TBR2 Recombinant Rabbit Monoclonal Antibody [PSH07-88]
cat.: HA751195
Product Type: Recombinant Rabbit monoclonal IgG, primary antibodies
Species reactivity: Human, Mouse, Cynomolgus monkey, Pig
Applications: WB, IHC-P, IHC-Fr
Clonality: Monoclonal
Clone number: PSH07-88
Form: Liquid
Storage condition: Store at +4℃ after thawing. Aliquot store at -20℃. Avoid repeated freeze / thaw cycles.
Storage buffer: 1*PBS (pH7.4).
Concentration: 1ug/ul
Purification: Protein A affinity purified.
Molecular weight: Predicted band size: 73 kDa
Isotype: IgG
Immunogen: Recombinant protein within human TBR2 aa 1-300.
Positive control: NK-92 cell lysate, Mouse embryo tissue lysate, E14.5 mouse embryonic brain tissue.
Subcellular location: Nucleus.
Recommended Dilutions:
  WB
  IHC-P
  IHC-Fr

1:1,000
1:5,000
1:500
Uniprot #: SwissProt: O95936 Human | O54839 Mouse
Alternative names: eomes EOMES_HUMAN Eomesodermin Eomesodermin homolog t box brain 2 T-box brain protein 2 T-brain-2 Tbr 2 TBR-2
Images
HA751195_1.jpg Fig1: Application: IHC-Fr

Species: Mouse

Site: E14.5 embryonic brain

Sample: Frozen section

Antibody concentration: 1/500

Antigen retrieval: Not required
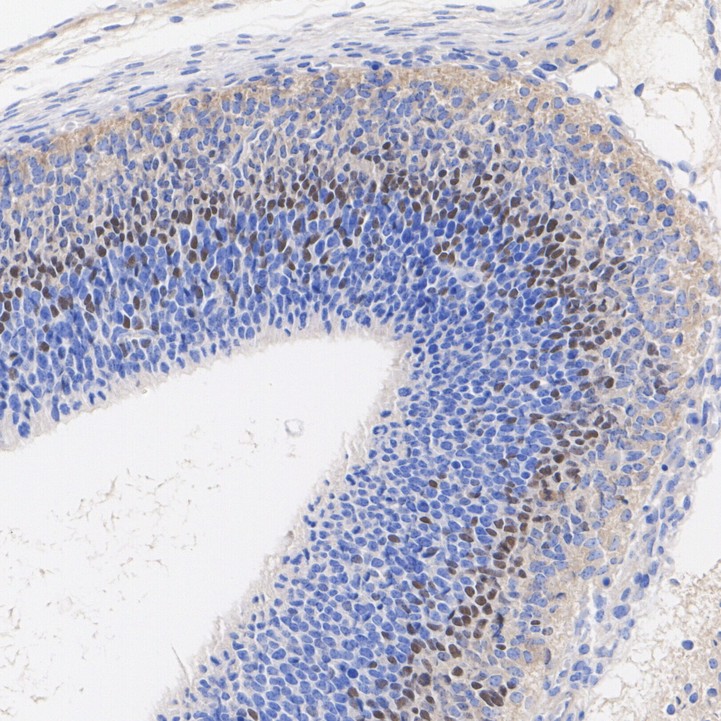
HA751195_2.jpg Fig2: Immunohistochemical analysis of paraffin-embedded E14.5 mouse embryonic brain tissue with Rabbit anti-TBR2 antibody (HA751195) at 1/5,000 dilution.

The section was pre-treated using heat mediated antigen retrieval with Tris-EDTA buffer (pH 9.0) for 20 minutes. The tissues were blocked in 1% BSA for 20 minutes at room temperature, washed with ddH2O and PBS, and then probed with the primary antibody (HA751195) at 1/5,000 dilution for 1 hour at room temperature. The detection was performed using an HRP conjugated compact polymer system. DAB was used as the chromogen. Tissues were counterstained with hematoxylin and mounted with DPX.
HA751195_3.jpg Fig3: Western blot analysis of TBR2 on different lysates with Rabbit anti-TBR2 antibody (HA751195) at 1/1,000 dilution.

Lane 1: NK-92 cell lysate
Lane 2: HeLa cell lysate (negative)

Lysates/proteins at 30 µg/Lane.

Predicted band size: 73 kDa
Observed band size: 73/85 kDa

Exposure time: 14 seconds; ECL: K1801;

4-20% SDS-PAGE gel.

Proteins were transferred to a PVDF membrane and blocked with 5% NFDM/TBST for 1 hour at room temperature. The primary antibody (HA751195) at 1/1,000 dilution was used in 5% NFDM/TBST at 4℃ overnight. Goat Anti-Rabbit IgG - HRP Secondary Antibody (HA1001) at 1/50,000 dilution was used for 1 hour at room temperature.
HA751195_4.jpg Fig4: Western blot analysis of TBR2 on mouse embryo tissue lysates with Rabbit anti-TBR2 antibody (HA751195) at 1/1,000 dilution.

Lysates/proteins at 30 µg/Lane.

Predicted band size: 73 kDa
Observed band size: 73/85 kDa

Exposure time: 3 minutes; ECL: K1801;

4-20% SDS-PAGE gel.

Proteins were transferred to a PVDF membrane and blocked with 5% NFDM/TBST for 1 hour at room temperature. The primary antibody (HA751195) at 1/1,000 dilution was used in 5% NFDM/TBST at 4℃ overnight. Goat Anti-Rabbit IgG - HRP Secondary Antibody (HA1001) at 1/50,000 dilution was used for 1 hour at room temperature.
Note: All products are “FOR RESEARCH USE ONLY AND ARE NOT INTENDED FOR DIAGNOSTIC OR THERAPEUTIC USE”.