CD11c Recombinant Rabbit Monoclonal Antibody [PSH07-42]
cat.: HA751163
Product Type: Recombinant Rabbit monoclonal IgG, primary antibodies
Species reactivity: Mouse
Applications: WB, IHC-P, IHC-Fr, IF-Tissue
Clonality: Monoclonal
Clone number: PSH07-42
Form: Liquid
Storage condition: Store at +4℃ after thawing. Aliquot store at -20℃. Avoid repeated freeze / thaw cycles.
Storage buffer: 1*PBS (pH7.4).
Concentration: 1ug/ul
Purification: Protein A affinity purified.
Molecular weight: Predicted band size: 129 kDa
Isotype: IgG
Immunogen: Recombinant protein within mouse CD11c aa 616-936 / 1,169.
Positive control: RAW264.7 cell lysate, Mouse spleen tissue lysate, Mouse colon tissue lysate, AD mouse brain tissue, mouse colon tissue, mouse spleen tissue.
Subcellular location: Membrane
Recommended Dilutions:
  WB
  IHC-P
  IHC-Fr
  IF-Tissue

1:1,000
1:1,000
1:500-1:1,000
1:200
Uniprot #: SwissProt: Q9QXH4 Mouse | P20702 Human
Alternative names: 95 alpha chain 95 CD 11c CD11 antigen like family member C CD11 antigen-like family member C CD11c CD11c antigen Complement component 3 receptor 4 subunit CR4 Integrin alpha X Integrin alpha X chain Integrin alpha-X Integrin aX Integrin subunit alpha X integrin, alpha X (antigen CD11C (p150), alpha polypeptide) integrin, alpha X (complement component 3 receptor 4 subunit ITAX_HUMAN ITGAX LEU M5 alpha subunit Leu M5 Leukocyte adhesion glycoprotein p150 95 alpha chain Leukocyte adhesion glycoprotein p150 Leukocyte adhesion receptor p150 95 Leukocyte adhesion receptor p150 Leukocyte surface antigen p150 95 alpha subunit Leukocyte surface antigen p150 alpha subunit Myeloid membrane antigen alpha subunit p150 95 integrin alpha chain p150 p150/95 SLEB6
Images
HA751163_1.jpg Fig1: Western blot analysis of CD11c on different lysates with Rabbit anti-CD11c antibody (HA751163) at 1/1,000 dilution.

Lane 1: RAW264.7 cell lysate (20 µg/Lane)
Lane 2:NIH/3T3 cell lysate (negative) (20 µg/Lane)
Lane 3: C2C12 cell lysate (negative) (20 µg/Lane)
Lane 4: Mouse spleen tissue lysate (30 µg/Lane)
Lane 5: Mouse colon tissue lysate (30 µg/Lane)

Predicted band size: 129 kDa
Observed band size: 140 kDa

Exposure time: Lane1-3: 3 minutes ; Lane 4-5: 25 seconds;ECL: K1801;

4-20% SDS-PAGE gel.

Proteins were transferred to a PVDF membrane and blocked with 5% NFDM/TBST for 1 hour at room temperature. The primary antibody (HA722830) at 1/1,000 dilution was used in 5% NFDM/TBST at 4℃ overnight. Goat Anti-Rabbit IgG - HRP Secondary Antibody (HA1001) at 1/50,000 dilution was used for 1 hour at room temperature.
HA751163_2.jpg Fig2: Immunofluorescence analysis of frozen mouse colon tissue with Rabbit anti-CD11c antibody (HA751163) at 1/1,000 dilution.

The section was not undergone antigen retrieval.

The tissues were blocked in 10% negative goat serum for 1 hour at room temperature, washed with PBS, and then probed with the primary antibody (HA751163, green) at 1/1,000 dilution overnight at 4 ℃, washed with PBS. Goat Anti-Rabbit IgG H&L (iFluor™ 488, HA1121) was used as the secondary antibody at 1/1,000 dilution. Nuclei were counterstained with DAPI (blue).
HA751163_3.jpg Fig3: Immunofluorescence analysis of frozen mouse spleen tissue with Rabbit anti-CD11c antibody (HA751163) at 1/500 dilution.

The section was not undergone antigen retrieval.

The tissues were blocked in 10% negative goat serum for 1 hour at room temperature, washed with PBS, and then probed with the primary antibody (HA751163, green) at 1/500 dilution overnight at 4 ℃, washed with PBS. Goat Anti-Rabbit IgG H&L (iFluor™ 488, HA1121) was used as the secondary antibody at 1/1,000 dilution. Nuclei were counterstained with DAPI (blue).
HA751163_4.jpg Fig4: Immunohistochemical analysis of paraffin-embedded AD mouse brain tissue with Rabbit anti-CD11c antibody (HA751163) at 1/1,000 dilution.

The section was pre-treated using heat mediated antigen retrieval with Tris-EDTA buffer (pH 9.0) for 20 minutes. The tissues were blocked in 1% BSA for 20 minutes at room temperature, washed with ddH2O and PBS, and then probed with the primary antibody (HA722830) at 1/1,000 dilution for 1 hour at room temperature. The detection was performed using an HRP conjugated compact polymer system. DAB was used as the chromogen. Tissues were counterstained with hematoxylin and mounted with DPX.
HA751163_5.jpg Fig5: Immunohistochemical analysis of paraffin-embedded mouse brain tissue(negative)with Rabbit anti-CD11c antibody (HA751163) at 1/1,000 dilution.

The section was pre-treated using heat mediated antigen retrieval with Tris-EDTA buffer (pH 9.0) for 20 minutes. The tissues were blocked in 1% BSA for 20 minutes at room temperature, washed with ddH2O and PBS, and then probed with the primary antibody (HA722830) at 1/1,000 dilution for 1 hour at room temperature. The detection was performed using an HRP conjugated compact polymer system. DAB was used as the chromogen. Tissues were counterstained with hematoxylin and mounted with DPX.
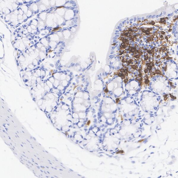
HA751163_6.jpg Fig6: Immunohistochemical analysis of paraffin-embedded mouse colon tissue with Rabbit anti-CD11c antibody (HA751163) at 1/1,000 dilution.

The section was pre-treated using heat mediated antigen retrieval with Tris-EDTA buffer (pH 9.0) for 20 minutes. The tissues were blocked in 1% BSA for 20 minutes at room temperature, washed with ddH2O and PBS, and then probed with the primary antibody (HA722830) at 1/1,000 dilution for 1 hour at room temperature. The detection was performed using an HRP conjugated compact polymer system. DAB was used as the chromogen. Tissues were counterstained with hematoxylin and mounted with DPX.
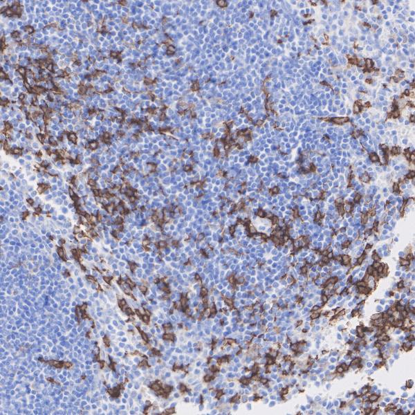
HA751163_7.jpg Fig7: Immunohistochemical analysis of paraffin-embedded mouse spleen tissue with Rabbit anti-CD11c antibody (HA751163) at 1/1,000 dilution.

The section was pre-treated using heat mediated antigen retrieval with Tris-EDTA buffer (pH 9.0) for 20 minutes. The tissues were blocked in 1% BSA for 20 minutes at room temperature, washed with ddH2O and PBS, and then probed with the primary antibody (HA722830) at 1/1,000 dilution for 1 hour at room temperature. The detection was performed using an HRP conjugated compact polymer system. DAB was used as the chromogen. Tissues were counterstained with hematoxylin and mounted with DPX.
Note: All products are “FOR RESEARCH USE ONLY AND ARE NOT INTENDED FOR DIAGNOSTIC OR THERAPEUTIC USE”.