ASAH1 Recombinant Rabbit Monoclonal Antibody [PSH07-71]
cat.: HA751183
Product Type: Recombinant Rabbit monoclonal IgG, primary antibodies
Species reactivity: Human
Applications: WB, IHC-P
Clonality: Monoclonal
Clone number: PSH07-71
Form: Liquid
Storage condition: Store at +4℃ after thawing. Aliquot store at -20℃. Avoid repeated freeze / thaw cycles.
Storage buffer: 1*PBS (pH7.4).
Concentration: 1ug/ul
Purification: Protein A affinity purified.
Molecular weight: Predicted band size: 45 kDa
Isotype: IgG
Immunogen: Recombinant protein within human ASAH1 aa 1-395.
Positive control: SK-MEL-28 cell lysate, MDA-MB-231 cell lysate, SH-SY5Y cell lysate, human brain tissue, human kidney tissue.
Subcellular location: Lysosome, Secreted; Nucleus, Cytoplasm.
Recommended Dilutions:
  WB
  IHC-P

1:2,000
1:1,000
Uniprot #: SwissProt: Q13510 Human
Alternative names: AC ACDase Acid CDase Acid ceramidase Acid ceramidase precursor Acid ceramidase subunit beta Acylsphingosine deacylase ASAH 1 ASAH ASAH1 ASAH1_HUMAN FLJ21558 FLJ22079 N acylsphingosine amidohydrolase (acid ceramidase) 1 N acylsphingosine amidohydrolase 1 N acylsphingosine amidohydrolase N-acylsphingosine amidohydrolase N-acylsphingosine deacylase PHP PHP32 Putative 32 kDa heart protein SMAPME
Images
HA751183_1.jpg Fig1: Western blot analysis of ASAH1 on different lysates with Rabbit anti-ASAH1 antibody (HA751183) at 1/2,000 dilution.

Lane 1: SK-MEL-28 cell lysate
Lane 2: MDA-MB-231 cell lysate
Lane 3: SH-SY5Y cell lysate

Lysates/proteins at 20 µg/Lane.

Predicted band size: 45 kDa
Observed band size: 37/55 kDa

Exposure time: 20 seconds; ECL: K1801;
4-20% SDS-PAGE gel.

Proteins were transferred to a PVDF membrane and blocked with 5% NFDM/TBST for 1 hour at room temperature. The primary antibody (HA751183) at 1/2,000 dilution was used in 5% NFDM/TBST at 4℃ overnight. Goat Anti-Rabbit IgG - HRP Secondary Antibody (HA1001) at 1/50,000 dilution was used for 1 hour at room temperature.
HA751183_2.jpg Fig2: Immunohistochemical analysis of paraffin-embedded human brain tissue with Rabbit anti-ASAH1 antibody (HA751183) at 1/1,000 dilution.

The section was pre-treated using heat mediated antigen retrieval with Tris-EDTA buffer (pH 9.0) for 20 minutes. The tissues were blocked in 1% BSA for 20 minutes at room temperature, washed with ddH2O and PBS, and then probed with the primary antibody (HA751183) at 1/1,000 dilution for 1 hour at room temperature. The detection was performed using an HRP conjugated compact polymer system. DAB was used as the chromogen. Tissues were counterstained with hematoxylin and mounted with DPX.
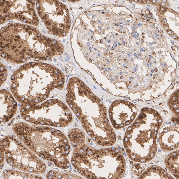
HA751183_3.jpg Fig3: Immunohistochemical analysis of paraffin-embedded human kidney tissue with Rabbit anti-ASAH1 antibody (HA751183) at 1/1,000 dilution.

The section was pre-treated using heat mediated antigen retrieval with Tris-EDTA buffer (pH 9.0) for 20 minutes. The tissues were blocked in 1% BSA for 20 minutes at room temperature, washed with ddH2O and PBS, and then probed with the primary antibody (HA751183) at 1/1,000 dilution for 1 hour at room temperature. The detection was performed using an HRP conjugated compact polymer system. DAB was used as the chromogen. Tissues were counterstained with hematoxylin and mounted with DPX.
Note: All products are “FOR RESEARCH USE ONLY AND ARE NOT INTENDED FOR DIAGNOSTIC OR THERAPEUTIC USE”.