IRF9 Recombinant Rabbit Monoclonal Antibody [PSH07-87]
cat.: HA751193
Product Type: Recombinant Rabbit monoclonal IgG, primary antibodies
Species reactivity: Human, Mouse, Rat
Applications: WB, IHC-P, IF-Cell, FC, IP
Clonality: Monoclonal
Clone number: PSH07-87
Form: Liquid
Storage condition: Store at +4℃ after thawing. Aliquot store at -20℃. Avoid repeated freeze / thaw cycles.
Storage buffer: 1*PBS (pH7.4).
Concentration: 1ug/ul
Purification: Protein A affinity purified.
Molecular weight: Predicted band size: 44 kDa
Isotype: IgG
Immunogen: Recombinant protein within human IRF9 aa 1-393.
Positive control: HeLa cell lysate, HeLa treated with 10ng/mL IFN-α1 for 16 hours cell lysate, Daudi cell lysate, Daudi treated with 10ng/mL IFN-α1 for 16 hours cell lysate, Jurkat cell lysate, Jurkat treated with 100nM IFN-α1 for 24 hours cell lysate, THP-1 cell lysate, C2C12 cell lysate, PC-12 cell lysate, Mouse spleen tissue lysate, Mouse lung tissue lysate, Rat spleen tissue lysate, Rat lung tissue lysate, HeLa cells treated with 10ng/mL IFN-α1 for 16 hours, mouse spleen tissue, rat spleen tissue.
Subcellular location: Cytoplasm, Nucleus.
Recommended Dilutions:
  WB
  IHC-P
  IF-Cell
  FC
  IP

1:2,000
1:50-1:200
1:100
1:1,000
1-2μg/sample
Uniprot #: SwissProt: Q00978 Human | Q61179 Mouse
Entrez Gene: 305896 Rat
Alternative names: IFN alpha responsive transcription factor subunit IFN-alpha-responsive transcription factor subunit Interferon regulatory factor 9 interferon stimulated transcription factor 3 Interferon-stimulated gene factor 3 gamma interferon-stimulated transcription factor 3, gamma 48kDa IRF 9 IRF-9 Irf9 IRF9_HUMAN ISGF 3 gamma ISGF-3 gamma ISGF3 ISGF3 p48 subunit ISGF3G OTTHUMP00000164692 OTTHUMP00000164693 p48 Transcriptional regulator ISGF3 subunit gamma
Images
HA751193_1.jpg Fig1: Western blot analysis of IRF9 on different lysates with Rabbit anti-IRF9 antibody (HA751193) at 1/2,000 dilution.

Lane 1: HeLa cell lysate (20 µg/Lane)
Lane 2: HeLa treated with 10ng/mL IFN-α1 for 16 hours cell lysate (20 µg/Lane)
Lane 3: Daudi cell lysate (20 µg/Lane)
Lane 4: Daudi treated with 10ng/mL IFN-α1 for 16 hours cell lysate (20 µg/Lane)
Lane 5: Jurkat cell lysate (20 µg/Lane)
Lane 6: Jurkat treated with 100nM IFN-α1 for 24 hours cell lysate (20 µg/Lane)
Lane 7: THP-1 cell lysate (20 µg/Lane)
Lane 8: C2C12 cell lysate (20 µg/Lane)
Lane 9: PC-12 cell lysate (20 µg/Lane)
Lane 10: Mouse spleen tissue lysate (40 µg/Lane)
Lane 11: Mouse lung tissue lysate (40 µg/Lane)
Lane 12: Rat spleen tissue lysate (40 µg/Lane)
Lane 13: Rat lung tissue lysate (40 µg/Lane)

Predicted band size: 44 kDa
Observed band size: 48 kDa

Exposure time: 25 seconds; ECL: K1801;
4-20% SDS-PAGE gel.

Proteins were transferred to a PVDF membrane and blocked with 5% NFDM/TBST for 1 hour at room temperature. The primary antibody (HA751193) at 1/2,000 dilution was used in 5% NFDM/TBST at 4℃ overnight. Goat Anti-Rabbit IgG - HRP Secondary Antibody (HA1001) at 1/50,000 dilution was used for 1 hour at room temperature.
HA751193_2.jpg Fig2: Western blot analysis of IRF9 on different lysates with Rabbit anti-IRF9 antibody (HA751193) at 1/2,000 dilution.

Lane 1: Human IRF9 recombinant protein, 30ng/Lane
Lane 2: Human IRF8 recombinant protein, 30ng/Lane

Exposure time: 2 seconds; ECL: K1801;
4-20% SDS-PAGE gel.

Proteins were transferred to a PVDF membrane and blocked with 5% NFDM/TBST for 1 hour at room temperature. The primary antibody (HA751193) at 1/2,000 dilution was used in 5% NFDM/TBST at room temperature for 2 hours. Goat Anti-Rabbit IgG - HRP Secondary Antibody (HA1001) at 1/50,000 dilution was used for 1 hour at room temperature.
HA751193_3.jpg Fig3: Immunocytochemistry analysis of HeLa cells treated with 10ng/mL IFN-α1 for 16 hours labeling IRF9 with Rabbit anti-IRF9 antibody (HA751193) at 1/100 dilution.

Cells were fixed in 4% paraformaldehyde for 15 minutes at room temperature, permeabilized with 0.1% Triton X-100 in PBS for 15 minutes at room temperature, then blocked with 1% BSA in 10% negative goat serum for 1 hour at room temperature. Cells were then incubated with Rabbit anti-IRF9 antibody (HA751193) at 1/100 dilution in 1% BSA in PBST overnight at 4 ℃. Goat Anti-Rabbit IgG H&L (iFluor™ 488, HA1121) was used as the secondary antibody at 1/1,000 dilution. PBS instead of the primary antibody was used as the secondary antibody only control. Nuclear DNA was labelled in blue with DAPI.

Beta tubulin (HA601187, red) was stained at 1/100 dilution overnight at +4℃. Goat Anti-Mouse IgG H&L (iFluor™ 594, HA1126) was used as the secondary antibody at 1/1,000 dilution.
HA751193_4.jpg Fig4: Immunohistochemical analysis of paraffin-embedded mouse spleen tissue with Rabbit anti-IRF9 antibody (HA751193) at 1/50 dilution.

The section was pre-treated using heat mediated antigen retrieval with sodium citrate buffer (pH 6.0) (high pressure) for 2 minutes. The tissues were blocked in 1% BSA for 20 minutes at room temperature, washed with ddH2O and PBS, and then probed with the primary antibody (HA751193) at 1/50 dilution for 1 hour at room temperature. The detection was performed using an HRP conjugated compact polymer system. DAB was used as the chromogen. Tissues were counterstained with hematoxylin and mounted with DPX.
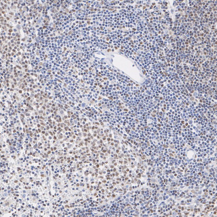
HA751193_5.jpg Fig5: Immunohistochemical analysis of paraffin-embedded rat spleen tissue with Rabbit anti-IRF9 antibody (HA751193) at 1/200 dilution.

The section was pre-treated using heat mediated antigen retrieval with sodium citrate buffer (pH 6.0) (high pressure) for 2 minutes. The tissues were blocked in 1% BSA for 20 minutes at room temperature, washed with ddH2O and PBS, and then probed with the primary antibody (HA751193) at 1/200 dilution for 1 hour at room temperature. The detection was performed using an HRP conjugated compact polymer system. DAB was used as the chromogen. Tissues were counterstained with hematoxylin and mounted with DPX.
HA751193_6.jpg Fig6: Flow cytometric analysis of HeLa cells treated with 10ng/mL IFN-α1 for 16 hours labeling IRF9.

Cells were fixed and permeabilized. Then stained with the primary antibody (HA751193, 1/1,000) (red) compared with Rabbit IgG Isotype Control (green). After incubation of the primary antibody at +4℃ for an hour, the cells were stained with a iFluor™ 488 conjugate-Goat anti-Rabbit IgG Secondary antibody (HA1121) at 1/1,000 dilution for 30 minutes at +4℃. Unlabelled sample was used as a control (cells without incubation with primary antibody; black).
HA751193_7.jpg Fig7: IRF9 was immunoprecipitated from 0.2 mg HeLa cell lysate with HA751193 at 2 µg/10 µl beads. Western blot was performed from the immunoprecipitate using HA751193 at 1/2,000 dilution. Anti-Rabbit IgG for IP Nano-secondary antibody (NBI01H) at 1/5,000 dilution was used for 1 hour at room temperature.

Lane 1: HeLa cell lysate (input)
Lane 2: HA751193 IP in HeLa cell lysate
Lane 3: Rabbit IgG instead of HA751193 in HeLa cell lysate

Blocking/Dilution buffer: 5% NFDM/TBST
Exposure time: 1 minute; ECL: K1802
Note: All products are “FOR RESEARCH USE ONLY AND ARE NOT INTENDED FOR DIAGNOSTIC OR THERAPEUTIC USE”.