Mannose Receptor(CD206) Recombinant Rabbit Monoclonal Antibody [PSH07-76]
cat.: HA751188
Product Type: Recombinant Rabbit monoclonal IgG, primary antibodies
Species reactivity: Mouse, Rat
Applications: WB, IHC-P, IF-Tissue, IHC-Fr, IF-Cell, IP
Clonality: Monoclonal
Clone number: PSH07-76
Form: Liquid
Storage condition: Store at +4℃ after thawing. Aliquot store at -20℃. Avoid repeated freeze / thaw cycles.
Storage buffer: 1*PBS (pH7.4).
Concentration: 1ug/ul
Purification: Protein A affinity purified.
Molecular weight: Predicted band size: 165 kDa
Isotype: IgG
Immunogen: Recombinant protein within mouse Mannose Receptor(CD206) aa 1-1,409.
Positive control: RAW264.7 treated with 20ng/mL mIL-4 and 10ng/mL mIL-13 for 24 hours cell lysate, Mouse lung tissue lysate, Mouse spleen tissue lysate, Rat brain tissue lysate, Rat lung tissue lysate, Rat liver tissue lysate, mouse spleen tissue, mouse liver tissue, rat liver tissue, mouse osteosarcoma tissue.
Subcellular location: Endosome membrane, Cell membrane.
Recommended Dilutions:
  WB
  IHC-P
  IF-Tissue
  IHC-Fr
  IF-Cell
  IP

1:1,000-1:2,000
1:1,000
1:500
1:500-1:1,000
1:50
1-2μg/sample
Uniprot #: SwissProt: Q61830 Mouse
Entrez Gene: 291327 Rat
Alternative names: bA541I19.1 C type lectin domain family 13 member D C-type lectin domain family 13 member D CD 206 CD206 CD206 antigen CLEC13D CLEC13DL Macrophage mannose receptor 1 Macrophage mannose receptor 1 like protein 1 Macrophage mannose receptor Mannose receptor C type 1 Mannose receptor C type 1 like 1 MMR MRC 1 MRC1 MRC1_HUMAN MRC1L1 OTTHUMP00000045206
Images
HA751188_1.jpg Fig1: Western blot analysis of Mannose Receptor(CD206) on different lysates with Rabbit anti-Mannose Receptor(CD206) antibody (HA751188) at 1/2,000 dilution.

Lane 1: RAW264.7 cell lysate
Lane 2: RAW264.7 treated with 20ng/mL mIL-4 and 10ng/mL mIL-13 for 24 hours cell lysate (Macrophage M2 polarization, positive)
Lane 3: RAW264.7 cell lysate
Lane 4: RAW264.7 treated with 0.1μg/mL LPS for 6 hours cell lysate (Macrophage M1 polarization, negative)

Lysates/proteins at 20 µg/Lane.

Predicted band size: 165 kDa
Observed band size: 200 kDa

Exposure time: 59 seconds; ECL: K1801;
4-20% SDS-PAGE gel.

Proteins were transferred to a PVDF membrane and blocked with 5% NFDM/TBST for 1 hour at room temperature. The primary antibody (HA751188) at 1/2,000 dilution was used in 5% NFDM/TBST at 4℃ overnight. Goat Anti-Rabbit IgG - HRP Secondary Antibody (HA1001) at 1/50,000 dilution was used for 1 hour at room temperature.
HA751188_2.jpg Fig2: Western blot analysis of Mannose Receptor(CD206) on different lysates with Rabbit anti-Mannose Receptor(CD206) antibody (HA751188) at 1/1,000 dilution.

Lane 1: Mouse lung tissue lysate (20 µg/Lane)
Lane 2: Mouse spleen tissue lysate (20 µg/Lane)
Lane 3: Rat brain tissue lysate (20 µg/Lane)
Lane 4: Rat lung tissue lysate (20 µg/Lane)
Lane 5: Rat liver tissue lysate (20 µg/Lane)

Predicted band size: 165 kDa
Observed band size: 200 kDa

Exposure time: 42 seconds; ECL: K1801;
4-20% SDS-PAGE gel.

Proteins were transferred to a PVDF membrane and blocked with 5% NFDM/TBST for 1 hour at room temperature. The primary antibody (HA751188) at 1/1,000 dilution was used in 5% NFDM/TBST at 4℃ overnight. Goat Anti-Rabbit IgG - HRP Secondary Antibody (HA1001) at 1/50,000 dilution was used for 1 hour at room temperature.
HA751188_3.jpg Fig3: Application: IHC-Fr

Species: Mouse

Site: Spleen

Sample: Frozen section

Antibody concentration: 1/1,000

Antigen retrieval: Not required
HA751188_4.jpg Fig4: Application: IHC-Fr

Species: Mouse

Site: Liver

Sample: Frozen section

Antibody concentration: 1/500

Antigen retrieval: Not required
HA751188_5.jpg Fig5: Immunohistochemical analysis of paraffin-embedded mouse spleen tissue with Rabbit anti-Mannose Receptor(CD206) antibody (HA751188) at 1/1,000 dilution.

The section was pre-treated using heat mediated antigen retrieval with Tris-EDTA buffer (pH 9.0) for 20 minutes. The tissues were blocked in 1% BSA for 20 minutes at room temperature, washed with ddH2O and PBS, and then probed with the primary antibody (HA751188) at 1/1,000 dilution for 1 hour at room temperature. The detection was performed using an HRP conjugated compact polymer system. DAB was used as the chromogen. Tissues were counterstained with hematoxylin and mounted with DPX.
HA751188_6.jpg Fig6: Immunohistochemical analysis of paraffin-embedded mouse liver tissue with Rabbit anti-Mannose Receptor(CD206) antibody (HA751188) at 1/1,000 dilution.

The section was pre-treated using heat mediated antigen retrieval with Tris-EDTA buffer (pH 9.0) for 20 minutes. The tissues were blocked in 1% BSA for 20 minutes at room temperature, washed with ddH2O and PBS, and then probed with the primary antibody (HA751188) at 1/1,000 dilution for 1 hour at room temperature. The detection was performed using an HRP conjugated compact polymer system. DAB was used as the chromogen. Tissues were counterstained with hematoxylin and mounted with DPX.
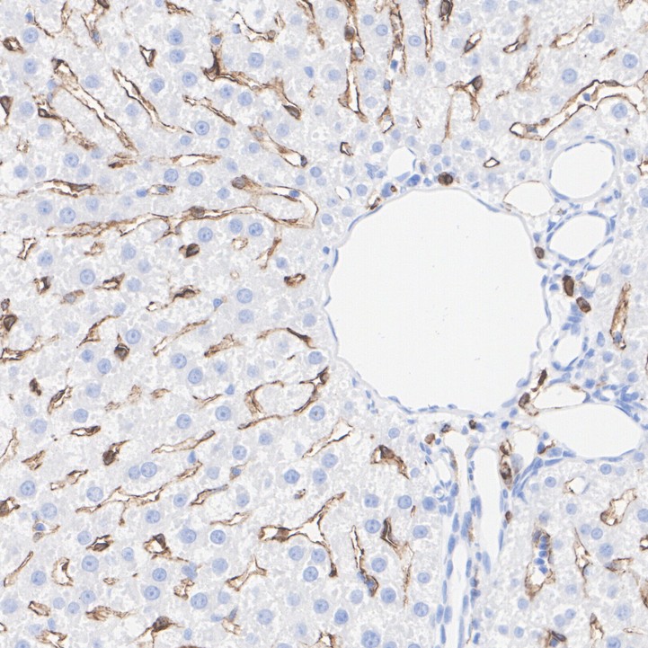
HA751188_7.jpg Fig7: Immunohistochemical analysis of paraffin-embedded rat liver tissue with Rabbit anti-Mannose Receptor(CD206) antibody (HA751188) at 1/1,000 dilution.

The section was pre-treated using heat mediated antigen retrieval with Tris-EDTA buffer (pH 9.0) for 20 minutes. The tissues were blocked in 1% BSA for 20 minutes at room temperature, washed with ddH2O and PBS, and then probed with the primary antibody (HA751188) at 1/1,000 dilution for 1 hour at room temperature. The detection was performed using an HRP conjugated compact polymer system. DAB was used as the chromogen. Tissues were counterstained with hematoxylin and mounted with DPX.
HA751188_8.jpg Fig8: Immunocytochemistry analysis of RAW264.7 cells treated with 20ng/mL mIL-4 and 10ng/mL mIL-13 for 24 hours (Macrophage M2 polarization, positive) labeling Mannose Receptor(CD206) with Rabbit anti-Mannose Receptor(CD206) antibody (HA751188) at 1/50 dilution.

Cells were fixed in 4% paraformaldehyde for 15 minutes at room temperature, permeabilized with 0.1% Triton X-100 in PBS for 15 minutes at room temperature, then blocked with 1% BSA in 10% negative goat serum for 1 hour at room temperature. Cells were then incubated with Rabbit anti-Mannose Receptor(CD206) antibody (HA751188) at 1/50 dilution in 1% BSA in PBST overnight at 4 ℃. Goat Anti-Rabbit IgG H&L (iFluor™ 488, HA1121) was used as the secondary antibody at 1/1,000 dilution. PBS instead of the primary antibody was used as the secondary antibody only control. Nuclear DNA was labelled in blue with DAPI.

Beta tubulin (M1305-2, red) was stained at 1/100 dilution overnight at +4℃. Goat Anti-Mouse IgG H&L (iFluor™ 594, HA1126) was used as the secondary antibody at 1/1,000 dilution.
HA751188_9.jpg Fig9: Immunocytochemistry analysis of RAW264.7 cells treated with 0.1μg/mL LPS for 6 hours (Macrophage M1 polarization, negative) labeling Mannose Receptor(CD206) with Rabbit anti-Mannose Receptor(CD206) antibody (HA751188) at 1/50 dilution.

Cells were fixed in 4% paraformaldehyde for 15 minutes at room temperature, permeabilized with 0.1% Triton X-100 in PBS for 15 minutes at room temperature, then blocked with 1% BSA in 10% negative goat serum for 1 hour at room temperature. Cells were then incubated with Rabbit anti-Mannose Receptor(CD206) antibody (HA751188) at 1/50 dilution in 1% BSA in PBST overnight at 4 ℃. Goat Anti-Rabbit IgG H&L (iFluor™ 488, HA1121) was used as the secondary antibody at 1/1,000 dilution. PBS instead of the primary antibody was used as the secondary antibody only control. Nuclear DNA was labelled in blue with DAPI.

Beta tubulin (M1305-2, red) was stained at 1/100 dilution overnight at +4℃. Goat Anti-Mouse IgG H&L (iFluor™ 594, HA1126) was used as the secondary antibody at 1/1,000 dilution.
HA751188_10.jpg Fig10: Application: IF-tissue

Species: Mouse

Site: Spleen

Sample: Paraffin-embedded section

Antibody concentration: 1/500
HA751188_11.jpg Fig11: Application: IF-tissue

Species: Mouse

Site: Liver

Sample: Paraffin-embedded section

Antibody concentration: 1/500
HA751188_12.jpg Fig12: Mannose Receptor(CD206) was immunoprecipitated from 0.2 mg rat lung tissue lysate with HA751188 at 2 µg/10 µl beads. Western blot was performed from the immunoprecipitate using HA751188 at 1/1,000 dilution. Anti-Rabbit IgG for IP Nano-secondary antibody (NBI01H) at 1/5,000 dilution was used for 1 hour at room temperature.

Lane 1: rat lung tissue lysate (input)
Lane 2: HA751188 IP in rat lung tissue lysate
Lane 3: Rabbit IgG instead of HA751188 in rat lung tissue lysate

Blocking/Dilution buffer: 5% NFDM/TBST
Exposure time: 1 minute; ECL: K1801
Note: All products are “FOR RESEARCH USE ONLY AND ARE NOT INTENDED FOR DIAGNOSTIC OR THERAPEUTIC USE”.