBS, and then probed with the primary antibody (HA751162) at 1/200 dilution for 1 hour at room temperature. The detection was performed using an HRP conjugated compact polymer system. DAB was used as the chromogen. Tissues were counterstained with hematoxylin and mounted with DPX.
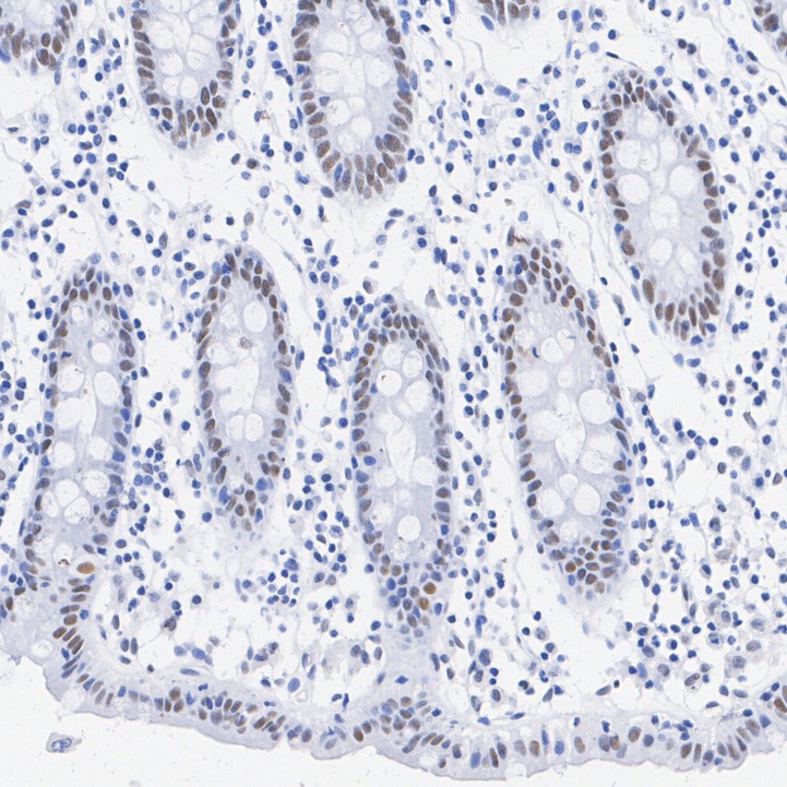
HA751162_7.jpg Fig7: Immunohistochemical analysis of paraffin-embedded rat colon tissue with Rabbit anti-MSH3 antibody (HA751162) at 1/200 dilution.

The section was pre-treated using heat mediated antigen retrieval with sodium citrate buffer (pH 6.0) (high pressure) for 2 minutes. The tissues were blocked in 1% BSA for 20 minutes at room temperature, washed with ddH2O and PBS, and then probed with the primary antibody (HA751162) at 1/200 dilution for 1 hour at room temperature. The detection was performed using an HRP conjugated compact polymer system. DAB was used as the chromogen. Tissues were counterstained with hematoxylin and mounted with DPX.
Note: All products are “FOR RESEARCH USE ONLY AND ARE NOT INTENDED FOR DIAGNOSTIC OR THERAPEUTIC USE”.