DNAJA1 Recombinant Rabbit Monoclonal Antibody [PSH07-73]
cat.: HA751185
Product Type: Recombinant Rabbit monoclonal IgG, primary antibodies
Species reactivity: Human, Mouse, Rat
Applications: WB, IHC-P, IF-Tissue, IP
Clonality: Monoclonal
Clone number: PSH07-73
Form: Liquid
Storage condition: Store at +4℃ after thawing. Aliquot store at -20℃. Avoid repeated freeze / thaw cycles.
Storage buffer: 1*PBS (pH7.4).
Concentration: 1ug/ul
Purification: Protein A affinity purified.
Molecular weight: Predicted band size: 45 kDa
Isotype: IgG
Immunogen: Recombinant protein within human DNAJA1 aa 1-397.
Positive control: HepG2 cell lysate, HEK-293 cell lysate, Jurkat cell lysate, Raji cell lysate, SK-Br-3 cell lysate, A549 cell lysate, HeLa cell lysate, NIH/3T3 cell lysate, F9 cell lysate, PC-12 cell lysate, human kidney tissue, human testis tissue, mouse kidney tissue, mouse testis tissue, rat kidney tissue, rat testis tissue.
Subcellular location: Membrane, Cytoplasm, Microsome, Nucleus, Cytoplasm, perinuclear region, Mitochondrion.
Recommended Dilutions:
  WB
  IHC-P
  IF-Tissue
  IP

1:2,000
1:200-1:1,000
1:50-1:200
1-2μg/sample
Uniprot #: SwissProt: P31689 Human | P63037 Mouse | P63036 Rat
Alternative names: DJ 2 DJ2 DjA1 DnaJ (Hsp40) homolog, subfamily A, member 1 DnaJ homolog subfamily A member 1 DnaJ protein homolog 2 DNAJ2 Dnaja1 DNJA1_HUMAN hDJ 2 HDJ-2 HDJ2 Heat shock 40 kDa protein 4 heat shock protein DNAJ like 2 Heat shock protein J2 HSDJ HSJ-2 HSJ2 HSPF4 Human DnaJ protein 2 NEDD7 Neural precursor cell expressed developmentally down regulated 7 OTTHUMP00000021193
Images
HA751185_1.jpg Fig1: Western blot analysis of DNAJA1 on different lysates with Rabbit anti-DNAJA1 antibody (HA751185) at 1/2,000 dilution and competitor's antibody at 1/2,000 dilution.

Lane 1: HepG2 cell lysate
Lane 2: HEK-293 cell lysate
Lane 3: Jurkat cell lysate
Lane 4: Raji cell lysate
Lane 5: SK-Br-3 cell lysate
Lane 6: A549 cell lysate
Lane 7: HeLa cell lysate
Lane 8: NIH/3T3 cell lysate
Lane 9: F9 cell lysate
Lane 10: PC-12 cell lysate

Lysates/proteins at 20 µg/Lane.

Predicted band size: 45 kDa
Observed band size: 45 kDa

Exposure time: 6 seconds; ECL: K1801;

4-20% SDS-PAGE gel.

Proteins were transferred to a PVDF membrane and blocked with 5% NFDM/TBST for 1 hour at room temperature. The primary antibody (HA751185) at 1/2,000 dilution and competitor's antibody at 1/2,000 dilution were used in 5% NFDM/TBST at 4℃ overnight. Goat Anti-Rabbit IgG - HRP Secondary Antibody (HA1001) at 1/50,000 dilution was used for 1 hour at room temperature.
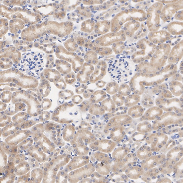
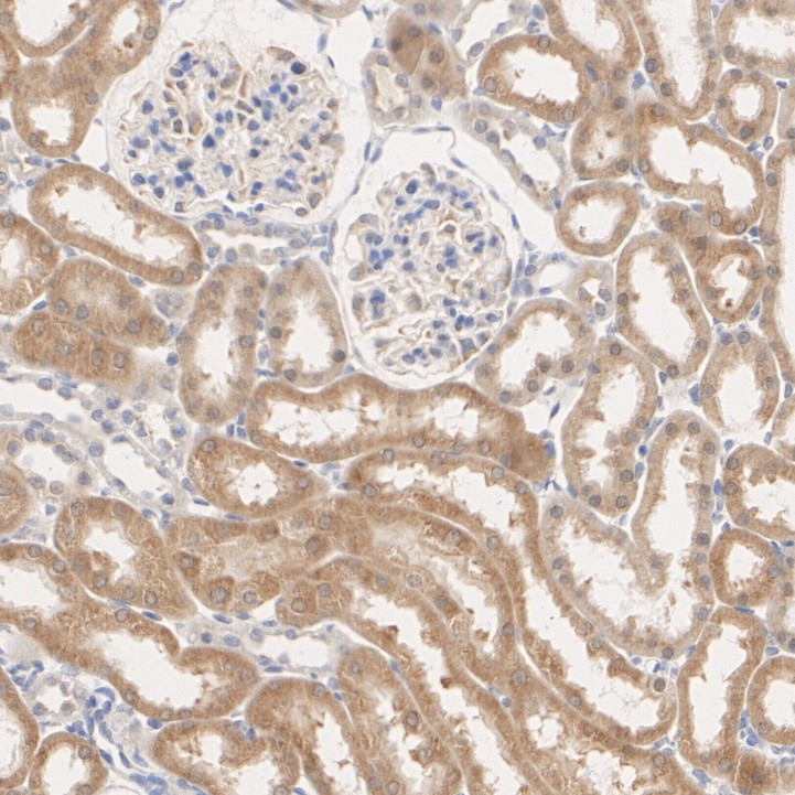
HA751185_2.jpg Fig2: Immunohistochemical analysis of paraffin-embedded human kidney tissue with Rabbit anti-DNAJA1 antibody (HA751185) at 1/200 dilution.

The section was pre-treated using heat mediated antigen retrieval with Tris-EDTA buffer (pH 9.0) for 20 minutes. The tissues were blocked in 1% BSA for 20 minutes at room temperature, washed with ddH2O and PBS, and then probed with the primary antibody (HA751185) at 1/200 dilution for 1 hour at room temperature. The detection was performed using an HRP conjugated compact polymer system. DAB was used as the chromogen. Tissues were counterstained with hematoxylin and mounted with DPX.
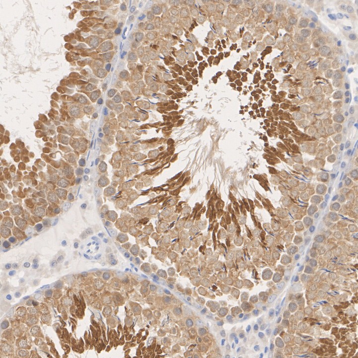
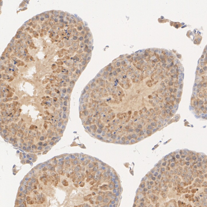
HA751185_3.jpg Fig3: Immunohistochemical analysis of paraffin-embedded human testis tissue with Rabbit anti-DNAJA1 antibody (HA751185) at 1/1,000 dilution.

The section was pre-treated using heat mediated antigen retrieval with Tris-EDTA buffer (pH 9.0) for 20 minutes. The tissues were blocked in 1% BSA for 20 minutes at room temperature, washed with ddH2O and PBS, and then probed with the primary antibody (HA751185) at 1/1,000 dilution for 1 hour at room temperature. The detection was performed using an HRP conjugated compact polymer system. DAB was used as the chromogen. Tissues were counterstained with hematoxylin and mounted with DPX.
HA751185_4.jpg Fig4: Immunohistochemical analysis of paraffin-embedded mouse kidney tissue with Rabbit anti-DNAJA1 antibody (HA751185) at 1/1,000 dilution.

The section was pre-treated using heat mediated antigen retrieval with Tris-EDTA buffer (pH 9.0) for 20 minutes. The tissues were blocked in 1% BSA for 20 minutes at room temperature, washed with ddH2O and PBS, and then probed with the primary antibody (HA751185) at 1/1,000 dilution for 1 hour at room temperature. The detection was performed using an HRP conjugated compact polymer system. DAB was used as the chromogen. Tissues were counterstained with hematoxylin and mounted with DPX.
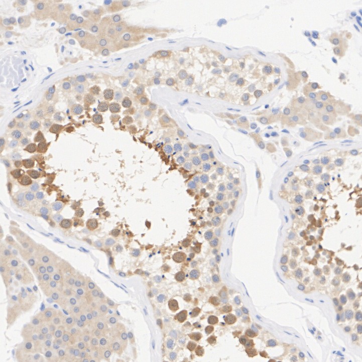
HA751185_5.jpg Fig5: Immunohistochemical analysis of paraffin-embedded mouse testis tissue with Rabbit anti-DNAJA1 antibody (HA751185) at 1/1,000 dilution.

The section was pre-treated using heat mediated antigen retrieval with Tris-EDTA buffer (pH 9.0) for 20 minutes. The tissues were blocked in 1% BSA for 20 minutes at room temperature, washed with ddH2O and PBS, and then probed with the primary antibody (HA751185) at 1/1,000 dilution for 1 hour at room temperature. The detection was performed using an HRP conjugated compact polymer system. DAB was used as the chromogen. Tissues were counterstained with hematoxylin and mounted with DPX.
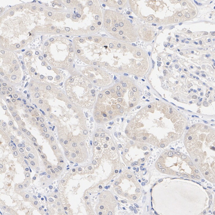
HA751185_6.jpg Fig6: Immunohistochemical analysis of paraffin-embedded rat kidney tissue with Rabbit anti-DNAJA1 antibody (HA751185) at 1/1,000 dilution.

The section was pre-treated using heat mediated antigen retrieval with Tris-EDTA buffer (pH 9.0) for 20 minutes. The tissues were blocked in 1% BSA for 20 minutes at room temperature, washed with ddH2O and PBS, and then probed with the primary antibody (HA751185) at 1/1,000 dilution for 1 hour at room temperature. The detection was performed using an HRP conjugated compact polymer system. DAB was used as the chromogen. Tissues were counterstained with hematoxylin and mounted with DPX.
HA751185_7.jpg Fig7: Immunohistochemical analysis of paraffin-embedded rat testis tissue with Rabbit anti-DNAJA1 antibody (HA751185) at 1/1,000 dilution.

The section was pre-treated using heat mediated antigen retrieval with Tris-EDTA buffer (pH 9.0) for 20 minutes. The tissues were blocked in 1% BSA for 20 minutes at room temperature, washed with ddH2O and PBS, and then probed with the primary antibody (HA751185) at 1/1,000 dilution for 1 hour at room temperature. The detection was performed using an HRP conjugated compact polymer system. DAB was used as the chromogen. Tissues were counterstained with hematoxylin and mounted with DPX.
HA751185_8.jpg Fig8: DNAJA1 was immunoprecipitated from 0.2 mg HeLa cell lysate with HA751185 at 2 µg/10 µl beads. Western blot was performed from the immunoprecipitate using HA751185 at 1/2,000 dilution. Anti-Rabbit IgG for IP Nano-secondary antibody (NBI01H) at 1/5,000 dilution was used for 1 hour at room temperature.

Lane 1: HeLa cell lysate (input)
Lane 2: HA751185 IP in HeLa cell lysate
Lane 3: Rabbit IgG instead of HA751185 in HeLa cell lysate

Blocking/Dilution buffer: 5% NFDM/TBST
Exposure time: 6 seconds; ECL: K1801
Note: All products are “FOR RESEARCH USE ONLY AND ARE NOT INTENDED FOR DIAGNOSTIC OR THERAPEUTIC USE”.