Nestin Recombinant Rabbit Monoclonal Antibody [PSH07-89]
cat.: HA751196
Product Type: Recombinant Rabbit monoclonal IgG, primary antibodies
Species reactivity: Human, Mouse, Rat
Applications: WB, IF-Cell, IHC-P, IHC-Fr, IF-Tissue, IP
Clonality: Monoclonal
Clone number: PSH07-89
Form: Liquid
Storage condition: Store at +4℃ after thawing. Aliquot store at -20℃. Avoid repeated freeze / thaw cycles.
Storage buffer: 1*PBS (pH7.4).
Concentration: 1ug/ul
Purification: Protein A affinity purified.
Molecular weight: Predicted band size: 207 kDa
Isotype: IgG
Immunogen: Recombinant protein within mouse Nestin aa 700-1,000.
Positive control: RD cell lysate, Neuro-2a cell lysate, Mouse brain (P0) tissue lysate, Mouse brain (P7) tissue lysate, Mouse brain tissue lysate, U-87 MG, C2C12, C6, human kidney tissue, mouse kidney tissue, rat kidney tissue, mouse embryonic brain tissue.
Subcellular location: Cytoplasm, Intermediate filament.
Recommended Dilutions:
  WB
  IF-Cell
  IHC-P
  IHC-Fr
  IF-Tissue
  IP

1:2,000
1:1,000-1:5,000
1:1,000
1:500-1:2,000
1:500
Use at an assay dependent concentration.
Uniprot #: SwissProt: P48681 Human | Q6P5H2 Mouse | P21263 Rat
Alternative names: ESTM 46 FLJ 21841 FLJ21841 Intermediate filament protein Nbla00170 nes NEST_HUMAN Nestin
Images
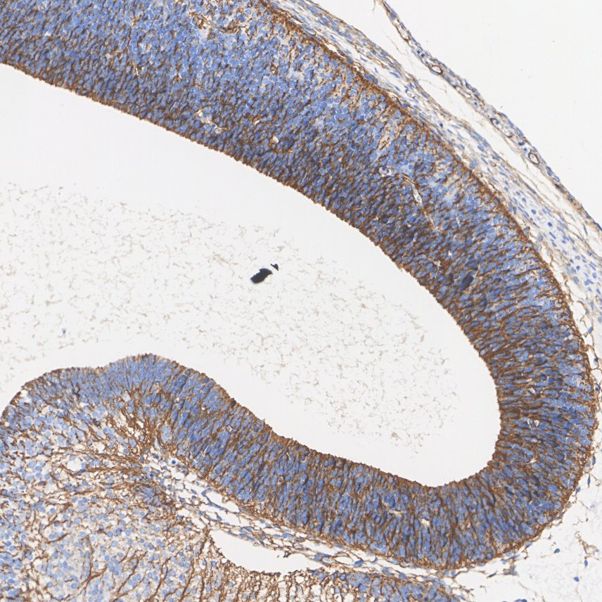
HA751196_1.jpg Fig1: Application: IHC-Fr

Species: Mouse

Site: E14.5 embryonic brain

Sample: Frozen section

Antibody concentration: 1/500

Antigen retrieval: Not required
HA751196_2.jpg Fig2: Application: IHC-Fr

Species: Rat

Site: Kindey

Sample: Frozen section

Antibody concentration: 1/500

Antigen retrieval: Not required
HA751196_3.jpg Fig3: Application: IF-tissue

Species: Mouse

Site: E14.5 embryonic brain

Sample: Paraffin-embedded section

Antibody concentration: 1/500
HA751196_4.jpg Fig4: Application: IF-tissue

Species: Mouse

Site: embryos (cartilage)

Sample: Paraffin-embedded section

Antibody concentration: 1/500
HA751196_5.jpg Fig5: Application: IF-tissue

Species: Rat

Site: brain

Sample: Paraffin-embedded section

Antibody concentration: 1/500
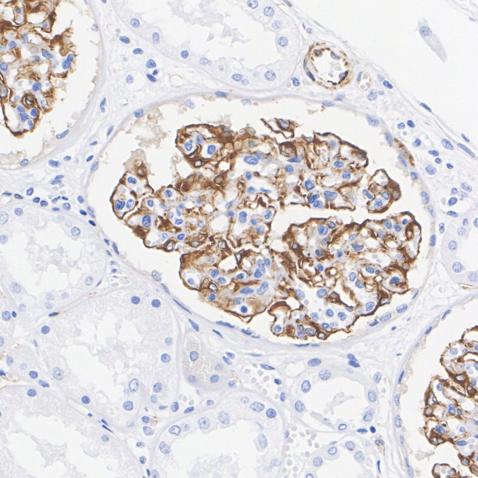
HA751196_6.jpg Fig6: Immunohistochemical analysis of paraffin-embedded human kidney tissue with Rabbit anti-Nestin antibody (HA751196) at 1/1,000 dilution.

The section was pre-treated using heat mediated antigen retrieval with Tris-EDTA buffer (pH 9.0) for 20 minutes. The tissues were blocked in 1% BSA for 20 minutes at room temperature, washed with ddH2O and PBS, and then probed with the primary antibody (HA751196) at 1/1,000 dilution for 1 hour at room temperature. The detection was performed using an HRP conjugated compact polymer system. DAB was used as the chromogen. Tissues were counterstained with hematoxylin and mounted with DPX.
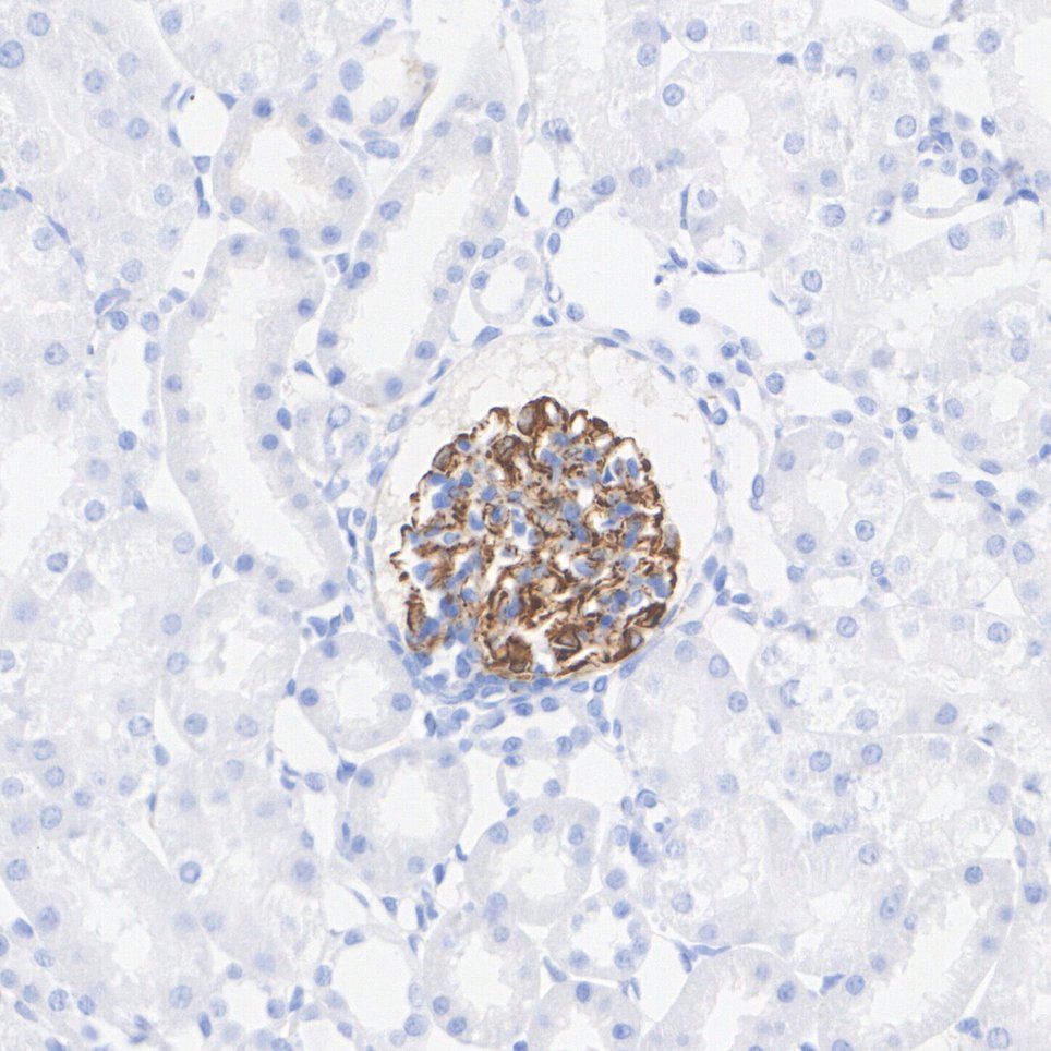
HA751196_7.jpg Fig7: Immunohistochemical analysis of paraffin-embedded mouse kidney tissue with Rabbit anti-Nestin antibody (HA751196) at 1/1,000 dilution.

The section was pre-treated using heat mediated antigen retrieval with Tris-EDTA buffer (pH 9.0) for 20 minutes. The tissues were blocked in 1% BSA for 20 minutes at room temperature, washed with ddH2O and PBS, and then probed with the primary antibody (HA751196) at 1/1,000 dilution for 1 hour at room temperature. The detection was performed using an HRP conjugated compact polymer system. DAB was used as the chromogen. Tissues were counterstained with hematoxylin and mounted with DPX.
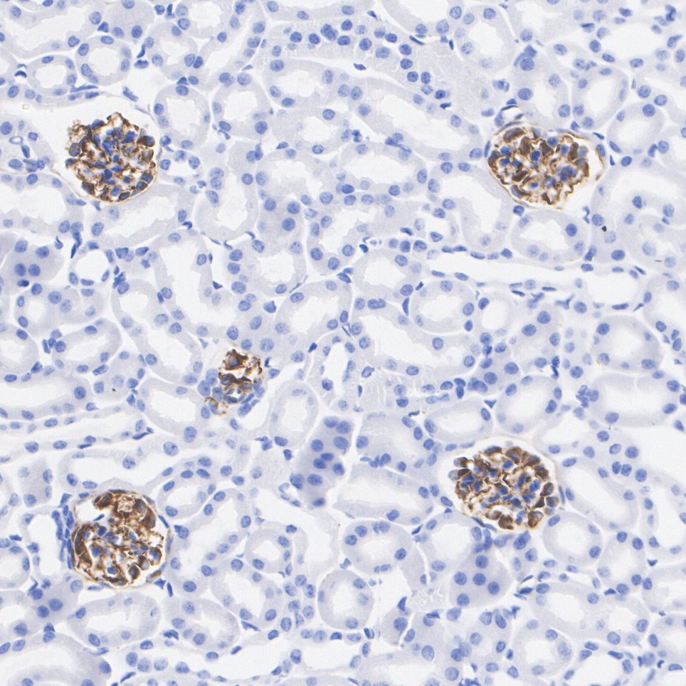
HA751196_8.jpg Fig8: Immunohistochemical analysis of paraffin-embedded rat kidney tissue with Rabbit anti-Nestin antibody (HA751196) at 1/1,000 dilution.

The section was pre-treated using heat mediated antigen retrieval with Tris-EDTA buffer (pH 9.0) for 20 minutes. The tissues were blocked in 1% BSA for 20 minutes at room temperature, washed with ddH2O and PBS, and then probed with the primary antibody (HA751196) at 1/1,000 dilution for 1 hour at room temperature. The detection was performed using an HRP conjugated compact polymer system. DAB was used as the chromogen. Tissues were counterstained with hematoxylin and mounted with DPX.
HA751196_9.jpg Fig9: Immunohistochemical analysis of paraffin-embedded mouse embryonic brain tissue with Rabbit anti-Nestin antibody (HA751196) at 1/1,000 dilution.

The section was pre-treated using heat mediated antigen retrieval with Tris-EDTA buffer (pH 9.0) for 20 minutes. The tissues were blocked in 1% BSA for 20 minutes at room temperature, washed with ddH2O and PBS, and then probed with the primary antibody (HA751196) at 1/1,000 dilution for 1 hour at room temperature. The detection was performed using an HRP conjugated compact polymer system. DAB was used as the chromogen. Tissues were counterstained with hematoxylin and mounted with DPX.
HA751196_10.jpg Fig10: Western blot analysis of Nestin on different lysates with Rabbit anti-Nestin antibody (HA751196) at 1/2,000 dilution.

Lane 1: RD cell lysate
Lane 2: HEK-293 cell lysate (negative)
Lane 3: Neuro-2a cell lysate
Lane 4: Mouse brain (P0) tissue lysate
Lane 5: Mouse brain (P7) tissue lysate
Lane 6: Mouse brain tissue lysate

Lysates/proteins at 20 µg/Lane.

Predicted band size: 177/207 kDa
Observed band size: 150-300 kDa

Exposure time: 15 seconds; ECL: K1801;

4-20% SDS-PAGE gel.

Proteins were transferred to a PVDF membrane and blocked with 5% NFDM/TBST for 1 hour at room temperature. The primary antibody (HA751196) at 1/2,000 dilution was used in primary antibody dilution (K1803) at 4℃ overnight. Goat Anti-Rabbit IgG - HRP Secondary Antibody (HA1001) at 1/50,000 dilution was used for 1 hour at room temperature.
HA751196_11.jpg Fig11: Western blot analysis of Nestin on different lysates with Rabbit anti-Nestin antibody (HA751196) at 1/1,000 dilution.

Lane 1: HAP1-parental cell lysate
Lane 2: HAP1-Nestin KD cell lysate

Lysates/proteins at 10 µg/Lane.

Predicted band size: 177 kDa
Observed band size: 150-300 kDa

Exposure time: 20 seconds; ECL: K1801;

4-20% SDS-PAGE gel.

Proteins were transferred to a PVDF membrane and blocked with 5% NFDM/TBST for 1 hour at room temperature. The primary antibody (HA751196) at 1/1,000 dilution was used in primary antibody dilution (K1803) at 4℃ overnight. Goat Anti-Rabbit IgG - HRP Secondary Antibody (HA1001) at 1/50,000 dilution was used for 1 hour at room temperature.
HA751196_12.jpg Fig12: Immunocytochemistry analysis of C2C12 cells labeling Nestin with Rabbit anti-Nestin antibody (HA751196) at 1/5,000 dilution.

Cells were fixed in 4% paraformaldehyde for 15 minutes at room temperature, permeabilized with 0.1% Triton X-100 in PBS for 15 minutes at room temperature, then blocked with 1% BSA in 10% negative goat serum for 1 hour at room temperature. Cells were then incubated with Rabbit anti-Nestin antibody (HA751196) at 1/5,000 dilution in 1% BSA in PBST overnight at 4 ℃. Goat Anti-Rabbit IgG H&L (iFluor™ 488, HA1121) was used as the secondary antibody at 1/1,000 dilution. PBS instead of the primary antibody was used as the secondary antibody only control. Nuclear DNA was labelled in blue with DAPI.

Beta tubulin (HA601187, red) was stained at 1/100 dilution overnight at +4℃. Goat Anti-Mouse IgG H&L (iFluor™ 594, HA1126) was used as the secondary antibody at 1/1,000 dilution.
HA751196_13.jpg Fig13: Immunocytochemistry analysis of C6 cells labeling Nestin with Rabbit anti-Nestin antibody (HA751196) at 1/1,000 dilution.

Cells were fixed in 4% paraformaldehyde for 15 minutes at room temperature, permeabilized with 0.1% Triton X-100 in PBS for 15 minutes at room temperature, then blocked with 1% BSA in 10% negative goat serum for 1 hour at room temperature. Cells were then incubated with Rabbit anti-Nestin antibody (HA751196) at 1/1,000 dilution in 1% BSA in PBST overnight at 4 ℃. Goat Anti-Rabbit IgG H&L (iFluor™ 488, HA1121) was used as the secondary antibody at 1/1,000 dilution. PBS instead of the primary antibody was used as the secondary antibody only control. Nuclear DNA was labelled in blue with DAPI.

Beta tubulin (HA601187, red) was stained at 1/100 dilution overnight at +4℃. Goat Anti-Mouse IgG H&L (iFluor™ 594, HA1126) was used as the secondary antibody at 1/1,000 dilution.
HA751196_14.jpg Fig14: Nestin was immunoprecipitated from 0.2 mg C2C12 cell lysate with HA751196 at 2 µg/10 µl beads. Western blot was performed from the immunoprecipitate using HA751196 at 1/2,000 dilution. Anti-Rabbit IgG for IP Nano-secondary antibody (NBI01H) at 1/5,000 dilution was used for 1 hour at room temperature.

Lane 1: C2C12 cell lysate (input)
Lane 2: HA751196 IP in C2C12 cell lysate
Lane 3: Rabbit IgG instead of HA751196 in C2C12 cell lysate

Blocking/Dilution buffer: 5% NFDM/TBST
Exposure time: 6 seconds; ECL: K1801
Note: All products are “FOR RESEARCH USE ONLY AND ARE NOT INTENDED FOR DIAGNOSTIC OR THERAPEUTIC USE”.