DNAJC6 Recombinant Rabbit Monoclonal Antibody [PSH07-95]
cat.: HA751197
Product Type: Recombinant Rabbit monoclonal IgG, primary antibodies
Species reactivity: Human, Mouse, Rat, Cynomolgus monkey, Pig
Applications: WB, IHC-P, IHC-Fr, IF-Tissue
Clonality: Monoclonal
Clone number: PSH07-95
Form: Liquid
Storage condition: Store at +4℃ after thawing. Aliquot store at -20℃. Avoid repeated freeze / thaw cycles.
Storage buffer: 1*PBS (pH7.4).
Concentration: 1ug/ul
Purification: Protein A affinity purified.
Molecular weight: Predicted band size: 100 kDa
Isotype: IgG
Immunogen: Recombinant protein within human DNAJC6 aa 714-913.
Positive control: Human brain tissue lysate, Mouse brain tissue lysate, Mouse cerebellum tissue lysate, Rat brain tissue lysate, Rat cerebellum tissue lysate, human brain tissue, mouse brain tissue, rat brain tissue.
Subcellular location: Cytoplasmic vesicle, clathrin-coated vesicle.
Recommended Dilutions:
  WB
  IHC-P
  IHC-Fr
  IF-Tissue

1:2,000-1:5,000
1:200-1:1,000
1:200-1:500
1:200-1:500
Uniprot #: SwissProt: O75061 Human | Q80TZ3 Mouse
Entrez Gene: 313409 Rat
Alternative names: auxilin DJC6 DnaJ (Hsp40) homolog, subfamily B, member 6 DnaJ (Hsp40) homolog, subfamily C, member 6 DnaJ homolog subfamily C member 6 EC 3.1.3.48 KIAA0473 MGC129914 MGC129915 MGC48436 putative tyrosine-protein phosphatase auxilin
Images
HA751197_1.jpg Fig1: Western blot analysis of DNAJC6 on different lysates with Rabbit anti-DNAJC6 antibody (HA751197) at 1/2,000 dilution and competitor's antibody at 1/2,000 dilution.

Lane 1: Human brain tissue lysate
Lane 2: Human liver tissue lysate (negative)
Lane 3: Mouse brain tissue lysate
Lane 4: Mouse cerebellum tissue lysate
Lane 5: Mouse liver tissue lysate (negative)
Lane 6: Rat brain tissue lysate
Lane 7: Rat liver tissue lysate (negative)
Lane 8: Rat cerebellum tissue lysate

Lysates/proteins at 20 µg/Lane.

Predicted band size: 100 kDa
Observed band size: 110 kDa

Exposure time: Lane 1-8 (left): 30 seconds; Lane 1-8 (right): 6 seconds; ECL: K1801;

4-20% SDS-PAGE gel.

Proteins were transferred to a PVDF membrane and blocked with 5% NFDM/TBST for 1 hour at room temperature. The primary antibody (HA751197) at 1/2,000 dilution and competitor's antibody at 1/2,000 dilution were used in 5% NFDM/TBST at 4℃ overnight. Goat Anti-Rabbit IgG - HRP Secondary Antibody (HA1001) at 1/50,000 dilution was used for 1 hour at room temperature.
HA751197_2.jpg Fig2: Immunohistochemical analysis of paraffin-embedded human brain tissue with Rabbit anti-DNAJC6 antibody (HA751197) at 1/1,000 dilution.

The section was pre-treated using heat mediated antigen retrieval with Tris-EDTA buffer (pH 9.0) for 20 minutes. The tissues were blocked in 1% BSA for 20 minutes at room temperature, washed with ddH2O and PBS, and then probed with the primary antibody (HA751197) at 1/1,000 dilution for 1 hour at room temperature. The detection was performed using an HRP conjugated compact polymer system. DAB was used as the chromogen. Tissues were counterstained with hematoxylin and mounted with DPX.
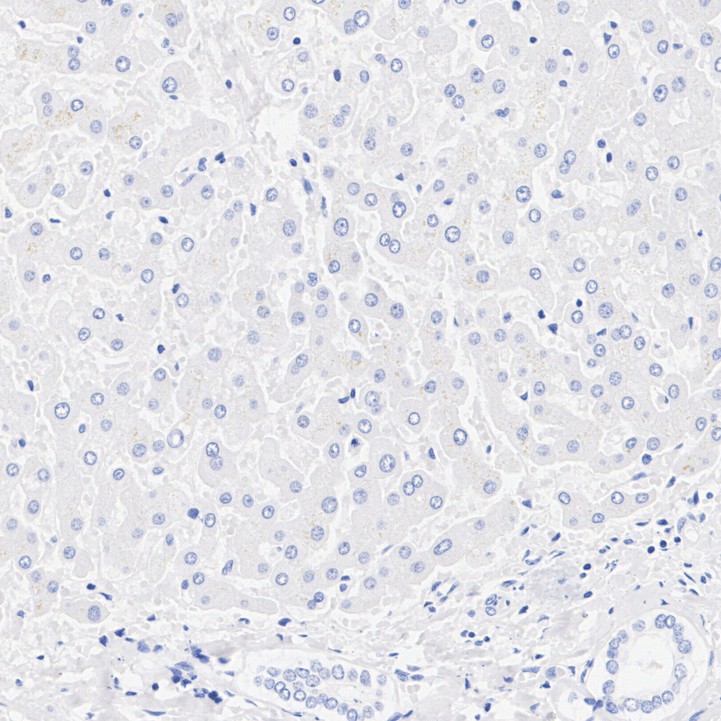
HA751197_3.jpg Fig3: Immunohistochemical analysis of paraffin-embedded human liver tissue (negative) with Rabbit anti-DNAJC6 antibody (HA751197) at 1/200 dilution.

The section was pre-treated using heat mediated antigen retrieval with Tris-EDTA buffer (pH 9.0) for 20 minutes. The tissues were blocked in 1% BSA for 20 minutes at room temperature, washed with ddH2O and PBS, and then probed with the primary antibody (HA751197) at 1/200 dilution for 1 hour at room temperature. The detection was performed using an HRP conjugated compact polymer system. DAB was used as the chromogen. Tissues were counterstained with hematoxylin and mounted with DPX.
HA751197_4.jpg Fig4: Immunohistochemical analysis of paraffin-embedded mouse brain tissue with Rabbit anti-DNAJC6 antibody (HA751197) at 1/200 dilution.

The section was pre-treated using heat mediated antigen retrieval with Tris-EDTA buffer (pH 9.0) for 20 minutes. The tissues were blocked in 1% BSA for 20 minutes at room temperature, washed with ddH2O and PBS, and then probed with the primary antibody (HA751197) at 1/200 dilution for 1 hour at room temperature. The detection was performed using an HRP conjugated compact polymer system. DAB was used as the chromogen. Tissues were counterstained with hematoxylin and mounted with DPX.
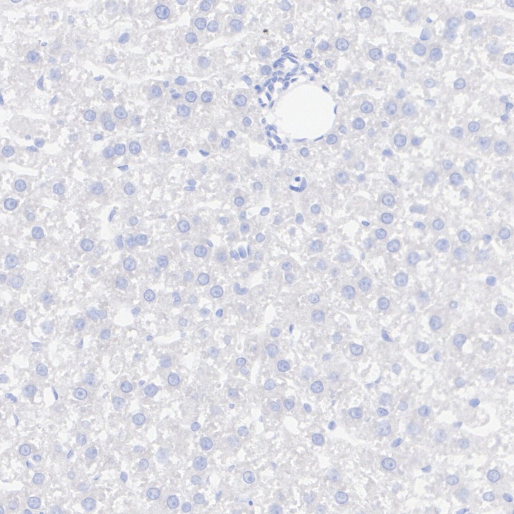
HA751197_5.jpg Fig5: Immunohistochemical analysis of paraffin-embedded mouse liver tissue (negative) with Rabbit anti-DNAJC6 antibody (HA751197) at 1/200 dilution.

The section was pre-treated using heat mediated antigen retrieval with Tris-EDTA buffer (pH 9.0) for 20 minutes. The tissues were blocked in 1% BSA for 20 minutes at room temperature, washed with ddH2O and PBS, and then probed with the primary antibody (HA751197) at 1/200 dilution for 1 hour at room temperature. The detection was performed using an HRP conjugated compact polymer system. DAB was used as the chromogen. Tissues were counterstained with hematoxylin and mounted with DPX.
HA751197_6.jpg Fig6: Immunohistochemical analysis of paraffin-embedded rat brain tissue with Rabbit anti-DNAJC6 antibody (HA751197) at 1/200 dilution.

The section was pre-treated using heat mediated antigen retrieval with Tris-EDTA buffer (pH 9.0) for 20 minutes. The tissues were blocked in 1% BSA for 20 minutes at room temperature, washed with ddH2O and PBS, and then probed with the primary antibody (HA751197) at 1/200 dilution for 1 hour at room temperature. The detection was performed using an HRP conjugated compact polymer system. DAB was used as the chromogen. Tissues were counterstained with hematoxylin and mounted with DPX.
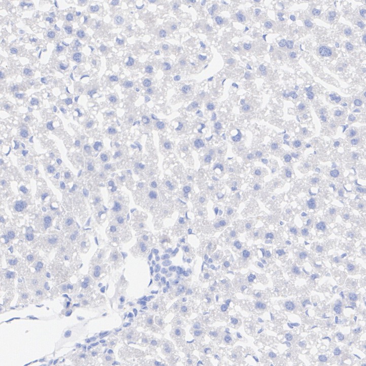
HA751197_7.jpg Fig7: Immunohistochemical analysis of paraffin-embedded rat liver tissue (negative) with Rabbit anti-DNAJC6 antibody (HA751197) at 1/200 dilution.

The section was pre-treated using heat mediated antigen retrieval with Tris-EDTA buffer (pH 9.0) for 20 minutes. The tissues were blocked in 1% BSA for 20 minutes at room temperature, washed with ddH2O and PBS, and then probed with the primary antibody (HA751197) at 1/200 dilution for 1 hour at room temperature. The detection was performed using an HRP conjugated compact polymer system. DAB was used as the chromogen. Tissues were counterstained with hematoxylin and mounted with DPX.
HA751197_8.jpg Fig8: Application: IHC-Fr

Species: Mouse

Site: Cerebral cortex

Sample: Frozen section

Antibody concentration: 1/200

Antigen retrieval: Not required
HA751197_9.jpg Fig9: Application: IHC-Fr

Species: Mouse

Site: Liver (negative)

Sample: Frozen section

Antibody concentration: 1/200

Antigen retrieval: Not required
HA751197_10.jpg Fig10: Application: IHC-Fr

Species: Rat

Site: Cerebral cortex

Sample: Frozen section

Antibody concentration: 1/200

Antigen retrieval: Not required
Note: All products are “FOR RESEARCH USE ONLY AND ARE NOT INTENDED FOR DIAGNOSTIC OR THERAPEUTIC USE”.