LYVE1 Recombinant Rabbit Monoclonal Antibody [PSH07-67]
cat.: HA751179
Product Type: Recombinant Rabbit monoclonal IgG, primary antibodies
Species reactivity: Mouse
Applications: WB, IHC-P
Clonality: Monoclonal
Clone number: PSH07-67
Form: Liquid
Storage condition: Store at +4℃ after thawing. Aliquot store at -20℃. Avoid repeated freeze / thaw cycles.
Storage buffer: 1*PBS (pH7.4).
Concentration: 1ug/ul
Purification: Protein A affinity purified.
Molecular weight: Predicted band size: 35 kDa
Isotype: IgG
Immunogen: Recombinant protein within mouse LYVE1 aa 1-250.
Positive control: Mouse lung tissue lysate, mouse colon tissue.
Subcellular location: Membrane.
Recommended Dilutions:
  WB
  IHC-P

1:1,000
1:200
Uniprot #: SwissProt: Q8BHC0 Mouse
Alternative names: Cell surface retention sequence-binding protein 1 CRSBP 1 CRSBP-1 CRSBP1 extracellular link domain containing 1 extracellular link domain-containing 1 Extracellular link domain-containing protein 1 HAR Hyaluronic acid receptor Lymphatic endothelium specific hyaluronan receptor lymphatic vessel endothelial hyaluronan receptor 1 Lymphatic vessel endothelial hyaluronic acid receptor 1 LYVE 1 LYVE-1 LYVE1 XLKD1
Images
HA751179_1.jpg Fig1: Western blot analysis of LYVE1 on different lysates with Rabbit anti-LYVE1 antibody (HA751179) at 1/1,000 dilution.

Lane 1: Mouse lung tissue lysate
Lane 2: Mouse brain tissue lysate (negative)

Lysates/proteins at 30 µg/Lane.

Predicted band size: 35 kDa
Observed band size: 60 kDa

Exposure time: 1 minute; ECL: K1801;

4-20% SDS-PAGE gel.

Proteins were transferred to a PVDF membrane and blocked with 5% NFDM/TBST for 1 hour at room temperature. The primary antibody (HA751179) at 1/1,000 dilution was used in 5% NFDM/TBST at 4℃ overnight. Goat Anti-Rabbit IgG - HRP Secondary Antibody (HA1001) at 1/50,000 dilution was used for 1 hour at room temperature.
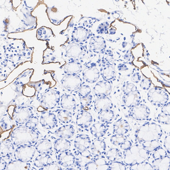
HA751179_2.jpg Fig2: Immunohistochemical analysis of paraffin-embedded mouse colon tissue with Rabbit anti-LYVE1 antibody (HA751179) at 1/200 dilution.

The section was pre-treated using heat mediated antigen retrieval with Tris-EDTA buffer (pH 9.0) for 20 minutes. The tissues were blocked in 1% BSA for 20 minutes at room temperature, washed with ddH2O and PBS, and then probed with the primary antibody (HA751179) at 1/200 dilution for 1 hour at room temperature. The detection was performed using an HRP conjugated compact polymer system. DAB was used as the chromogen. Tissues were counterstained with hematoxylin and mounted with DPX.
Note: All products are “FOR RESEARCH USE ONLY AND ARE NOT INTENDED FOR DIAGNOSTIC OR THERAPEUTIC USE”.