EAAT2 Recombinant Rabbit Monoclonal Antibody [PSH07-43]
cat.: HA751164
Product Type: Recombinant Rabbit monoclonal IgG, primary antibodies
Species reactivity: Human, Mouse, Rat
Applications: WB, IHC-P, IHC-Fr
Clonality: Monoclonal
Clone number: PSH07-43
Form: Liquid
Storage condition: Store at +4℃ after thawing. Aliquot store at -20℃. Avoid repeated freeze / thaw cycles.
Storage buffer: 1*PBS (pH7.4).
Concentration: 1ug/ul
Purification: Protein A affinity purified.
Molecular weight: Predicted band size: 62 kDa
Isotype: IgG
Immunogen: Recombinant protein within human EAAT2.
Positive control: Mouse brain tissue lysate, Human brain tissue lysate, Rat brain tissue lysate, Rat cerebellum tissue lysate, human brain tissue, mouse brain tissue, rat brain tissue.
Subcellular location: Cell membrane.
Recommended Dilutions:
  WB
  IHC-P
  IHC-Fr

1:1,000
1:1,000
1:200
Uniprot #: SwissProt: P43004 Human | P43006 Mouse | P31596 Rat
Alternative names: EAA2_HUMAN EAAT2 Excitatory amino acid transporter 2 Excitotoxic amino acid transporter 2 Glial high affinity glutamate transporter GLT 1 GLT1 Glutamate aspartate transporter II Glutamate transporter 1 Glutamate/aspartate transporter II Slc1a2 Sodium dependent glutamate aspartate transporter 2 Sodium-dependent glutamate/aspartate transporter 2 solute carrier family 1 (glial high affinity glutamate transporter), member 2 Solute carrier family 1 glial high affinity glutamate transporter member 2 Solute carrier family 1 member 2
Images
HA751164_1.jpg Fig1: Western blot analysis of EAAT2 on different lysates with Rabbit anti-EAAT2 antibody (HA751164) at 1/1,000 dilution.

Lane 1: Mouse brain tissue lysate
Lane 2: Mouse brain tissue lysate (no heat)
Lane 3: Mouse kidney tissue lysate (negative)
Lane 4: Human brain tissue lysate
Lane 5: Rat brain tissue lysate
Lane 6: Rat cerebellum tissue lysate
Lane 7: Rat kidney tissue lysate (negative)

Notice: no heat means the lysate is not boiled.

Lysates/proteins at 40 µg/Lane.

Predicted band size: 62 kDa
Observed band size: 62/200 kDa

Exposure time: Lane 1-3: 46 seconds; Lane 4-7: 8 seconds; ECL: K1801;

4-20% SDS-PAGE gel.

Proteins were transferred to a PVDF membrane and blocked with 5% NFDM/TBST for 1 hour at room temperature. The primary antibody (HA751164) at 1/1,000 dilution was used in 5% NFDM/TBST at 4℃ overnight. Goat Anti-Rabbit IgG - HRP Secondary Antibody (HA1001) at 1/50,000 dilution was used for 1 hour at room temperature.
HA751164_2.jpg Fig2: Immunohistochemical analysis of paraffin-embedded human brain tissue with Rabbit anti-EAAT2 antibody (HA751164) at 1/1,000 dilution.

The section was pre-treated using heat mediated antigen retrieval with Tris-EDTA buffer (pH 9.0) for 20 minutes. The tissues were blocked in 1% BSA for 20 minutes at room temperature, washed with ddH2O and PBS, and then probed with the primary antibody (HA751164) at 1/1,000 dilution for 1 hour at room temperature. The detection was performed using an HRP conjugated compact polymer system. DAB was used as the chromogen. Tissues were counterstained with hematoxylin and mounted with DPX.
HA751164_3.jpg Fig3: Immunohistochemical analysis of paraffin-embedded mouse brain tissue with Rabbit anti-EAAT2 antibody (HA751164) at 1/1,000 dilution.

The section was pre-treated using heat mediated antigen retrieval with Tris-EDTA buffer (pH 9.0) for 20 minutes. The tissues were blocked in 1% BSA for 20 minutes at room temperature, washed with ddH2O and PBS, and then probed with the primary antibody (HA751164) at 1/1,000 dilution for 1 hour at room temperature. The detection was performed using an HRP conjugated compact polymer system. DAB was used as the chromogen. Tissues were counterstained with hematoxylin and mounted with DPX.
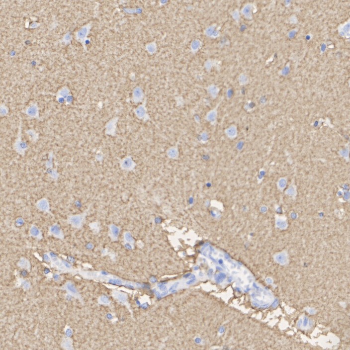
HA751164_4.jpg Fig4: Immunohistochemical analysis of paraffin-embedded rat brain tissue with Rabbit anti-EAAT2 antibody (HA751164) at 1/1,000 dilution.

The section was pre-treated using heat mediated antigen retrieval with Tris-EDTA buffer (pH 9.0) for 20 minutes. The tissues were blocked in 1% BSA for 20 minutes at room temperature, washed with ddH2O and PBS, and then probed with the primary antibody (HA751164) at 1/1,000 dilution for 1 hour at room temperature. The detection was performed using an HRP conjugated compact polymer system. DAB was used as the chromogen. Tissues were counterstained with hematoxylin and mounted with DPX.
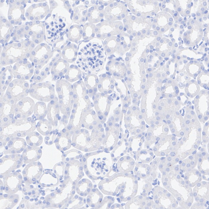
HA751164_5.jpg Fig5: Immunohistochemical analysis of paraffin-embedded mouse kidney tissue (negative) with Rabbit anti-EAAT2 antibody (HA751164) at 1/1,000 dilution.

The section was pre-treated using heat mediated antigen retrieval with Tris-EDTA buffer (pH 9.0) for 20 minutes. The tissues were blocked in 1% BSA for 20 minutes at room temperature, washed with ddH2O and PBS, and then probed with the primary antibody (HA751164) at 1/1,000 dilution for 1 hour at room temperature. The detection was performed using an HRP conjugated compact polymer system. DAB was used as the chromogen. Tissues were counterstained with hematoxylin and mounted with DPX.
HA751164_6.jpg Fig6: Immunofluorescence analysis of frozen mouse cerebellum tissue with Rabbit anti-EAAT2 antibody (HA751164) at 1/200 dilution.

The section was pre-treated using heat mediated antigen retrieval with sodium citrate buffer (pH 6.0) for about 2 minutes in microwave oven. The tissues were blocked in 10% negative goat serum for 1 hour at room temperature, washed with PBS, and then probed with the primary antibody (HA751164, green) at 1/200 dilution overnight at 4 ℃, washed with PBS. Goat Anti-Rabbit IgG H&L (iFluor™ 488, HA1121) was used as the secondary antibody at 1/1,000 dilution. Nuclei were counterstained with DAPI (blue).
Note: All products are “FOR RESEARCH USE ONLY AND ARE NOT INTENDED FOR DIAGNOSTIC OR THERAPEUTIC USE”.