GCH1 Recombinant Rabbit Monoclonal Antibody [PSH08-00]
cat.: HA751200
Product Type: Recombinant Rabbit monoclonal IgG, primary antibodies
Species reactivity: Human, Mouse, Rat
Applications: WB, IHC-P, IF-Cell, FC, IF-Tissue
Clonality: Monoclonal
Clone number: PSH08-00
Form: Liquid
Storage condition: Store at +4℃ after thawing. Aliquot store at -20℃. Avoid repeated freeze / thaw cycles.
Storage buffer: 1*PBS (pH7.4).
Concentration: 1ug/ul
Purification: Protein A affinity purified.
Molecular weight: Predicted band size: 28 kDa
Isotype: IgG
Immunogen: Recombinant protein within human GCH1 aa 1-250.
Positive control: SH-SY5Y cell lysate, HEK-293 cell lysate, Neuro-2a cell lysate, PC-12 cell lysate, Human liver tissue lysate, Mouse liver tissue lysate, Rat liver tissue lysate, human pancreas tissue, mouse pancreas tissue, rat pancreas tissue, Neuro-2a, PC-12.
Subcellular location: Cytoplasm; Nucleus.
Recommended Dilutions:
  WB
  IHC-P
  IF-Cell
  FC
  IF-Tissue

1:2,000
1:200
1:100
1:1,000
1:200
Uniprot #: SwissProt: P30793 Human | Q05915 Mouse | P22288 Rat
Alternative names: dystonia 14 DYT 5 DYT14 DYT5 DYT5a GCH 1 GCH Gch1 GCH1_HUMAN GTP CH 1 GTP CH I GTP cyclohydrolase 1 (dopa responsive dystonia) GTP cyclohydrolase 1 GTP cyclohydrolase I GTP-CH-I GTPCH 1 GTPCH1 Guanosine 5' triphosphate cyclohydrolase I HPABH4B
Images
HA751200_1.jpg Fig1: Western blot analysis of GCH1 on different lysates with Rabbit anti-GCH1 antibody (HA751200) at 1/2,000 dilution.

Lane 1: SH-SY5Y cell lysate
Lane 2: HEK-293 cell lysate
Lane 3: Neuro-2a cell lysate
Lane 4: PC-12 cell lysate
Lane 5: Human liver tissue lysate
Lane 6: Mouse liver tissue lysate
Lane 7: Mouse skeletal muscle tissue lysate (negative)
Lane 8: Rat liver tissue lysate
Lane 9: Rat skeletal muscle tissue lysate (negative)

Lysates/proteins at 20 µg/Lane.

Predicted band size: 28 kDa
Observed band size: 28 kDa

Exposure time: 25 seconds; ECL: K1801;

4-20% SDS-PAGE gel.

Proteins were transferred to a PVDF membrane and blocked with 5% NFDM/TBST for 1 hour at room temperature. The primary antibody (HA751200) at 1/2,000 dilution was used in 5% NFDM/TBST at 4℃ overnight. Goat Anti-Rabbit IgG - HRP Secondary Antibody (HA1001) at 1/50,000 dilution was used for 1 hour at room temperature.
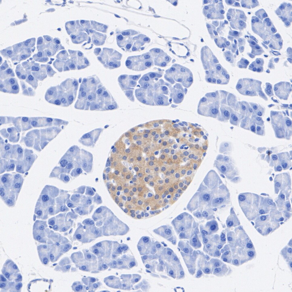
HA751200_2.jpg Fig2: Immunohistochemical analysis of paraffin-embedded human pancreas tissue with Rabbit anti-GCH1 antibody (HA751200) at 1/200 dilution.

The section was pre-treated using heat mediated antigen retrieval with sodium citrate buffer (pH 6.0) (high pressure) for 2 minutes. The tissues were blocked in 1% BSA for 20 minutes at room temperature, washed with ddH2O and PBS, and then probed with the primary antibody (HA751200) at 1/200 dilution for 1 hour at room temperature. The detection was performed using an HRP conjugated compact polymer system. DAB was used as the chromogen. Tissues were counterstained with hematoxylin and mounted with DPX.
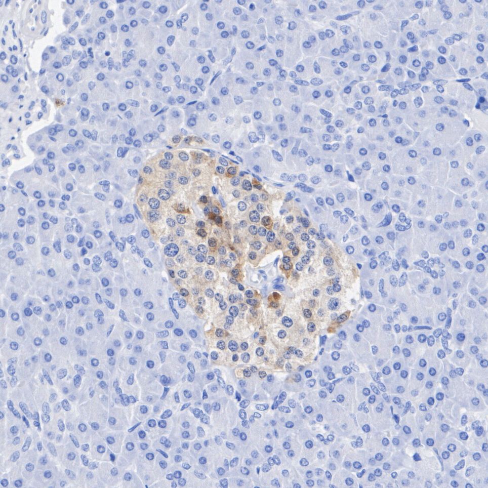
HA751200_3.jpg Fig3: Immunohistochemical analysis of paraffin-embedded mouse pancreas tissue with Rabbit anti-GCH1 antibody (HA751200) at 1/200 dilution.

The section was pre-treated using heat mediated antigen retrieval with sodium citrate buffer (pH 6.0) (high pressure) for 2 minutes. The tissues were blocked in 1% BSA for 20 minutes at room temperature, washed with ddH2O and PBS, and then probed with the primary antibody (HA751200) at 1/200 dilution for 1 hour at room temperature. The detection was performed using an HRP conjugated compact polymer system. DAB was used as the chromogen. Tissues were counterstained with hematoxylin and mounted with DPX.
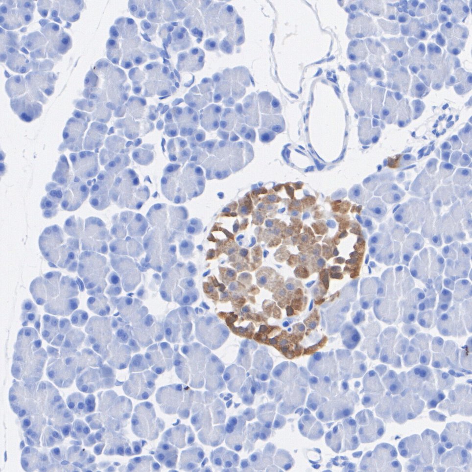
HA751200_4.jpg Fig4: Immunohistochemical analysis of paraffin-embedded rat pancreas tissue with Rabbit anti-GCH1 antibody (HA751200) at 1/200 dilution.

The section was pre-treated using heat mediated antigen retrieval with sodium citrate buffer (pH 6.0) (high pressure) for 2 minutes. The tissues were blocked in 1% BSA for 20 minutes at room temperature, washed with ddH2O and PBS, and then probed with the primary antibody (HA751200) at 1/200 dilution for 1 hour at room temperature. The detection was performed using an HRP conjugated compact polymer system. DAB was used as the chromogen. Tissues were counterstained with hematoxylin and mounted with DPX.
HA751200_5.jpg Fig5: Immunohistochemical analysis of paraffin-embedded human skeletal muscle tissue (negative) with Rabbit anti-GCH1 antibody (HA751200) at 1/200 dilution.

The section was pre-treated using heat mediated antigen retrieval with sodium citrate buffer (pH 6.0) (high pressure) for 2 minutes. The tissues were blocked in 1% BSA for 20 minutes at room temperature, washed with ddH2O and PBS, and then probed with the primary antibody (HA751200) at 1/200 dilution for 1 hour at room temperature. The detection was performed using an HRP conjugated compact polymer system. DAB was used as the chromogen. Tissues were counterstained with hematoxylin and mounted with DPX.
HA751200_6.jpg Fig6: Immunohistochemical analysis of paraffin-embedded rat skeletal muscle tissue (negative) with Rabbit anti-GCH1 antibody (HA751200) at 1/200 dilution.

The section was pre-treated using heat mediated antigen retrieval with sodium citrate buffer (pH 6.0) (high pressure) for 2 minutes. The tissues were blocked in 1% BSA for 20 minutes at room temperature, washed with ddH2O and PBS, and then probed with the primary antibody (HA751200) at 1/200 dilution for 1 hour at room temperature. The detection was performed using an HRP conjugated compact polymer system. DAB was used as the chromogen. Tissues were counterstained with hematoxylin and mounted with DPX.
HA751200_7.jpg Fig7: Immunofluorescence analysis of paraffin-embedded mouse pancreas tissue labeling GCH1 with Rabbit anti-GCH1 antibody (HA751200) at 1/200 dilution.

The section was pre-treated using heat mediated antigen retrieval with sodium citrate buffer (pH 6.0) (high pressure) for 2 minutes. The tissues were blocked in 10% negative goat serum for 1 hour at room temperature, washed with PBS, and then probed with the primary antibody (HA751200, green) at 1/200 dilution overnight at 4 ℃, washed with PBS. Goat Anti-Rabbit IgG H&L (iFluor™ 488, HA1121) was used as the secondary antibody at 1/1,000 dilution. Nuclei were counterstained with DAPI (blue).
HA751200_8.jpg Fig8: Immunocytochemistry analysis of Neuro-2a cells labeling GCH1 with Rabbit anti-GCH1 antibody (HA751200) at 1/100 dilution.

Cells were fixed in 4% paraformaldehyde for 15 minutes at room temperature, permeabilized with 0.1% Triton X-100 in PBS for 15 minutes at room temperature, then blocked with 1% BSA in 10% negative goat serum for 1 hour at room temperature. Cells were then incubated with Rabbit anti-GCH1 antibody (HA751200) at 1/100 dilution in 1% BSA in PBST overnight at 4 ℃. Goat Anti-Rabbit IgG H&L (iFluor™ 488, HA1121) was used as the secondary antibody at 1/1,000 dilution. PBS instead of the primary antibody was used as the secondary antibody only control. Nuclear DNA was labelled in blue with DAPI.

Beta tubulin (M1305-2, red) was stained at 1/100 dilution overnight at +4℃. Goat Anti-Mouse IgG H&L (iFluor™ 594, HA1126) was used as the secondary antibody at 1/1,000 dilution.
HA751200_9.jpg Fig9: Immunocytochemistry analysis of PC-12 cells labeling GCH1 with Rabbit anti-GCH1 antibody (HA751200) at 1/100 dilution.

Cells were fixed in 4% paraformaldehyde for 15 minutes at room temperature, permeabilized with 0.1% Triton X-100 in PBS for 15 minutes at room temperature, then blocked with 1% BSA in 10% negative goat serum for 1 hour at room temperature. Cells were then incubated with Rabbit anti-GCH1 antibody (HA751200) at 1/100 dilution in 1% BSA in PBST overnight at 4 ℃. Goat Anti-Rabbit IgG H&L (iFluor™ 488, HA1121) was used as the secondary antibody at 1/1,000 dilution. PBS instead of the primary antibody was used as the secondary antibody only control. Nuclear DNA was labelled in blue with DAPI.

Beta tubulin (M1305-2, red) was stained at 1/100 dilution overnight at +4℃. Goat Anti-Mouse IgG H&L (iFluor™ 594, HA1126) was used as the secondary antibody at 1/1,000 dilution.
HA751200_10.jpg Fig10: Flow cytometric analysis of Neuro-2a cells labeling GCH1.

Cells were fixed and permeabilized. Then stained with the primary antibody (HA751200, 1μg/mL) (red) compared with Rabbit IgG Isotype Control (green). After incubation of the primary antibody at +4℃ for an hour, the cells were stained with a iFluor™ 488 conjugate-Goat anti-Rabbit IgG Secondary antibody (HA1121) at 1/1,000 dilution for 30 minutes at +4℃. Unlabelled sample was used as a control (cells without incubation with primary antibody; black).
Note: All products are “FOR RESEARCH USE ONLY AND ARE NOT INTENDED FOR DIAGNOSTIC OR THERAPEUTIC USE”.